CD11b Antibody (CL1719) - Azide and BSA Free

Images

 
Lane 1: Marker [kDa]Lane 2: Human tonsil
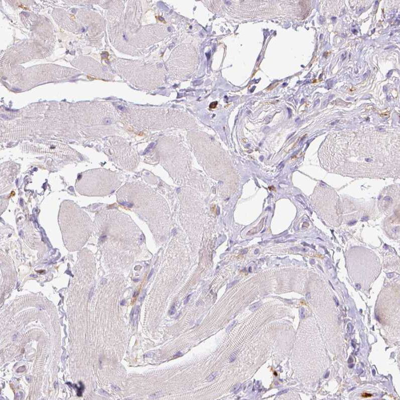
Orthogonal Strategies: Analysis in human tonsil and skeletal muscle tissues using NBP3-43784 antibody. Corresponding CD11b RNA-seq data are presented for the same tissues.
Staining of human cerebral cortex shows moderate membranous positivity in microglia.
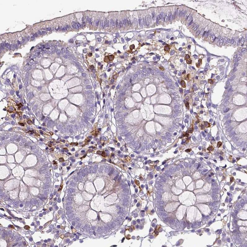
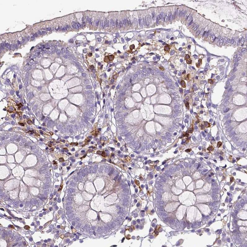
Staining of human colon shows moderate membranous positivity in lymphoid cells.
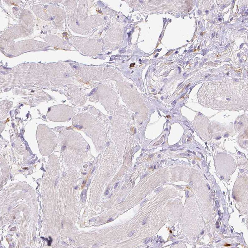
Staining of human skeletal muscle shows no positivity in striated muscle fibers as expected.
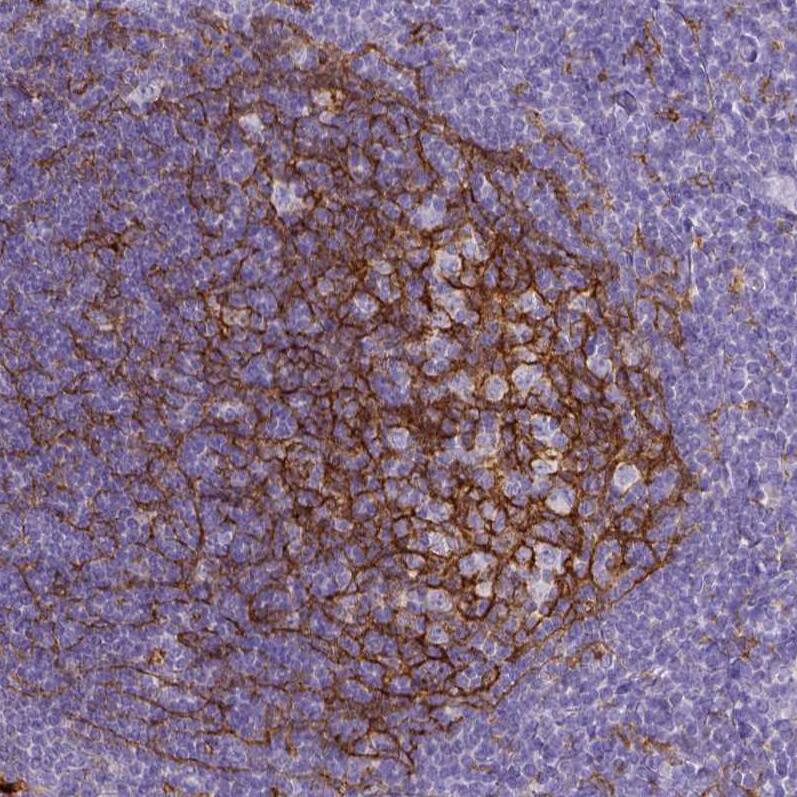
Staining of human tonsil shows strong membranous positivity in germinal center cells.

