Survivin Antibody (BIRC5/8936R) - Azide and BSA Free

Images

 
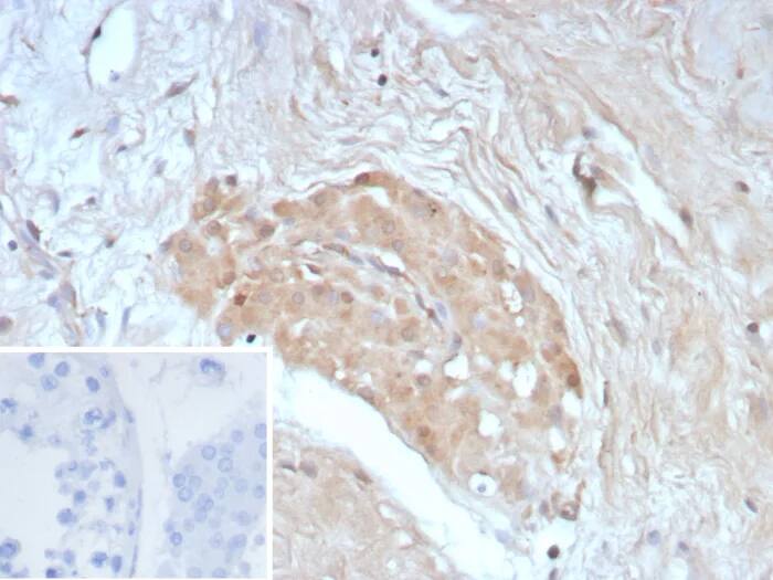
Immunohistochemistry-Paraffin: Survivin Antibody (BIRC5/8936R) - Azide and BSA Free [NBP3-24238] - Formalin-fixed, paraffin-embedded human testis stained with Survivin Antibody (BIRC5/8936R). Inset: PBS instead of ...read more
Immunohistochemistry-Paraffin: Survivin Antibody (BIRC5/8936R) - Azide and BSA Free [NBP3-24238] - Formalin-fixed, paraffin-embedded human ovarian cancer stained with Survivin Antibody (BIRC5/8936R). Inset: PBS instead ...read more
Western Blot Analysis of K-562 and Ramos cell lysates using Survivin Antibody (BIRC5/8936R) - Azide and BSA Free.

Product Details

Summary
Reactivity HuSpecies Glossary
Applications IHC
Clone
BIRC5/8936R
Clonality
Monoclonal
Host
Rabbit
Conjugate
Unconjugated
Format
Azide and BSA Free
Concentration
1 mg/ml

Order Details

Survivin Antibody (BIRC5/8936R) - Azide and BSA Free Summary

Description
Antibody without azide - store at -20 to -80C.
Additional Information
Recombinant Monoclonal Antibody
Immunogen
Recombinant fragment (around aa1-100) of human Survivin protein (exact sequence is proprietary)
Localization
Nucleus. Cytoplasm.
Isotype
IgG Kappa
Clonality
Monoclonal
Host
Rabbit
Gene
BIRC5
Purity
Protein A or G purified
Innovator's Reward
Test in a species/application not listed above to receive a full credit towards a future purchase.

Applications/Dilutions

Dilutions
  • Immunohistochemistry-Paraffin 1-2ug/ml
Application Notes
Immunohistochemistry-Paraffin: 1-2ug/ml for 30 minutes at RT. Staining of formalin-fixed tissues requires heating tissue sections in 10mM Tris with 1mM EDTA, pH 9.0, for 45 min at 95C followed by cooling at RT for 20 minutes. Optimal dilution for a specific application should be determined.

Packaging, Storage & Formulations

Storage
Store at -20 to -80C. Avoid freeze-thaw cycles.
Buffer
10mM PBS
Preservative
No Preservative
Concentration
1 mg/ml
Purity
Protein A or G purified

Alternate Names for Survivin Antibody (BIRC5/8936R) - Azide and BSA Free

  • API4
  • apoptosis inhibitor 4
  • Apoptosis inhibitor survivin
  • baculoviral IAP repeat-containing 5
  • Baculoviral IAP Repeat-Containing Protein 5
  • BIRC5
  • EPR-1
  • IAP4
  • survivin variant 3 alpha
  • Survivin

Background

Survivin (BIRC5 or IAP4) is the smallest member of the inhibitor of apoptosis (IAP) proteins, containing only a single baculovirus IAP repeat (BIR) domain and lacking the C-terminal RING domain. Survivin has a theoretical molecular weight of 16.5 kDa (wild-type protein) and exists as ten splice variant forms including the most predominant isoforms, survivin-2B and surviving-DeltaEx3 (1). It also undergoes phosphorylation by PKA, Plk1, Cdk1, CKII and Aurora B at multiple sites (e.g. Serine 20 and Threonine 34, 53 and 117).

