Lactate Dehydrogenase A/LDHA Antibody (OTI2D11) - Azide and BSA Free

Images

 
Western Blot: Lactate Dehydrogenase A/LDHA Antibody (OTI2D11) - Azide and BSA Free [NBP2-71121] - HEK293T cells were transfected with the pCMV6-ENTRY control (Left lane) or pCMV6-ENTRY Lactate Dehydrogenase A (Right ...read more
Immunohistochemistry: Lactate Dehydrogenase A/LDHA Antibody (OTI2D11) - Azide and BSA Free [NBP2-71121] - Staining of paraffin-embedded Carcinoma of Human thyroid tissue using anti-Lactate Dehydrogenase A mouse ...read more
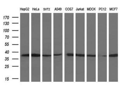
Western Blot: Lactate Dehydrogenase A/LDHA Antibody (OTI2D11) - Azide and BSA Free [NBP2-71121] - Analysis of extracts (35ug) from 9 different cell lines by using anti-LDHA monoclonal antibody at 1:200 dilution. (HepG2: ...read more
Immunohistochemistry: Lactate Dehydrogenase A/LDHA Antibody (OTI2D11) - Azide and BSA Free [NBP2-71121] - Staining of paraffin-embedded Adenocarcinoma of Human breast tissue using anti-Lactate Dehydrogenase A mouse ...read more
Immunohistochemistry: Lactate Dehydrogenase A/LDHA Antibody (OTI2D11) - Azide and BSA Free [NBP2-71121] - Staining of paraffin-embedded Adenocarcinoma of Human endometrium tissue using anti-Lactate Dehydrogenase A mouse ...read more
Immunohistochemistry: Lactate Dehydrogenase A/LDHA Antibody (OTI2D11) - Azide and BSA Free [NBP2-71121] - Staining of paraffin-embedded Adenocarcinoma of Human ovary tissue using anti-Lactate Dehydrogenase A mouse ...read more
Immunohistochemistry: Lactate Dehydrogenase A/LDHA Antibody (OTI2D11) - Azide and BSA Free [NBP2-71121] - Staining of paraffin-embedded Carcinoma of Human bladder tissue using anti-Lactate Dehydrogenase A mouse ...read more
Immunohistochemistry: Lactate Dehydrogenase A/LDHA Antibody (OTI2D11) - Azide and BSA Free [NBP2-71121] - Staining of paraffin-embedded Carcinoma of Human pancreas tissue using anti-Lactate Dehydrogenase A mouse ...read more
Immunoprecipitation: Lactate Dehydrogenase A/LDHA Antibody (OTI2D11) - Azide and BSA Free [NBP2-71121] - Lane 1: Negative Control Lane 2: NBP1-47824 Lane 3: NBP1-47825 Lane 4: NBP1-47823 Lane 5: NBP1-47822

Product Details

Summary
Reactivity Hu, Mu, Rt, Ca, PmSpecies Glossary
Applications WB, IHC, IP
Clone
OTI2D11
Clonality
Monoclonal
Host
Mouse
Conjugate
Unconjugated
Format
Azide and BSA Free
Concentration
LYOPH

Order Details

Lactate Dehydrogenase A/LDHA Antibody (OTI2D11) - Azide and BSA Free Summary

Description
Novus Biologicals Mouse Lactate Dehydrogenase A/LDHA Antibody (OTI2D11) - Azide and BSA Free (NBP1-47822) is a monoclonal antibody validated for use in IHC, WB and IP. All Novus Biologicals antibodies are covered by our 100% guarantee.
Immunogen
Full length human recombinant protein of human LDHA (NP_005557) produced in HEK293T cell.
Isotype
IgG1
Clonality
Monoclonal
Host
Mouse
Gene
LDHA
Purity
Immunogen affinity purified
Innovator's Reward
Test in a species/application not listed above to receive a full credit towards a future purchase.

Applications/Dilutions

Dilutions
  • Immunohistochemistry 1:50
  • Immunohistochemistry-Paraffin 1:50
  • Immunoprecipitation 2ug/500ul
  • Western Blot 1:1000
Theoretical MW
36.5 kDa.
Disclaimer note: The observed molecular weight of the protein may vary from the listed predicted molecular weight due to post translational modifications, post translation cleavages, relative charges, and other experimental factors.

Reactivity Notes

Please note that this antibody is reactive to Mouse and derived from the same host, Mouse. Mouse-On-Mouse blocking reagent may be needed for IHC and ICC experiments to reduce high background signal. You can find these reagents under catalog numbers PK-2200-NB and MP-2400-NB. Please contact Technical Support if you have any questions.

Packaging, Storage & Formulations

Storage
Store at -20C. Avoid freeze-thaw cycles.
Buffer
Lyophilized from PBS (pH 7.3) with 8% Trehalose
Preservative
No Preservative
Concentration
LYOPH
Purity
Immunogen affinity purified
Reconstitution Instructions
we recommend adding 100uL distilled water to a final antibody concentration of about 1 mg/mL. To use this carrier-free antibody for conjugation experiment, we strongly recommend performing another round of desalting process.