Product Details

Summary
Reactivity HuSpecies Glossary
Applications WB, IHC
Clone
CL1719
Clonality
Monoclonal
Host
Mouse
Conjugate
Unconjugated
Format
Azide and BSA Free
Concentration
LYOPH
Validated by:
       

Orthogonal Strategies

 

Order Details

CD11b Antibody (CL1719) - Azide and BSA Free Summary

Description
Novus Biologicals Mouse CD11b Antibody (CL1719) - Azide and BSA Free (NBP2-34490) is a monoclonal antibody validated for use in IHC and WB. All Novus Biologicals antibodies are covered by our 100% guarantee.
Immunogen
This antibody was generated using a recombinant protein sequence of P11215, with the exact immunogen sequence remaining proprietary.
Isotype
IgG1
Clonality
Monoclonal
Host
Mouse
Gene
ITGAM
Purity
Protein A purified
Innovator's Reward
Test in a species/application not listed above to receive a full credit towards a future purchase.

Applications/Dilutions

Dilutions
  • Immunohistochemistry-Paraffin 1:1000 - 1:2500
  • Western Blot 1 ug/ml
Application Notes
For IHC-Paraffin, HIER pH 6 retrieval is recommended.

Packaging, Storage & Formulations

Storage
Store at 4C short term. Aliquot and store at -20C long term. Avoid freeze-thaw cycles.
Buffer
Lyophilized from a 0.2 um filtered solution in PBS with Trehalose
Preservative
No Preservative
Concentration
LYOPH
Purity
Protein A purified
Reconstitution Instructions
Centrifuge the vial of lyophilized antibody at 12,000 x g for 20 seconds. Reconstitute by adding sterile, distilled water to achieve a final antibody concentration of 1mg/ml.

Alternate Names for CD11b Antibody (CL1719) - Azide and BSA Free

  • antigen CD11b (p170)
  • CD11 antigen-like family member B
  • CD11b antigen
  • CD11b
  • Cell surface glycoprotein MAC-1 subunit alpha
  • Complement component 3 receptor 3 subunit
  • CR-3 alpha chain
  • CR3A
  • CR3AMGC117044
  • Integrin alpha M
  • integrin alpha-M
  • integrin, alpha M (complement component 3 receptor 3 subunit)
  • ITGAM
  • Leukocyte adhesion receptor MO1
  • MAC-1
  • MAC1A
  • macrophage antigen alpha polypeptide
  • MO1A
  • neutrophil adherence receptor alpha-M subunit
  • Neutrophil adherence receptor
  • SLEB6

Background

CD11b (integrin alpha M subunit) is a type I transmembrane glycoprotein. CD11b combines with the Integrin beta 2 subunit (CD18) to form the non-covalent heterodimer Integrin alpha M/beta 2, also known as Mac-1 and complement receptor type 3 (CR3). The CD11b/CD18 (Mac-1) heterodimer has a theoretical molecular weight of 127kDa but is often observed near 170kDa due to post translational modifications. Integrins are transmembrane proteins that mediate interactions between adhesion molecules on adjacent cells and/or the extracellular matrix. Integrins have diverse roles in several biological processes, including cell migration during development, wound healing, cell differentiation, and apoptosis. The particular integrin CD11b is known as a pro-inflammatory molecule given its ability to promote phagocyte cytotoxic functions while enhancing several effector molecules such as FcGR, uPAR, and CD14 (1). In macrophages, CpG-DNA stimulates lysosomal degradation and vacuolar acidification, subsequently promoting CD11b release via TLR9 (2). During an acute infection, high CD11b/Mac-1 expression on antigen-specific CD8 (+) T cells can signify recent activation of the immune system, whereas naive T cells and virus-specific memory CD8 (+) T cells express little or no Mac-1 when exposed to a virus (3). Variations at the ITGAM gene, which encodes for the CD11b chain of the Mac-1 integrin, is one of the main genetic risk factors involved in systemic lupus erythematosus /SLE disorder (4).

References

1. Rosetti, F., & Mayadas, T. N. (2016). The many faces of Mac-1 in autoimmune disease. Immunol Rev, 269(1), 175-193. doi:10.1111/imr.12373

2. Kim, D., Kim, T. H., Wu, G., Park, B. K., Ha, J. H., Kim, Y. S., . . . Kwon, H. J. (2016). Extracellular Release of CD11b by TLR9 Stimulation in Macrophages. PLoS One, 11(3), e0150677. doi:10.1371/journal.pone.0150677

3. Christensen, J. E., Andreasen, S. O., Christensen, J. P., & Thomsen, A. R. (2001). CD11b expression as a marker to distinguish between recently activated effector CD8(+) T cells and memory cells. Int Immunol, 13(4), 593-600. doi:10.1093/intimm/13.4.593

4. Nath, S. K., Han, S., Kim-Howard, X., Kelly, J. A., Viswanathan, P., Gilkeson, G. S., . . . Harley, J. B. (2008). A nonsynonymous functional variant in integrin-alpha(M) (encoded by ITGAM) is associated with systemic lupus erythematosus. Nat Genet, 40(2), 152-154. doi:10.1038/ng.71

Limitations

This product is for research use only and is not approved for use in humans or in clinical diagnosis. Primary Antibodies are guaranteed for 1 year from date of receipt.

