TLR5 Antibody (JM10-88)

Images

 
Western Blot: TLR5 Antibody (JM10-88) [NBP2-67205] - Analysis of TLR5 on Hela cells lysates using anti-TLR5 antibody at 1/500 dilution.
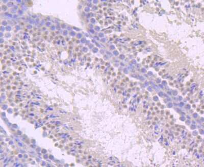
Immunohistochemistry-Paraffin: TLR5 Antibody (JM10-88) [NBP2-67205] - Analysis of paraffin-embedded mouse testis tissue using anti-TLR5 antibody. Counter stained with hematoxylin.
Immunohistochemistry-Paraffin: TLR5 Antibody (JM10-88) [NBP2-67205] - Analysis of paraffin-embedded human spleen tissue using anti-TLR5 antibody. Counter stained with hematoxylin.
Immunohistochemistry-Paraffin: TLR5 Antibody (JM10-88) [NBP2-67205] - Analysis of paraffin-embedded mouse prostate tissue using anti-TLR5 antibody. Counter stained with hematoxylin.
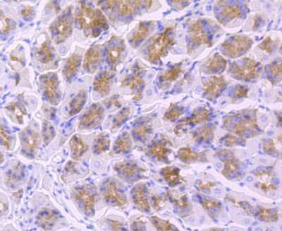
Immunohistochemistry-Paraffin: TLR5 Antibody (JM10-88) [NBP2-67205] - Analysis of paraffin-embedded mouse stomack tissue using anti-TLR5 antibody. Counter stained with hematoxylin.

Product Details

Summary
Product Discontinued
View other related TLR5 Primary Antibodies

Order Details


    • Catalog Number
      NBP2-67205
    • Availability
      Product Discontinued

    Can't find what you are looking for? Use our Antibody Concierge Service & we will help you locate your antibody!

    Or feel free to contact us for alternative products.

TLR5 Antibody (JM10-88) Summary

Additional Information
Recombinant Monoclonal Antibody.
Immunogen
Recombinant protein within Human TLR5 aa 238-424 / 858. (SwissProt: O60602 Human; SwissProt: Q9JLF7 Mouse; Unigene: 198962 Rat)
Localization
Membrane.
Isotype
IgG
Clonality
Monoclonal
Host
Rabbit
Gene
TLR5
Purity
Protein A purified
Innovator's Reward
Test in a species/application not listed above to receive a full credit towards a future purchase.

Applications/Dilutions

Dilutions
  • Immunohistochemistry
  • Immunohistochemistry-Paraffin 1:50-1:200
  • Western Blot 1:1000-1:2000

Packaging, Storage & Formulations

Storage
Store at 4C short term. Aliquot and store at -20C long term. Avoid freeze-thaw cycles.
Buffer
TBS (pH7.4), 0.05% BSA, 40% Glycerol
Preservative
0.05% Sodium Azide
Concentration
1 mg/ml
Purity
Protein A purified

Alternate Names for TLR5 Antibody (JM10-88)

  • MGC126430
  • MGC126431
  • SLEB1FLJ10052
  • TIL-3
  • TIL3Toll/interleukin-1 receptor-like protein 3
  • TLR5
  • toll-like receptor 5

Background

The Toll like receptor (TLR) family in mammal comprises a family of transmembrane proteins characterized by multiple copies of leucine rich repeats in the extracellular domain and IL1 receptor motif in the cytoplasmic domain. Like its counterparts in Drosophila, TLRs signal through adaptor molecules and could constitute an important and unrecognized component of innate immunity in humans. The TRL family is a phylogenetically conserved mediator of innate immunity that is essential for microbial recognition. TLRs characterized so far activate the MyD88/interleukin 1 receptor-associated kinase (IRAK) signaling pathway. Toll-like receptor 5 (TLR5) expression is upregulated following exposure to bacteria or to the TLR5 agonist, flagellin. Gram-negative bacteria, stimulate monocyte/macrophage cells in a TLR5-specific, CD14-independent manner. The TLR5 receptor thus appears to be the principal means by which the innate immune system recognizes flagellated bacterial pathogens.

Limitations

This product is for research use only and is not approved for use in humans or in clinical diagnosis. Primary Antibodies are guaranteed for 1 year from date of receipt.

Customers Who Viewed This Item Also Viewed...