Alternate Names for Lactate Dehydrogenase A/LDHA Antibody (OTI2D11) - Azide and BSA Free

  • Cell proliferation-inducing gene 19 protein
  • EC 1.1.1
  • EC 1.1.1.27
  • GSD11
  • Lactate Dehydrogenase A
  • lactate dehydrogenase M
  • LDH muscle subunit
  • LDH1
  • LDHA
  • LDH-A
  • LDHM
  • LDH-M
  • L-lactate dehydrogenase A chain
  • proliferation-inducing gene 19
  • Renal carcinoma antigen NY-REN-59

Background

Lactate dehydrogenase (LDH) is an ubiquitous enzyme commonly found in wide variety of organisms, including plants and microbes. LDH is involved in the interconversion of the pyruvate and NADH to lactate and NAD+. It is also called Hydroxybutyrate Dehydrogenase (HBD), due to the fact that it can catalyze the oxidation of hydroxybutyrate (1). In mammals, three types of LDH subunits (35 kDa) are encoded by the genes Ldh-A, Ldh-B, and Ldh-C, forming various terameric isoenzymes (140 kDa). Lactate dehydrogenase A (LDH-A, muscle subunit, LDH-M) is involved in the final step of anaerobic glycoysis and catalyzes the conversion of L-lactate and NAD to pryruvate and NADH. While it is predominantly expressed in muscle tissue, it is hormonally regulated in rodents and overexpressed during mammary gland tumorigenesis (2). A mutation that cause deficiency in LDH-A has been implicated in exertional myoglobinuria (3).

Limitations

This product is for research use only and is not approved for use in humans or in clinical diagnosis. Primary Antibodies are guaranteed for 1 year from date of receipt.

Customers Who Viewed This Item Also Viewed...

NBP2-53421
Species: Hu, Mu, Rt
Applications: Flow, ICC/IF, IHC,  IHC-P, KO, WB
NB100-68160
Species: Hu, Mu
Applications: IHC,  IHC-P, PEP-ELISA, WB
NB100-105
Species: Bv, Ca, Fe, Ma, Hu, Pm, Mu, Po, Pm, Rb, Rt, Sh, Xp
Applications: ChIP, ChIP, ELISA, Flow, GS, IA, IB, ICC/IF, IHC-FrFl, IHC, IHC-Fr,  IHC-P, IP, In vitro, KD, KO, LA, PLA, Simple Western, TCS, WB
NB600-302
Species: Bv, Dr, Hu, Mu
Applications: ChIP, ELISA, Flow-IC, Flow, IB, ICC/IF, IHC, IHC-Fr,  IHC-P, IP, PLA, S-ELISA, Simple Western, WB
NBP3-03807
Species: Hu, Mu, Rt
Applications: ICC/IF, IP, WB
NB110-39113
Species: Hu, Mu, Rb, Rt
Applications: ChIP, ChIP, Flow-IC, Flow, ICC/IF, IHC, IHC-Fr,  IHC-P, In vitro, Simple Western, WB
NBP2-02541
Species: Hu, Pm, Mu, Pm, Rt
Applications: ICC/IF, IHC,  IHC-P, WB
DVE00
Species: Hu
Applications: ELISA
NB300-221
Species: Av, Bv, Ca, Ch, ChHa, Dr, Eq, Fe, Ha, Hu, Mu, Ma-Op, Po, Pm, Rb, Rt, Sh, Ze
Applications: ChIP, ICC/IF, IHC, IHC-Fr, IP, KD, Simple Western, Single-Cell Western, WB
NBP1-32398
Species: Hu, Mu, Rt
Applications: ICC/IF, IHC,  IHC-P, IP, KD, WB
AF3398
Species: Hu, Mu, Rt
Applications: ICC, KO, Simple Western, WB
NBP1-89559
Species: Hu
Applications: IHC,  IHC-P, WB
NBP3-05078
Species: Hu, Mu, Rt
Applications: ICC/IF, IHC,  IHC-P, WB
MAB1417
Species: Bv, Hu, Mu
Applications: ICC, IHC
NBP1-59656
Species: Hu, Mu
Applications: ICC/IF, IHC,  IHC-P, KD, Simple Western, WB
NBP1-32259
Species: Hu, Mu, Rt
Applications: ICC/IF, IHC,  IHC-P, KO, WB
NBP1-85632
Species: Hu
Applications: ICC/IF, IHC,  IHC-P
NBP1-85630
Species: Hu
Applications: IHC,  IHC-P, WB
MEP00B
Species: Mu
Applications: ELISA
NBP2-71121
Species: Hu, Mu, Rt, Ca, Pm
Applications: WB, IHC, IP

Publications for Lactate Dehydrogenase A/LDHA Antibody (NBP2-71121) (0)

There are no publications for Lactate Dehydrogenase A/LDHA Antibody (NBP2-71121).
By submitting your publication information earn gift cards and discounts for future purchases.

Reviews for Lactate Dehydrogenase A/LDHA Antibody (NBP2-71121) (0)

There are no reviews for Lactate Dehydrogenase A/LDHA Antibody (NBP2-71121). By submitting a review you will receive an Amazon e-Gift Card or Novus Product Discount.
  • Review with no image -- $10/€7/£6/$10 CAD/¥70 Yuan/¥1110 Yen
  • Review with an image -- $25/€18/£15/$25 CAD/¥150 Yuan/¥2500 Yen

Product General Protocols

Find general support by application which include: protocols, troubleshooting, illustrated assays, videos and webinars.

Video Protocols

WB Video Protocol

FAQs for Lactate Dehydrogenase A/LDHA Antibody (NBP2-71121) (0)

There are no specific FAQs related to this product. Read our general customer & technical service FAQs.

Customers Who Bought This Also Bought

Contact Information

Product PDFs

Calculators

Concentration Calculator

The concentration calculator allows you to quickly calculate the volume, mass or concentration of your vial. Simply enter your mass, volume, or concentration values for your reagent and the calculator will determine the rest.

=
÷

Review this Product

Be the first to review our Lactate Dehydrogenase A/LDHA Antibody (OTI2D11) - Azide and BSA Free and receive a gift card or discount.

Bioinformatics

Gene Symbol LDHA