CD44 Antibody (CL13324) - Azide and BSA Free

Images

 
Orthogonal Strategies: Analysis in human cervix, uterine and skeletal muscle tissues using NBP3-44375 antibody. Corresponding CD44 RNA-seq data are presented for the same tissues.
Staining of human cervical cancer shows strong membranous positivity in tumor cells.
Staining of human colon shows strong membranous positivity in lymphoid cells.
Staining of human lymph node shows strong membranous positivity in lymphoid cells.
Staining of human ovarian cancer (low grade carcinoma) shows moderate membranous positivity in tumor cells.
Staining of human ovarian cancer (endometrioid carcinoma) shows strong membranous positivity in tumor cells.
Staining of human skeletal muscle shows no positivity in myocytes as expected.
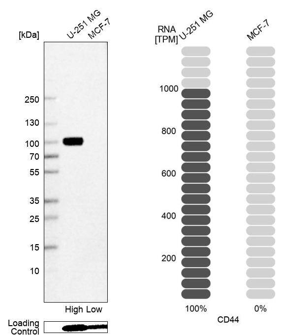
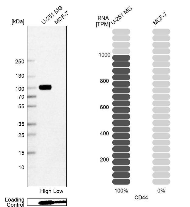
Orthogonal Strategies: Analysis in human cell line U-251 MG and human cell line MCF-7.
Staining of human uterine cervix shows strong membranous positivity in squamous epithelial cells.

Product Details

Summary
Reactivity HuSpecies Glossary
Applications WB, IHC
Clone
CL13324
Clonality
Monoclonal
Host
Mouse
Conjugate
Unconjugated
Format
Azide and BSA Free
Concentration
LYOPH
Validated by:
       

Orthogonal Strategies

 

Order Details

CD44 Antibody (CL13324) - Azide and BSA Free Summary

Description
Novus Biologicals Mouse CD44 Antibody (CL13324) - Azide and BSA Free (NBP3-18566) is a monoclonal antibody validated for use in IHC and WB. All Novus Biologicals antibodies are covered by our 100% guarantee.
Immunogen
This antibody was generated using a synthetic peptide of P16070, with the exact immunogen sequence remaining proprietary.
Isotype
IgG3
Clonality
Monoclonal
Host
Mouse
Gene
CD44
Purity
Protein A purified
Innovator's Reward
Test in a species/application not listed above to receive a full credit towards a future purchase.

Applications/Dilutions

Dilutions
  • Immunohistochemistry-Paraffin 1:2500 - 1:5000
  • Western Blot 1 ug/ml
Application Notes
For use with IHC-Paraffin, HIER pH 6 retrieval is recommended.

Packaging, Storage & Formulations

Storage
Store at 4C short term. Aliquot and store at -20C long term. Avoid freeze-thaw cycles.
Buffer
Lyophilized from a 0.2 um filtered solution in PBS with Trehalose
Preservative
No Preservative
Concentration
LYOPH
Purity
Protein A purified
Reconstitution Instructions
Centrifuge the vial of lyophilized antibody at 12,000 x g for 20 seconds. Reconstitute by adding sterile, distilled water to achieve a final antibody concentration of 1mg/ml.

Alternate Names for CD44 Antibody (CL13324) - Azide and BSA Free

  • CD44 antigen
  • CD44 molecule (Indian blood group)
  • CD44
  • CD44R
  • CDw44
  • cell surface glycoprotein CD44
  • chondroitin sulfate proteoglycan 8
  • CSPG8
  • ECMR-III
  • epican
  • Extracellular matrix receptor III
  • GP90 lymphocyte homing/adhesion receptor
  • HCAM
  • HCELL
  • hematopoietic cell E- and L-selectin ligand
  • Heparan sulfate proteoglycan
  • Hermes antigen
  • homing function and Indian blood group system
  • HUTCH-I
  • Hyaluronate receptor
  • IN
  • LHR
  • MC56
  • MDU2
  • MDU2CD44 antigen (homing function and Indian blood group system)
  • MDU3
  • MDU3CDW44
  • MIC4
  • MIC4MGC10468
  • MUTCH-I
  • Pgp1
  • PGP-1
  • PGP-I
  • Phagocytic glycoprotein 1
  • Phagocytic glycoprotein I

Background

CD44 represents a family of type I transmembrane glycoproteins expressed on many cell types such as B cells, monocytes, macrophages, and variable subsets of thymocytes and peripheral T cells. CD44 primarily functions as an adhesion molecule. It has been implicated in various processes, such as hematopoiesis, lymphocyte homing, leukocyte activation, tumor metastasis and development. The KM201 monoclonal antibody reacts with an epitope very close to the hyaluronate binding domain on the CD44 molecule. KM201 can inhibit hyaluronate-dependent cell aggregation, prevent lympho-hemopoiesis in both Dexter and Whitlock-Witte Cultures, prevent the earliest intrathymic precursors from homing to the thymus, and costimulate the activation of freshly purified splenic CD4+ T cells.1-6

Limitations

This product is for research use only and is not approved for use in humans or in clinical diagnosis. Primary Antibodies are guaranteed for 1 year from date of receipt.

