E-Cadherin Antibody (CL1170) - Azide and BSA Free

Images

 
Staining of BEWO cells using the Anti-E-Cadherin monoclonal antibody) .
Orthogonal Strategies: Analysis in human duodenum and cerebral cortex tissues using NBP3-43887 antibody. Corresponding E-Cadherin RNA-seq data are presented for the same tissues.
Staining of human cerebral cortex shows no positivity in neuronal cells as expected.
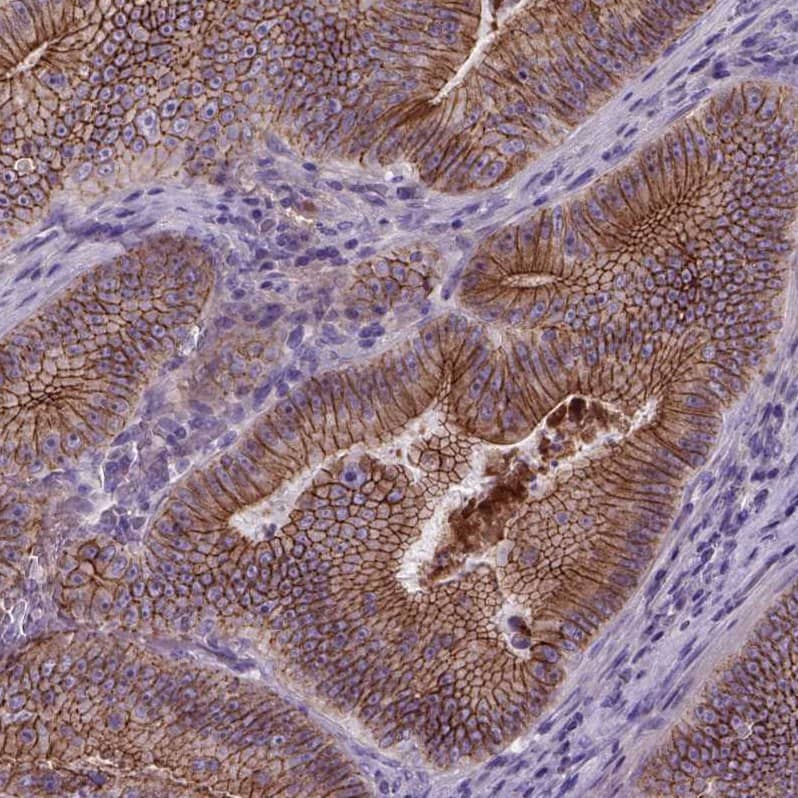
Staining of human colorectal cancer shows moderate to strong membranous positivity in tumor cells.
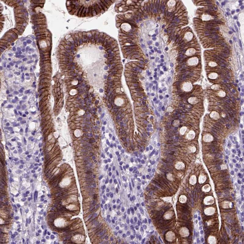
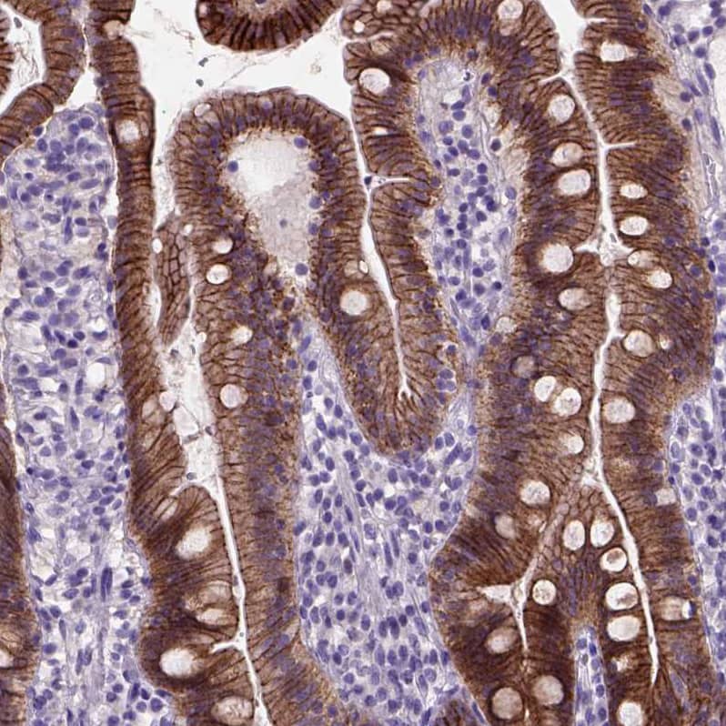
Staining of human duodenum shows strong membranous positivity in glandular cells.
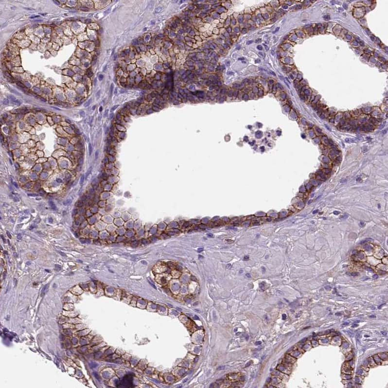
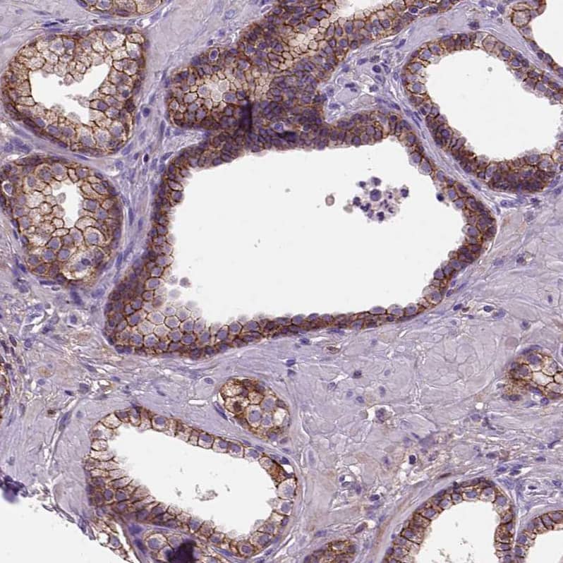
Staining of human prostate shows strong membranous positivity in glandular cells.
Genetic Strategies: Analysis in MCF-7 cells transfected with control siRNA, target specific siRNA probe #1 and #2, using Anti-E-Cadherin antibody. Remaining relative intensity is presented. Loading control: ...read more

