Vimentin Antibody (CL0157) - Azide and BSA Free

Images

 
Lane 1: Marker [kDa]Lane 2: Human cell line HeLa cytoplasmic fractionLane 3: Human cell line HeLa membrane fractionLane 4: Human cell line HeLa nuclear fractionLane 5: Human cell line HeLa chromatin fractionLane 6: ...read more
Staining of human cerebellum shows immunoreactivity in the endothelial cells.
Lane 1: Marker [kDa] Lane 2: Human tonsil tissue lysate
Staining of human kidney shows strong immunoreactivity in renal glomeruli but not tubuli cells.
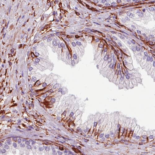
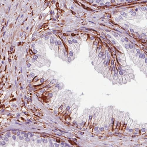
Staining of human prostate shows strong immunoreactivity in the connective tissue.
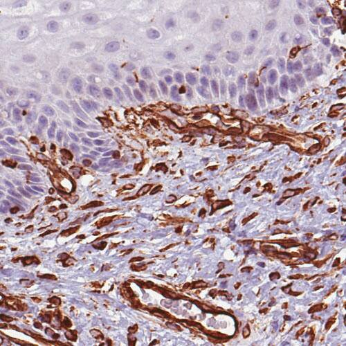
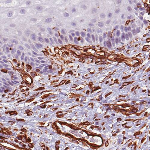
Staining of human skin shows distinct positivity in fibroblasts.
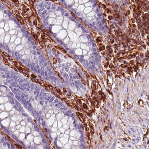
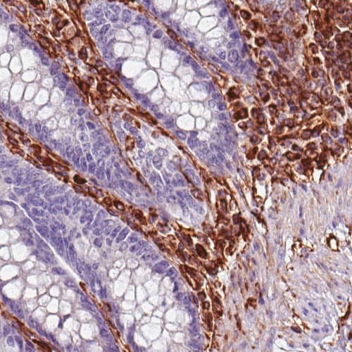
Staining of human rectum shows strong positivity in mesenchymal and lymphoid cells.
Orthogonal Strategies: Analysis in human cell lines U-251MG and MCF-7 using Anti-Vimentin antibody. Corresponding Vimentin RNA-seq data are presented for the same cell lines. Loading control: Anti-GAPDH.

Product Details

Summary
Reactivity HuSpecies Glossary
Applications WB, IHC
Clone
CL0157
Clonality
Monoclonal
Host
Mouse
Conjugate
Unconjugated
Format
Azide and BSA Free
Concentration
LYOPH
Validated by:
       

Orthogonal Strategies

 

Order Details

Vimentin Antibody (CL0157) - Azide and BSA Free Summary

Description
Novus Biologicals Mouse Vimentin Antibody (CL0157) - Azide and BSA Free (NBP2-52867) is a monoclonal antibody validated for use in IHC and WB. All Novus Biologicals antibodies are covered by our 100% guarantee.
Immunogen
This antibody was generated using a recombinant protein sequence of P08670, with the exact immunogen sequence remaining proprietary.
Isotype
IgG1
Clonality
Monoclonal
Host
Mouse
Gene
VIM
Purity
Protein A purified
Innovator's Reward
Test in a species/application not listed above to receive a full credit towards a future purchase.

Applications/Dilutions

Dilutions
  • Immunohistochemistry-Paraffin 1:2500 - 1:5000
  • Western Blot 1 ug/ml
Application Notes
For IHC-Paraffin, HIER pH 6 retrieval is recommended.

Packaging, Storage & Formulations

Storage
Store at 4C short term. Aliquot and store at -20C long term. Avoid freeze-thaw cycles.
Buffer
Lyophilized from a 0.2 um filtered solution in PBS with Trehalose
Preservative
No Preservative
Concentration
LYOPH
Purity
Protein A purified
Reconstitution Instructions
Centrifuge the vial of lyophilized antibody at 12,000 x g for 20 seconds. Reconstitute by adding sterile, distilled water to achieve a final antibody concentration of 1mg/ml.

Alternate Names for Vimentin Antibody (CL0157) - Azide and BSA Free

  • epididymis secretory sperm binding protein
  • FLJ36605
  • VIM
  • Vimentin

Background

Vimentin is a type III intermediate filament (IF) protein, encoded by the VIM gene, that plays an essential role in cytoskeletal function and is largely expressed by mesenchymal cell such as endothelial cells, fibroblasts, and immune cells (1). Human vimentin monomer protein is 466 amino acids (aa) in length with a theoretical molecular weight of ~54 kDa (2). Vimentin protein contains a central rod domain composed of four alpha-helices which is flanked by an N-terminal head domain and C-terminal tail domain (1,3). Vimentin monomers dimerize to form more complex structures resulting in the assembly of eight tetramers, referred to as unit-length filaments, which then assemble into full-length intermediate filaments that are 10-12 nm wide (1,3,4).

