TLR2 Antibody

Images

 
Western Blot: TLR2 Antibody [NBP2-20652] - Sample (30 ug of whole cell lysate) A: Non-transfected 293T lysates B: TLR2 transfected 293T lysates 7. 5% SDS PAGE gel, diluted at 1:5000.
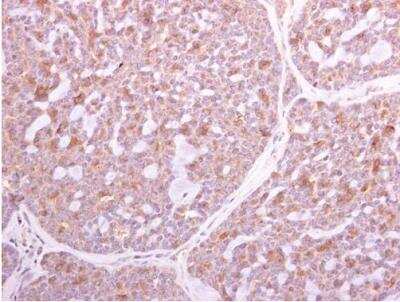
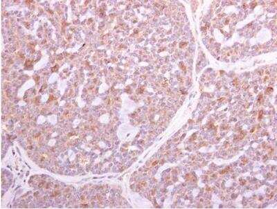
Immunohistochemistry-Paraffin: TLR2 Antibody [NBP2-20652] - Paraffin-embedded human breast carcinoma. TLR2 antibody [N1N2], N-term diluted at 1:500.

Product Details

Summary
Product Discontinued
View other related TLR2 Primary Antibodies

Order Details


    • Catalog Number
      NBP2-20652
    • Availability
      Product Discontinued

    Can't find what you are looking for? Use our Antibody Concierge Service & we will help you locate your antibody!

    Or feel free to contact us for alternative products.

TLR2 Antibody Summary

Immunogen
Recombinant protein encompassing a sequence within the N-terminus region of human TLR2. The exact sequence is proprietary.
Localization
Membrane; Single-pass type I membrane protein
Predicted Species
Rhesus Macaque (95%), Primate (100%). Backed by our 100% Guarantee.
Isotype
IgG
Clonality
Polyclonal
Host
Rabbit
Gene
TLR2
Purity
Immunogen affinity purified
Innovator's Reward
Test in a species/application not listed above to receive a full credit towards a future purchase.

Applications/Dilutions

Dilutions
  • Immunohistochemistry 1:100-1:1000
  • Immunohistochemistry-Paraffin 1:100-1:1000
  • Western Blot 1:1000-1:10000
Theoretical MW
90 kDa.
Disclaimer note: The observed molecular weight of the protein may vary from the listed predicted molecular weight due to post translational modifications, post translation cleavages, relative charges, and other experimental factors.
Agonist
Antagonist

Reactivity Notes

Chimpanzee (100%).

Packaging, Storage & Formulations

Storage
Aliquot and store at -20C or -80C. Avoid freeze-thaw cycles.
Buffer
PBS (pH 7), 20% Glycerol, 1% BSA
Preservative
0.01% Thimerosal
Purity
Immunogen affinity purified

Alternate Names for TLR2 Antibody

  • CD282 antigen
  • CD282
  • TIL4CD282
  • TLR2
  • toll/interleukin 1 receptor-like 4
  • Toll/interleukin-1 receptor-like protein 4
  • toll-like receptor 2

Background

The protein encoded by this gene is a member of the Toll-like receptor (TLR) family which plays a fundamental role in pathogen recognition and activation of innate immunity. TLRs are highly conserved from Drosophila to humans and share structural and functional similarities. They recognize pathogen-associated molecular patterns (PAMPs) that are expressed on infectious agents, and mediate the production of cytokines necessary for the development of effective immunity. The various TLRs exhibit different patterns of expression. This gene is expressed most abundantly in peripheral blood leukocytes, and mediates host response to Gram-positive bacteria and yeast via stimulation of NF-kappaB. [provided by RefSeq]

Limitations

This product is for research use only and is not approved for use in humans or in clinical diagnosis. Primary Antibodies are guaranteed for 1 year from date of receipt.

Customers Who Viewed This Item Also Viewed...

NB100-56566
Species: Bv, Hu, Ma, Mu, Po, Rt
Applications: B/N, ChIP, CyTOF-ready, DB, Dual ISH-IHC, ELISA(Cap), ELISA, Flow-CS, Flow-IC, Flow, ICC/IF, IHC, IHC-Fr,  IHC-P, In vitro, KD, KO, PAGE, Simple Western, WB
M6000B
Species: Mu
Applications: ELISA
NBP2-24729
Species: Ca, Eq, Hu, Pm, Mu, Pm, Rt
Applications: B/N, CyTOF-ready, DB, ELISA, Flow-IC, Flow, Func, ICC/IF, IHC,  IHC-P, IP, In vitro, KD, Simple Western, WB
NBP2-29328
Species: Bv, Hu, Mu, Rt, Xp, Ye, Ze
Applications: BindInhib, B/N, ELISA, Flow, Func-Inh, IHC, In vitro, In vivo
DY417
Species: Mu
Applications: ELISA
NB100-56583
Species: Hu, Rb, Rt
Applications: Flow, IHC,  IHC-P, KO, Simple Western, WB
NB100-56563
Species: Hu, Mu, Rt
Applications: DB, Flow-CS, Flow-IC, Flow, IHC,  IHC-P, WB
DC140
Species: Hu
Applications: ELISA
NBP2-93743
Species: Hu, Mu, Rt
Applications: ICC/IF, WB
NBP2-24875
Species: Ca, Hu, Mu
Applications: BA, B/N, Flow-IC, Flow, ICC/IF, IHC,  IHC-P, WB
NB100-56536
Species: Hu
Applications: Flow-CS, Flow-IC, Flow, IHC,  IHC-P, WB
MAB208
Species: Hu
Applications: CyTOF-ready, ELISA(Cap), ELISA(Det), ELISA(Sta), ICC, ICFlow, Neut, Simple Western, WB
NBP2-24787
Species: Ca, Hu, Mu
Applications: DB, Flow-CS, Flow-IC, Flow, ICC/IF, IHC, IHC-Fr,  IHC-P, IP, WB
AF1230
Species: Hu, Mu, Rt
Applications: IHC, KO, WB
NB100-524
Species: Hu, Mu
Applications: Flow-IC, Flow, ICC/IF, IHC, IHC-Fr,  IHC-P, IP, WB
485-MI
Species: Mu
Applications: BA
1787-MD
Species: Hu
Applications: Bind
DCP00
Species: Hu
Applications: ELISA
NBP2-24906
Species: Hu, Mu, Rt
Applications: BA, DB, Flow-IC, Flow, ICC/IF, IHC, IHC-Fr,  IHC-P, IP, PLA, Simple Western, WB
⚠ WARNING: This product can expose you to chemicals including mercury, which is known to the State of California to cause reproductive toxicity with developmental effects.  For more information go to www.P65Warnings.ca.gov.

