CD44 Antibody - BSA Free

Images

 
Orthogonal Strategies: Immunohistochemistry-Paraffin: CD44 Antibody [NBP1-84578] - Staining in human skin and skeletal muscle tissues . Corresponding CD44 RNA-seq data are presented for the same tissues.
Immunocytochemistry/ Immunofluorescence: CD44 Antibody [NBP1-84578] - Staining of human cell line U-251 MG shows localization to plasma membrane. Antibody staining is shown in green.
Immunohistochemistry-Paraffin: CD44 Antibody [NBP1-84578] - Staining of human lymph node shows strong positivity in plasma membrane in non-germinal center cells.
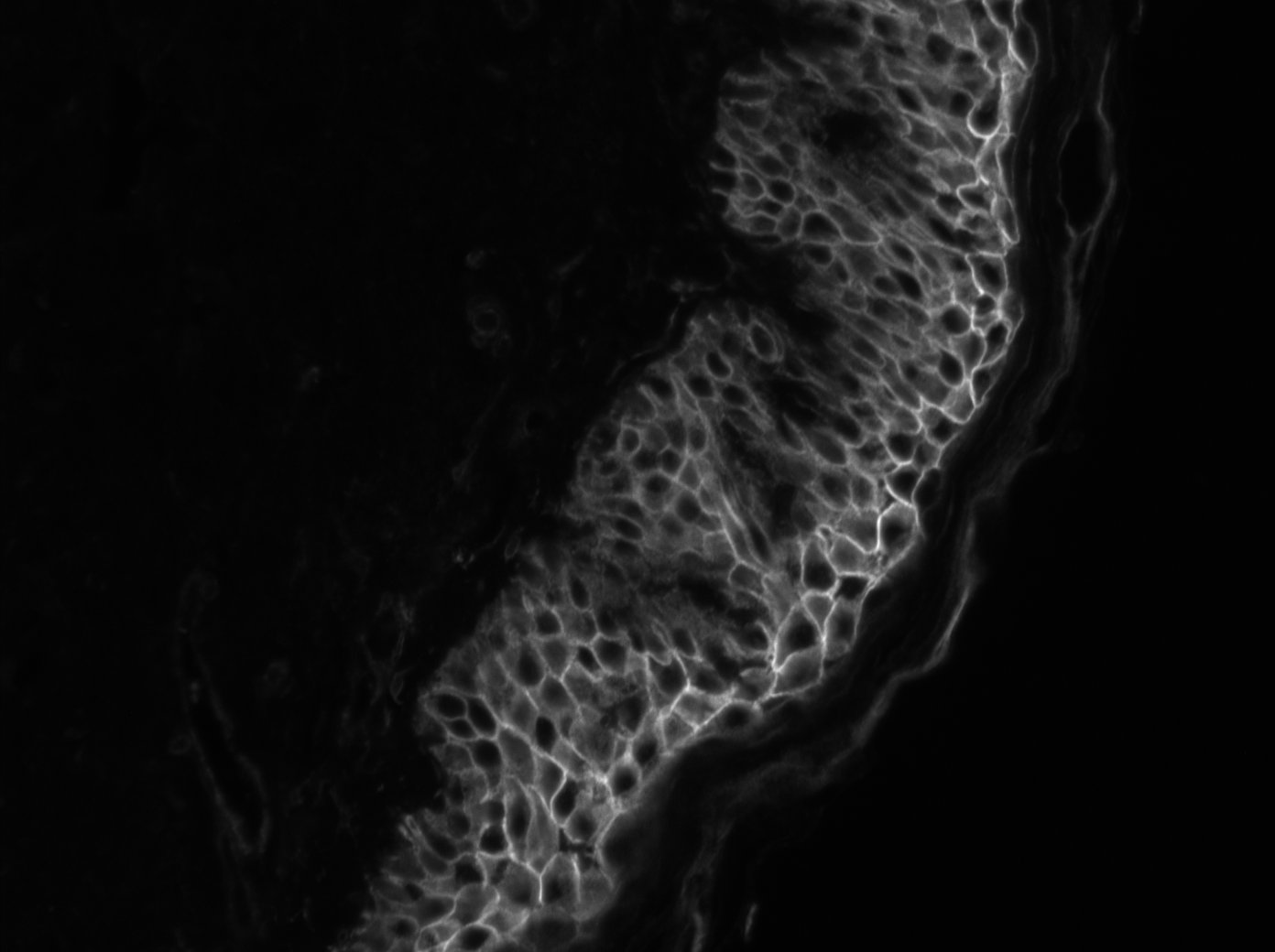
Immunohistochemistry-Paraffin: CD44 Antibody [NBP1-84578] - Staining of human skin shows strong membranous positivity in squamous epithelial cells.
Immunohistochemistry-Paraffin: CD44 Antibody [NBP1-84578] - Staining of human squamous cell lung carcinoma shows strong membranous positivity in tumor cells.
Immunohistochemistry-Paraffin: CD44 Antibody [NBP1-84578] - Staining of human skeletal muscle shows no positivity in striated muscle fibers as expected.
Orthogonal Strategies: Analysis in human cell lines U-251MG and MCF-7 using Anti-CD44 antibody. Corresponding CD44 RNA-seq data are presented for the same cell lines. Loading control: Anti-GAPDH.