Customers Who Viewed This Item Also Viewed...

7268-CT
Species: Hu
Applications: BA
NBP2-79843
Species: Hu
Applications: CyTOF-ready, ELISA, Flow, ICC/IF, IHC,  IHC-P, PA, WB
NB100-524
Species: Hu, Mu
Applications: Flow-IC, Flow, ICC/IF, IHC, IHC-Fr,  IHC-P, IP, WB
AF796
Species: Mu
Applications: AdBlk, IHC, WB
NBP1-19371
Species: Ca, Hu, Mu, Po, Rb, Rt
Applications: Dual ISH-IHC, Flow, ICC/IF, IHC, IHC-Fr,  IHC-P, Simple Western, WB
AF114
Species: Mu
Applications: CyTOF-ready, Flow, ICC, IHC, WB
BBA24
Species: Hu
Applications: CyTOF-ready, ELISA(Cap), ELISA(Det), ELISA(Sta), Flow
NBP1-49045
Species: Mu, Rt
Applications: Cell Depl, CyTOF-ready, Flow, ICC/IF, IHC, IHC-Fr,  IHC-P, IP, InhibTFunc
202-IL
Species: Hu
Applications: BA
NBP1-91258
Species: Bv, Ca, Eq, Fe, Hu, Mu, Po, Rt
Applications: ICC/IF, IHC, IHC-Fr,  IHC-P, Simple Western, WB
MAB17781
Species: Hu
Applications: Block, CyTOF-ready, Flow, ICC, IP, KO
AF4117
Species: Rt
Applications: IHC, WB
AF1730
Species: Hu
Applications: AdBlk, CyTOF-ready, Flow, ICC
NB100-77903
Species: Hu
Applications: Flow, ICC/IF, IHC, IHC-Fr
MAB3595
Species: Hu
Applications: CyTOF-ready, Flow, Simple Western, WB
MAB2965
Species: Hu
Applications: CyTOF-ready, Flow
AF808
Species: Mu
Applications: ELISA(Cap), ELISA(Det), ELISA(Sta), ICC, IHC, Neut, WB
M6000B
Species: Mu
Applications: ELISA
AF2364
Species: Hu
Applications: IHC, WB

Publications for CD44 Antibody (NBP3-44375) (0)

There are no publications for CD44 Antibody (NBP3-44375).
By submitting your publication information earn gift cards and discounts for future purchases.

Reviews for CD44 Antibody (NBP3-44375) (0)

There are no reviews for CD44 Antibody (NBP3-44375). By submitting a review you will receive an Amazon e-Gift Card or Novus Product Discount.
  • Review with no image -- $10/€7/£6/$10 CAD/¥70 Yuan/¥1110 Yen
  • Review with an image -- $25/€18/£15/$25 CAD/¥150 Yuan/¥2500 Yen

Product General Protocols

Find general support by application which include: protocols, troubleshooting, illustrated assays, videos and webinars.

Video Protocols

WB Video Protocol

FAQs for CD44 Antibody (NBP3-44375) (0)

There are no specific FAQs related to this product. Read our general customer & technical service FAQs.

Secondary Antibodies

 

Isotype Controls

Additional CD44 Products

Research Areas for CD44 Antibody (NBP3-44375)

Find related products by research area.

Blogs on CD44.

Taking Biomarker Discovery From 2D to 3D: Increased Biological Activity of EVs Isolated From 3D Prostate Cancer Cultures
Jamshed Arslan, Pharm D, PhD Tissues within the human body are made of a three-dimensional (3D) arrangement of cells working together to perform vital functions. The commonly used 2D monolayer cultures have limited ...  Read full blog post.

Stemness is responsible for onset and metastasis of colorectal cancer
By Jamshed Arslan, Pharm. D., PhD. Colorectal cancer stem cells are a rare subpopulation of colorectal cancer cells that can self-renew and initiate and sustain tumor growth when transplanted into an animal host.1,2 C...  Read full blog post.

The Osteopontin Antibody and Hepatic Research
Antibody suppliers, such as us at Novus Biologicals, supply a wide range of cell marker products, among them the Osteopontin antibody. Recently, the osteopontin antibody has proven useful in hepatic cancer research.Osteopontin (OPN) is mainly expres...  Read full blog post.

CD Antibodies Uncover Markers for Rare Breast Cancer
We at Novus Biologicals have added several new products to our CD antibody database. The CD, or Cluster of Differential proteins are a family of type I transmembrane glycoproteins widely expressed in immune cell populations. These include B cells, thy...  Read full blog post.

Customers Who Bought This Also Bought

Contact Information

Product PDFs

Calculators

Concentration Calculator

The concentration calculator allows you to quickly calculate the volume, mass or concentration of your vial. Simply enter your mass, volume, or concentration values for your reagent and the calculator will determine the rest.

=
÷

Review this Product

Be the first to review our CD44 Antibody (CL13324) - Azide and BSA Free and receive a gift card or discount.

Bioinformatics

Gene Symbol CD44