beta-Actin Antibody (ACTB/2370) - Azide and BSA Free

Images

 
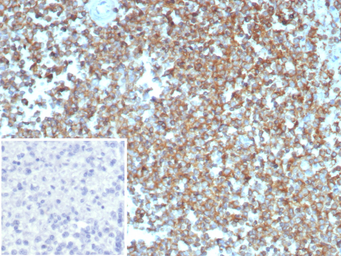
Formalin-fixed, paraffin-embedded human spleen stained with beta-Actin antibody (ACTB/2370). Inset: PBS instead of primary antibody; secondary only negative control.

Product Details

Summary
Reactivity HuSpecies Glossary
Applications IHC
Clone
ACTB/2370
Clonality
Monoclonal
Host
Mouse
Conjugate
Unconjugated
Format
Azide and BSA Free
Concentration
1 mg/ml

Order Details

beta-Actin Antibody (ACTB/2370) - Azide and BSA Free Summary

Description
Positive Controls: Human myoepithelial cells.

Antibody with azide - store at 2 to 8C. Antibody without azide - store at -20 to -80C. Non-hazardous. No MSDS required.
Immunogen
Recombinant fragment (around aa150-350) of human beta-Actin protein (exact sequence is proprietary)
Localization
Cytoplasm > cytoskeleton. Localized in cytoplasmic mRNP granules containing untranslated mRNAs.
Isotype
IgG
Clonality
Monoclonal
Host
Mouse
Gene
ACTB
Purity
Protein A or G purified
Innovator's Reward
Test in a species/application not listed above to receive a full credit towards a future purchase.

Applications/Dilutions

Dilutions
  • Immunohistochemistry-Paraffin 1-2 ug/ml
Application Notes
Immunohistochemistry (Formalin-fixed): 1-2ug/ml for 30 minutes. at RT. Staining of formalin-fixed tissues requires heating tissue sections in 10mM Tris with 1mM EDTA, pH 9.0, for 45 min at 95C followed by cooling at RT for 20 minutes.

Optimal dilution for a specific application should be determined.

Packaging, Storage & Formulations

Storage
Store at -20 to -70C. Avoid freeze-thaw cycles.
Buffer
10mM PBS
Preservative
No Preservative
Concentration
1 mg/ml
Purity
Protein A or G purified

Alternate Names for beta-Actin Antibody (ACTB/2370) - Azide and BSA Free

  • ACTB
  • actin, beta
  • actin, cytoplasmic 1
  • B-Actin
  • Beta Actin
  • beta cytoskeletal actin
  • betaActin
  • beta-Actin
  • BRWS1
  • I(2)-Actin
  • PS1TP5-binding protein 1
  • PS1TP5BP1

Background

Actin is a highly conserved protein involved in cell motility, structure, and integrity. Six functional actin isoforms exist and were named based on their electrophoretic mobility and distribution including alpha-cardiac muscle actin (aCAA), alpha-skeletal muscle actin (aSKA), alpha-smooth muscle actin (aSMA), beta-cytoplasmic actin (bCYA), gamma-cytoplasmic actin (gCYA) and gamma-smooth muscle actin (gSMA) (1). The cytoplasmic isoforms, beta-actin and gamma-actin, are nearly identical, differing by only 4 amino acids at the N-terminus with a theoretical molecular weight of 42 kDa (2). Beta-actin is ubiquitously expressed in eukaryotic cells and considered a housekeeping gene which is frequently used as a loading control for assays involving protein detection, such as Western blotting (3,4).

