CD31/PECAM-1 Antibody (C31/8243R) - Azide and BSA Free

Images

 
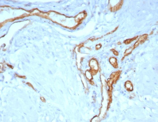
Formalin-fixed, paraffin-embedded human uterus stained with CD31/PECAM-1 antibody (C31/8243R). HIER: Tris/EDTA, pH9.0, 45min. Secondary: HRP-polymer, 30min. DAB, 5min.

Product Details

Summary
Reactivity HuSpecies Glossary
Applications WB, IHC
Clone
C31/8243R
Clonality
Monoclonal
Host
Rabbit
Conjugate
Unconjugated
Format
Azide and BSA Free
Concentration
1 mg/ml

Order Details

CD31/PECAM-1 Antibody (C31/8243R) - Azide and BSA Free Summary

Description
Positive Controls: Jurkat or THP-1 cells. Human tonsil or angiosarcoma.

Antibody with azide - store at 2 to 8C. Antibody without azide - store at -20 to -80C. Non-hazardous. No MSDS required.
Additional Information
Recombinant Monoclonal Antibody
Immunogen
Recombinant fragment (aa 28-330) of human CD31/PECAM-1 expressed in E. Coli (exact sequence is proprietary)
Localization
Cell Surface. Cytoplasm.
Isotype
IgG Kappa
Clonality
Monoclonal
Host
Rabbit
Gene
PECAM1
Purity
Protein A or G purified
Innovator's Reward
Test in a species/application not listed above to receive a full credit towards a future purchase.

Applications/Dilutions

Dilutions
  • Immunohistochemistry-Paraffin 1-2 ug/ml
  • Western Blot 1-2 ug/ml
Application Notes
Immunohistochemistry (Formalin-fixed): 1-2ug/ml for 30 minutes. at RT. Staining of formalin-fixed tissues requires heating tissue sections in 10mM Tris with 1mM EDTA, pH 9.0, for 45 min at 95C followed by cooling at RT for 20 minutes.

Optimal dilution for a specific application should be determined.

Packaging, Storage & Formulations

Storage
Store at -20 to -70C. Avoid freeze-thaw cycles.
Buffer
10mM PBS
Preservative
No Preservative
Concentration
1 mg/ml
Purity
Protein A or G purified

Alternate Names for CD31/PECAM-1 Antibody (C31/8243R) - Azide and BSA Free

  • adhesion molecule
  • CD31 antigen
  • CD31
  • CD31/EndoCAM
  • EndoCAM
  • FLJ34100
  • FLJ58394
  • GPIIA'
  • PECA1
  • PECAM1
  • PECAM-1
  • PECAM-1, CD31/EndoCAM
  • platelet endothelial cell adhesion molecule
  • platelet endothelial cell adhesion molecule-1
  • platelet/endothelial cell adhesion molecule

Background

Cluster of differentiation (CD31), Platelet Endothelial Cell Adhesion Molecule 1 (PECAM-1), is a 30kDa type I transmembrane glycoprotein expressed by endothelial cells, platelets, leukocytes and some lymphocytes (e.g., B and T-cell subsets). Structurally, PECAM-1 consists of six extracellular immunoglobulin-like domains which serve to support various functions including homophilic binding, maintaining high expression of PECAM-1 within endothelial intercellular junctions, and supporting endothelial cell migration (1,2). PECAM's homophilic binding underscores its role in vascular barrier integrity and leukocyte trans-endothelial movement. However, PECAM may also engage in heterophilic interactions with molecules such as glycosaminoglycans (GAG), integrin alpha 5 beta 3, CD38 in lymphocytes and CD177/PR3 in neutrophils (2).

PECAM's intracellular cytoplasmic domain consists of a sequence of 118 amino acids and contains serine and tyrosine (also referred to as immunoreceptor tyrosine-based inhibitory motifs-ITIMs) residues, which may be phosphorylated upon cellular stimulation (3). ITIMs are phosphorylated by Src-family kinases and non-Src family kinases (e.g., Csk), leading to a conformational change which supports interactions with Src homology 2 (SH2) domain containing proteins such as protein-tyrosine phosphatase, SHP-2 (1,2). Formation of SHP-2/PECAM-1 complexes induces endothelial cell migration through the dephosphorylation of focal adhesion kinase and regulation of RhoA activity (1). Signaling downstream of ITIM tyrosine phosphorylations also plays a role in PECAM's anti-apoptotic activity, a function which is independent of its interaction with SHP-2. In platelets and leukocytes, phosphorylation of PECAM's cytosolic domain is inhibitory, preventing their activation.

