TLR2 Antibody - BSA Free

Images

 
Western Blot: TLR2 Antibody [NBP1-77229] - A20 cell lysates with TLR2 antibody at 1 ug/ml in the presence (A) and absence (B) of its blocking peptide.
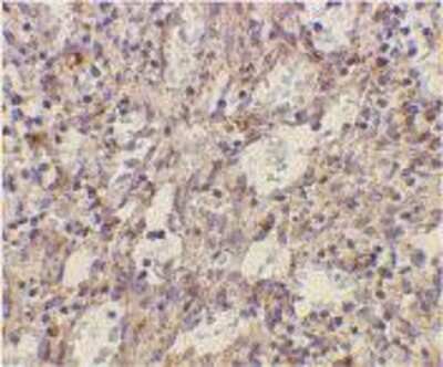
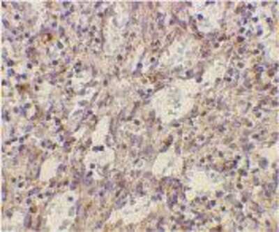
Immunohistochemistry-Paraffin: TLR2 Antibody [NBP1-77229] - Immunohistochemical analysis of TLR2 in human spleen cells using IMG-5651 at 2 ug/ml.
Immunohistochemistry: TLR2 Antibody [NBP1-77229] - Immunofluorescence of TLR2 in Human Spleen tissue with TLR2 antibody at 10 ug/mL.

Product Details

Summary
Product Discontinued
View other related TLR2 Primary Antibodies

Order Details


    • Catalog Number
      NBP1-77229
    • Availability
      Product Discontinued

    Can't find what you are looking for? Use our Antibody Concierge Service & we will help you locate your antibody!

    Or feel free to contact us for alternative products.

TLR2 Antibody - BSA Free Summary

Immunogen
Antibody was raised against a peptide corresponding to 14 amino acids near the amino terminus of human TLR2. The immunogen is located within the first 50 amino acids of TLR2. Amino Acid Squence: CKGSSGSLNSIPSG
Isotype
IgG
Clonality
Polyclonal
Host
Rabbit
Gene
TLR2
Purity
Ion exchange chromatography
Innovator's Reward
Test in a species/application not listed above to receive a full credit towards a future purchase.

Applications/Dilutions

Dilutions
  • ELISA 1:100-1:2000
  • Immunocytochemistry/ Immunofluorescence 10 ug/mL
  • Immunohistochemistry 2 ug/ml
  • Immunohistochemistry-Paraffin 2 ug/ml
  • Western Blot 1 ug/ml
Application Notes
Despite its predicted molecular weight, TLR2 runs at ~100 kDa in SDS-PAGE.
Agonist
Antagonist
Control Peptide
TLR2 Peptide (NBP1-77229PEP)
Publications
Read Publication using
NBP1-77229 in the following applications:

Packaging, Storage & Formulations

Storage
Store at 4C short term. Aliquot and store at -20C long term. Avoid freeze-thaw cycles.
Buffer
PBS
Preservative
0.02% Sodium Azide
Concentration
1 mg/ml
Purity
Ion exchange chromatography

Alternate Names for TLR2 Antibody - BSA Free

  • CD282 antigen
  • CD282
  • TIL4CD282
  • TLR2
  • toll/interleukin 1 receptor-like 4
  • Toll/interleukin-1 receptor-like protein 4
  • toll-like receptor 2

Background

Toll-like receptors (TLRs) are signaling molecules that recognize different microbial products during infection and serve as an important link between the innate and adaptive immune responses. These proteins act through adaptor molecules such as MyD88 and TIRAP to activate various kinases and transcription factors such as Protein Kinase C (PKC) alpha/beta and NF-kappaB. TLR2 can form heterodimers with either TLR1 or TLR6, and as a heterodimer can recognize a variety of bacterial and mycoplasma lipoproteins respectively.

