N-Cadherin Antibody (CL3716) - Azide and BSA Free

Images

 
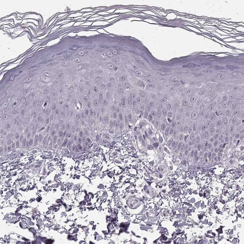
Orthogonal Strategies: Analysis in human heart muscle and skin tissues using NBP3-44495 antibody. Corresponding N-Cadherin RNA-seq data are presented for the same tissues.
Lane 1: Marker [kDa] 250, 130, 100, 70, 55, 35, 25, 15, 10Lane 2: Human cell line U-251 MG
Staining of human heart muscle shows strong positivity in the intercalated discs of cardiomyocytes.
Staining of human cerebral cortex shows moderate positivity in neuropil.
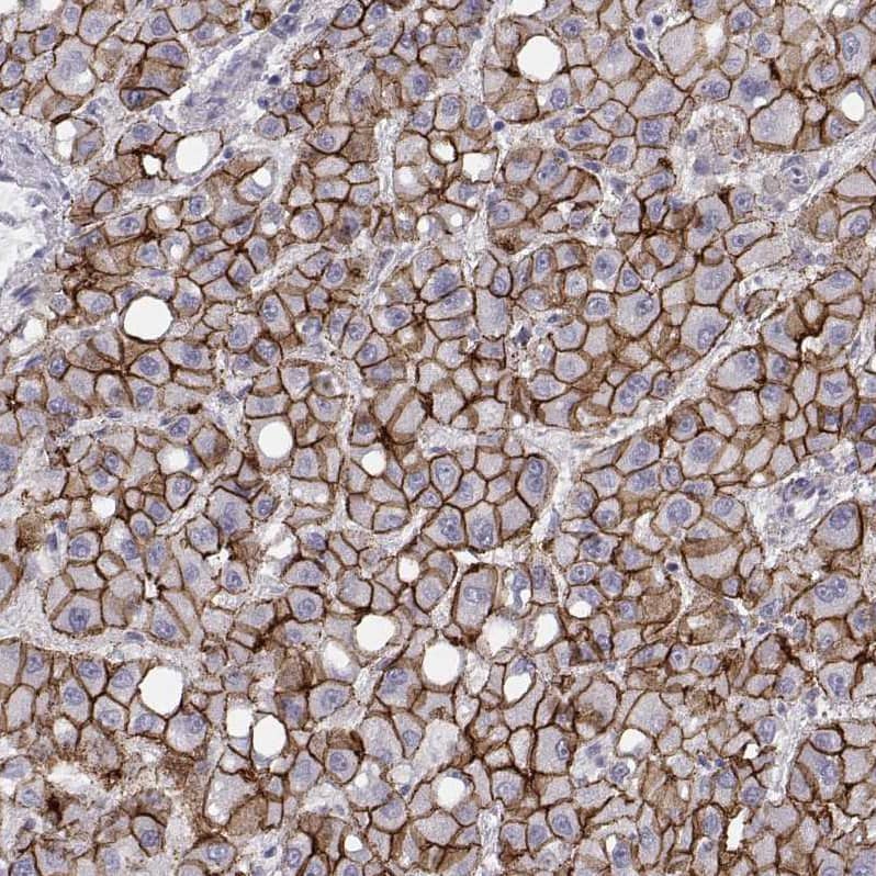
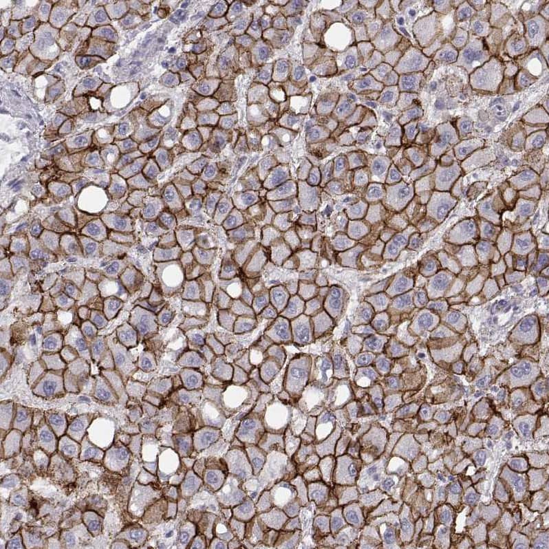
Staining of human liver cancer (hepatocellular carcinoma) shows moderate to strong membranous positivity in tumor cells.
Staining of human skin shows no positivity in epidermal cells as expected.
Staining of U-251 cells using the Anti-N-Cadherin monoclonal antibody) .
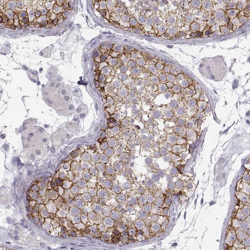
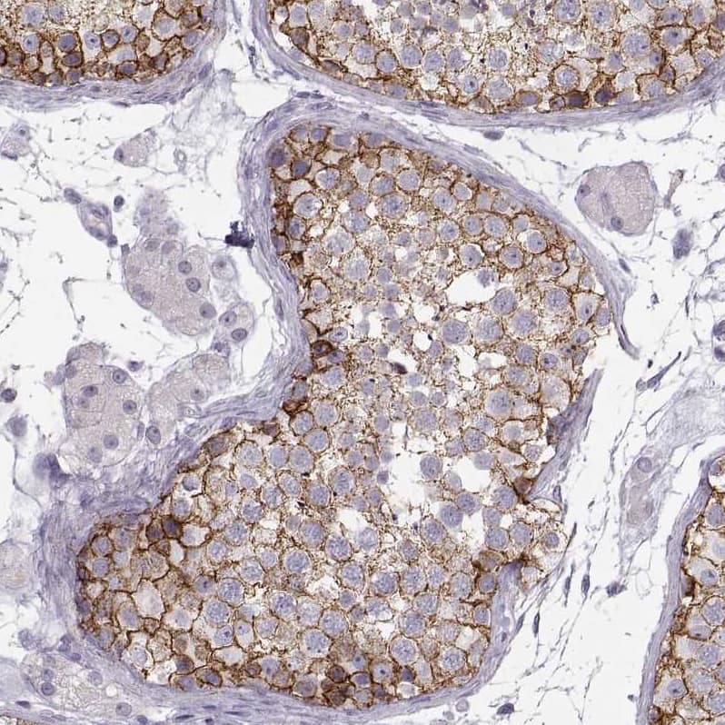
Staining of human testis shows strong membranous positivity in cells in seminiferous ducts.
Genetic Strategies: Analysis in U-251MG cells transfected with control siRNA, target specific siRNA probe #1 and #2, using Anti-N-Cadherin antibody. Remaining relative intensity is presented. Loading control: ...read more