Besides being highly abundant in fetal development and expressed in proliferating adult cells such as activated T lymphocytes, erythroblasts, and self-renewing stem cells, survivin is generally absent in adult tissues. However, it is elevated in common cancers such as lung, colon, pancreas, breast and prostate where it drives proliferation, metastasis, poor prognosis, and decreased patient survival (2).

Survivin has been shown to be involved in multiple cellular processes including cell cycle progression, mitotic spindle assembly, kinetochore attachment, angiogenesis, migration, and its anti-apoptotic activity has been linked to both its monomeric and homodimeric forms. Survivin impacts the function of other IAP members, c-IAP1 and c-IAP-2, or modulates the inhibitory activity of XIAP against caspases by forming a stable complex with XIAP and HBXIP. During the intrinsic apoptotic pathway, survivin may prevent the release of mitochondrial APAF1 into the cytoplasm or hinder the association of SMAC with other IAPS, which results in prolonged cell survival (3).

References

1. Sah NK, Seniya C. (2015) Survivin splice variants and their diagnostic significance. Tumour Biol. 36(9):6623-31. PMID: 26245993

2. Lladser A, Sanhueza C, Kiessling R, Quest AF. (2011) Is survivin the potential Achilles' heel of cancer? Adv Cancer Res. 111:1-37. PMID: 21704829

3. Wheatley SP, Altieri DC. (2019) Survivin at a glance. J Cell Sci. 132(7). PMID: 30948431

Limitations

This product is for research use only and is not approved for use in humans or in clinical diagnosis. Primary Antibodies are guaranteed for 1 year from date of receipt.

Customers Who Viewed This Item Also Viewed...

NB500-201
Species: Ca, Fe, Gp, Ha, Hu, Mu, Rt
Applications: ChIP, Dual ISH-IHC, ELISA, Flow, ICC/IF, IHC, IHC-Fr,  IHC-P, IP, KD, Simple Western, WB
NB100-56098
Species: Ca, Hu, Mu, Rt
Applications: IHC,  IHC-P, IP, WB
NB200-103
Species: Hu, Mu, Rt, Xp(-), Ye
Applications: CyTOF-ready, ELISA, Flow-IC, Flow, ICC/IF, IHC, IHC-Fr,  IHC-P, IP, WB
AF8221
Species: Hu, Mu, Rt
Applications: IHC, KO, Simple Western, WB
NBP3-25355
Species: Dr, Hu, Mu
Applications: IHC,  IHC-P, WB
AF4670
Species: Hu
Applications: CyTOF-ready, Flow, IHC, KO, Neut, WB
NBP2-33680
Species: Hu
Applications: IHC,  IHC-P
NBP2-14214
Species: Hu
Applications: IHC,  IHC-P
NBP2-29463
Species: Pm, Hu, Pm, Mu
Applications: Flow, ICC/IF, IHC,  IHC-P, WB
DVE00
Species: Hu
Applications: ELISA
NB100-56104
Species: Ca, Hu, Mu, Rt
Applications: IHC, IHC-Fr,  IHC-P, IP, WB
AF887
Species: Hu, Mu, Rt
Applications: CyTOF-ready, IHC, ICFlow, Simple Western, WB
AF820
Species: Hu, Mu
Applications: ICC, IHC, KO, Simple Western, WB
MAB1799
Species: Hu, Mu, Rt
Applications: ICC, IP, ICFlow, KO, WB
375-TL
Species: Hu
Applications: BA
NB100-56311
Species: Hu, Mu
Applications: ICC/IF, IHC,  IHC-P, WB
AF231
Species: Hu
Applications: CyTOF-ready, Dual ISH-IHC, ELISA(Cap), ELISA(Det), ELISA(Sta), Flow, ICC, IHC, IP, Simple Western, WB
NBP2-32840
Species: Hu, Pm, Mu, Rt
Applications: Flow, ICC/IF, IHC,  IHC-P, WB
NBP3-24238
Species: Hu
Applications: IHC

Publications for Survivin Antibody (NBP3-24238) (0)

There are no publications for Survivin Antibody (NBP3-24238).
By submitting your publication information earn gift cards and discounts for future purchases.