References

1. Vandekerckhove J, Weber K. 1978. At least six different actins are expressed in a higher mammal: an analysis based on the amino acid sequence of the amino-terminal tryptic peptide. J Mol Biol. 126(4):783-802. PMID: 745245

2. Gimona M, Vandekerckhove J, Goethals M, Herzog M, Lando Z, Small JV. (1994) Beta-actin specific monoclonal antibody. Cell Motil Cytoskeleton. 27(2):108-16. PMID: 8162619

3. Holden VI, Lenio S, Kuick R, Ramakrishnan SK, Shah YM, Bachman MA. (2014) Bacterial siderophores that evade or overwhelm Lipocalin 2 induce HIF-1a and pro-inflammatory cytokine secretion in cultured respiratory epithelial cells Infect Immun. 82(9):3826-36 PMID: 24980968

4. Tsai WL, Yeh PH, Tsai CY, Ting CT, Chiu YH, Tao MH, Li WC, Hung SC. (2016) Efficient Programming of Human Mesenchymal Stem Cell Derived Hepatocytes by Epigenetic Regulations. J. Gastroenterol. Hepatol. 32(1):261-269. PMID: 27218433

Limitations

This product is for research use only and is not approved for use in humans or in clinical diagnosis. Primary Antibodies are guaranteed for 1 year from date of receipt.

Customers Who Viewed This Item Also Viewed...

NB300-221
Species: Av, Bv, Ca, Ch, ChHa, Dr, Eq, Fe, Ha, Hu, Mu, Ma-Op, Po, Pm, Rb, Rt, Sh, Ze
Applications: ChIP, ICC/IF, IHC, IHC-Fr, IP, KD, Simple Western, Single-Cell Western, WB
NBP1-33527
Species: Hu, Mu, Rt
Applications: ICC/IF, IHC,  IHC-P, KO, Simple Western, WB
NB500-317
Species: Bv(-), Ca(-), Ch(-), Hu, Mu(-), Rb(-)
Applications: ELISA, Flow, ICC/IF, IHC,  IHC-P, IP, RIA, WB
NB600-501
Species: Bv, Ca, Ch, Dr(-), Fe, Fi, Gt, Gp, Ha, Hu, Le, Ma, Mu, Po, Pm, Rb, Rt, Sh, Sq, Tr, Ze
Applications: ChIP, ELISA, Flow, ICC/IF, IHC, IHC-Fr,  IHC-P, IP, KD, KO, Simple Western, WB
H00006908-Q01
Species: Hu
Applications: ELISA, AP, PA, PAGE, WB
NB100-93302
Species: Hu
Applications: ICC/IF, IHC,  IHC-P, IP, WB
NBP1-92345
Species: Hu
Applications: ICC/IF, IHC,  IHC-P, WB
NBP1-30993
Species: Ha, Hu, Mu, Rt
Applications: ICC/IF, IHC,  IHC-P, KD, WB
NBP3-13522
Species: Hu, Mu, Rt
Applications: ICC/IF, IHC,  IHC-P, WB
MAB2669
Species: Hu
Applications: IHC, Simple Western, WB
NBP1-87511
Species: Hu
Applications: ICC/IF, IHC,  IHC-P, WB
NBP2-33600
Species: Hu, Mu
Applications: ICC/IF, IHC,  IHC-P, WB
NBP2-19784
Species: Hu, Mu, Rt, Ye
Applications: ICC/IF, IHC,  IHC-P, IP, PLA, WB
NBP1-82859
Species: Hu
Applications: ICC/IF, IHC,  IHC-P
NB300-130
Species: Bv, Ce, Ch, Dr, Eq, Hu, Pm, Mu, Pl, Po, Rt, Ze
Applications: IB, ICC/IF, IHC, IHC-Fr,  IHC-P, WB
U-100H
Species: Hu
Applications: EnzAct
NBP2-94633
Species: Hu, Mu, Rt
Applications: ICC/IF, IHC,  IHC-P, WB
H00006124-M01
Species: Hu, Mu, Rt
Applications: ELISA, ICC/IF, S-ELISA, WB
NBP2-92880
Species: Hu, Mu, Rt
Applications: ICC/IF, IHC,  IHC-P, WB
NBP2-88192
Species: Hu
Applications: IHC,  IHC-P, WB

Publications for beta-Actin Antibody (NBP3-20760) (0)

There are no publications for beta-Actin Antibody (NBP3-20760).
By submitting your publication information earn gift cards and discounts for future purchases.

