S100B Antibody [Unconjugated]

Images

 
S100B was detected in immersion fixed paraffin-embedded sections of human Alzheimer's brain using Goat Anti-Human S100B Antigen Affinity-purified Polyclonal Antibody (Catalog # AF1820) at 1.7 µg/mL overnight at 4 ...read more
Simple Western lane view shows lysates of human brain (cerebellum) tissue, loaded at 0.2 mg/mL. A specific band was detected for S100B at approximately 4 kDa (as indicated) using 10 µg/mL of Goat Anti-Human S100B ...read more

Product Details

Summary
Reactivity HuSpecies Glossary
Applications WB, Simple Western, IHC
Clonality
Polyclonal
Host
Goat
Conjugate
Unconjugated
Concentration
LYOPH

Order Details

S100B Antibody [Unconjugated] Summary

Immunogen
E. coli-derived recombinant human S100B
Met1-Glu92
Accession # P04271
Specificity
Detects human S100B in direct ELISAs and Western blots. In direct ELISAs, less than 1% cross-reactivity with recombinant human (rh) S100A1, rhS100A4, and rhS100A6 is observed.
Source
N/A
Assay Type
abc
Isotype
IgG
Clonality
Polyclonal
Host
Goat
Gene
S100B
Purity Statement
Antigen Affinity-purified
Innovator's Reward
Test in a species/application not listed above to receive a full credit towards a future purchase.

Applications/Dilutions

Dilutions
  • Immunohistochemistry 5-15 ug/mL
  • Simple Western 10 ug/mL
  • Western Blot 0.1 ug/mL
Reviewed Applications
Read 1 Review rated 5
using
AF1820 in the following applications:

Publications
Read Publications using
AF1820 in the following applications:

Packaging, Storage & Formulations

Storage
Use a manual defrost freezer and avoid repeated freeze-thaw cycles.
  • 12 months from date of receipt, -20 to -70 °C as supplied.
  • 1 month, 2 to 8 °C under sterile conditions after reconstitution.
  • 6 months, -20 to -70 °C under sterile conditions after reconstitution.
Buffer
Lyophilized from a 0.2 μm filtered solution in PBS with Trehalose. *Small pack size (SP) is supplied either lyophilized or as a 0.2 µm filtered solution in PBS.
Preservative
No Preservative
Concentration
LYOPH
Reconstitution Instructions
Reconstitute at 0.2 mg/mL in sterile PBS.

Notes

This product is produced by and ships from R&D Systems, Inc., a Bio-Techne brand.

Alternate Names for S100B Antibody [Unconjugated]

  • beta (neural)
  • NEF
  • S100 beta
  • S100 calcium binding protein B
  • S100 calcium-binding protein B
  • S100 calcium-binding protein, beta (neural)
  • S-100 calcium-binding protein, beta chain, 10protein S100-B
  • S-100 protein beta chain
  • S-100 protein subunit beta
  • S100
  • S100B
  • S100beta

Background

S100B belongs to the S100 subgroup of the EF-hand family of Ca2+ binding proteins. It is a homodimer that is expressed primarily in the brain by astrocytes, oligodendrocytes and Schwann cells. S100B has multiple intracellular functions, but can also be secreted from cells to exert extracellular functions. Some of the extracellular functions of S100B may be mediated by RAGE (receptor for advanced glycation end products). Blood levels of S100B can be used to monitor the extent of brain injury and malignant melanoma.

Limitations

This product is for research use only and is not approved for use in humans or in clinical diagnosis. Primary Antibodies are guaranteed for 1 year from date of receipt.

Customers Who Viewed This Item Also Viewed...

