CD31/PECAM-1 Antibody (C31.7) - IHC-Prediluted

Images

 
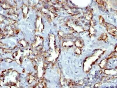
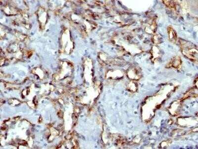
Immunohistochemistry-Paraffin: CD31/PECAM-1 Antibody (C31.7) - IHC-Prediluted [NBP2-44333] - Analysis using Azide/BSA FREE version of CD31/PECAM-1 Antibody (C31.7) - IHC-Prediluted. Formalin-paraffin human Angiosarcoma ...read more
Flow Cytometry of human CD31 on Jurkat cells. Black: cells alone; Grey: Isotype Control; Green: CF488-labeled CD31/PECAM-1 Antibody (C31.7) - IHC-Prediluted.
Western Blot of CD31 in THP-1 cell lysate using CD31/PECAM-1 Antibody (C31.7) - IHC-Prediluted.
Western Blot Analysis of human Jurkat cell lysate using CD31/PECAM-1 Antibody (C31.7) - IHC-Prediluted.
Flow Cytometric Analysis of human CD31 on Jurkat cells. Black: Cells alone; Green: Isotype Control; Red: PE-labeled CD31/PECAM-1 Antibody (C31.7) - IHC-Prediluted.
Flow Cytometric analysis of human CD31 on Jurkat cells. Black: cells alone; Green: Isotype Control; Red: PE-labeled CD31/PECAM-1 Antibody (C31.7) - IHC-Prediluted.
Flow cytometric analysis of PFA-fixed Jurkat cells using CD31/PECAM-1 Antibody (C31.7) - IHC-Prediluted followed by goat anti-Mouse IgG-CF488 (blue); isotype control (red).
Flow Cytometry of human CD31 on Jurkat cells. Black: cells alone; Grey: Isotype Control; Green: AF488-labeled CD31/PECAM-1 Antibody (C31.7) - IHC-Prediluted.

Product Details

Summary
Reactivity Hu, Pm-Cm, RbSpecies Glossary
Applications IHC
Clone
C31.7
Clonality
Monoclonal
Host
Mouse
Conjugate
Unconjugated
Format
IHC-Prediluted

Order Details

CD31/PECAM-1 Antibody (C31.7) - IHC-Prediluted Summary

Description
The prediluted antibody does not require any mixing, dilution, reconstitution, or titration; the antibody is ready-to-use and optimized for staining.
Immunogen
Recombinant human full-length CD31/PECAM-1 protein (Uniprot: P16284)
Localization
Cell surface and cytoplasmic
Marker
Endothelial Cell Marker
Specificity
CD31 (PECAM-1) is a transmembrane glycoprotein member of the immunoglobulin supergene family of adhesion molecules. CD31 is expressed by stem cells of the hematopoietic system and is primarily used to identify and concentrate these cells for experimental studies as well as for bone marrow transplantation. Anti-CD31 has shown to be highly specific and sensitive for vascular endothelial cells. Staining of nonvascular tumors (excluding hematopoietic neoplasms) is rare. CD31 monoclonal antibody reacts with normal, benign, and malignant endothelial cells which make up blood vessel lining. The level of CD31 expression can help to determine the degree of tumor angiogenesis, and a high level of CD31 expression may imply a rapidly growing tumor and potentially a predictor of tumor recurrence.
Isotype
IgG1 Kappa
Clonality
Monoclonal
Host
Mouse
Gene
PECAM1
Purity
Protein A or G purified
Innovator's Reward
Test in a species/application not listed above to receive a full credit towards a future purchase.

Applications/Dilutions

Dilutions
  • Immunohistochemistry
  • Immunohistochemistry-Paraffin 1 - 2 ug/ml
Application Notes
Immunohistochemistry (Formalin-fixed): 1-2ug/ml for 30 minutes at RT. Staining of formalin-fixed tissues requires heating tissue sections in 10mM Tris with 1mM EDTA, pH 9.0, for 45 min at 95C followed by cooling at RT for 20 minutes.
Optimal dilution for a specific application should be determined.
Theoretical MW
82.5 kDa.
Disclaimer note: The observed molecular weight of the protein may vary from the listed predicted molecular weight due to post translational modifications, post translation cleavages, relative charges, and other experimental factors.

Reactivity Notes

Weakly reacts with Rat.

Packaging, Storage & Formulations

Storage
Store at 4C.
Buffer
10 mM PBS with 0.05% BSA
Preservative
0.05% Sodium Azide
Purity
Protein A or G purified

Alternate Names for CD31/PECAM-1 Antibody (C31.7) - IHC-Prediluted

  • adhesion molecule
  • CD31 antigen
  • CD31
  • CD31/EndoCAM
  • EndoCAM
  • FLJ34100
  • FLJ58394
  • GPIIA'
  • PECA1
  • PECAM1
  • PECAM-1
  • PECAM-1, CD31/EndoCAM
  • platelet endothelial cell adhesion molecule
  • platelet endothelial cell adhesion molecule-1
  • platelet/endothelial cell adhesion molecule

Background

Cluster of differentiation (CD31), Platelet Endothelial Cell Adhesion Molecule 1 (PECAM-1), is a 30kDa type I transmembrane glycoprotein expressed by endothelial cells, platelets, leukocytes and some lymphocytes (e.g., B and T-cell subsets). Structurally, PECAM-1 consists of six extracellular immunoglobulin-like domains which serve to support various functions including homophilic binding, maintaining high expression of PECAM-1 within endothelial intercellular junctions, and supporting endothelial cell migration (1,2). PECAM's homophilic binding underscores its role in vascular barrier integrity and leukocyte trans-endothelial movement. However, PECAM may also engage in heterophilic interactions with molecules such as glycosaminoglycans (GAG), integrin alpha 5 beta 3, CD38 in lymphocytes and CD177/PR3 in neutrophils (2).

