E-Cadherin Antibody - BSA Free

Images

 
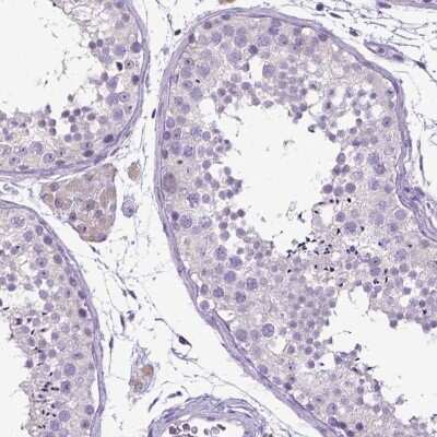
Immunohistochemistry-Paraffin: E-Cadherin Antibody [NBP1-84588] - Staining of human testis shows no positivity in cells in seminiferous ducts as expected.
Immunohistochemistry-Paraffin: E-Cadherin Antibody [NBP1-84588] - Staining of human colon shows moderate positivity in plasma membrane in glandular cells.
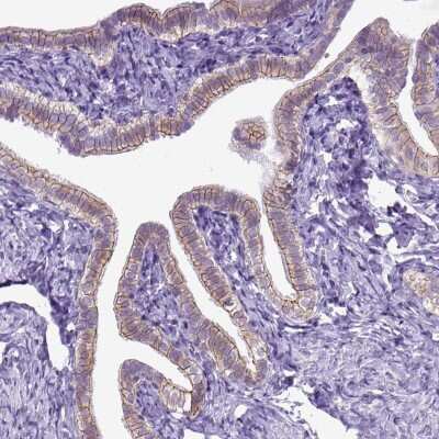
Immunohistochemistry-Paraffin: E-Cadherin Antibody [NBP1-84588] - Staining of human fallopian tube shows moderate positivity in plasma membrane of glandular cells.
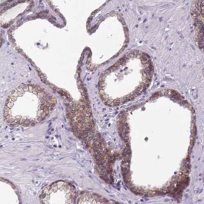
Immunohistochemistry-Paraffin: E-Cadherin Antibody [NBP1-84588] - Staining of human prostate shows moderate positivity in plasma membrane in glandular cells.
Staining of human colon shows strong positivity in plasma membrane in glandular cells.
Orthogonal Strategies: Analysis in human colon and testis tissues using HPA004812 antibody. Corresponding CDH1 RNA-seq data are presented for the same tissues.
Orthogonal Strategies: Analysis in human cell lines Caco-2 and HeLa using Anti-CDH1 antibody. Corresponding CDH1 RNA-seq data are presented for the same cell lines. Loading control: Anti-COX4I1.

Product Details

Summary
Reactivity HuSpecies Glossary
Applications IHC
Clonality
Polyclonal
Host
Rabbit
Conjugate
Unconjugated
Format
BSA Free
Validated by:
       

Orthogonal Strategies

 

Order Details

View Available Formulations
Catalog# & Formulation Size Price

E-Cadherin Antibody - BSA Free Summary

Description
Novus Biologicals Rabbit E-Cadherin Antibody - BSA Free (NBP1-84588) is a polyclonal antibody validated for use in IHC. All Novus Biologicals antibodies are covered by our 100% guarantee.
Immunogen
This antibody was developed against Recombinant Protein corresponding to amino acids: ATDNGSPVATGTGTLLLILSDVNDNAPIPEPRTIFFCERNPKPQVINIIDADLPPNTSPFTAELTHGASANWTIQYNDPTQESIILKPKMALEVGDYKINLKLMDNQNKDQVTTLEVSVCDCEGA
Marker
Epithelial Cell Marker, Adherens Junctions Marker
Isotype
IgG
Clonality
Polyclonal
Host
Rabbit
Gene
CDH1
Purity
Affinity purified
Innovator's Reward
Test in a species/application not listed above to receive a full credit towards a future purchase.