NB100-56566
Species: Bv, Hu, Ma, Mu, Po, Rt
Applications: B/N, ChIP, CyTOF-ready, DB, Dual ISH-IHC, ELISA(Cap), ELISA, Flow-CS, Flow-IC, Flow, ICC/IF, IHC, IHC-Fr,  IHC-P, In vitro, KD, KO, PAGE, Simple Western, WB
NB100-56722
Species: Ca, Hu, Mu, Rb, Rt
Applications: B/N, DB, ELISA, Flow-CS, Flow, Func, ICC/IF, IP, In vitro, WB
NBP2-24875
Species: Ca, Hu, Mu
Applications: BA, B/N, Flow-IC, Flow, ICC/IF, IHC,  IHC-P, WB
NBP2-24729
Species: Ca, Eq, Hu, Pm, Mu, Pm, Rt
Applications: B/N, CyTOF-ready, DB, ELISA, Flow-IC, Flow, Func, ICC/IF, IHC,  IHC-P, IP, In vitro, KD, Simple Western, WB
M6000B
Species: Mu
Applications: ELISA
NBP2-24906
Species: Hu, Mu, Rt
Applications: BA, DB, Flow-IC, Flow, ICC/IF, IHC, IHC-Fr,  IHC-P, IP, PLA, Simple Western, WB
NB100-56563
Species: Hu, Mu, Rt
Applications: DB, Flow-CS, Flow-IC, Flow, IHC,  IHC-P, WB
MAB208
Species: Hu
Applications: CyTOF-ready, ELISA(Cap), ELISA(Det), ELISA(Sta), ICC, ICFlow, Neut, Simple Western, WB
NB100-56583
Species: Hu, Rb, Rt
Applications: Flow, IHC,  IHC-P, KO, Simple Western, WB
NBP2-29328
Species: Bv, Hu, Mu, Rt, Xp, Ye, Ze
Applications: BindInhib, B/N, ELISA, Flow, Func-Inh, IHC, In vitro, In vivo
NB100-56536
Species: Hu
Applications: Flow-CS, Flow-IC, Flow, IHC,  IHC-P, WB
NBP2-24917
Species: Hu, Mu, Rb
Applications: CyTOF-ready, DB, Flow-CS, Flow-IC, Flow, ICC/IF, IHC,  IHC-P, Simple Western, WB
DY417
Species: Mu
Applications: ELISA
AF1230
Species: Hu, Mu, Rt
Applications: IHC, KO, WB
DDX0490P-100
Species: Hu
Applications: Flow-IC, Flow, ICC/IF, IHC, IHC-Fr,  IHC-P
NBP2-93743
Species: Hu, Mu, Rt
Applications: ICC/IF, WB
DC140
Species: Hu
Applications: ELISA
DCP00
Species: Hu
Applications: ELISA
NBP2-22203
Species: Hu, Pm, Mu, Rt
Applications: ELISA, Flow, ICC/IF, IHC,  IHC-P, WB

Publications for TLR5 Antibody (NBP2-67205) (0)

There are no publications for TLR5 Antibody (NBP2-67205).
By submitting your publication information earn gift cards and discounts for future purchases.

Reviews for TLR5 Antibody (NBP2-67205) (0)

There are no reviews for TLR5 Antibody (NBP2-67205). By submitting a review you will receive an Amazon e-Gift Card or Novus Product Discount.
  • Review with no image -- $10/€7/£6/$10 CAD/¥70 Yuan/¥1110 Yen
  • Review with an image -- $25/€18/£15/$25 CAD/¥150 Yuan/¥2500 Yen

Product General Protocols

Find general support by application which include: protocols, troubleshooting, illustrated assays, videos and webinars.

Video Protocols

WB Video Protocol

FAQs for TLR5 Antibody (NBP2-67205) (0)

There are no specific FAQs related to this product. Read our general customer & technical service FAQs.

Secondary Antibodies

 

Isotype Controls

Additional TLR5 Products

Research Areas for TLR5 Antibody (NBP2-67205)

Find related products by research area.

Blogs on TLR5.

Toll-like receptors in the intestinal epithelial cells
By Jamshed Arslan, Pharm. D., PhD. Toll-like receptors (TLRs) are microbe-sensing proteins that act as first responders to danger signals. TLRs help the intestinal epithelial cells (IECs) recognize commensal bacteria ...  Read full blog post.

The role of TLR4 in breast cancer
Toll like receptors (TLRs) are highly conserved proteins that are first known for their role in pathogen recognition and immune response activation.  In order to elicit the necessary immune response in reaction to a foreign pathogen, TLRs trigger cy...  Read full blog post.

Contact Information

Product PDFs

Calculators

Concentration Calculator

The concentration calculator allows you to quickly calculate the volume, mass or concentration of your vial. Simply enter your mass, volume, or concentration values for your reagent and the calculator will determine the rest.

=
÷

Review this Product

Be the first to review our TLR5 Antibody (JM10-88) and receive a gift card or discount.

Bioinformatics

Gene Symbol TLR5