Sortilin Antibody - BSA Free

Images

 
Orthogonal Strategies: Analysis in human cerebral cortex and lymph node tissues using NBP1-89745 antibody. Corresponding SORT1 RNA-seq data are presented for the same tissues.
Immunohistochemistry-Paraffin: Sortilin Antibody [NBP1-89745] - Staining of human cerebral cortex shows moderate to strong cytoplasmic positivity in neurons.
Immunohistochemistry-Paraffin: Sortilin Antibody [NBP1-89745] - Staining of human hippocampus shows strong cytoplasmic positivity in neurons.
Immunohistochemistry-Paraffin: Sortilin Antibody [NBP1-89745] - Staining of human lymph node shows no positivity in non-germinal center cells as expected.
Immunohistochemistry-Paraffin: Sortilin Antibody [NBP1-89745] - Staining of human skin shows no positivity in squamous epithelial cells as expected.
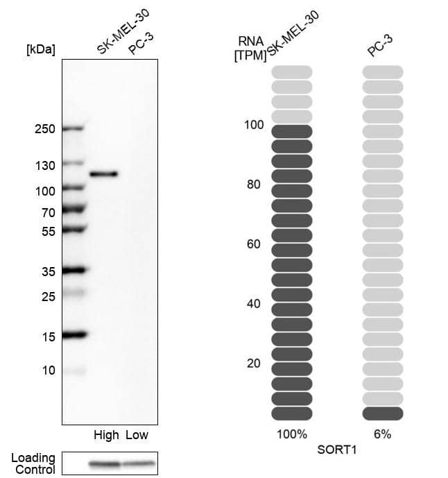
Orthogonal Strategies: Analysis in human cell lines SK-MEL-30 and PC-3 using Anti-SORT1 antibody. Corresponding SORT1 RNA-seq data are presented for the same cell lines. Loading control: Anti-GAPDH.

Product Details

Summary
Reactivity HuSpecies Glossary
Applications WB, IHC
Clonality
Polyclonal
Host
Rabbit
Conjugate
Unconjugated
Format
BSA Free
Validated by:
       

Orthogonal Strategies

 

Order Details

View Available Formulations
Catalog# & Formulation Size Price

Sortilin Antibody - BSA Free Summary

Description
Novus Biologicals Rabbit Sortilin Antibody - BSA Free (NBP1-89745) is a polyclonal antibody validated for use in IHC and WB. Anti-Sortilin Antibody: Cited in 1 publication. All Novus Biologicals antibodies are covered by our 100% guarantee.
Immunogen
This antibody was developed against Recombinant Protein corresponding to amino acids: LERNCEEKDYTIWLAHSTDPEDYEDGCILGYKEQFLRLRKSSVCQNGRDYVVTKQPSICLCSLEDFLCDFGYYRPENDSKCVEQPELKGHDLEFCLYGREEHLTTNGYRKIPGDKCQGGVNPVREVKD
Isotype
IgG
Clonality
Polyclonal
Host
Rabbit
Gene
SORT1
Purity
Immunogen affinity purified
Innovator's Reward
Test in a species/application not listed above to receive a full credit towards a future purchase.

Applications/Dilutions

Dilutions
  • Immunohistochemistry 1:20 - 1:50
  • Immunohistochemistry-Paraffin 1:20-1:50
  • Western Blot 0.04 - 0.4 ug/ml
Application Notes
For IHC-Paraffin, HIER pH 6 retrieval is recommended.
Control Peptide
Sortilin Protein (NBP1-89745PEP)
Publications
Read Publication using
NBP1-89745 in the following applications:

Reactivity Notes

Immunogen displays the following percentage of sequence identity for non-tested species: Mouse (89%), Rat (89%)

Packaging, Storage & Formulations

Storage
Store at 4C short term. Aliquot and store at -20C long term. Avoid freeze-thaw cycles.
Buffer
PBS (pH 7.2) and 40% Glycerol
Preservative
0.02% Sodium Azide
Purity
Immunogen affinity purified

Alternate Names for Sortilin Antibody - BSA Free

  • 100 kDa NT receptor
  • Glycoprotein 95
  • Gp95
  • Gp95LDLCQ6
  • Neurotensin receptor 3
  • NT3NTR3
  • Ntr3
  • SORT1
  • sortilin 1
  • Sortilin

Background

Functions as a sorting receptor in the Golgi compartment and as a clearance receptor on the cell surface. Required for protein transport from the Golgi apparatus to the lysosomes by a pathway that is independent of the mannose-6-phosphate receptor (M6PR). Also required for protein transport from the Golgi apparatus to the endosomes. Promotes neuronal apoptosis by mediating endocytosis of the proapoptotic precursor forms of BDNF (proBDNF) and NGFB (proNGFB). Also acts as a receptor for neurotensin. May promote mineralization of the extracellular matrix during osteogenic differentiation by scavenging extracellular LPL. Probably required in adipocytes for the formation of specialized storage vesicles containing the glucose transporter SLC2A4/GLUT4 (GLUT4 storage vesicles, or GSVs). These vesicles provide a stable pool of SLC2A4 and confer increased responsiveness to insulin. May also mediate transport from the endoplasmic reticulum to the Golgi.

