Laminin Antibody (CL3087) - Azide and BSA Free

Images

 
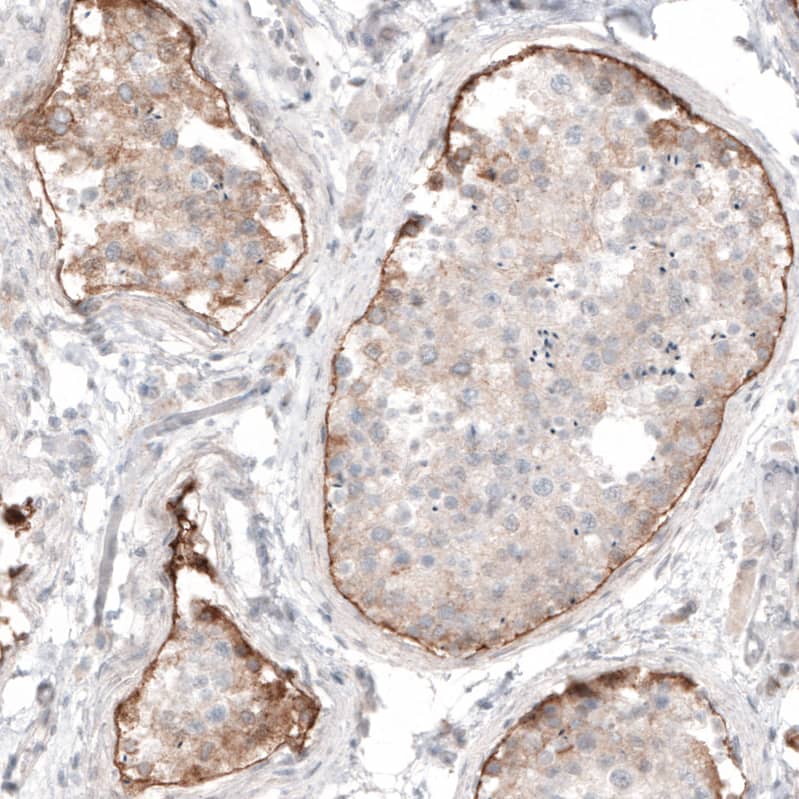
Orthogonal Strategies: Analysis in human testis and lymph node tissues using NBP3-43782 antibody. Corresponding Laminin RNA-seq data are presented for the same tissues.
Staining of human lymph node shows no positivity in lymphoid cells as expected.
Analysis in human testis tissue.
Analysis of purified human recombinant Laminin-111, Laminin-121, Laminin-221, Laminin-332, Laminin-411 and Laminin-521.
Staining of human testis shows moderate positivity in basement membrane of cells in seminiferous ducts.

Product Details

Summary
Reactivity HuSpecies Glossary
Applications WB, IHC
Clone
CL3087
Clonality
Monoclonal
Host
Mouse
Conjugate
Unconjugated
Format
Azide and BSA Free
Concentration
LYOPH
Validated by:
       

Orthogonal Strategies

 

Order Details

Laminin Antibody (CL3087) - Azide and BSA Free Summary

Description
Novus Biologicals Mouse Laminin Antibody (CL3087) - Azide and BSA Free (NBP2-42389) is a monoclonal antibody validated for use in IHC and WB. All Novus Biologicals antibodies are covered by our 100% guarantee.
Immunogen
This antibody was generated using a recombinant protein sequence of P25391, with the exact immunogen sequence remaining proprietary.
Isotype
IgG1
Clonality
Monoclonal
Host
Mouse
Gene
LAMA1
Purity
Protein A purified
Innovator's Reward
Test in a species/application not listed above to receive a full credit towards a future purchase.

Applications/Dilutions

Dilutions
  • Immunohistochemistry-Paraffin 1:200 - 1:500
  • Western Blot 1 ug/ml
Application Notes
For IHC-Paraffin, HIER pH 6 retrieval is recommended.

Packaging, Storage & Formulations

Storage
Store at 4C short term. Aliquot and store at -20C long term. Avoid freeze-thaw cycles.
Buffer
Lyophilized from a 0.2 um filtered solution in PBS with Trehalose
Preservative
No Preservative
Concentration
LYOPH
Purity
Protein A purified
Reconstitution Instructions
Centrifuge the vial of lyophilized antibody at 12,000 x g for 20 seconds. Reconstitute by adding sterile, distilled water to achieve a final antibody concentration of 1mg/ml.