Product Details

Summary
Reactivity HuSpecies Glossary
Applications WB, ICC/IF, IHC
Clone
CL3716
Clonality
Monoclonal
Host
Mouse
Conjugate
Unconjugated
Format
Azide and BSA Free
Concentration
LYOPH

Order Details

N-Cadherin Antibody (CL3716) - Azide and BSA Free Summary

Description
Novus Biologicals Mouse N-Cadherin Antibody (CL3716) - Azide and BSA Free (NBP2-61632) is a monoclonal antibody validated for use in IHC, WB and ICC/IF. All Novus Biologicals antibodies are covered by our 100% guarantee.
Immunogen
This antibody was generated using a recombinant protein sequence of P19022, with the exact immunogen sequence remaining proprietary.
Isotype
IgG1
Clonality
Monoclonal
Host
Mouse
Gene
CDH2
Purity
Protein A purified
Innovator's Reward
Test in a species/application not listed above to receive a full credit towards a future purchase.

Applications/Dilutions

Dilutions
  • Immunocytochemistry/ Immunofluorescence 2-10 ug/ml
  • Immunohistochemistry-Paraffin 1:500 - 1:1000
  • Western Blot 1 ug/ml
Application Notes
For IHC-Paraffin, HIER pH 6 retrieval is recommended. For Immunocytochemistry/ Immunofluorescence/IF, PFA/Triton X-100 is recommended for fixation/permeabilization.

Packaging, Storage & Formulations

Storage
Store at 4C short term. Aliquot and store at -20C long term. Avoid freeze-thaw cycles.
Buffer
Lyophilized from a 0.2 um filtered solution in PBS with Trehalose
Preservative
No Preservative
Concentration
LYOPH
Purity
Protein A purified
Reconstitution Instructions
Centrifuge the vial of lyophilized antibody at 12,000 x g for 20 seconds. Reconstitute by adding sterile, distilled water to achieve a final antibody concentration of 1mg/ml.