Limitations

This product is for research use only and is not approved for use in humans or in clinical diagnosis. Primary Antibodies are guaranteed for 1 year from date of receipt.

Customers Who Viewed This Item Also Viewed...

NB100-56566
Species: Bv, Hu, Ma, Mu, Po, Rt
Applications: B/N, ChIP, CyTOF-ready, DB, Dual ISH-IHC, ELISA(Cap), ELISA, Flow-CS, Flow-IC, Flow, ICC/IF, IHC, IHC-Fr,  IHC-P, In vitro, KD, KO, PAGE, Simple Western, WB
M6000B
Species: Mu
Applications: ELISA
NBP2-24729
Species: Ca, Eq, Hu, Pm, Mu, Pm, Rt
Applications: B/N, CyTOF-ready, DB, ELISA, Flow-IC, Flow, Func, ICC/IF, IHC,  IHC-P, IP, In vitro, KD, Simple Western, WB
NBP2-29328
Species: Bv, Hu, Mu, Rt, Xp, Ye, Ze
Applications: BindInhib, B/N, ELISA, Flow, Func-Inh, IHC, In vitro, In vivo
DY417
Species: Mu
Applications: ELISA
NB100-56583
Species: Hu, Rb, Rt
Applications: Flow, IHC,  IHC-P, KO, Simple Western, WB
NB100-56563
Species: Hu, Mu, Rt
Applications: DB, Flow-CS, Flow-IC, Flow, IHC,  IHC-P, WB
DC140
Species: Hu
Applications: ELISA
NBP2-93743
Species: Hu, Mu, Rt
Applications: ICC/IF, WB
NBP2-24875
Species: Ca, Hu, Mu
Applications: BA, B/N, Flow-IC, Flow, ICC/IF, IHC,  IHC-P, WB
NB100-56536
Species: Hu
Applications: Flow-CS, Flow-IC, Flow, IHC,  IHC-P, WB
MAB208
Species: Hu
Applications: CyTOF-ready, ELISA(Cap), ELISA(Det), ELISA(Sta), ICC, ICFlow, Neut, Simple Western, WB
NBP2-24787
Species: Ca, Hu, Mu
Applications: DB, Flow-CS, Flow-IC, Flow, ICC/IF, IHC, IHC-Fr,  IHC-P, IP, WB
AF1230
Species: Hu, Mu, Rt
Applications: IHC, KO, WB
NB100-524
Species: Hu, Mu
Applications: Flow-IC, Flow, ICC/IF, IHC, IHC-Fr,  IHC-P, IP, WB
485-MI
Species: Mu
Applications: BA
1787-MD
Species: Hu
Applications: Bind
DCP00
Species: Hu
Applications: ELISA
NBP2-24906
Species: Hu, Mu, Rt
Applications: BA, DB, Flow-IC, Flow, ICC/IF, IHC, IHC-Fr,  IHC-P, IP, PLA, Simple Western, WB

Publications for TLR2 Antibody (NBP1-77229)(1)

We have publications tested in 1 confirmed species: Mouse.

We have publications tested in 1 application: IHC-P.


Filter By Application
IHC-P
(1)
All Applications
Filter By Species
Mouse
(1)
All Species
Showing Publication 1 - 1 of 1.
Publication using NBP1-77229 Applications Species
Banus JFB. Understanding the role of Toll-like receptors in the lower gastrointestinal tract. Thesis. 2014-01-01 (IHC-P, Mouse)

Details:
Colon, Figs 1-3
IHC-P Mouse

Reviews for TLR2 Antibody (NBP1-77229) (0)

There are no reviews for TLR2 Antibody (NBP1-77229). By submitting a review you will receive an Amazon e-Gift Card or Novus Product Discount.
  • Review with no image -- $10/€7/£6/$10 CAD/¥70 Yuan/¥1110 Yen
  • Review with an image -- $25/€18/£15/$25 CAD/¥150 Yuan/¥2500 Yen

Product General Protocols

Find general support by application which include: protocols, troubleshooting, illustrated assays, videos and webinars.

