GAPDH Antibody (CL3265) - Azide and BSA Free

Images

 
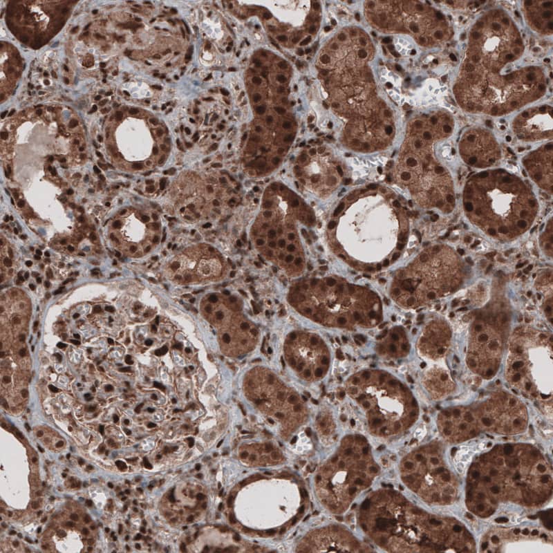
Staining of human kidney shows strong cytoplasmic and nuclear positivity in renal tubules and glomeruli.
Staining of human cerebral cortex shows immunoreactivity in neuropil as well as strong cytoplasmic positivity in a subset of cells.
Staining of human liver shows strong cytoplasmic and nuclear immunoreactivity in hepatocytes.
Staining of human rectum shows strong cytoplasmic and nuclear positivity in glandular and connective tissue cells.
Staining of human skeletal muscle shows moderate cytoplasmic and strong nuclear immunoreactivity in muscle fibers.
Genetic Strategies: Analysis in U-251MG cells transfected with control siRNA, target specific siRNA probe #1 and #2, using Anti-GAPDH antibody. Remaining relative intensity is presented. Loading control: ...read more
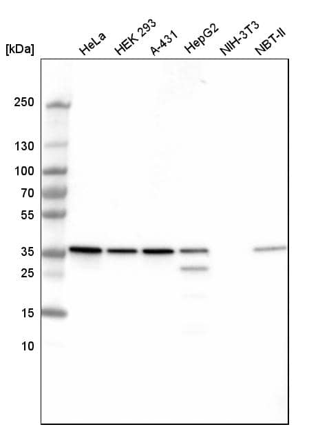
Analysis in human cell line HeLa, human cell line HEK 293, human cell line A-431, human cell line HepG2, mouse cell line NIH-3T3 and rat cell line NBT-II.

Product Details

Summary
Reactivity Hu, Mu, RtSpecies Glossary
Applications WB, IHC
Clone
CL3265
Clonality
Monoclonal
Host
Mouse
Conjugate
Unconjugated
Format
Azide and BSA Free
Concentration
LYOPH
Validated by:
     

Genetic Strategies

   

Order Details

GAPDH Antibody (CL3265) - Azide and BSA Free Summary

Description
Novus Biologicals Mouse GAPDH Antibody (CL3265) - Azide and BSA Free (NBP2-59025) is a monoclonal antibody validated for use in IHC and WB. All Novus Biologicals antibodies are covered by our 100% guarantee.
Immunogen
This antibody was generated using a recombinant protein sequence of P04406, with the exact immunogen sequence remaining proprietary.
Isotype
IgG1
Clonality
Monoclonal
Host
Mouse
Gene
GAPDH
Purity
Protein A purified
Innovator's Reward
Test in a species/application not listed above to receive a full credit towards a future purchase.

Applications/Dilutions

Dilutions
  • Immunohistochemistry-Paraffin 1:5000 - 1:10000
  • Western Blot 1 ug/ml
Application Notes
For IHC-Paraffin, HIER pH 6 retrieval is recommended.

Packaging, Storage & Formulations

Storage
Store at 4C short term. Aliquot and store at -20C long term. Avoid freeze-thaw cycles.
Buffer
Lyophilized from a 0.2 um filtered solution in PBS with Trehalose
Preservative
No Preservative
Concentration
LYOPH
Purity
Protein A purified
Reconstitution Instructions
Centrifuge the vial of lyophilized antibody at 12,000 x g for 20 seconds. Reconstitute by adding sterile, distilled water to achieve a final antibody concentration of 1mg/ml.