References

1. Lertkiatmongkol, P., Liao, D., Mei, H., Hu, Y., & Newman, P. J. (2016). Endothelial functions of PECAM-1 (CD31). Current Opinion in Hematology. https://doi.org/10.1097/MOH.0000000000000239.Endothelial

2. Privratsky, J. R., & Newman, P. J. (2014). PECAM-1: Regulator of endothelial junctional integrity. Cell and Tissue Research. https://doi.org/10.1007/s00441-013-1779-3

3. Newman, P. J., & Newman, D. K. (2003). Signal transduction pathways mediated by PECAM-1: New roles for an old molecule in platelet and vascular cell biology. Arteriosclerosis, Thrombosis, and Vascular Biology. https://doi.org/10.1161/01.ATV.0000071347.69358.D9

Limitations

This product is for research use only and is not approved for use in humans or in clinical diagnosis. Primary Antibodies are guaranteed for 1 year from date of receipt.

Customers Who Viewed This Item Also Viewed...

DVE00
Species: Hu
Applications: ELISA
AF4117
Species: Rt
Applications: IHC, WB
7268-CT
Species: Hu
Applications: BA
NBP2-79843
Species: Hu
Applications: CyTOF-ready, ELISA, Flow, ICC/IF, IHC,  IHC-P, PA, WB
NB100-524
Species: Hu, Mu
Applications: Flow-IC, Flow, ICC/IF, IHC, IHC-Fr,  IHC-P, IP, WB
AF796
Species: Mu
Applications: AdBlk, IHC, WB
NB600-586
Species: Ca, Fe, Hu, Mu
Applications: Dual ISH-IHC, ICC/IF, IHC, IHC-Fr,  IHC-P
BBA16
Species: Hu
Applications: ELISA(Cap), ELISA(Det), ELISA(Sta), Flow, ICC, IHC, IP, WB
AF114
Species: Mu
Applications: CyTOF-ready, Flow, ICC, IHC, WB
AF1320
Species: Mu
Applications: CyTOF-ready, Flow, ICC, IHC, Simple Western, WB
AF1002
Species: Mu
Applications: Dual ISH-IHC, IHC, Simple Western, WB
233-FB
Species: Hu
Applications: BA
AF644
Species: Mu
Applications: CyTOF-ready, Dual ISH-IHC, Flow, IHC, Neut, WB
137-PS
Species: Hu
Applications: BA
M6000B
Species: Mu
Applications: ELISA
NB300-223
Species: Bv, Ca, Ch, Eq, Hu, Mu, Po, Rt
Applications: ICC/IF, IHC, IHC-Fr,  IHC-P, WB
NB100-91761
Species: Hu, Mu, Rt
Applications: ELISA, ICC/IF, IHC,  IHC-P, WB

Publications for CD31/PECAM-1 Antibody (NBP3-20954) (0)

There are no publications for CD31/PECAM-1 Antibody (NBP3-20954).
By submitting your publication information earn gift cards and discounts for future purchases.

Reviews for CD31/PECAM-1 Antibody (NBP3-20954) (0)

There are no reviews for CD31/PECAM-1 Antibody (NBP3-20954). By submitting a review you will receive an Amazon e-Gift Card or Novus Product Discount.
  • Review with no image -- $10/€7/£6/$10 CAD/¥70 Yuan/¥1110 Yen
  • Review with an image -- $25/€18/£15/$25 CAD/¥150 Yuan/¥2500 Yen

Product General Protocols

Find general support by application which include: protocols, troubleshooting, illustrated assays, videos and webinars.

Video Protocols

WB Video Protocol

FAQs for CD31/PECAM-1 Antibody (NBP3-20954) (0)

There are no specific FAQs related to this product. Read our general customer & technical service FAQs.

Customers Who Bought This Also Bought

Contact Information

Product PDFs

Calculators

Concentration Calculator

The concentration calculator allows you to quickly calculate the volume, mass or concentration of your vial. Simply enter your mass, volume, or concentration values for your reagent and the calculator will determine the rest.

=
÷

Review this Product

Be the first to review our CD31/PECAM-1 Antibody (C31/8243R) - Azide and BSA Free and receive a gift card or discount.

Bioinformatics

Gene Symbol PECAM1