Reviews for beta-Actin Antibody (NBP3-20760) (0)

There are no reviews for beta-Actin Antibody (NBP3-20760). By submitting a review you will receive an Amazon e-Gift Card or Novus Product Discount.
  • Review with no image -- $10/€7/£6/$10 CAD/¥70 Yuan/¥1110 Yen
  • Review with an image -- $25/€18/£15/$25 CAD/¥150 Yuan/¥2500 Yen

Product General Protocols

Find general support by application which include: protocols, troubleshooting, illustrated assays, videos and webinars.

FAQs for beta-Actin Antibody (NBP3-20760). (Showing 1 - 5 of 5 FAQ).

  1. Why is beta actin used as a loading control in blotting ?
    • Beta actin is a highly-expressed protein found in all cells, and is considered a house keeping protein whose expression is necessary for any cell's proper functioning. For this reason it is used as a loading control to confirm that the same amount of total protein is loaded in each lane of an SDS-PAGE gel so that appropriate comparisons can be made between the actual proteins of interest in different samples.
  2. Are the beta-Actin antibodies validated in Simple Western?
    • Yes, we offer a few beta actin antibodies that have been tested in Simple Western: NBP1-47423, NB600-501, NB600-532, NB600-503, and NB100-56874.
  3. Do Beta-Actin antibodies come in lyophilized format?
    • ACTB antibodies like MAB8969 AND MAB8929 come in lyophilized form.
  4. What is the theoretical molecular weight for Beta-Actin antibodies?
    • The TMW for beta Actin antibodies is approximately 42 kDa.
  5. I wanted to know which of the two housekeeping genes B-actin or GAPDH can be used for best results. I intend to do an experiment to determine expression of IL-6 and TNF-alpha in liver and kidney tissues.
    • For homogenized tissue, beta-actin and GAPDH are both fine.

Secondary Antibodies

 

Isotype Controls

Additional beta-Actin Products

Research Areas for beta-Actin Antibody (NBP3-20760)

Find related products by research area.

Blogs on beta-Actin.

Application Focus: I see an increase in LC3, now what?
 By Christina Towers, PhD.  Autophagy is highly conserved and tightly regulated process that all cell types use to recycle nutrients, particularly in the instance of stress1. As a result, even sm...  Read full blog post.

The use of Beta Actin (AC-15) as a loading control across multiple species
Actin is a fundamental component of the cytoskeleton, where it has the ability to create and break down actin filament formation in response to various cell needs.  Actin has six highly conserved isoforms, however beta and gamma actin are the two...  Read full blog post.

Tips on choosing an ideal loading control antibody for Western Blotting
Western blotting is one of the most commonly used antibody assay techniques in cell and molecular biology research since its development over three decades ago, and is considered the gold standard for protein detection and quantification. When p...  Read full blog post.

Beta-Actin's Role in Neuronal Plasticity
Beta-Actin is a highly conserved protein involved in cell growth, cytoskeletal and extracellular support structures and cell migration. Because beta-Actin is ubiquitously expressed in all eukaryotic cells, it is frequently used as a loading contro...  Read full blog post.

ACTB - an abundant cytoskeletal component with applications for gene expression analysis
Actin is the widely studied and ubiquitous cytoskeletal protein capable of forming dynamic microfilament structures. These filaments are essential for diverse cellular functions including cell shape, migration, cytokinesis, and intracellular traffi...  Read full blog post.

A New Standard in Antibody Testing - Simple Western Certified Antibodies
The Western blot is one of the most commonly used antibody assay techniques in cell and molecular biology research since its development over three decades ago, and is considered the gold standard for protein detection and quantification. The tradi...  Read full blog post.

Customers Who Bought This Also Bought

Contact Information

Product PDFs

Calculators

Concentration Calculator

The concentration calculator allows you to quickly calculate the volume, mass or concentration of your vial. Simply enter your mass, volume, or concentration values for your reagent and the calculator will determine the rest.

=
÷

Review this Product

Be the first to review our beta-Actin Antibody (ACTB/2370) - Azide and BSA Free and receive a gift card or discount.

Bioinformatics

Gene Symbol ACTB