Alternate Names for GAPDH Antibody (CL3265) - Azide and BSA Free

  • aging-associated gene 9 protein
  • EC 1.2.1
  • EC 1.2.1.12
  • EC 2.6.99.-
  • G3PD
  • G3PDH
  • GAPD
  • GAPDH
  • glyceraldehyde 3-phosphate dehydrogenase
  • glyceraldehyde-3-phosphate dehydrogenase
  • MGC88685
  • Peptidyl-cysteine S-nitrosylase GAPDH

Background

Glyceraldehyde 3-Phosphate Dehydrogenase (GAPDH) is a ubiquitous enzyme involved in glycolysis, converting glyceraldehyde-3-phosphate into 1,3 diphosphoglycerate. This constitutively expressed, homotetramer protein can be found in the nucleus and cytoplasm, and the monomer has a theoretical molecular weight of 36 kDa. Known as a housekeeping gene, GAPDH routinely serves as a control for real-time PCR (RT-PCR) and as a loading control for Western Blots (1-3). In addition to its role in glycolysis, GAPDH has multiple cellular functions including membrane trafficking, transcription activation, apoptosis, DNA repair, and has been implicated in various pathologies such as cancer and neurodegenerative diseases including Alzheimer's and Huntington's (4,5).

References

1) Barber RD, Harmer DW, Coleman RA, Clark BJ. (2005) GAPDH as a housekeeping gene: analysis of GAPDH mRNA expression in a panel of 72 human tissues. Physiol Genomics. 21(3):389-95. PMID: 15769908

2) Jia Y, Takimoto K. (2006) Mitogen-activated protein kinases control cardiac KChIP2 gene expression. Circ Res. 98(3):386-93. PMID: 16385079

3) Godsel LM, Hsieh SN, Amargo EV, Bass AE, Pascoe-McGillicuddy LT, Huen AC, Thorne ME, Gaudry CA, Park JK, Myung K, Goldman RD, Chew TL, Green KJ. (2005) Desmoplakin assembly dynamics in four dimensions: multiple phases differentially regulated by intermediate filaments and actin. J Cell Biol. 171(6):1045-59. PMID: 16365169

4) Sirover MA1. (1999) New insights into an old protein: the functional diversity of mammalian glyceraldehyde-3-phosphate dehydrogenase. Biochim Biophys Acta. 1432(2): 159-84. PMID: 10407139

5) Tristan C, Shahani N, Sedlak TW, Sawa A. (2011) The diverse functions of GAPDH: views from different subcellular compartments. Cell Signal. 23(2):317-23. PMID: 20727968

Limitations

This product is for research use only and is not approved for use in humans or in clinical diagnosis. Primary Antibodies are guaranteed for 1 year from date of receipt.

Customers Who Viewed This Item Also Viewed...