Alternate Names for N-Cadherin Antibody (CL3716) - Azide and BSA Free

  • ACOGS
  • ARVD14
  • cadherin 2, type 1, N-cadherin (neuronal)
  • Cadherin-2
  • calcium-dependent adhesion protein, neuronal
  • CD325 antigen
  • CD325
  • CDH2
  • CDHN
  • CDw325
  • NCAD
  • N-cadherin 1
  • NCadherin
  • N-Cadherin
  • Neural cadherin
  • neural-cadherin

Background

N-Cadherin, also referred to as Neural Cadherin (NCAD) or Cadherin-2 (CHD2), is a 130 kDa protein that is a member of the calcium-dependent adhesion molecule family of classical (type I) cadherins (1-4). Under the CDH2 gene, human N-cadherin is synthesized as a 906 amino acid protein with a theoretical molecular weight of 99.8 kDa (5). The N-cadherin protein structure is similar to other classical type I cadherins including epithelial (E-) cadherin and placental (P-) cadherin (1,2). N-cadherin consists of a 25 amino acid (aa) N-terminal signal peptide and 134 aa pro-peptide, a 565 aa extracellular domain (ECD) with five cadherin repeats, a 21 aa transmembrane segment, and a 161 aa cytoplasmic domain (1-3,5). The ECD of N-cadherin monomers is responsible for homotypic binding through either cis or trans adhesion (2,3).

N-cadherin is expressed on multiple cell types but is most highly expressed by mesenchymal cells and neural tissue (2). Functionally, N-cadherin has a number of roles including maintaining structural integrity and adhesion, cell signaling, and formation of neuronal synapses and the vascular wall (2). The cytoplasmic tail interacts with beta-catenin which then binds with alpha-catenin, forming the cadherin-catenin adhesion complex, an important component of adhesions junctions (1-3). Given its role in adhesion, N-cadherin serves as an indicator of epithelial-to-mesenchymal transition (EMT) (1-4). The loss of E-cadherin during EMT corresponds with an increase in N-cadherin expression (1-4). This "cadherin-switch" is associated with increased migratory and invasive behavior observed in tumor progress (1-4). Proteases including activity of a disintegrin and metalloprotease 10 (ADAM10), matrix metalloproteinases (MMPs), caspase 3, presenilin, and calpain can cleave N-cadherin as a mechanism for regulating Wnt/beta-catenin signaling and inducing oncogenic signals (3,4). In addition to its expression in solid tumors, N-cadherin has been indicated in hematological disorders such as leukemia and multiple myeloma (1). N-cadherin antagonists are currently being studied as potential therapeutics for a variety of cancer studies (1-2).

References

1. Mrozik, K. M., Blaschuk, O. W., Cheong, C. M., Zannettino, A., & Vandyke, K. (2018). N-cadherin in cancer metastasis, its emerging role in haematological malignancies and potential as a therapeutic target in cancer. BMC Cancer. https://doi.org/10.1186/s12885-018-4845-0

2. Loh, C. Y., Chai, J. Y., Tang, T. F., Wong, W. F., Sethi, G., Shanmugam, M. K., Chong, P. P., & Looi, C. Y. (2019). The E-Cadherin and N-Cadherin Switch in Epithelial-to-Mesenchymal Transition: Signaling, Therapeutic Implications, and Challenges. Cells. https://doi.org/10.3390/cells8101118

3. Derycke, L. D., & Bracke, M. E. (2004). N-cadherin in the spotlight of cell-cell adhesion, differentiation, embryogenesis, invasion and signalling. The International Journal of Developmental Biology. https://doi.org/10.1387/ijdb.041793ld

4. Yu, W., Yang, L., Li, T., & Zhang, Y. (2019). Cadherin Signaling in Cancer: Its Functions and Role as a Therapeutic Target. Frontiers in Oncology. https://doi.org/10.3389/fonc.2019.00989

5. Unitprot (P1903)

Limitations

This product is for research use only and is not approved for use in humans or in clinical diagnosis. Primary Antibodies are guaranteed for 1 year from date of receipt.

Customers Who Viewed This Item Also Viewed...