Product Details

Summary
Reactivity HuSpecies Glossary
Applications WB, ICC/IF, IHC
Clone
CL1170
Clonality
Monoclonal
Host
Mouse
Conjugate
Unconjugated
Format
Azide and BSA Free
Concentration
LYOPH

Order Details

E-Cadherin Antibody (CL1170) - Azide and BSA Free Summary

Description
Novus Biologicals Mouse E-Cadherin Antibody (CL1170) - Azide and BSA Free (NBP2-34475) is a monoclonal antibody validated for use in IHC, WB and ICC/IF. All Novus Biologicals antibodies are covered by our 100% guarantee.
Immunogen
This antibody was generated using a recombinant protein sequence of P12830, with the exact immunogen sequence remaining proprietary.
Isotype
IgG2b
Clonality
Monoclonal
Host
Mouse
Gene
CDH1
Purity
Protein A purified
Innovator's Reward
Test in a species/application not listed above to receive a full credit towards a future purchase.

Applications/Dilutions

Dilutions
  • Immunocytochemistry/ Immunofluorescence 2-10 ug/ml
  • Immunohistochemistry-Paraffin 1:200 - 1:500
  • Western Blot 1 ug/ml
Application Notes
For IHC-Paraffin, HIER pH 6 retrieval is recommended. For Immunocytochemistry/ Immunofluorescence/IF, PFA/Triton X-100 is recommended for fixation/permeabilization.

Packaging, Storage & Formulations

Storage
Store at 4C short term. Aliquot and store at -20C long term. Avoid freeze-thaw cycles.
Buffer
Lyophilized from a 0.2 um filtered solution in PBS with Trehalose
Preservative
No Preservative
Concentration
LYOPH
Purity
Protein A purified
Reconstitution Instructions
Centrifuge the vial of lyophilized antibody at 12,000 x g for 20 seconds. Reconstitute by adding sterile, distilled water to achieve a final antibody concentration of 1mg/ml.