Applications/Dilutions

Dilutions
  • Immunohistochemistry 1:500 - 1:1000
  • Immunohistochemistry-Paraffin 1:500 - 1:1000
Application Notes
For IHC-Paraffin, HIER pH 6 retrieval is recommended.
Control Peptide
E-Cadherin Protein (NBP1-84588PEP)

Reactivity Notes

Immunogen displays the following percentage of sequence identity for non-tested species: Rat (80%)

Packaging, Storage & Formulations

Storage
Store at 4C short term. Aliquot and store at -20C long term. Avoid freeze-thaw cycles.
Buffer
PBS (pH 7.2) and 40% Glycerol
Preservative
0.02% Sodium Azide
Purity
Affinity purified

Alternate Names for E-Cadherin Antibody - BSA Free

  • Arc-1
  • CAD1
  • cadherin 1, E-cadherin (epithelial)
  • cadherin 1, type 1, E-cadherin (epithelial)
  • Cadherin-1
  • calcium-dependent adhesion protein, epithelial
  • CAM 120/80
  • CD324 antigen
  • CD324
  • CDH1
  • CDHE
  • cell-CAM 120/80
  • Cell-CAM120/80
  • ECAD
  • ECadherin
  • E-Cadherin
  • Epithelial cadherin
  • LCAM
  • L-CAM
  • UVOE-Cadherin
  • Uvomorulin

Background

E-cadherin, or epithelial cadherin, is an cell-cell adhesion glycoprotein important to cellular processes such as morphology, polarity, development, tissue integrity and migration. E cadherin's extracellular domain interacts with other E-cadherin protein on adjacent epithelial cells to establish adhesion between them. E cadherin has also been identified as a tumor and metastasis suppressor, and its mutations have been linked to various forms of cancer.

Limitations

This product is for research use only and is not approved for use in humans or in clinical diagnosis. Primary Antibodies are guaranteed for 1 year from date of receipt.

Customers Who Viewed This Item Also Viewed...

AF1329
Species: Hu, Mu, Rt
Applications: ChIP, CyTOF-ready, ICC, IHC, ICFlow, Simple Western, WB
NBP1-83976
Species: Hu
Applications: ICC/IF, IHC,  IHC-P
NB100-807
Species: Hu
Applications: ICC/IF, PEP-ELISA, WB
NB100-91662
Species: Hu, Mu, Rt
Applications: Flow, ICC/IF, IHC,  IHC-P, Simple Western, WB
NB300-223
Species: Bv, Ca, Ch, Eq, Hu, Mu, Po, Rt
Applications: ICC/IF, IHC, IHC-Fr,  IHC-P, WB
NB200-106
Species: Mu, Rt
Applications: ELISA, ICC/IF, IHC, IHC-Fr,  IHC-P, WB
NBP2-15723
Species: Hu, Mu, Rt
Applications: ICC/IF, IHC,  IHC-P, IP, WB
AF1329
Species: Hu, Mu, Rt
Applications: ChIP, CyTOF-ready, ICC, IHC, ICFlow, Simple Western, WB
NBP1-48309
Species: Hu, Mu, Rt
Applications: Flow-IC, Flow, ICC/IF, IHC,  IHC-P, IP, Simple Western, WB
AF231
Species: Hu
Applications: CyTOF-ready, Dual ISH-IHC, ELISA(Cap), ELISA(Det), ELISA(Sta), Flow, ICC, IHC, IP, Simple Western, WB
AF4885
Species: Mu
Applications: IP, WB
NB200-103
Species: Hu, Mu, Rt, Xp(-), Ye
Applications: CyTOF-ready, ELISA, Flow-IC, Flow, ICC/IF, IHC, IHC-Fr,  IHC-P, IP, WB
NBP1-85047
Species: Hu, Mu, Po, Rt
Applications: ICC/IF, IHC,  IHC-P, WB
NBP1-91258
Species: Bv, Ca, Eq, Fe, Hu, Mu, Po, Rt
Applications: ICC/IF, IHC, IHC-Fr,  IHC-P, Simple Western, WB
NBP2-03886
Species: Hu, Mu, Rt
Applications: Flow, IHC,  IHC-P, WB
1129-ER
Species: Hu
Applications: BA
DVE00
Species: Hu
Applications: ELISA
AF887
Species: Hu, Mu, Rt
Applications: CyTOF-ready, IHC, ICFlow, Simple Western, WB
BBA10
Species: Hu
Applications: CyTOF-ready, Flow, IHC, IP, KO, Simple Western, WB
NBP1-84588
Species: Hu
Applications: IHC

Publications for E-Cadherin Antibody (NBP1-84588) (0)

There are no publications for E-Cadherin Antibody (NBP1-84588).
By submitting your publication information earn gift cards and discounts for future purchases.