Limitations

This product is for research use only and is not approved for use in humans or in clinical diagnosis. Primary Antibodies are guaranteed for 1 year from date of receipt.

Customers Who Viewed This Item Also Viewed...

DBD00
Species: Hu
Applications: ELISA
267-N3
Species: Hu
Applications: BA
AF1157
Species: Mu
Applications: IHC, WB
256-GF
Species: Hu
Applications: BA
AF1056
Species: Rt
Applications: IHC, WB
NBP2-33903
Species: Hu
Applications: IHC,  IHC-P
268-N4
Species: Hu
Applications: BA
AF1404
Species: Mu, Rt
Applications: Block, IHC, Simple Western, WB
AF1494
Species: Hu, Mu, Rt
Applications: Block, IHC, Simple Western, WB
NLS938
Species: Hu
Applications: IHC,  IHC-P
MAB3468
Species: Hu
Applications: ICC, WB
DRT200
Species: Hu
Applications: ELISA
NBP1-18910
Species: Hu, Mu, Rt
Applications: ICC/IF, IHC, IHC-Fr,  IHC-P, IP, Simple Western, WB
H00003059-M02
Species: Hu
Applications: ELISA, IHC,  IHC-P, KD, PLA, S-ELISA, WB
MAB224
Species: Hu
Applications: CyTOF-ready, Flow, IHC, Neut
H00001523-M01
Species: Hu, Mu, Rt
Applications: ELISA, ICC/IF, IHC,  IHC-P, IP, WB
H00007170-M02
Species: Hu
Applications: ELISA, IHC,  IHC-P, S-ELISA, WB
AF1138
Species: Hu
Applications: CyTOF-ready, Flow, IHC, Neut, WB
NBP2-48480
Species: Hu
Applications: Flow-CS, Flow, IHC, IHC-Fr,  IHC-P
NBP1-89745
Species: Hu
Applications: WB, IHC

Publications for Sortilin Antibody (NBP1-89745)(1)

We have publications tested in 1 confirmed species: Human.

We have publications tested in 1 application: IHC-P.


Filter By Application
IHC-P
(1)
All Applications
Filter By Species
Human
(1)
All Species

Reviews for Sortilin Antibody (NBP1-89745) (0)

There are no reviews for Sortilin Antibody (NBP1-89745). By submitting a review you will receive an Amazon e-Gift Card or Novus Product Discount.
  • Review with no image -- $10/€7/£6/$10 CAD/¥70 Yuan/¥1110 Yen
  • Review with an image -- $25/€18/£15/$25 CAD/¥150 Yuan/¥2500 Yen

Product General Protocols

Find general support by application which include: protocols, troubleshooting, illustrated assays, videos and webinars.

Video Protocols

WB Video Protocol

FAQs for Sortilin Antibody (NBP1-89745). (Showing 1 - 2 of 2 FAQ).

  1. NBP1-89745 - what does "HIER" for the retrieval method of IHC-paraffin mean?
    • HIER= heat induced epitope retrieval. Concept: Antigen Retrieval Protocol (HIER). Fixing proteins with formalin creates crosslinks. In the process of crosslinking, antigen in the tissue can be masked, restricting antibody-target binding. The impaired ability of the antibody to access its epitope can result in weak signal or false negative staining. To promote epitope availability and enhance immunogenicity, one of several antigen retrieval methods is used. Proteolytic-Induced Epitope Retrieval (PIER) is an enzymatic method of antigen retrieval which relies on enzymes such as proteinase K, trypsin, or pepsin to unmask antigen. Heat-Induced Epitope Retrieval (HIER) utilizes heat to promote epitope availability. Optimal retrieval conditions depend on the type of tissue, fixation, and antibody, necessitating optimization for each antigen.
  2. NBP1-89745 - what does "HIER" for the retrieval method of IHC-paraffin mean?
    • hier= heat induced epitope retrieval. Concept: Antigen Retrieval Protocol (HIER). Fixing proteins with formalin creates crosslinks. In the process of crosslinking, antigen in the tissue can be masked, restricting antibody-target binding. The impaired ability of the antibody to access its epitope can result in weak signal or false negative staining. To promote epitope availability and enhance immunogenicity, one of several antigen retrieval methods is used. Proteolytic-Induced Epitope Retrieval (PIER) is an enzymatic method of antigen retrieval which relies on enzymes such as proteinase K, trypsin, or pepsin to unmask antigen. Heat-Induced Epitope Retrieval (HIER) utilizes heat to promote epitope availability. Optimal retrieval conditions depend on the type of tissue, fixation, and antibody, necessitating optimization for each antigen.

Secondary Antibodies

 

Isotype Controls

Additional Sortilin Products

Research Areas for Sortilin Antibody (NBP1-89745)

Find related products by research area.

Blogs on Sortilin

There are no specific blogs for Sortilin, but you can read our latest blog posts.

Customers Who Bought This Also Bought

Contact Information

Product PDFs

Calculators

Concentration Calculator

The concentration calculator allows you to quickly calculate the volume, mass or concentration of your vial. Simply enter your mass, volume, or concentration values for your reagent and the calculator will determine the rest.

=
÷

Review this Product

Be the first to review our Sortilin Antibody - BSA Free and receive a gift card or discount.

Bioinformatics

Gene Symbol SORT1