Alternate Names for E-Cadherin Antibody (CL1170) - Azide and BSA Free

  • Arc-1
  • CAD1
  • cadherin 1, E-cadherin (epithelial)
  • cadherin 1, type 1, E-cadherin (epithelial)
  • Cadherin-1
  • calcium-dependent adhesion protein, epithelial
  • CAM 120/80
  • CD324 antigen
  • CD324
  • CDH1
  • CDHE
  • cell-CAM 120/80
  • Cell-CAM120/80
  • ECAD
  • ECadherin
  • E-Cadherin
  • Epithelial cadherin
  • LCAM
  • L-CAM
  • UVOE-Cadherin
  • Uvomorulin

Background

E-cadherin, or epithelial cadherin, is an cell-cell adhesion glycoprotein important to cellular processes such as morphology, polarity, development, tissue integrity and migration. E cadherin's extracellular domain interacts with other E-cadherin protein on adjacent epithelial cells to establish adhesion between them. E cadherin has also been identified as a tumor and metastasis suppressor, and its mutations have been linked to various forms of cancer.

Limitations

This product is for research use only and is not approved for use in humans or in clinical diagnosis. Primary Antibodies are guaranteed for 1 year from date of receipt.

Customers Who Viewed This Item Also Viewed...

AF1329
Species: Hu, Mu, Rt
Applications: ChIP, CyTOF-ready, ICC, IHC, ICFlow, Simple Western, WB
NBP1-83976
Species: Hu
Applications: ICC/IF, IHC,  IHC-P
NB100-807
Species: Hu
Applications: ICC/IF, PEP-ELISA, WB
NB100-91662
Species: Hu, Mu, Rt
Applications: Flow, ICC/IF, IHC,  IHC-P, Simple Western, WB
NB300-223
Species: Bv, Ca, Ch, Eq, Hu, Mu, Po, Rt
Applications: ICC/IF, IHC, IHC-Fr,  IHC-P, WB
NB200-106
Species: Mu, Rt
Applications: ELISA, ICC/IF, IHC, IHC-Fr,  IHC-P, WB
NBP2-15723
Species: Hu, Mu, Rt
Applications: ICC/IF, IHC,  IHC-P, IP, WB
AF1329
Species: Hu, Mu, Rt
Applications: ChIP, CyTOF-ready, ICC, IHC, ICFlow, Simple Western, WB
NBP1-48309
Species: Hu, Mu, Rt
Applications: Flow-IC, Flow, ICC/IF, IHC,  IHC-P, IP, Simple Western, WB
AF231
Species: Hu
Applications: CyTOF-ready, Dual ISH-IHC, ELISA(Cap), ELISA(Det), ELISA(Sta), Flow, ICC, IHC, IP, Simple Western, WB
AF4885
Species: Mu
Applications: IP, WB
NB200-103
Species: Hu, Mu, Rt, Xp(-), Ye
Applications: CyTOF-ready, ELISA, Flow-IC, Flow, ICC/IF, IHC, IHC-Fr,  IHC-P, IP, WB
NBP1-85047
Species: Hu, Mu, Po, Rt
Applications: ICC/IF, IHC,  IHC-P, WB
NBP1-91258
Species: Bv, Ca, Eq, Fe, Hu, Mu, Po, Rt
Applications: ICC/IF, IHC, IHC-Fr,  IHC-P, Simple Western, WB
NBP2-03886
Species: Hu, Mu, Rt
Applications: Flow, IHC,  IHC-P, WB
1129-ER
Species: Hu
Applications: BA
DVE00
Species: Hu
Applications: ELISA
AF887
Species: Hu, Mu, Rt
Applications: CyTOF-ready, IHC, ICFlow, Simple Western, WB
BBA10
Species: Hu
Applications: CyTOF-ready, Flow, IHC, IP, KO, Simple Western, WB
NBP3-43887
Species: Hu
Applications: WB, ICC/IF, IHC

Publications for E-Cadherin Antibody (NBP3-43887) (0)

There are no publications for E-Cadherin Antibody (NBP3-43887).
By submitting your publication information earn gift cards and discounts for future purchases.