NBP1-48309
Species: Hu, Mu, Rt
Applications: Flow-IC, Flow, ICC/IF, IHC,  IHC-P, IP, Simple Western, WB
NB100-524
Species: Hu, Mu
Applications: Flow-IC, Flow, ICC/IF, IHC, IHC-Fr,  IHC-P, IP, WB
NBP2-79843
Species: Hu
Applications: CyTOF-ready, ELISA, Flow, ICC/IF, IHC,  IHC-P, PA, WB
7268-CT
Species: Hu
Applications: BA
AF748
Species: Hu, Mu
Applications: CyTOF-ready, Dual ISH-IHC, Flow, ICC, IHC, Simple Western, WB
AF1329
Species: Hu, Mu, Rt
Applications: ChIP, CyTOF-ready, ICC, IHC, ICFlow, Simple Western, WB
NBP2-15840
Species: Hu, Mu, Rt
Applications: ICC/IF, IHC,  IHC-P, WB
NB100-74510
Species: Hu, Mu, Pm, Rt
Applications: ELISA, ICC/IF, IHC,  IHC-P, IP, WB
NB300-223
Species: Bv, Ca, Ch, Eq, Hu, Mu, Po, Rt
Applications: ICC/IF, IHC, IHC-Fr,  IHC-P, WB
NBP2-37364
Species: Hu, Mu
Applications: CyTOF-ready, ELISA, Flow-IC, Flow, ICC/IF, IHC,  IHC-P, KD, WB
NBP1-83976
Species: Hu
Applications: ICC/IF, IHC,  IHC-P
NB100-807
Species: Hu
Applications: ICC/IF, PEP-ELISA, WB
NBP2-38234
Species: Hu
Applications: IHC,  IHC-P
AF6677
Species: Mu
Applications: IHC, WB
NBP1-85047
Species: Hu, Mu, Po, Rt
Applications: ICC/IF, IHC,  IHC-P, WB
NBP2-03886
Species: Hu, Mu, Rt
Applications: Flow, IHC,  IHC-P, WB
MAB1790
Species: Hu
Applications: IHC, Simple Western, WB
DMP900
Species: Hu
Applications: ELISA
MMP200
Species: Ca, Hu, Mu, Po, Rt
Applications: ELISA
NBP3-44495
Species: Hu
Applications: WB, ICC/IF, IHC

Publications for N-Cadherin Antibody (NBP3-44495) (0)

There are no publications for N-Cadherin Antibody (NBP3-44495).
By submitting your publication information earn gift cards and discounts for future purchases.

Reviews for N-Cadherin Antibody (NBP3-44495) (0)

There are no reviews for N-Cadherin Antibody (NBP3-44495). By submitting a review you will receive an Amazon e-Gift Card or Novus Product Discount.
  • Review with no image -- $10/€7/£6/$10 CAD/¥70 Yuan/¥1110 Yen
  • Review with an image -- $25/€18/£15/$25 CAD/¥150 Yuan/¥2500 Yen

Product General Protocols

Find general support by application which include: protocols, troubleshooting, illustrated assays, videos and webinars.

Video Protocols

WB Video Protocol
ICC/IF Video Protocol

FAQs for N-Cadherin Antibody (NBP3-44495) (0)

There are no specific FAQs related to this product. Read our general customer & technical service FAQs.

Secondary Antibodies

 

Isotype Controls

Additional N-Cadherin Products

Research Areas for N-Cadherin Antibody (NBP3-44495)

Find related products by research area.

Blogs on N-Cadherin.


  Read full blog post.

Bad news for stomach cancer: BAMBI protein inhibits gastric carcinoma via TGF-beta/epithelial-mesenchymal transition signaling
By Jamshed Arslan Pharm.D. Gastric carcinoma is the second leading cause of cancer-related deaths worldwide. One of the key features of gastric carcinoma is acidosis, which promotes growth and metastasis of gastric ...  Read full blog post.

Beta Tubulin III and neurogenesis
Beta tubulin III, also known as Tuj-1, is a class III member of the beta tubulin protein family. Beta tubulins are one of two structural components that form our microtubule network. While general tubulins play a role in a wide range of cellular pr...  Read full blog post.

Epithelial-Mesenchymal Transition (EMT) Markers
Epithelial-Mesenchymal Transition (EMT) is the trans-differentiation of stationary epithelial cells into motile mesenchymal cells. During EMT, epithelial cells lose their junctions and apical-basal polarity, reorganize their cytoskeleton, undergo a...  Read full blog post.

CD63: is it pro-metastatic or anti-metastatic?
CD63 is a type II membrane protein belonging to tetraspanin superfamily and it play key roles in the activation of several cellular signaling cascades along with acting as TIMP1 receptor. It is expressed by activated platelets, monocytes,...  Read full blog post.

MMP24 (Matrix metalloproteinase-24, matrix metalloproteinase-25, MT5-MMP)
MMP24 is an extracellular matrix (ECM) degradative peptidase enzyme that is a member of the large family of matrix metalloproteinases (MMP). Each MMP has a different substrate specificity, and the aberrant or derailed expression of these is strongly c...  Read full blog post.

Customers Who Bought This Also Bought

Contact Information

Product PDFs

Calculators

Concentration Calculator

The concentration calculator allows you to quickly calculate the volume, mass or concentration of your vial. Simply enter your mass, volume, or concentration values for your reagent and the calculator will determine the rest.

=
÷

Review this Product

Be the first to review our N-Cadherin Antibody (CL3716) - Azide and BSA Free and receive a gift card or discount.

Bioinformatics

Gene Symbol CDH2