Reviews for Survivin Antibody (NBP3-24238) (0)

There are no reviews for Survivin Antibody (NBP3-24238). By submitting a review you will receive an Amazon e-Gift Card or Novus Product Discount.
  • Review with no image -- $10/€7/£6/$10 CAD/¥70 Yuan/¥1110 Yen
  • Review with an image -- $25/€18/£15/$25 CAD/¥150 Yuan/¥2500 Yen

Product General Protocols

Find general support by application which include: protocols, troubleshooting, illustrated assays, videos and webinars.

FAQs for Survivin Antibody (NBP3-24238). (Showing 1 - 1 of 1 FAQ).

  1. Can I use this antibody with species other than those listed?
    • The species we have listed are validated and therefore have a 100% guarantee to work with this antibody. We cannot guarantee that this will work with other species.

Secondary Antibodies

 

Isotype Controls

Additional Survivin Products

Research Areas for Survivin Antibody (NBP3-24238)

Find related products by research area.

Blogs on Survivin. Showing 1-10 of 16 blog posts - Show all blog posts.


  Read full blog post.

The Ins and Outs of Survivin
By Rachel M.A. Linger, Ph.D.What is survivin?Survivin is a small (16.5 kDa) protein normally found in human fetal tissue. In contrast, survivin is typically undetectable in most normal adult tissues. Expression of ...  Read full blog post.

Survivin - an inhibitor of apoptosis that drives tumorigenesis and metastasis
Apoptosis is the tightly regulated process of programmed cell death. It plays an important role in normal physiologic development but has also been implicated in a number of diseases. Apoptosis is constantly downregulated by a family of anti-apop...  Read full blog post.

Survivin - an inhibitor of apoptosis protein
Survivin is an anti-apoptotic protein which is the smallest protein within a large family of proteins including X-linked IAP, c-IAP1 and 2, IAP-like protein-2, melanoma IAP, NAIP, and Livin. Survivin is responsible for a wide range of basic cellula...  Read full blog post.

Cytochrome C - a mediator of apoptosis
Cytochrome C is a small heme protein within the inner mitochondrial membrane responsible for carrying electrons within the respiratory transport chain.  Additionally, cytochrome c has also been identified as a player in programmed cell death (apop...  Read full blog post.

PCNA (Proliferating cell nuclear antigen, polymerase delta auxiliary protein)
PCNA is a nuclear protein essential for DNA replication as well as DNA excision and mismatch repair pathways. It coordinates the recruitment and association of needed components during both of these processes, both of which are essential for cell cycl...  Read full blog post.

Survivin is thrivin'
The survivin anti-apoptotic protein is the smallest member of a large family of proteins such as X-linked IAP, c-IAP1 and 2, IAP-like protein-2, melanoma IAP, Livin, and NAIP. Survivin regulates basic physiological events such as the cell cycle, tumor...  Read full blog post.

Livin: On a Prayer
Livin is a member of the inhibitor of apoptosis proteins (IAP) family that regulates programmed cell death. The Livin protein contains a single baculovirus IAP repeat (BIR) essential for function, along with a COOH-terminal RING-type zinc finger domai...  Read full blog post.

Survivin: As long as I know how to live I know I will
Survivin is an anti-apoptotic protein from a large family with related members such as X-linked IAP, cIAP1 and cIAP2, IAP-like protein-2, melanoma IAP, Livin, and NAIP. Survivin regulates fundamental physiological events including the cell cycle, feta...  Read full blog post.

Survivin: Infographic
Survivin is involved in promoting cell proliferation and is an inhibitor of apoptosis. Survivin has a critical role in cancer proliferation and neural development. It may have an impact on neural cell proliferative responses following brain injury.L...  Read full blog post.

Showing 1-10 of 16 blog posts - Show all blog posts.

Customers Who Bought This Also Bought

Contact Information

Product PDFs

Calculators

Concentration Calculator

The concentration calculator allows you to quickly calculate the volume, mass or concentration of your vial. Simply enter your mass, volume, or concentration values for your reagent and the calculator will determine the rest.

=
÷

Review this Product

Be the first to review our Survivin Antibody (BIRC5/8936R) - Azide and BSA Free and receive a gift card or discount.

Bioinformatics

Gene Symbol BIRC5