STING/TMEM173 Antibody (STING1/7431) - Azide and BSA Free

Images

 
Western blot analysis of HDLM-2 cell lysate using STING/TMEM173 antibody (STING1/7431).
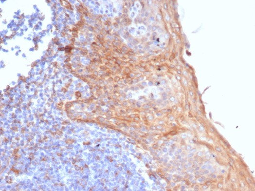
Formalin-fixed, paraffin-embedded human tonsil stained with STING/TMEM173 antibody (STING1/7431). HIER: Tris/EDTA, pH9.0, 45min. Secondary: HRP-polymer, 30min. DAB, 5min .
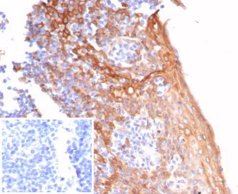
Formalin-fixed, paraffin-embedded human tonsil stained with STING/TMEM173 antibody (STING1/7431).Inset: PBS instead of primary antibody; secondary only negative control

Product Details

Summary
Reactivity HuSpecies Glossary
Applications IHC
Clone
STING1/7431
Clonality
Monoclonal
Host
Mouse
Conjugate
Unconjugated
Format
Azide and BSA Free
Concentration
1 mg/ml

Order Details

STING/TMEM173 Antibody (STING1/7431) - Azide and BSA Free Summary

Description
1.0 mg/ml of antibody purified from Bioreactor Concentrate by Protein A/G. Prepared in 10mM PBS WITHOUT BSA & azide. Also available at 200 ug/ml WITH BSA & azide (NBP3-13941).

Antibody without azide - store at -20 to -80C. Antibody with azide - store at 2 to 8C. Non-hazardous.

Theoretical molecular weight: 37-50kDa
Immunogen
Recombinant fragment (around aa190-290) of human STING/TMEM173 protein (exact sequence is proprietary) (Uniprot: Q86WV6 )
Localization
Cytoplasm
Isotype
IgG
Clonality
Monoclonal
Host
Mouse
Gene
STING1
Purity
Protein A or G purified
Innovator's Reward
Test in a species/application not listed above to receive a full credit towards a future purchase.

Applications/Dilutions

Dilutions
  • Immunohistochemistry-Paraffin 1-2 ug/ml
Application Notes
Immunohistochemistry (Formalin-fixed): 1-2ug/ml for 30 minutes at RT. Staining of formalin-fixed tissues requires heating tissue sections in 10mM Tris with 1mM EDTA, pH 9.0, for 45 min at 95C followed by cooling at RT for 20 minutes

Packaging, Storage & Formulations

Storage
Store at -20 to -80C. Avoid freeze-thaw cycles.
Buffer
10mM PBS
Preservative
No Preservative
Concentration
1 mg/ml
Purity
Protein A or G purified

Alternate Names for STING/TMEM173 Antibody (STING1/7431) - Azide and BSA Free

  • endoplasmic reticulum IFN stimulator
  • Endoplasmic reticulum interferon stimulator
  • ERIS
  • FLJ38577
  • hMITA
  • hSTING
  • Mediator of IRF3 activation
  • MITA
  • mitochondrial mediator of IRF3 activation
  • MPYS
  • NET23
  • N-terminal methionine-proline-tyrosine-serine plasma membrane tetraspanner
  • SAVI
  • Stimulator of interferon genes protein
  • stimulator of interferon protein
  • STING
  • STING-beta
  • TMEM173
  • transmembrane protein 173

Background

STING (stimulator of interferon genes) is encoded by the TMEM173 gene and is an adaptor molecule involved in the activation of innate immune responses to PAMPS (pathogen-associated molecular patterns) and DAMPS (damage-associated molecular patterns). STING specifically recognizes cytosolic DNA products derived from pathogens (e.g., cytomegalovirus, vaccinia virus, Listeria monocytogenes) or dead cells (1, 2). In the STING pathway, dsDNA derived from pathogens or damaged cells serves as a substrate for the enzyme cGAS (cyclic GMP-AMP synthase) which produces the second messenger cyclic GMP-AMP (cGAMP) from ATP and GTP (3, 4). Under steady-state conditions STING (theoretical molecular weight 42 kDa), a protein localizes to the ER membrane. Upon activation by dsDNA derived second messenger (cGAMP), STING translocates to the Golgi apparatus as a homodimer. Once STING has trafficked to the perinuclear region, it activates TANK binding kinase 1 (TBK1), interferon regulatory factor 3 (IRF3) and NF-kB leading to the production of cytokines (e.g., type I interferon) (2, 4). Mutations in the TMEM173 gene affecting STING expression are associated with the development of the auto-inflammatory disease SAVI (STING-associated vasculopathy with onset in infancy) (2). A novel SAVI dominant mutation in the TMEM173 human gene (V155M) leads to increased localization of STING to the Golgi and perinuclear region, indicative of an activated state (1). Hallmarks of SAVI, a rare inflammatory disease, include severe vasculitis in extremities and lung inflammation (7).