PECAM's intracellular cytoplasmic domain consists of a sequence of 118 amino acids and contains serine and tyrosine (also referred to as immunoreceptor tyrosine-based inhibitory motifs-ITIMs) residues, which may be phosphorylated upon cellular stimulation (3). ITIMs are phosphorylated by Src-family kinases and non-Src family kinases (e.g., Csk), leading to a conformational change which supports interactions with Src homology 2 (SH2) domain containing proteins such as protein-tyrosine phosphatase, SHP-2 (1,2). Formation of SHP-2/PECAM-1 complexes induces endothelial cell migration through the dephosphorylation of focal adhesion kinase and regulation of RhoA activity (1). Signaling downstream of ITIM tyrosine phosphorylations also plays a role in PECAM's anti-apoptotic activity, a function which is independent of its interaction with SHP-2. In platelets and leukocytes, phosphorylation of PECAM's cytosolic domain is inhibitory, preventing their activation.

References

1. Lertkiatmongkol, P., Liao, D., Mei, H., Hu, Y., & Newman, P. J. (2016). Endothelial functions of PECAM-1 (CD31). Current Opinion in Hematology. https://doi.org/10.1097/MOH.0000000000000239.Endothelial

2. Privratsky, J. R., & Newman, P. J. (2014). PECAM-1: Regulator of endothelial junctional integrity. Cell and Tissue Research. https://doi.org/10.1007/s00441-013-1779-3

3. Newman, P. J., & Newman, D. K. (2003). Signal transduction pathways mediated by PECAM-1: New roles for an old molecule in platelet and vascular cell biology. Arteriosclerosis, Thrombosis, and Vascular Biology. https://doi.org/10.1161/01.ATV.0000071347.69358.D9

Limitations

This product is for research use only and is not approved for use in humans or in clinical diagnosis. Primary Antibodies are guaranteed for 1 year from date of receipt.

Customers Who Viewed This Item Also Viewed...

DVE00
Species: Hu
Applications: ELISA
AF4117
Species: Rt
Applications: IHC, WB
7268-CT
Species: Hu
Applications: BA
NBP2-79843
Species: Hu
Applications: CyTOF-ready, ELISA, Flow, ICC/IF, IHC,  IHC-P, PA, WB
NB100-524
Species: Hu, Mu
Applications: Flow-IC, Flow, ICC/IF, IHC, IHC-Fr,  IHC-P, IP, WB
AF796
Species: Mu
Applications: AdBlk, IHC, WB
NB600-586
Species: Ca, Fe, Hu, Mu
Applications: Dual ISH-IHC, ICC/IF, IHC, IHC-Fr,  IHC-P
BBA16
Species: Hu
Applications: ELISA(Cap), ELISA(Det), ELISA(Sta), Flow, ICC, IHC, IP, WB
AF114
Species: Mu
Applications: CyTOF-ready, Flow, ICC, IHC, WB
AF1320
Species: Mu
Applications: CyTOF-ready, Flow, ICC, IHC, Simple Western, WB
AF1002
Species: Mu
Applications: Dual ISH-IHC, IHC, Simple Western, WB
233-FB
Species: Hu
Applications: BA
AF644
Species: Mu
Applications: CyTOF-ready, Dual ISH-IHC, Flow, IHC, Neut, WB
137-PS
Species: Hu
Applications: BA
M6000B
Species: Mu
Applications: ELISA
NB300-223
Species: Bv, Ca, Ch, Eq, Hu, Mu, Po, Rt
Applications: ICC/IF, IHC, IHC-Fr,  IHC-P, WB
NB100-91761
Species: Hu, Mu, Rt
Applications: ELISA, ICC/IF, IHC,  IHC-P, WB

Publications for CD31/PECAM-1 Antibody (NBP2-44333) (0)

There are no publications for CD31/PECAM-1 Antibody (NBP2-44333).
By submitting your publication information earn gift cards and discounts for future purchases.

Reviews for CD31/PECAM-1 Antibody (NBP2-44333) (0)

There are no reviews for CD31/PECAM-1 Antibody (NBP2-44333). By submitting a review you will receive an Amazon e-Gift Card or Novus Product Discount.
  • Review with no image -- $10/€7/£6/$10 CAD/¥70 Yuan/¥1110 Yen
  • Review with an image -- $25/€18/£15/$25 CAD/¥150 Yuan/¥2500 Yen

Product General Protocols

Find general support by application which include: protocols, troubleshooting, illustrated assays, videos and webinars.

FAQs for CD31/PECAM-1 Antibody (NBP2-44333) (0)

There are no specific FAQs related to this product. Read our general customer & technical service FAQs.

Customers Who Bought This Also Bought

Contact Information

Product PDFs

Calculators

Concentration Calculator

The concentration calculator allows you to quickly calculate the volume, mass or concentration of your vial. Simply enter your mass, volume, or concentration values for your reagent and the calculator will determine the rest.

=
÷

Review this Product

Be the first to review our CD31/PECAM-1 Antibody (C31.7) - IHC-Prediluted and receive a gift card or discount.

Bioinformatics

Gene Symbol PECAM1