Activated macrophages have been shown to secrete phosphorylated vimentin which can be stimulated by a variety of pathophysiological factors including oxidized low-density lipoproteins and TNF-alpha or inhibited by IL-10 (1). The vimentin protein is often expressed at the cell surface playing a role in cell-cell interactions, tissue damage and repair, immune response, and pathogen recognition (1). Vimentin functions in many cytoskeletal processes including cell migration, which is highlighted by its upregulation during epithelial-to-mesenchymal transition (EMT) (4,5). Vimentin is a commonly used marker for EMT and is expressed by many tumor types (5). For example, high metastasis of oral squamous cell carcinomas also showed high vimentin positive expression in immunohistochemical staining analysis (5). A number of vimentin targeting compounds are in cancer-related clinical trials, however, given the multifunctional role of vimentin, the effect of inhibition on non-malignant cells needs to be thoroughly examined (5).

References

1. Ramos, I., Stamatakis, K., Oeste, C. L., & Perez-Sala, D. (2020). Vimentin as a Multifaceted Player and Potential Therapeutic Target in Viral Infections. International Journal of Molecular Sciences. https://doi.org/10.3390/ijms21134675

2. Uniprot (P08670)

3. Morrow, C. S., & Moore, D. L. (2020). Vimentin's side gig: Regulating cellular proteostasis in mammalian systems. Cytoskeleton (Hoboken, N.J.). https://doi.org/10.1002/cm.21645

4. van Bodegraven, E. J., & Etienne-Manneville, S. (2020). Intermediate filaments against actomyosin: the david and goliath of cell migration. Current Opinion in Cell Biology. https://doi.org/10.1016/j.ceb.2020.05.006

5. Strouhalova, K., Prechova, M., Gandalovicova, A., Brabek, J., Gregor, M., & Rosel, D. (2020). Vimentin Intermediate Filaments as Potential Target for Cancer Treatment. Cancers. https://doi.org/10.3390/cancers12010184

Limitations

This product is for research use only and is not approved for use in humans or in clinical diagnosis. Primary Antibodies are guaranteed for 1 year from date of receipt.

Customers Who Viewed This Item Also Viewed...

AF3844
Species: Hu, Mu
Applications: IHC
NB300-141
Species: Bv, Ch, Eq, Gp, Hu, Mu, Po, Rb, Rt
Applications: ICC/IF, IHC, IHC-Fr,  IHC-P, Simple Western, WB
NB120-22711
Species: Hu, Mu
Applications: ELISA, Flow, ICC/IF, IHC, IHC-Fr,  IHC-P
AF4117
Species: Rt
Applications: IHC, WB
NB110-58870
Species: Hu, Mu, Rt
Applications: ICC/IF, IHC, KD, Simple Western, WB
AF748
Species: Hu, Mu
Applications: CyTOF-ready, Dual ISH-IHC, Flow, ICC, IHC, Simple Western, WB
NBP1-84854
Species: Hu, Mu, Rt
Applications: ICC/IF, IHC,  IHC-P, KD, WB
NBP1-87102
Species: Hu, Mu, Rt
Applications: ICC/IF, IHC,  IHC-P, WB
NBP1-87103
Species: Hu, Mu
Applications: IHC,  IHC-P, WB
NBP1-91258
Species: Bv, Ca, Eq, Fe, Hu, Mu, Po, Rt
Applications: ICC/IF, IHC, IHC-Fr,  IHC-P, Simple Western, WB
NBP1-83976
Species: Hu
Applications: ICC/IF, IHC,  IHC-P
NB100-807
Species: Hu
Applications: ICC/IF, PEP-ELISA, WB
AF1356
Species: Hu, Mu
Applications: CyTOF-ready, Dual ISH-IHC, Flow, IHC, Simple Western, WB
NB300-653
Species: Ch, Fe, Hu, Pm, Mu, Rt
Applications: ELISA, ICC/IF, IHC, IHC-Fr,  IHC-P, IP, WB
NB200-103
Species: Hu, Mu, Rt, Xp(-), Ye
Applications: CyTOF-ready, ELISA, Flow-IC, Flow, ICC/IF, IHC, IHC-Fr,  IHC-P, IP, WB
NBP2-79843
Species: Hu
Applications: CyTOF-ready, ELISA, Flow, ICC/IF, IHC,  IHC-P, PA, WB
NB100-524
Species: Hu, Mu
Applications: Flow-IC, Flow, ICC/IF, IHC, IHC-Fr,  IHC-P, IP, WB
NBP3-43924
Species: Hu
Applications: WB, IHC

Publications for Vimentin Antibody (NBP3-43924) (0)

There are no publications for Vimentin Antibody (NBP3-43924).
By submitting your publication information earn gift cards and discounts for future purchases.