Customers Who Viewed This Item Also Viewed...

AF1730
Species: Hu
Applications: AdBlk, CyTOF-ready, Flow, ICC
AF629
Species: Hu
Applications: CyTOF-ready, Flow, InhibCellGro, WB
MAB3595
Species: Hu
Applications: CyTOF-ready, Flow, Simple Western, WB
7268-CT
Species: Hu
Applications: BA
NB100-524
Species: Hu, Mu
Applications: Flow-IC, Flow, ICC/IF, IHC, IHC-Fr,  IHC-P, IP, WB
NBP2-79843
Species: Hu
Applications: CyTOF-ready, ELISA, Flow, ICC/IF, IHC,  IHC-P, PA, WB
AF796
Species: Mu
Applications: AdBlk, IHC, WB
NB110-97871
Species: Hu, Mu
Applications: CyTOF-ready, Flow, ICC/IF, IHC, IHC-Fr,  IHC-P, IP
BBA24
Species: Hu
Applications: CyTOF-ready, ELISA(Cap), ELISA(Det), ELISA(Sta), Flow
M6000B
Species: Mu
Applications: ELISA
DC140
Species: Hu
Applications: ELISA
NBP2-93743
Species: Hu, Mu, Rt
Applications: ICC/IF, WB
AF114
Species: Mu
Applications: CyTOF-ready, Flow, ICC, IHC, WB
NBP1-19371
Species: Ca, Hu, Mu, Po, Rb, Rt
Applications: Dual ISH-IHC, Flow, ICC/IF, IHC, IHC-Fr,  IHC-P, Simple Western, WB
NBP1-49045
Species: Mu, Rt
Applications: Cell Depl, CyTOF-ready, Flow, ICC/IF, IHC, IHC-Fr,  IHC-P, IP, InhibTFunc
DY417
Species: Mu
Applications: ELISA
AF2335
Species: Mu
Applications: CyTOF-ready, Flow, ICC, IHC, IP, WB

Publications for CD11b Antibody (NBP3-43784) (0)

There are no publications for CD11b Antibody (NBP3-43784).
By submitting your publication information earn gift cards and discounts for future purchases.

Reviews for CD11b Antibody (NBP3-43784) (0)

There are no reviews for CD11b Antibody (NBP3-43784). By submitting a review you will receive an Amazon e-Gift Card or Novus Product Discount.
  • Review with no image -- $10/€7/£6/$10 CAD/¥70 Yuan/¥1110 Yen
  • Review with an image -- $25/€18/£15/$25 CAD/¥150 Yuan/¥2500 Yen

Product General Protocols

Find general support by application which include: protocols, troubleshooting, illustrated assays, videos and webinars.

Video Protocols

WB Video Protocol

FAQs for CD11b Antibody (NBP3-43784). (Showing 1 - 8 of 8 FAQ).

  1. I am looking for a Mac-1 (microglia cell marker) antibody to do immunostaining with my mouse brain and I checked, you have a lot of antibodies for this biomarker. I don't know which one is the best to be used for immunohistology on mouse brain tissue. Could you please help with this?
    • I would recommend NB110-89474. This antibody has been published in 11 scientific articles, including several times in IHC in mouse. As long as CD11b is expressed in your sample, it should work just fine and is backed by our 100% Novus Guarantee.
  2. What types of cells can this CD11b antibody be used as a marker for?
    • A study used this CD11b antibody to stain granulocytes in mouse uterine tissue in IHC. CD11b is also expressed on other leukocytes such as monocytes, macrophages, and natural killer cells.
  3. Do you know if this CD11b antibody can be used in CD11b positive cell depletion? 
    • This particular CD11b antibody is not reccomended for depletion studies due to the preservative used; however, our CD11b antibody NBP1-06650 is offered in a preservative free format and has been validated for blocking.
  4. Looking for a bone marrow macrophage marker can you recommend a CD11b antibody for ICC?
    • I would recommend NB110-89474 which is our most popular CD11b antibody and has been validated in ICC and cited in 18 publications.
  5. We need a CD11b antibody for IHC-P on mouse tissue conjugated to FITC, do you have one that will work?
    • We have 3 CD11b antibodies for IHC-P and just one CD11 b antibody we offer conjugated to FITC, NB110-89474F.
  6. The protocol says to do enzymatic antigen retrieval before incubating with the CD11b antibody, which enzyme is used?
    • The protocol is referencting the PIER method using Proteinase K as the enzyme.
  7. I'm not sure if this will work for me, can I get a free sample of your CD11b antibody to test?
    • We don't offer free samples but we do offer this CD11b antibody in a trial size of 0.025 ml at a reduced cost, all antibodies are backed by our 100% guarantee to work in all validated species and applications on the product's web page.
  8. Is CD11b antibody also staining neutrophils in the brain
    • CD11b is typically used as a marker for granulocytes and macrophages. You may need a combination of markers to specifically identify neutrophils