Product Details

Summary
Reactivity HuSpecies Glossary
Applications WB, ICC/IF, IHC
Clonality
Polyclonal
Host
Rabbit
Conjugate
Unconjugated
Format
BSA Free
Validated by:
       

Orthogonal Strategies

 

Order Details

View Available Formulations
Catalog# & Formulation Size Price

CD44 Antibody - BSA Free Summary

Description
Novus Biologicals Rabbit CD44 Antibody - BSA Free (NBP1-84578) is a polyclonal antibody validated for use in IHC, WB and ICC/IF. Anti-CD44 Antibody: Cited in 8 publications. All Novus Biologicals antibodies are covered by our 100% guarantee.
Immunogen
This antibody was developed against Recombinant Protein corresponding to amino acids: DDVSSGSSSERSSTSGGYIFYTFSTVHPIPDEDSPWITDSTDRIPATTLMSTSATATETATKRQETWDWFSWLFLPSESKNHLHTTTQMAGTSSNTISAGWEPNEENEDERDRHLSFSGSGIDDDEDFISSTISTTPR
Marker
Cell Membrane Marker
Isotype
IgG
Clonality
Polyclonal
Host
Rabbit
Gene
CD44
Purity
Affinity purified
Innovator's Reward
Test in a species/application not listed above to receive a full credit towards a future purchase.

Applications/Dilutions

Dilutions
  • Immunocytochemistry/ Immunofluorescence 0.25-2 ug/ml
  • Immunohistochemistry 1:1000 - 1:2500
  • Immunohistochemistry-Paraffin 1:1000 - 1:2500
  • Western Blot 0.04-0.4 ug/ml
Application Notes
For IHC-Paraffin, HIER pH 6 retrieval is recommended. ICC/IF Fixation Permeabilization: Use PFA/Triton X-100.
Control Peptide
CD44 Protein (NBP1-84578PEP)
Reviewed Applications
Read 1 Review rated 4
using
NBP1-84578 in the following applications:

Publications
Read Publications using
NBP1-84578 in the following applications:

Packaging, Storage & Formulations

Storage
Store at 4C short term. Aliquot and store at -20C long term. Avoid freeze-thaw cycles.
Buffer
PBS (pH 7.2) and 40% Glycerol
Preservative
0.02% Sodium Azide
Purity
Affinity purified

Alternate Names for CD44 Antibody - BSA Free

  • CD44 antigen
  • CD44 molecule (Indian blood group)
  • CD44
  • CD44R
  • CDw44
  • cell surface glycoprotein CD44
  • chondroitin sulfate proteoglycan 8
  • CSPG8
  • ECMR-III
  • epican
  • Extracellular matrix receptor III
  • GP90 lymphocyte homing/adhesion receptor
  • HCAM
  • HCELL
  • hematopoietic cell E- and L-selectin ligand
  • Heparan sulfate proteoglycan
  • Hermes antigen
  • homing function and Indian blood group system
  • HUTCH-I
  • Hyaluronate receptor
  • IN
  • LHR
  • MC56
  • MDU2
  • MDU2CD44 antigen (homing function and Indian blood group system)
  • MDU3
  • MDU3CDW44
  • MIC4
  • MIC4MGC10468
  • MUTCH-I
  • Pgp1
  • PGP-1
  • PGP-I
  • Phagocytic glycoprotein 1
  • Phagocytic glycoprotein I

