DAX1/NR0B1 Antibody (OTI5F5) - Azide and BSA Free

Images

 
Western Blot: DAX1/NR0B1 Antibody (OTI5F5) - Azide and BSA Free [NBP2-70116] - Analysis of HEK293T cells were transfected with the pCMV6-ENTRY control (Left lane) or pCMV6-ENTRY NR0B1.
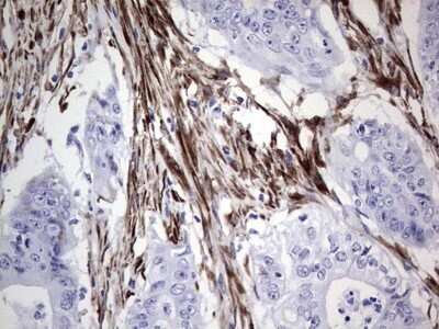
Immunohistochemistry: DAX1/NR0B1 Antibody (OTI5F5) - Azide and BSA Free [NBP2-70116] - Analysis of Adenocarcinoma of Human colon tissue. (Heat-induced epitope retrieval by 1 mM EDTA in 10mM Tris, pH8.5, 120C for 3min)

Product Details

Summary
Reactivity HuSpecies Glossary
Applications WB, IHC
Clone
OTI5F5
Clonality
Monoclonal
Host
Mouse
Conjugate
Unconjugated
Format
Azide and BSA Free
Concentration
LYOPH

Order Details

DAX1/NR0B1 Antibody (OTI5F5) - Azide and BSA Free Summary

Description
Novus Biologicals Mouse DAX1/NR0B1 Antibody (OTI5F5) - Azide and BSA Free (NBP2-46212) is a monoclonal antibody validated for use in IHC and WB. All Novus Biologicals antibodies are covered by our 100% guarantee.
Immunogen
Human recombinant protein fragment corresponding to amino acids 161-430 of human NR0B1 (NP_000466) produced in E.coli.
Isotype
IgG1
Clonality
Monoclonal
Host
Mouse
Gene
NR0B1
Purity
Immunogen affinity purified
Innovator's Reward
Test in a species/application not listed above to receive a full credit towards a future purchase.

Applications/Dilutions

Dilutions
  • Immunohistochemistry 1:150
  • Immunohistochemistry-Paraffin
  • Western Blot
Theoretical MW
51.5 kDa.
Disclaimer note: The observed molecular weight of the protein may vary from the listed predicted molecular weight due to post translational modifications, post translation cleavages, relative charges, and other experimental factors.

Packaging, Storage & Formulations

Storage
Store at -20C. Avoid freeze-thaw cycles.
Buffer
Lyophilized from PBS (pH 7.3) with 8% Trehalose
Preservative
No Preservative
Concentration
LYOPH
Purity
Immunogen affinity purified
Reconstitution Instructions
we recommend adding 100uL distilled water to a final antibody concentration of about 1 mg/mL. To use this carrier-free antibody for conjugation experiment, we strongly recommend performing another round of desalting process.

Alternate Names for DAX1/NR0B1 Antibody (OTI5F5) - Azide and BSA Free

  • AHC
  • AHCDSS
  • AHCH
  • AHX
  • DAX1
  • DAX1DAX-1
  • dosage-sensitive sex reversal
  • DSS-AHC critical region on the X chromosome protein 1
  • GTD
  • HHG
  • NR0B1
  • NROB1
  • nuclear hormone receptor
  • Nuclear receptor DAX-1
  • nuclear receptor subfamily 0 group B member 1
  • nuclear receptor subfamily 0, group B, member 1

Background

NR0B1 encodes a protein that contains a DNA-binding domain. The encoded protein acts as a dominant-negative regulator of transcription which is mediated by the retinoic acid receptor. This protein also functions as an anti-testis gene by acting antagonistically to Sry. Mutations in this gene result in both X-linked congenital adrenal hypoplasia and hypogonadotropic hypogonadism.

Limitations

This product is for research use only and is not approved for use in humans or in clinical diagnosis. Primary Antibodies are guaranteed for 1 year from date of receipt.

Customers Who Viewed This Item Also Viewed...