Secondary Antibodies

 

Isotype Controls

Additional CD11b Products

Research Areas for CD11b Antibody (NBP3-43784)

Find related products by research area.

Blogs on CD11b.


  Read full blog post.

Antibody treatment can generate microglia-like cells from bone marrow
By Jennifer Sokolowski, MD, PhD.Microglia play important roles in the brain in both homeostatic and pathological conditions, acting to clear debris and dying cells. There is evidence to suggest that microglial dys...  Read full blog post.

TMEM 119 is a specific marker of microglia cells
By Jennifer Sokolowski, MD, PhD.Microglia are a major immune-cell component in the brain. They ingest and degrade dead cells, debris, and foreign material and interact with other immune cells to orchestrate centra...  Read full blog post.

Topics in CD11b: The innate immune response
Integrins are transmembrane receptors composed of alpha and beta chains, where beta-integrins are mainly expressed in leukocytes. Leukocytes are white blood cells that act in the immune system to defend our body against foreign pathogens.  Integrin...  Read full blog post.

CD11b - More than a microglial marker
The protein CD11b has been implicated in the various adhesion-related interactions of cells such as monocytes, macrophages, natural killer (NK) cells, and granulocytes. It is part of a heterodimer that consists of CD11b and CD18. It also modulates the...  Read full blog post.

CD11b: Marker for a New Type of B Cell that Participates in Cell-Mediated Immunity
Think B lymphocytes just produce antibodies? Think again! Although, of course, B cells are vital for the humoral immune response, many studies in recent years have begun to uncover antibody-independent actions of B cells: regulating T cells and thus a...  Read full blog post.

Adhesion Receptor Molecule CD11b/c is the Point of Entry for many Infectious Diseases
Pathogenic microorganisms utilize a variety of cell surface receptors to gain entry into host cells and to bypass the natural defense mechanisms. One of the most prominent receptors used in this fashion is the leukocyte adhesion receptor CD11b/c. This...  Read full blog post.

CD11b/CD18 and Neutrophil-Epithelial Interactions as Targets for Anti-Inflammatory Therapies
The beta-2 integrins, a family of four cell surface transmembrane glycoproteins expressed only on leukocytes, include CD11a/CD18, CD11b/CD18, CD11c/CD18, and CD11d/CD18. They consist of a common beta subunit (CD18) and homologous alpha subunits (CD11a...  Read full blog post.

The CD11b Antibody: A Marker for Microglial Cells
Microglia are the resident macrophages of the central nervous system, and the first line of immune defense. Pioneering antibody research in the 1990's identified the Integrin beta 2 protein (also called ITGB2, complement receptor 3, CR3, CD18, and Mac...  Read full blog post.

CD11b Expression, Leukocyte Adhesion and the Innate Immune System
What is CD11b?CD11b is an integrin family member which pairs with CD18 to form the CR3 heterodimer. CD11b is expressed on the surface of many leukocytes including monocytes, neutrophils, natural killer cells, granulocytes and macrophages, as well as o...  Read full blog post.

Customers Who Bought This Also Bought

Contact Information

Product PDFs

Calculators

Concentration Calculator

The concentration calculator allows you to quickly calculate the volume, mass or concentration of your vial. Simply enter your mass, volume, or concentration values for your reagent and the calculator will determine the rest.

=
÷

Review this Product

Be the first to review our CD11b Antibody (CL1719) - Azide and BSA Free and receive a gift card or discount.

Bioinformatics

Gene Symbol ITGAM