Background

CD44 represents a family of type I transmembrane glycoproteins expressed on many cell types such as B cells, monocytes, macrophages, and variable subsets of thymocytes and peripheral T cells. CD44 primarily functions as an adhesion molecule. It has been implicated in various processes, such as hematopoiesis, lymphocyte homing, leukocyte activation, tumor metastasis and development. The KM201 monoclonal antibody reacts with an epitope very close to the hyaluronate binding domain on the CD44 molecule. KM201 can inhibit hyaluronate-dependent cell aggregation, prevent lympho-hemopoiesis in both Dexter and Whitlock-Witte Cultures, prevent the earliest intrathymic precursors from homing to the thymus, and costimulate the activation of freshly purified splenic CD4+ T cells.1-6

Limitations

This product is for research use only and is not approved for use in humans or in clinical diagnosis. Primary Antibodies are guaranteed for 1 year from date of receipt.

Customers Who Viewed This Item Also Viewed...

7268-CT
Species: Hu
Applications: BA
NBP2-79843
Species: Hu
Applications: CyTOF-ready, ELISA, Flow, ICC/IF, IHC,  IHC-P, PA, WB
NB100-524
Species: Hu, Mu
Applications: Flow-IC, Flow, ICC/IF, IHC, IHC-Fr,  IHC-P, IP, WB
AF796
Species: Mu
Applications: AdBlk, IHC, WB
NBP1-19371
Species: Ca, Hu, Mu, Po, Rb, Rt
Applications: Dual ISH-IHC, Flow, ICC/IF, IHC, IHC-Fr,  IHC-P, Simple Western, WB
AF114
Species: Mu
Applications: CyTOF-ready, Flow, ICC, IHC, WB
BBA24
Species: Hu
Applications: CyTOF-ready, ELISA(Cap), ELISA(Det), ELISA(Sta), Flow
NBP1-49045
Species: Mu, Rt
Applications: Cell Depl, CyTOF-ready, Flow, ICC/IF, IHC, IHC-Fr,  IHC-P, IP, InhibTFunc
202-IL
Species: Hu
Applications: BA
NBP1-91258
Species: Bv, Ca, Eq, Fe, Hu, Mu, Po, Rt
Applications: ICC/IF, IHC, IHC-Fr,  IHC-P, Simple Western, WB
MAB17781
Species: Hu
Applications: Block, CyTOF-ready, Flow, ICC, IP, KO
AF4117
Species: Rt
Applications: IHC, WB
AF1730
Species: Hu
Applications: AdBlk, CyTOF-ready, Flow, ICC
NB100-77903
Species: Hu
Applications: Flow, ICC/IF, IHC, IHC-Fr
MAB3595
Species: Hu
Applications: CyTOF-ready, Flow, Simple Western, WB
MAB2965
Species: Hu
Applications: CyTOF-ready, Flow
AF808
Species: Mu
Applications: ELISA(Cap), ELISA(Det), ELISA(Sta), ICC, IHC, Neut, WB
M6000B
Species: Mu
Applications: ELISA
AF2364
Species: Hu
Applications: IHC, WB

Publications for CD44 Antibody (NBP1-84578)(8)

We have publications tested in 1 confirmed species: Human.

We have publications tested in 1 application: ICC/IF.