Reviews for E-Cadherin Antibody (NBP3-43887) (0)

There are no reviews for E-Cadherin Antibody (NBP3-43887). By submitting a review you will receive an Amazon e-Gift Card or Novus Product Discount.
  • Review with no image -- $10/€7/£6/$10 CAD/¥70 Yuan/¥1110 Yen
  • Review with an image -- $25/€18/£15/$25 CAD/¥150 Yuan/¥2500 Yen

Product General Protocols

Find general support by application which include: protocols, troubleshooting, illustrated assays, videos and webinars.

Video Protocols

WB Video Protocol
ICC/IF Video Protocol

FAQs for E-Cadherin Antibody (NBP3-43887) (0)

There are no specific FAQs related to this product. Read our general customer & technical service FAQs.

Secondary Antibodies

 

Isotype Controls

Additional E-Cadherin Products

Research Areas for E-Cadherin Antibody (NBP3-43887)

Find related products by research area.

Blogs on E-Cadherin.

Suppressing breast cancer metastasis: The role of hypoxia-induced RhoB expression and activation
By Jamshed Arslan, Pharm. D., PhD. The Ras homologous (Rho) GTPase family of signaling molecules has over 20 members, which typically cycle between active (GTP-bound) and inactive (GDP-bound) states. These small GTPa...  Read full blog post.

Cathepsin B - a lysosomal protease with potential of an important drug target in neurological diseases and cancer
Cathepsins are a family of lysosomal proteases (serine, aspartic and cysteine proteases) that acts in conjunction with lipases and nucleases to degrade biological macromolecules in the lysosomes (1). While most cathepsins are ubiquitously expressed...  Read full blog post.

SOX2 - a stem cell transcription factor
The SOX gene family encodes a group of highly conserved transcription factors defined by the presence of a conserved high motility group (HMG) DNA-binding domain. They are involved in embryonic development regulation and cell fate determination. Al...  Read full blog post.

Beta-catenin - I am versatile!
Beta-catenin is a cytosolic, 88 kDa intracellular protein associated with cell surface cadherin glycoproteins. It is a member of the larger calcium-dependent catenin family that includes alpha-catenin, beta-catenin, and gamma-catenin (also known as pl...  Read full blog post.

Vimentin: Regulating EMT and Cancer
Vimentin, a member of the intermediate filament (IF) family, is a protein responsible for maintaining cellular integrity and reducing damage caused by stress. The vimentin protein is ubiquitously expressed in normal mesenchymal cells, and recent resea...  Read full blog post.

Carbonic Anhydrase IX Roles in Tumor Growth, Survival and Invasion
Carbonic anhydrase IX (CAIX) is a membrane-associated carbonic anhydrase, strongly induced by hypoxia. CA IX is overexpressed by several cancer cells from many tumor types, and is a component of the pH regulatory system invoked by these cells to comba...  Read full blog post.

E-Cadherin as a Cancer Biomarker
E-cadherin is a calcium-regulated adhesion molecule expressed in most normal epithelial tissues. E-cadherin is also associated with gland formation, stratification, and epithelial polarization, while loss of E-cadherin can cause dedifferentiation and ...  Read full blog post.

E-Cadherin in Cell-Cell Adhesion and Cancer Diagnostics
E-Cadherin is a member of the cadherin superfamily and is fundamental player in a wide range of cellular processes such as development, morphology, polarity, migration and tissue integrity. Specifically, E-cadherin is an approximately 100 kDa epitheli...  Read full blog post.

Customers Who Bought This Also Bought

Contact Information

Product PDFs

Calculators

Concentration Calculator

The concentration calculator allows you to quickly calculate the volume, mass or concentration of your vial. Simply enter your mass, volume, or concentration values for your reagent and the calculator will determine the rest.

=
÷

Review this Product

Be the first to review our E-Cadherin Antibody (CL1170) - Azide and BSA Free and receive a gift card or discount.

Bioinformatics

Gene Symbol CDH1