NBP2-67503
Species: Hu, Mu, Rt
Applications: Flow, ICC/IF, IHC,  IHC-P, IP, WB
NB600-501
Species: Bv, Ca, Ch, Dr(-), Fe, Fi, Gt, Gp, Ha, Hu, Le, Ma, Mu, Po, Pm, Rb, Rt, Sh, Sq, Tr, Ze
Applications: ChIP, ELISA, Flow, ICC/IF, IHC, IHC-Fr,  IHC-P, IP, KD, KO, Simple Western, WB
NBP1-31470
Species: Bv, Hu, Mu, Rt
Applications: ELISA, Flow, ICC/IF, IHC,  IHC-P, WB
NB100-64792
Species: Hu
Applications: ELISA, Flow, ICC/IF, IHC, IHC-Fr,  IHC-P, WB
NBP1-33527
Species: Hu, Mu, Rt
Applications: ICC/IF, IHC,  IHC-P, KO, Simple Western, WB
NB600-501
Species: Bv, Ca, Ch, Dr(-), Fe, Fi, Gt, Gp, Ha, Hu, Le, Ma, Mu, Po, Pm, Rb, Rt, Sh, Sq, Tr, Ze
Applications: ChIP, ELISA, Flow, ICC/IF, IHC, IHC-Fr,  IHC-P, IP, KD, KO, Simple Western, WB
NB100-236
Species: Hu, Mu
Applications: IB, IHC, IHC-Fr, WB
NBP1-81838
Species: Hu, Mu
Applications: IHC,  IHC-P, WB
H00026330-M01
Species: Ec, Hu
Applications: ELISA, IHC,  IHC-P, S-ELISA, WB
NB500-317
Species: Bv(-), Ca(-), Ch(-), Hu, Mu(-), Rb(-)
Applications: ELISA, Flow, ICC/IF, IHC,  IHC-P, IP, RIA, WB
M6000B
Species: Mu
Applications: ELISA
NB300-605
Species: Hu, Mu, Po, Rt
Applications: Flow, IB, ICC/IF, IHC, IHC-Fr,  IHC-P, In vitro, WB
AF3398
Species: Hu, Mu, Rt
Applications: ICC, KO, Simple Western, WB
NBP1-30993
Species: Ha, Hu, Mu, Rt
Applications: ICC/IF, IHC,  IHC-P, KD, WB
DVE00
Species: Hu
Applications: ELISA
MAB1417
Species: Bv, Hu, Mu
Applications: ICC, IHC
H00002023-M01
Species: Fe, Hu
Applications: ELISA, Flow, Func, ICC/IF, IHC,  IHC-P, IP, WB
H00006908-Q01
Species: Hu
Applications: ELISA, AP, PA, PAGE, WB
MAB1455
Species: Hu
Applications: CyTOF-ready, Dual ISH-IHC, ICC, IHC, ICFlow, Simple Western, WB

Publications for GAPDH Antibody (NBP3-44493) (0)

There are no publications for GAPDH Antibody (NBP3-44493).
By submitting your publication information earn gift cards and discounts for future purchases.

Reviews for GAPDH Antibody (NBP3-44493) (0)

There are no reviews for GAPDH Antibody (NBP3-44493). By submitting a review you will receive an Amazon e-Gift Card or Novus Product Discount.
  • Review with no image -- $10/€7/£6/$10 CAD/¥70 Yuan/¥1110 Yen
  • Review with an image -- $25/€18/£15/$25 CAD/¥150 Yuan/¥2500 Yen

Product General Protocols

Find general support by application which include: protocols, troubleshooting, illustrated assays, videos and webinars.

Video Protocols

WB Video Protocol

FAQs for GAPDH Antibody (NBP3-44493). (Showing 1 - 7 of 7 FAQ).

  1. We need a loading control antibody for WB working with HeLa cell line, will this GAPDH antibody work for that?
    • GAPDH is expressed in HeLa cell lines but whether or not it is the best option for a loading control antibody depends on the size of the protein you are interested in. GAPDH antibody is a good choice for low to mid MW targets, as GAPDH detects around 35 kDa.
  2. I want to know why GAPDH is used as a loading control antibody in WB techniques.
    • Our GAPDH antibody makes a good loading control because GAPDH is  a housekeeping gene essential to metabolism that is globally expressed in most tissue types and cell lines.
  3. I need a suitable loading control antibody that I can use in western blot of rat nerve extracts, which do you recommend?
    • This GAPDH antibody (NB300-221) is a good choice for a loading control antibody and has been cited in over 180 publications and used on rat lysates with good results.
  4. I'm looking for a loading control between 24kDa - 65kDa for use in simple western, we tried an actin antibody  we already had but it didn't work. What can you recommend?
    • Our GAPDH antibody NB300-221 has been validated in simple western and detects around 35 kDa so I think it would be a good choice for a simple western loading control antibody based on your size requirements.
  5. What secondary antibody should I use for visualization of the GAPDH antibody?
    • This GAPDH antibody is raised in mouse so you would want to use an anti-mouse secondary with the dye of your choice.
  6. Do you offer a smaller size for the GAPDH antibodies?
    • We offer sample sizes for many of our GAPDH loading control antibodies including NB300-221.
  7. I wanted to know which of the two housekeeping genes B-actin or GAPDH can be used for best results. I intend to do an experiment to determine expression of IL-6 and TNF-alpha in liver and kidney tissues.
    • For homogenized tissue, beta-actin and GAPDH are both fine.