Reviews for E-Cadherin Antibody (NBP1-84588) (0)

There are no reviews for E-Cadherin Antibody (NBP1-84588). By submitting a review you will receive an Amazon e-Gift Card or Novus Product Discount.
  • Review with no image -- $10/€7/£6/$10 CAD/¥70 Yuan/¥1110 Yen
  • Review with an image -- $25/€18/£15/$25 CAD/¥150 Yuan/¥2500 Yen

Product General Protocols

Find general support by application which include: protocols, troubleshooting, illustrated assays, videos and webinars.

FAQs for E-Cadherin Antibody (NBP1-84588) (0)

There are no specific FAQs related to this product. Read our general customer & technical service FAQs.

Secondary Antibodies

 

Isotype Controls

Additional E-Cadherin Products

Research Areas for E-Cadherin Antibody (NBP1-84588)

Find related products by research area.

Blogs on E-Cadherin.

Suppressing breast cancer metastasis: The role of hypoxia-induced RhoB expression and activation
By Jamshed Arslan, Pharm. D., PhD. The Ras homologous (Rho) GTPase family of signaling molecules has over 20 members, which typically cycle between active (GTP-bound) and inactive (GDP-bound) states. These small GTPa...  Read full blog post.

Cathepsin B - a lysosomal protease with potential of an important drug target in neurological diseases and cancer
Cathepsins are a family of lysosomal proteases (serine, aspartic and cysteine proteases) that acts in conjunction with lipases and nucleases to degrade biological macromolecules in the lysosomes (1). While most cathepsins are ubiquitously expressed...  Read full blog post.

SOX2 - a stem cell transcription factor
The SOX gene family encodes a group of highly conserved transcription factors defined by the presence of a conserved high motility group (HMG) DNA-binding domain. They are involved in embryonic development regulation and cell fate determination. Al...  Read full blog post.

Beta-catenin - I am versatile!
Beta-catenin is a cytosolic, 88 kDa intracellular protein associated with cell surface cadherin glycoproteins. It is a member of the larger calcium-dependent catenin family that includes alpha-catenin, beta-catenin, and gamma-catenin (also known as pl...  Read full blog post.

Vimentin: Regulating EMT and Cancer
Vimentin, a member of the intermediate filament (IF) family, is a protein responsible for maintaining cellular integrity and reducing damage caused by stress. The vimentin protein is ubiquitously expressed in normal mesenchymal cells, and recent resea...  Read full blog post.

Carbonic Anhydrase IX Roles in Tumor Growth, Survival and Invasion
Carbonic anhydrase IX (CAIX) is a membrane-associated carbonic anhydrase, strongly induced by hypoxia. CA IX is overexpressed by several cancer cells from many tumor types, and is a component of the pH regulatory system invoked by these cells to comba...  Read full blog post.

E-Cadherin as a Cancer Biomarker
E-cadherin is a calcium-regulated adhesion molecule expressed in most normal epithelial tissues. E-cadherin is also associated with gland formation, stratification, and epithelial polarization, while loss of E-cadherin can cause dedifferentiation and ...  Read full blog post.

E-Cadherin in Cell-Cell Adhesion and Cancer Diagnostics
E-Cadherin is a member of the cadherin superfamily and is fundamental player in a wide range of cellular processes such as development, morphology, polarity, migration and tissue integrity. Specifically, E-cadherin is an approximately 100 kDa epitheli...  Read full blog post.

Customers Who Bought This Also Bought

Contact Information

Product PDFs

Calculators

Concentration Calculator

The concentration calculator allows you to quickly calculate the volume, mass or concentration of your vial. Simply enter your mass, volume, or concentration values for your reagent and the calculator will determine the rest.

=
÷

Review this Product

Be the first to review our E-Cadherin Antibody - BSA Free and receive a gift card or discount.

Bioinformatics

Gene Symbol CDH1