Publications for TLR2 Antibody (NBP2-20652) (0)

There are no publications for TLR2 Antibody (NBP2-20652).
By submitting your publication information earn gift cards and discounts for future purchases.

Reviews for TLR2 Antibody (NBP2-20652) (0)

There are no reviews for TLR2 Antibody (NBP2-20652). By submitting a review you will receive an Amazon e-Gift Card or Novus Product Discount.
  • Review with no image -- $10/€7/£6/$10 CAD/¥70 Yuan/¥1110 Yen
  • Review with an image -- $25/€18/£15/$25 CAD/¥150 Yuan/¥2500 Yen

Product General Protocols

Find general support by application which include: protocols, troubleshooting, illustrated assays, videos and webinars.

Video Protocols

WB Video Protocol

FAQs for TLR2 Antibody (NBP2-20652) (0)

There are no specific FAQs related to this product. Read our general customer & technical service FAQs.

Secondary Antibodies

 

Isotype Controls

Additional TLR2 Products

Research Areas for TLR2 Antibody (NBP2-20652)

Find related products by research area.

Blogs on TLR2. Showing 1-10 of 11 blog posts - Show all blog posts.

The NLRP3 Inflammasome: Macrophage Activator & Pathology Driver
By Victoria Osinski, PhDWhat is the NLRP3 Inflammasome?With its critical role in innate immunity, the nucleotide-binding oligomerization domain-like receptor family, pyrin domain containing 3 (NLRP3) inflammasome ...  Read full blog post.


  Read full blog post.

Toll-like receptor 2 activation contributes to oral squamous cell carcinoma development and miRNA-mediated drug resistance
By Jamshed Arslan, Pharm. D., PhD. Squamous cell carcinoma is the most common cancer in the oral cavity.1 The tumor surface biofilms in oral cancers contain high levels of aerobic and anaerobic microorganisms.1,2 Peri...  Read full blog post.

Toll-like receptors in the intestinal epithelial cells
By Jamshed Arslan, Pharm. D., PhD. Toll-like receptors (TLRs) are microbe-sensing proteins that act as first responders to danger signals. TLRs help the intestinal epithelial cells (IECs) recognize commensal bacteria ...  Read full blog post.

The role of STING/TMEM173 in gamma and encephalitis Herpes Simplex Virus (HSV)
Stimulator of interferon genes (STING), also known as TMEM173, promotes the production of the interferon’s IFN-alpha and IFN-beta.  STING possesses three functional domains: a cytoplasmic C-terminal tail, a central globular domain, and four N-...  Read full blog post.

TRIF/TICAM1 and mitochondrial dynamics in the innate immune response
TRIF, also known as toll like receptor adaptor molecule 1 or TICAM1, is known for its role in invading foreign pathogens as part of our innate immune response. TRIF/TICAM1 is a TIR-domain adaptor protein (toll/interleukin-1 receptor) that interacts...  Read full blog post.

MHC Class I and the Herpes Simplex Virus
MHC molecules (also known as major histocompatibility complex molecules) assist in the presentation of antigens to T cells in order to eradicate foreign pathogens.  These molecules are highly polymorphic, meaning that they exist in multiple varian...  Read full blog post.

The role of TLR4 in breast cancer
Toll like receptors (TLRs) are highly conserved proteins that are first known for their role in pathogen recognition and immune response activation.  In order to elicit the necessary immune response in reaction to a foreign pathogen, TLRs trigger cy...  Read full blog post.

TLR2 - I can recognize many foreign pathogens!
TLR2 is a member of the broad family of Toll-like receptors (TLR) that play an important role in pathogen recognition and innate immunity. TLRs, like other pattern recognition receptors (PRRs), recognize endogenous ligands released during cell or tiss...  Read full blog post.

IRAK4: The "master IRAK" critical for initiating immune responses
IRAK4, also known as Interleukin-1 receptor-associated kinase 4, is a serine/threonine-protein kinase that plays a critical role in initiating innate and adaptive immune responses against foreign pathogens. It activates NF-kappaB in both Toll-like rec...  Read full blog post.

Showing 1-10 of 11 blog posts - Show all blog posts.

Contact Information

Product PDFs

Calculators

Concentration Calculator

The concentration calculator allows you to quickly calculate the volume, mass or concentration of your vial. Simply enter your mass, volume, or concentration values for your reagent and the calculator will determine the rest.

=
÷

Review this Product

Be the first to review our TLR2 Antibody and receive a gift card or discount.

Bioinformatics

Gene Symbol TLR2
Uniprot