Secondary Antibodies

 

Isotype Controls

Additional GAPDH Products

Research Areas for GAPDH Antibody (NBP3-44493)

Find related products by research area.

Blogs on GAPDH. Showing 1-10 of 13 blog posts - Show all blog posts.

Considerations for Quantitative Western blotting
By Jamshed Arslan, Pharm. D., PhD. Since its inception in 1979, Western blotting has undergone several developments. The use of radioactive probes was common throughout 1980s, but utilizing secondary antibodies labell...  Read full blog post.

The use of Beta Actin (AC-15) as a loading control across multiple species
Actin is a fundamental component of the cytoskeleton, where it has the ability to create and break down actin filament formation in response to various cell needs.  Actin has six highly conserved isoforms, however beta and gamma actin are the two...  Read full blog post.

Tips on choosing an ideal loading control antibody for Western Blotting
Western blotting is one of the most commonly used antibody assay techniques in cell and molecular biology research since its development over three decades ago, and is considered the gold standard for protein detection and quantification. When p...  Read full blog post.

GAPDH - A "Housekeeping" Gene With Diverse Functions in Cellular Homeostasis
Glyceraldehyde 3-phosphate dehydrogenase (GAPDH) is a well-known housekeeping gene with functions in glycolysis. Many biologists are familiar with the gene and use GAPDH antibodies for a loading control when performing western blots. However, this ...  Read full blog post.

A New Standard in Antibody Testing - Simple Western Certified Antibodies
The Western blot is one of the most commonly used antibody assay techniques in cell and molecular biology research since its development over three decades ago, and is considered the gold standard for protein detection and quantification. The tradi...  Read full blog post.

GAPDH: More than a housekeeping gene
GAPDH is a 146kD tetramer glycolytic pathway metabolic enzyme composed of four 30-40 kDa subunits. It is responsible for reversibly phosphorylating its substrate glyceraldehyde 3-phosphate within the glycolytic pathway.  Apart from its role in gl...  Read full blog post.

GAPDH (Glyceraldehyde 3-Phosphate Dehydrogenase)
GAPDH is a 146 kD tetramer glycolytic pathway metabolic enzyme responsible for reversibly phosphorylating glyceraldehyde 3-phosphate. It may have other possible functions in transcriptional activation. GAPDH is highly expressed due to this housekeepin...  Read full blog post.

Time to Start Actin Like a Reliable 'Housekeeper'!
A growing body of data and studies using actin antibodies supports a view of the actin cytoskeleton of smooth muscle cells as a dynamic structure that plays an integral role in regulating the development of mechanical tension and the material properti...  Read full blog post.

Beta Actin and GAPDH: The Importance of Western Blot Loading Controls
What are Western Blot Loading Controls?Western blotting is an essential technique to probe protein expression in complex cell or tissue lysates. To accurately determine protein expression and interpret Western blot results, it is important to use...  Read full blog post.

The GAPDH Antibody in Western Blot Assays
The loading controls on our antibody database are widely used in gel electrophoresis and Western blotting studies. Products like the GAPDH antibody detect "housekeeping" proteins which are abundantly distributed in cells. This makes them useful for ch...  Read full blog post.

Showing 1-10 of 13 blog posts - Show all blog posts.

Customers Who Bought This Also Bought

Contact Information

Product PDFs

Calculators

Concentration Calculator

The concentration calculator allows you to quickly calculate the volume, mass or concentration of your vial. Simply enter your mass, volume, or concentration values for your reagent and the calculator will determine the rest.

=
÷

Review this Product

Be the first to review our GAPDH Antibody (CL3265) - Azide and BSA Free and receive a gift card or discount.

Bioinformatics

Gene Symbol GAPDH