Alternate Names for Laminin Antibody (CL3087) - Azide and BSA Free

  • LAMA
  • Laminin A chain
  • laminin subunit alpha-1
  • laminin, alpha 1
  • Laminin-1 subunit alpha
  • Laminin-3 subunit alpha
  • PTBHS
  • S-LAM alpha
  • S-laminin subunit alpha

Background

Laminin, the most abundant structural and biologically active component in basement membranes, is a complex extracellular glycoprotein with high molecular weight (900 kDa). Laminin is composed of a laminin alpha (400 kDa), beta (215 kDa) and gamma chain (205 kDa), whose multidomain proteins are encoded by distinct genes (LAMA, LAMB, LAMC respectively) and have several isoforms of each chain. The biological functions of the different chains and trimer molecules are largely unknown, but some of the chains have been shown to differ with respect to their tissue distribution, reflecting diverse functions in vivo. Laminin is thought to mediate the attachment, migration and organization of cells into tissues during embryonic development by interacting with other extracellular matrix components.

Laminins are an important and biologically active part of the basal lamina, influencing cell adhesion, differentiation, migration, signaling, neurite outgrowth and metastasis, where anti-laminin antibodies can be widely used to label blood vessels and basement membranes (1). Significant quantities of laminin are found in basement membranes, the thin extracellular matrices that surround epithelial tissue, nerve, fat cells and smooth, striated and cardiac muscle. Excessive serum laminin levels have been associated with fibrosis, cirrhosis and hepatitis, serious and frequent complications of chronic active liver disease characterized by excessive deposition of various normal components of connective tissue in liver (2). Epithelial mesenchymal transition (EMT) biomarkers include fibronectin, laminin, N-cadherin, and Slug (3).

References

1. Yang, M. Y., Chiao, M. T., Lee, H. T., Chen, C. M., Yang, Y. C., Shen, C. C., & Ma, H. I. (2015). An innovative three-dimensional gelatin foam culture system for improved study of glioblastoma stem cell behavior. J Biomed Mater Res B Appl Biomater, 103(3), 618-628. doi:10.1002/jbm.b.33214

2. Mak, K. M., & Mei, R. (2017). Basement Membrane Type IV Collagen and Laminin: An Overview of Their Biology and Value as Fibrosis Biomarkers of Liver Disease. Anat Rec (Hoboken), 300(8), 1371-1390. doi:10.1002/ar.23567

3. Choi, S., Yu, J., Park, A., Dubon, M. J., Do, J., Kim, Y., . . . Park, K. S. (2019). BMP-4 enhances epithelial mesenchymal transition and cancer stem cell properties of breast cancer cells via Notch signaling. Sci Rep, 9(1), 11724. doi:10.1038/s41598-019-48190-5

Limitations

This product is for research use only and is not approved for use in humans or in clinical diagnosis. Primary Antibodies are guaranteed for 1 year from date of receipt.

Customers Who Viewed This Item Also Viewed...

NBP2-38449
Species: Hu
Applications: ICC/IF, IHC,  IHC-P
H00728695-B01P
Species: Hu
Applications: ICC/IF, IP, WB
NBP2-54591
Species: Hu
Applications: CyTOF-ready, Flow, ICC/IF, IHC,  IHC-P, PA
NBP1-88927
Species: Hu, Mu
Applications: ICC/IF, IHC,  IHC-P, WB
NBP1-91258
Species: Bv, Ca, Eq, Fe, Hu, Mu, Po, Rt
Applications: ICC/IF, IHC, IHC-Fr,  IHC-P, Simple Western, WB
AF5414
Species: Hu
Applications: Simple Western, WB
AF5129
Species: Hu
Applications: WB
NBP2-29463
Species: Pm, Hu, Pm, Mu
Applications: Flow, ICC/IF, IHC,  IHC-P, WB
NBP1-47833
Species: Hu, Mu, Rt
Applications: ICC/IF, IHC,  IHC-P, WB
AF1230
Species: Hu, Mu, Rt
Applications: IHC, KO, WB
236-EG
Species: Hu
Applications: BA
NBP1-62489
Species: Dr, Hu, Mu
Applications: WB
NB100-56503
Species: Dr, Hu, Mu, Rb, Rt
Applications: Flow-CS, Flow-IC, Flow, IB, ICC/IF, IHC,  IHC-P, Simple Western, WB
NBP2-44751
Species: Bv, Hu, Mu
Applications: Flow, ICC/IF, IF, IHC, IHC-Fr,  IHC-P
NBP1-51558
Species: Hu
Applications: ELISA, ICC/IF, IHC,  IHC-P, WB
H00003908-M01
Species: Hu
Applications: ELISA, IHC,  IHC-P, S-ELISA, WB
NBP2-37493
Species: Hu, Mu, Po
Applications: CyTOF-ready, ELISA, Flow, ICC/IF, IHC,  IHC-P, WB
NBP3-43782
Species: Hu
Applications: WB, IHC