References

1. Patel, S., & Jin, L. (2019). TMEM173 variants and potential importance to human biology and disease. Genes and Immunity. https://doi.org/10.1038/s41435-018-0029-9

2. Jounai, N., Kobiyama, K., Takeshita, F., & Ishii, K. J. (2013). Recognition of damage-associated molecular patterns related to nucleic acids during inflammation and vaccination. Frontiers in Cellular and Infection Microbiology. https://doi.org/10.3389/fcimb.2012.00168

3. Xiao, T. S., & Fitzgerald, K. A. (2013). The cGAS-STING Pathway for DNA Sensing. Molecular Cell. https://doi.org/10.1016/j.molcel.2013.07.004

4. Kato, K., Omura, H., Ishitani, R., & Nureki, O. (2017). Cyclic GMP-AMP as an Endogenous Second Messenger in Innate Immune Signaling by Cytosolic DNA. Annual Review of Biochemistry. https://doi.org/10.1146/annurev-biochem-061516-044813

5. Crowl, J. T., Gray, E. E., Pestal, K., Volkman, H. E., & Stetson, D. B. (2017). Intracellular Nucleic Acid Detection in Autoimmunity. Annual Review of Immunology. https://doi.org/10.1146/annurev-immunol-051116-052331

Limitations

This product is for research use only and is not approved for use in humans or in clinical diagnosis. Primary Antibodies are guaranteed for 1 year from date of receipt.

Customers Who Viewed This Item Also Viewed...

NB100-56705
Species: Bv, Ca, Hu, Mu, Rt
Applications: ICC/IF, IHC,  IHC-P, IP, KO, Simple Western, WB
NBP2-67741
Species: Hu, Mu, Rt
Applications: Flow, ICC/IF, IHC,  IHC-P, WB
NBP1-77275
Species: Hu, Mu, Rt
Applications: ChIP, ELISA, ICC/IF, IHC,  IHC-P, Simple Western, WB
8499-IF
Species: Hu
Applications: BA
NBP1-84809
Species: Hu
Applications: ICC/IF, IHC,  IHC-P, WB
NB100-56583
Species: Hu, Rb, Rt
Applications: Flow, IHC,  IHC-P, KO, Simple Western, WB
NBP2-24729
Species: Ca, Eq, Hu, Pm, Mu, Pm, Rt
Applications: B/N, CyTOF-ready, DB, ELISA, Flow-IC, Flow, Func, ICC/IF, IHC,  IHC-P, IP, In vitro, KD, Simple Western, WB
NBP2-47415
Species: Hu
Applications: ICC/IF, IHC,  IHC-P, WB
NBP2-27354
Species: Hu
Applications: WB
NB120-13810
Species: Mu, Po, Rt
Applications: IB, ICC/IF, IHC,  IHC-P, IP, KD, Simple Western, WB
NBP1-76854
Species: Hu, Mu, Rt
Applications: ELISA, ICC/IF, IHC,  IHC-P, KD, WB
NBP2-21037
Species: Hu
Applications: IHC,  IHC-P, WB
NBP2-31361
Species: Hu
Applications: IHC,  IHC-P, WB
NBP1-81988
Species: Hu
Applications: IHC,  IHC-P
NBP2-24875
Species: Ca, Hu, Mu
Applications: BA, B/N, Flow-IC, Flow, ICC/IF, IHC,  IHC-P, WB
NBP1-86976
Species: Hu
Applications: IHC,  IHC-P
AF7417
Species: Hu
Applications: WB

Publications for STING/TMEM173 Antibody (NBP3-14076) (0)

There are no publications for STING/TMEM173 Antibody (NBP3-14076).
By submitting your publication information earn gift cards and discounts for future purchases.

Reviews for STING/TMEM173 Antibody (NBP3-14076) (0)

There are no reviews for STING/TMEM173 Antibody (NBP3-14076). By submitting a review you will receive an Amazon e-Gift Card or Novus Product Discount.
  • Review with no image -- $10/€7/£6/$10 CAD/¥70 Yuan/¥1110 Yen
  • Review with an image -- $25/€18/£15/$25 CAD/¥150 Yuan/¥2500 Yen

Product General Protocols

Find general support by application which include: protocols, troubleshooting, illustrated assays, videos and webinars.

FAQs for STING/TMEM173 Antibody (NBP3-14076) (0)

There are no specific FAQs related to this product. Read our general customer & technical service FAQs.

Secondary Antibodies

 

Isotype Controls

Additional STING/TMEM173 Products

Research Areas for STING/TMEM173 Antibody (NBP3-14076)

Find related products by research area.

Blogs on STING/TMEM173.

STING in Innate Immunity and Cancer: What’s the Buzz About?
STING (STimulator of INterferon Genes protein) acts as a sensor of cytosolic DNA. Bacteria/Virus or self-derived DNA in the cytosol activates the STING pathway and promotes the production of type I interferons (IFN-alpha and IFN-beta). STING also ...  Read full blog post.

Customers Who Bought This Also Bought

Contact Information

Product PDFs

Calculators

Concentration Calculator

The concentration calculator allows you to quickly calculate the volume, mass or concentration of your vial. Simply enter your mass, volume, or concentration values for your reagent and the calculator will determine the rest.

=
÷

Review this Product

Be the first to review our STING/TMEM173 Antibody (STING1/7431) - Azide and BSA Free and receive a gift card or discount.

Bioinformatics

Gene Symbol STING1