Video Protocols

WB Video Protocol
ICC/IF Video Protocol

FAQs for TLR2 Antibody (NBP1-77229) (0)

There are no specific FAQs related to this product. Read our general customer & technical service FAQs.

Secondary Antibodies

 

Isotype Controls

Additional TLR2 Products

Research Areas for TLR2 Antibody (NBP1-77229)

Find related products by research area.

Blogs on TLR2. Showing 1-10 of 11 blog posts - Show all blog posts.

The NLRP3 Inflammasome: Macrophage Activator & Pathology Driver
By Victoria Osinski, PhDWhat is the NLRP3 Inflammasome?With its critical role in innate immunity, the nucleotide-binding oligomerization domain-like receptor family, pyrin domain containing 3 (NLRP3) inflammasome ...  Read full blog post.


  Read full blog post.

Toll-like receptor 2 activation contributes to oral squamous cell carcinoma development and miRNA-mediated drug resistance
By Jamshed Arslan, Pharm. D., PhD. Squamous cell carcinoma is the most common cancer in the oral cavity.1 The tumor surface biofilms in oral cancers contain high levels of aerobic and anaerobic microorganisms.1,2 Peri...  Read full blog post.

Toll-like receptors in the intestinal epithelial cells
By Jamshed Arslan, Pharm. D., PhD. Toll-like receptors (TLRs) are microbe-sensing proteins that act as first responders to danger signals. TLRs help the intestinal epithelial cells (IECs) recognize commensal bacteria ...  Read full blog post.

The role of STING/TMEM173 in gamma and encephalitis Herpes Simplex Virus (HSV)
Stimulator of interferon genes (STING), also known as TMEM173, promotes the production of the interferon’s IFN-alpha and IFN-beta.  STING possesses three functional domains: a cytoplasmic C-terminal tail, a central globular domain, and four N-...  Read full blog post.

TRIF/TICAM1 and mitochondrial dynamics in the innate immune response
TRIF, also known as toll like receptor adaptor molecule 1 or TICAM1, is known for its role in invading foreign pathogens as part of our innate immune response. TRIF/TICAM1 is a TIR-domain adaptor protein (toll/interleukin-1 receptor) that interacts...  Read full blog post.

MHC Class I and the Herpes Simplex Virus
MHC molecules (also known as major histocompatibility complex molecules) assist in the presentation of antigens to T cells in order to eradicate foreign pathogens.  These molecules are highly polymorphic, meaning that they exist in multiple varian...  Read full blog post.

The role of TLR4 in breast cancer
Toll like receptors (TLRs) are highly conserved proteins that are first known for their role in pathogen recognition and immune response activation.  In order to elicit the necessary immune response in reaction to a foreign pathogen, TLRs trigger cy...  Read full blog post.

TLR2 - I can recognize many foreign pathogens!
TLR2 is a member of the broad family of Toll-like receptors (TLR) that play an important role in pathogen recognition and innate immunity. TLRs, like other pattern recognition receptors (PRRs), recognize endogenous ligands released during cell or tiss...  Read full blog post.

IRAK4: The "master IRAK" critical for initiating immune responses
IRAK4, also known as Interleukin-1 receptor-associated kinase 4, is a serine/threonine-protein kinase that plays a critical role in initiating innate and adaptive immune responses against foreign pathogens. It activates NF-kappaB in both Toll-like rec...  Read full blog post.

Showing 1-10 of 11 blog posts - Show all blog posts.

Contact Information

Product PDFs

Calculators

Concentration Calculator

The concentration calculator allows you to quickly calculate the volume, mass or concentration of your vial. Simply enter your mass, volume, or concentration values for your reagent and the calculator will determine the rest.

=
÷

Review this Product

Be the first to review our TLR2 Antibody - BSA Free and receive a gift card or discount.

Bioinformatics

Gene Symbol TLR2
Uniprot