Filter By Application
ICC/IF
(2)
All Applications
Filter By Species
Human
(2)
All Species
Showing Publications 1 - 8 of 8.
Publications using NBP1-84578 Applications Species
Helen Schneck, Berthold Gierke, Frauke Uppenkamp et al. EpCAM-Independent Enrichment of Circulating Tumor Cells in Metastatic Breast Cancer. PLOS ONE 2015-12-22 [PMID: 26859839] (ICC/IF, Human) ICC/IF Human
Helen Schneck, Berthold Gierke, Frauke Uppenkamp, Bianca Behrens, Dieter Niederacher, Nikolas H. Stoecklein et al. EpCAM-Independent Enrichment of Circulating Tumor Cells in Metastatic Breast Cancer PLOS ONE 2015-12-22 [PMID: 26695635]
Ran Ma, Irma Fredriksson, Govindasamy-Muralidharan Karthik et al. Superficial scrapings from breast tumors is a source for biobanking and research purposes. Laboratory Investigation 2014-01-01 [PMID: 24776644] (ICC/IF, Human) ICC/IF Human
Baccelli I, Schneeweiss A, Riethdorf S et al. Identification of a population of blood circulating tumor cells from breast cancer patients that initiates metastasis in a xenograft assay. Nat Biotechnol 2013-06-01 [PMID: 23609047]
Petit V, Massonnet G, Maciorowski Z et al. Optimization of tumor xenograft dissociation for the profiling of cell surface markers and nutrient transporters. Lab Invest 2013-05-01 [PMID: 23459372]
Vazquez-Martin A, Oliveras-Ferraros C, Cufi S et al. Metformin regulates breast cancer stem cell ontogeny by transcriptional regulation of the epithelial-mesenchymal transition (EMT) status. Cell Cycle 2010-09-15 [PMID: 20890129]
Twarock S, Rock K, Sarbia M et al. Synthesis of hyaluronan in oesophageal cancer cells is uncoupled from the prostaglandin-cAMP pathway. Br J Pharmacol 2009-05-01 [PMID: 19338584]
Asplund A, Gry Bjorklund M, Sundquist C et al. Expression profiling of microdissected cell populations selected from basal cells in normal epidermis and basal cell carcinoma. Br J Dermatol 2008-03-01 [PMID: 18241271]

Review for CD44 Antibody (NBP1-84578) (1) 41

Average Rating: 4
(Based on 1 review)
We have 1 review tested in 1 species: Human.

Reviews using NBP1-84578:
Filter by Applications
 IHC-P
(1)
All Applications
Filter by Species
Human
(1)
All Species
Images Ratings Applications Species Date Details
Immunohistochemistry-Paraffin CD44 NBP1-84578
Enlarge
4
reviewed by:
Verified Customer
 IHC-P Human 04/11/2019
View

Summary

ApplicationImmunohistochemistry-Paraffin
Sample Testedhuman skin
SpeciesHuman
LotI113988

Product General Protocols

Find general support by application which include: protocols, troubleshooting, illustrated assays, videos and webinars.

Video Protocols

WB Video Protocol
ICC/IF Video Protocol

FAQs for CD44 Antibody (NBP1-84578) (0)

There are no specific FAQs related to this product. Read our general customer & technical service FAQs.

Secondary Antibodies

 

Isotype Controls

Additional CD44 Products

Research Areas for CD44 Antibody (NBP1-84578)

Find related products by research area.

Blogs on CD44.

Taking Biomarker Discovery From 2D to 3D: Increased Biological Activity of EVs Isolated From 3D Prostate Cancer Cultures
Jamshed Arslan, Pharm D, PhD Tissues within the human body are made of a three-dimensional (3D) arrangement of cells working together to perform vital functions. The commonly used 2D monolayer cultures have limited ...  Read full blog post.

Stemness is responsible for onset and metastasis of colorectal cancer
By Jamshed Arslan, Pharm. D., PhD. Colorectal cancer stem cells are a rare subpopulation of colorectal cancer cells that can self-renew and initiate and sustain tumor growth when transplanted into an animal host.1,2 C...  Read full blog post.

The Osteopontin Antibody and Hepatic Research
Antibody suppliers, such as us at Novus Biologicals, supply a wide range of cell marker products, among them the Osteopontin antibody. Recently, the osteopontin antibody has proven useful in hepatic cancer research.Osteopontin (OPN) is mainly expres...  Read full blog post.

CD Antibodies Uncover Markers for Rare Breast Cancer
We at Novus Biologicals have added several new products to our CD antibody database. The CD, or Cluster of Differential proteins are a family of type I transmembrane glycoproteins widely expressed in immune cell populations. These include B cells, thy...  Read full blog post.

Customers Who Bought This Also Bought

Contact Information

Product PDFs

Calculators

Concentration Calculator

The concentration calculator allows you to quickly calculate the volume, mass or concentration of your vial. Simply enter your mass, volume, or concentration values for your reagent and the calculator will determine the rest.

=
÷

Recent Reviews

4
5
0
4
1
3
0
2
0
1
0

Verified Customer
04/11/2019
Application:  IHC-P
Species: Human

Bioinformatics

Gene Symbol CD44