NB300-141
Species: Bv, Ch, Eq, Gp, Hu, Mu, Po, Rb, Rt
Applications: ICC/IF, IHC, IHC-Fr,  IHC-P, Simple Western, WB
NB300-223
Species: Bv, Ca, Ch, Eq, Hu, Mu, Po, Rt
Applications: ICC/IF, IHC, IHC-Fr,  IHC-P, WB
NB110-58870
Species: Hu, Mu, Rt
Applications: ICC/IF, IHC, KD, Simple Western, WB
AF3844
Species: Hu, Mu
Applications: IHC
AF3059
Species: Mu
Applications: ICC, Simple Western, WB
AF4117
Species: Rt
Applications: IHC, WB
AF2065
Species: Mu
Applications: ICC, IHC, Simple Western, WB
NB120-22711
Species: Hu, Mu
Applications: ELISA, Flow, ICC/IF, IHC, IHC-Fr,  IHC-P
AF1356
Species: Hu, Mu
Applications: CyTOF-ready, Dual ISH-IHC, Flow, IHC, Simple Western, WB
NB100-683
Species: Hu, Mu, Rt
Applications: Dual ISH-IHC, EM, Flow, ICC/IF, IHC, IHC-Fr,  IHC-P, IP, WB
NBP2-94448
Species: Hu, Mu, Rt
Applications: ELISA, IHC,  IHC-P, WB
NBP1-87103
Species: Hu, Mu
Applications: IHC,  IHC-P, WB
DRG00
Species: Hu
Applications: ELISA
NBP1-89388
Species: Hu, Mu, Rt
Applications: ICC/IF, IHC,  IHC-P, Simple Western, WB
NB200-103
Species: Hu, Mu, Rt, Xp(-), Ye
Applications: CyTOF-ready, ELISA, Flow-IC, Flow, ICC/IF, IHC, IHC-Fr,  IHC-P, IP, WB
H00002023-M01
Species: Fe, Hu
Applications: ELISA, Flow, Func, ICC/IF, IHC,  IHC-P, IP, WB
NBP1-84854
Species: Hu, Mu, Rt
Applications: ICC/IF, IHC,  IHC-P, KD, WB
NB300-653
Species: Ch, Fe, Hu, Pm, Mu, Rt
Applications: ELISA, ICC/IF, IHC, IHC-Fr,  IHC-P, IP, WB
NBP1-30151
Species: Ca, Hu, Mu
Applications: ICC/IF, IHC,  IHC-P
H00006275-M01
Species: Hu, Mu
Applications: ELISA, ICC/IF, IHC, WB

Publications for S100B Antibody (AF1820)(6)

We have publications tested in 2 confirmed species: Human, Mouse.

We have publications tested in 4 applications: ELISA Development, IHC, Immunohistochemistry, Western Blot.


Filter By Application
ELISA Development
(1)
IHC
(2)
Immunohistochemistry
(1)
Western Blot
(1)
All Applications
Filter By Species
Human
(3)
Mouse
(2)
All Species
Showing Publications 1 - 6 of 6.
Publications using AF1820 Applications Species
Sokolova, D;Ghansah, SA;Puletti, F;Georgiades, T;De Schepper, S;Zheng, Y;Crowley, G;Wu, L;Rueda-Carrasco, J;Koutsiouroumpa, A;Muckett, P;Freeman, OJ;Khakh, BS;Hong, S; Astrocyte-derived MFG-E8 facilitates microglial synapse elimination in Alzheimer's disease mouse models bioRxiv : the preprint server for biology 2024-09-01 [PMID: 39257734] (Immunohistochemistry, Human) Immunohistochemistry Human
Wang, Y;Peng, J;Song, C;Yang, Y;Qin, T; Zinc finger and SCAN domain-containing 18 suppresses the proliferation, self-renewal, and drug resistance of glioblastoma cells Heliyon 2023-06-01 [PMID: 37389038] (Western Blot, Human) Western Blot Human
P Yuan, M Zhang, L Tong, TM Morse, RA McDougal, H Ding, D Chan, Y Cai, J Grutzendle PLD3 affects axonal spheroids and network defects in Alzheimer's disease Nature, 2022-11-30;612(7939):328-337. 2022-11-30 [PMID: 36450991] (IHC, Mouse) IHC Mouse
Kyujin Hwang, Kwangsoo Jung, Il-Sun Kim, Miri Kim, Jungho Han, Joohee Lim et al. Glial Cell Line-derived Neurotrophic Factor-overexpressing Human Neural Stem/Progenitor Cells Enhance Therapeutic Efficiency in Rat with Traumatic Spinal Cord Injury Experimental Neurobiology 12/31/2019 [PMID: 31902156]
Jay T, Hirsch A, Broihier M, Miller C, Neilson L, Ransohoff R, Lamb B, Landreth G Disease Progression-Dependent Effects of TREM2 Deficiency in a Mouse Model of Alzheimer's Disease. J Neurosci, 2017-01-18;37(3):637-647. 2017-01-18 [PMID: 28100745] (IHC, Mouse) IHC Mouse
Qi LY, Xiu MH, Chen da C, Wang F, Kosten TA, Kosten TR, Zhang XY Increased serum S100B levels in chronic schizophrenic patients on long-term clozapine or typical antipsychotics. Neurosci. Lett., 2009-06-17;462(2):113-7. 2009-06-17 [PMID: 19539717] (ELISA Development, Human) ELISA Development Human