Publications for Laminin Antibody (NBP3-43782) (0)

There are no publications for Laminin Antibody (NBP3-43782).
By submitting your publication information earn gift cards and discounts for future purchases.

Reviews for Laminin Antibody (NBP3-43782) (0)

There are no reviews for Laminin Antibody (NBP3-43782). By submitting a review you will receive an Amazon e-Gift Card or Novus Product Discount.
  • Review with no image -- $10/€7/£6/$10 CAD/¥70 Yuan/¥1110 Yen
  • Review with an image -- $25/€18/£15/$25 CAD/¥150 Yuan/¥2500 Yen

Product General Protocols

Find general support by application which include: protocols, troubleshooting, illustrated assays, videos and webinars.

Video Protocols

WB Video Protocol

FAQs for Laminin Antibody (NBP3-43782). (Showing 1 - 4 of 4 FAQ).

  1. What research areas can this product be used in?
    • All Laminin products can be used in: Angiogenesis, Apoptosis, Cancer, Cell Biology, Cellular Markers, Extracellular Matrix, Neuroscience, Signal Transduction, Tumor Suppressors.
  2. What is the theoretical molecular weight for your Laminin antibodies?
    • The theoretical molecular weight for Laminin antibodies is 337 kDa.
  3. If this product is used in an application or species as a part of a customer review, will that validate this product in the application/species?
    • If any of our primary antibodes are used in an untested application or species and it is shown to work through images from customer reviews or through publications, this validates the application/species for this product. Please check out our Innovator's Reward Program if you decide to test an antibody with a species or application that is not currently listed.
  4. I'm looking for a basement membrane marker, can you suggest a Laminin antibody that can be used for this purpose?
    • The following Laminin antibodies are Basement Membrane markers: NB120-17107, NB300-144, NB600-883, and NBP1-51759.

Secondary Antibodies

 

Isotype Controls

Additional Laminin Products

Research Areas for Laminin Antibody (NBP3-43782)

Find related products by research area.

Blogs on Laminin.

Alpha-smooth muscle actin and the modulation of endothelial and epithelial cell biology
Actin is essential for a wide range of cell functions, ranging from cell division and chromatin remodeling to vesicle trafficking and maintenance of cellular structure. In fact, mislocalization of actin to cell junctions during development leads t...  Read full blog post.

Epithelial-Mesenchymal Transition (EMT) Markers
Epithelial-Mesenchymal Transition (EMT) is the trans-differentiation of stationary epithelial cells into motile mesenchymal cells. During EMT, epithelial cells lose their junctions and apical-basal polarity, reorganize their cytoskeleton, undergo a...  Read full blog post.

Could Laminin be Used to Treat Duchenne Muscular Dystrophy?
Duchenne muscular dystrophy (DMD) is a severe muscle wasting condition, causing disability and early death. There is currently no cure or adequate treatment for DMD, but pioneering research indicates that injection of a laminin protein may prevent (or...  Read full blog post.

Using the Laminin Antibody in Angiogenesis Research
Laminin is one of a large number of proteins expressed on the basal laminar of the ECM (extracellular matrix). The laminin antibody database covers several proteins, which interact with integrins and other receptor proteins to support cellular differe...  Read full blog post.

Customers Who Bought This Also Bought

Contact Information

Product PDFs

Calculators

Concentration Calculator

The concentration calculator allows you to quickly calculate the volume, mass or concentration of your vial. Simply enter your mass, volume, or concentration values for your reagent and the calculator will determine the rest.

=
÷

Review this Product

Be the first to review our Laminin Antibody (CL3087) - Azide and BSA Free and receive a gift card or discount.

Bioinformatics

Gene Symbol LAMA1