NBP2-88921
Species: Hu
Applications: ICC/IF, IHC,  IHC-P, WB
AF3667
Species: Hu, Mu
Applications: Dual ISH-IHC, ICC, IHC, Simple Western, WB
NBP1-26612
Species: Hu
Applications: IP (-), WB
M6000B
Species: Mu
Applications: ELISA
DY417
Species: Mu
Applications: ELISA
NBP2-37463
Species: Hu
Applications: CyTOF-ready, ELISA, Flow, IHC,  IHC-P, WB
H00007536-M01
Species: Hu, Mu
Applications: ELISA, ICC/IF, IHC,  IHC-P, IP, WB
AF3075
Species: Hu
Applications: ICC, Simple Western, WB
NB100-1533
Species: Hu, Mu, Po, Rt, Sh
Applications: Flow, ICC/IF, IHC,  IHC-P, PEP-ELISA, WB
NBP2-47559
Species: Hu
Applications: IHC,  IHC-P, WB
NB300-605
Species: Hu, Mu, Po, Rt
Applications: Flow, IB, ICC/IF, IHC, IHC-Fr,  IHC-P, In vitro, WB
NBP2-27196
Species: Bv, Ca, Ch, ChHa, Eq, Gp, Hu, Mu, Ma-Op, Po, Pm, Rb, Rt, RM, Ze
Applications: IHC,  IHC-P, KD, WB
NB100-689
Species: Hu, Rt
Applications: IHC, IHC-Fr,  IHC-P, Simple Western, WB
NBP1-33485
Species: Hu, Mu
Applications: ICC/IF, IHC,  IHC-P, WB
NB110-60011
Species: Hu
Applications: ICC/IF, IHC, IHC-Fr,  IHC-P, IP, Simple Western, WB
NBP3-15687
Species: Hu, Mu, Rt
Applications: IHC,  IHC-P, WB
NB600-844
Species: Ch, Hu, Mu, Rb, Rt
Applications: ICC/IF, IHC, IHC-Fr,  IHC-P, Simple Western, WB
NB100-56603
Species: Ca, Hu, Mu, Pm, Rt
Applications: IHC,  IHC-P, WB
NB100-56566
Species: Bv, Hu, Ma, Mu, Po, Rt
Applications: B/N, ChIP, CyTOF-ready, DB, Dual ISH-IHC, ELISA(Cap), ELISA, Flow-CS, Flow-IC, Flow, ICC/IF, IHC, IHC-Fr,  IHC-P, In vitro, KD, KO, PAGE, Simple Western, WB

Publications for DAX1/NR0B1 Antibody (NBP2-70116) (0)

There are no publications for DAX1/NR0B1 Antibody (NBP2-70116).
By submitting your publication information earn gift cards and discounts for future purchases.

Reviews for DAX1/NR0B1 Antibody (NBP2-70116) (0)

There are no reviews for DAX1/NR0B1 Antibody (NBP2-70116). By submitting a review you will receive an Amazon e-Gift Card or Novus Product Discount.
  • Review with no image -- $10/€7/£6/$10 CAD/¥70 Yuan/¥1110 Yen
  • Review with an image -- $25/€18/£15/$25 CAD/¥150 Yuan/¥2500 Yen

Product General Protocols

Find general support by application which include: protocols, troubleshooting, illustrated assays, videos and webinars.

Video Protocols

WB Video Protocol

FAQs for DAX1/NR0B1 Antibody (NBP2-70116) (0)

There are no specific FAQs related to this product. Read our general customer & technical service FAQs.

Secondary Antibodies

 

Isotype Controls

Additional DAX1/NR0B1 Products

Research Areas for DAX1/NR0B1 Antibody (NBP2-70116)

Find related products by research area.

Blogs on DAX1/NR0B1

There are no specific blogs for DAX1/NR0B1, but you can read our latest blog posts.

Customers Who Bought This Also Bought

Contact Information

Product PDFs

Calculators

Concentration Calculator

The concentration calculator allows you to quickly calculate the volume, mass or concentration of your vial. Simply enter your mass, volume, or concentration values for your reagent and the calculator will determine the rest.

=
÷

Review this Product

Be the first to review our DAX1/NR0B1 Antibody (OTI5F5) - Azide and BSA Free and receive a gift card or discount.

Bioinformatics

Gene Symbol NR0B1