Review for S100B Antibody (AF1820) (1) 51

Average Rating: 5
(Based on 1 review)
We have 1 review tested in 1 species: Mouse.

Reviews using AF1820:
Filter by Applications
 IHC-P
(1)
All Applications
Filter by Species
Mouse
(1)
All Species
Images Ratings Applications Species Date Details
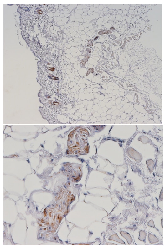
Immunohistochemistry-Paraffin S100B AF1820
Enlarge
5
reviewed by:
Verified Customer
 IHC-P Mouse 08/18/2017
View

Summary

ApplicationImmunohistochemistry-Paraffin
Sample Testedmouse skin tissue
SpeciesMouse
LotJTR021706B

Comments

Comments1.Tissue: formalin fixed paraffin embedded mouse skin tissue
2.Antigen retrieval: 0.01 M Citric Acid, 0.05% Tween-20
3.First antibody: Goat anti s100b (AF1820), 1:100 dilution overnight at 4 °C
4.Secondary antibody- Bio- Dondey anti Goat, 1:200 room temperature 1 hours
5.Kits used : Vectorstain ABC kit (cat: PK-4000) and DAB staining kit (Brown, cat: SK4100)
6.Counterstained with hematoxylin (blue), only nerve and hair follicle are positive.

Product General Protocols

Find general support by application which include: protocols, troubleshooting, illustrated assays, videos and webinars.

Video Protocols

WB Video Protocol

FAQs for S100B Antibody (AF1820) (0)

There are no specific FAQs related to this product. Read our general customer & technical service FAQs.

Secondary Antibodies

 

Isotype Controls

Additional S100B Products

Blogs on S100B.

Successful Transplantation of Friedreich Ataxia Induced Pluripotent Stem Cell (iPSC)-Derived Sensory Neurons in Dorsal Root Ganglia of Adult Rodents
Jamshed Arslan, Pharm D, PhD The dorsal root ganglia (DRG) are a collection of cell bodies of sensory nerves carrying sensory information – including nociception, mechanoreception and proprioception – from periphera...  Read full blog post.

Role of GFAP in astrocytes: Lessons from induced pluripotent stem cells in Alexander disease patients
By Michalina Hanzel, PhDAlexander disease is a progressive and fatal neurological disease with phenotypes ranging from myelination abnormalities, gait ataxia and megalencephaly to predisposition to seizures. It is an ...  Read full blog post.

Customers Who Bought This Also Bought

Contact Information

Product PDFs

Calculators

Concentration Calculator

The concentration calculator allows you to quickly calculate the volume, mass or concentration of your vial. Simply enter your mass, volume, or concentration values for your reagent and the calculator will determine the rest.

=
÷

Recent Reviews

5
5
1
4
0
3
0
2
0
1
0

Verified Customer
08/18/2017
Application:  IHC-P
Species: Mouse

Bioinformatics

Gene Symbol S100B
Uniprot