Reviews for Vimentin Antibody (NBP3-43924) (0)

There are no reviews for Vimentin Antibody (NBP3-43924). By submitting a review you will receive an Amazon e-Gift Card or Novus Product Discount.
  • Review with no image -- $10/€7/£6/$10 CAD/¥70 Yuan/¥1110 Yen
  • Review with an image -- $25/€18/£15/$25 CAD/¥150 Yuan/¥2500 Yen

Product General Protocols

Find general support by application which include: protocols, troubleshooting, illustrated assays, videos and webinars.

Video Protocols

WB Video Protocol

FAQs for Vimentin Antibody (NBP3-43924) (0)

There are no specific FAQs related to this product. Read our general customer & technical service FAQs.

Secondary Antibodies

 

Isotype Controls

Additional Vimentin Products

Research Areas for Vimentin Antibody (NBP3-43924)

Find related products by research area.

Blogs on Vimentin. Showing 1-10 of 14 blog posts - Show all blog posts.

Taking Biomarker Discovery From 2D to 3D: Increased Biological Activity of EVs Isolated From 3D Prostate Cancer Cultures
Jamshed Arslan, Pharm D, PhD Tissues within the human body are made of a three-dimensional (3D) arrangement of cells working together to perform vital functions. The commonly used 2D monolayer cultures have limited ...  Read full blog post.


  Read full blog post.

Antibody treatment can generate microglia-like cells from bone marrow
By Jennifer Sokolowski, MD, PhD.Microglia play important roles in the brain in both homeostatic and pathological conditions, acting to clear debris and dying cells. There is evidence to suggest that microglial dys...  Read full blog post.

Stemness is responsible for onset and metastasis of colorectal cancer
By Jamshed Arslan, Pharm. D., PhD. Colorectal cancer stem cells are a rare subpopulation of colorectal cancer cells that can self-renew and initiate and sustain tumor growth when transplanted into an animal host.1,2 C...  Read full blog post.

The use of Beta Actin (AC-15) as a loading control across multiple species
Actin is a fundamental component of the cytoskeleton, where it has the ability to create and break down actin filament formation in response to various cell needs.  Actin has six highly conserved isoforms, however beta and gamma actin are the two...  Read full blog post.

The use of actin as a loading control in research on fruiting-body development and vegetative growth in Sordaria macrospora research
Sordaria macrospora is a filamentous fungus that serves as very useful system for scientific research due to a short life cycle and easy manipulation.  Just like any other model organism, it is important to have an effective loading control to va...  Read full blog post.

Alpha-smooth muscle actin and the modulation of endothelial and epithelial cell biology
Actin is essential for a wide range of cell functions, ranging from cell division and chromatin remodeling to vesicle trafficking and maintenance of cellular structure. In fact, mislocalization of actin to cell junctions during development leads t...  Read full blog post.

Epithelial-Mesenchymal Transition (EMT) Markers
Epithelial-Mesenchymal Transition (EMT) is the trans-differentiation of stationary epithelial cells into motile mesenchymal cells. During EMT, epithelial cells lose their junctions and apical-basal polarity, reorganize their cytoskeleton, undergo a...  Read full blog post.

CD63: is it pro-metastatic or anti-metastatic?
CD63 is a type II membrane protein belonging to tetraspanin superfamily and it play key roles in the activation of several cellular signaling cascades along with acting as TIMP1 receptor. It is expressed by activated platelets, monocytes,...  Read full blog post.

Vimentin: Regulating EMT and Cancer
Vimentin, a member of the intermediate filament (IF) family, is a protein responsible for maintaining cellular integrity and reducing damage caused by stress. The vimentin protein is ubiquitously expressed in normal mesenchymal cells, and recent resea...  Read full blog post.

Showing 1-10 of 14 blog posts - Show all blog posts.

Customers Who Bought This Also Bought

Contact Information

Product PDFs

Calculators

Concentration Calculator

The concentration calculator allows you to quickly calculate the volume, mass or concentration of your vial. Simply enter your mass, volume, or concentration values for your reagent and the calculator will determine the rest.

=
÷

Review this Product

Be the first to review our Vimentin Antibody (CL0157) - Azide and BSA Free and receive a gift card or discount.

Bioinformatics

Gene Symbol VIM