SETDB1 Antibody - BSA Free

Images

 
SETDB1 antibody [N2C1], Internal detects SETDB1 protein at nucleus by immunohistochemical analysis.Sample: Paraffin-embedded mouse testis.SETDB1 stained by SETDB1 antibody [N2C1], Internal (NBP2-20322) diluted at ...read more
Immunocytochemistry: SETDB1 Antibody [NBP2-20322] - Paraformaldehyde Fixed Human Dermal Microvascular Endothelial Cells were immunostained with 1:100 dilution of pAb. Image submitted by a verified customer review.
HeLa whole cell and nuclear extracts (30 ug) were separated by 5% SDS-PAGE, and the membrane was blotted with SETDB1 antibody [N2C1], Internal (NBP2-20322) diluted at 1:1000. The HRP-conjugated anti-rabbit IgG antibody ...read more
SETDB1 antibody [N2C1], Internal detects SETDB1 protein at nucleus by immunofluorescent analysis.Sample: HeLa cells were fixed in 4% paraformaldehyde at RT for 15 min.Green: SETDB1 stained by SETDB1 antibody [N2C1], ...read more
SETDB1 antibody [N2C1], Internal immunoprecipitates SETDB1 protein in IP experiments.IP samples: HeLa nuclear extractA. Control with 4 ug of preimmune Rabbit IgGB. Immunoprecipitation of SETDB1 protein by 4 ug SETDB1 ...read more
Cross-linked ChIP was performed with HeLa chromatin extract and 5 ug of either control rabbit IgG or anti-SETDB1 antibody. The precipitated DNA was detected by PCR with primer set targeting to p53P2.
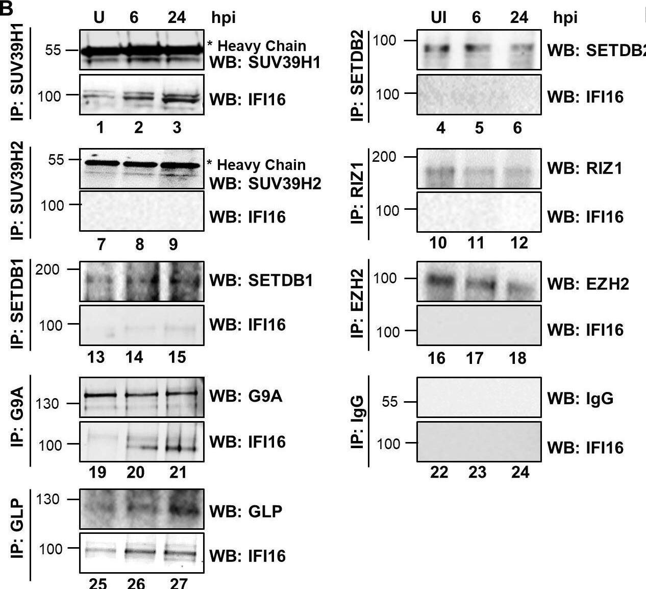
Demonstration of IFI16’s interaction and recruitment of specific H3K9 MTases during de novo KSHV infection.(A) TIME cells either left uninfected or infected with KSHV for 6 or 24 hr were IPed with anti-IFI16 ...read more
Demonstration of IFI16’s interaction with specific H3K9 MTases in KSHV latently infected PEL (BCBL-1 and BC-3) cells and in uninfected control BJAB cells.(A) Nuclear fractions were isolated from latently infected ...read more
Demonstration of IFI16’s interaction and recruitment of specific H3K9 MTases during de novo KSHV infection.(A) TIME cells either left uninfected or infected with KSHV for 6 or 24 hr were IPed with anti-IFI16 ...read more
Effect of A366 on KSHV life cycle and the demonstration of IFI16’s association with cellular H3K9 methyltransferase(s) (H3K9 MTase) and recruitment of various H3K9 MTases to the KSHV genome during de novo ...read more
Demonstration of IFI16’s interaction with specific H3K9 MTases in KSHV latently infected PEL (BCBL-1 and BC-3) cells and in uninfected control BJAB cells.(A) Nuclear fractions were isolated from latently infected ...read more
Demonstration of IFI16’s interaction and recruitment of specific H3K9 MTases during de novo KSHV infection.(A) TIME cells either left uninfected or infected with KSHV for 6 or 24 hr were IPed with anti-IFI16 ...read more

Product Details

Summary
Reactivity Hu, Mu, Rt, BvSpecies Glossary
Applications WB, Func, ICC/IF, IHC, IP, ChIP
Clonality
Polyclonal
Host
Rabbit
Conjugate
Unconjugated
Format
BSA Free

Order Details

SETDB1 Antibody - BSA Free Summary

Description
Novus Biologicals Rabbit SETDB1 Antibody - BSA Free (NBP2-20322) is a polyclonal antibody validated for use in IHC, WB, ICC/IF, IP and ChIP. Anti-SETDB1 Antibody: Cited in 2 publications. All Novus Biologicals antibodies are covered by our 100% guarantee.
Immunogen
Recombinant protein encompassing a sequence within the center region of human SETDB1. The exact sequence is proprietary.
Localization
Nucleus
Predicted Species
Rat (90%), Bovine (94%). Backed by our 100% Guarantee.
Isotype
IgG
Clonality
Polyclonal
Host
Rabbit
Gene
SETDB1
Purity
Antigen Affinity-purified
Innovator's Reward
Test in a species/application not listed above to receive a full credit towards a future purchase.

Applications/Dilutions

Dilutions
  • Chromatin Immunoprecipitation (ChIP) Assay dependent
  • Immunocytochemistry/ Immunofluorescence Assay dependent
  • Immunohistochemistry Assay dependent
  • Immunohistochemistry-Paraffin Assay dependent
  • Immunoprecipitation 1:100-1:500
  • Proximity Ligation Assay Reported in scientific literature (PMID:31682228)
  • Western Blot 1:500-1:3000
Theoretical MW
143 kDa.
Disclaimer note: The observed molecular weight of the protein may vary from the listed predicted molecular weight due to post translational modifications, post translation cleavages, relative charges, and other experimental factors.
Reviewed Applications
Read 4 Reviews rated 3.8
using
NBP2-20322 in the following applications:

Publications
Read Publications using
NBP2-20322 in the following applications:

Packaging, Storage & Formulations

Storage
Aliquot and store at -20C or -80C. Avoid freeze-thaw cycles.
Buffer
PBS, 20% Glycerol
Preservative
0.025% Proclin 300
Purity
Antigen Affinity-purified

Alternate Names for SETDB1 Antibody - BSA Free

  • ERG-associated protein with SET domain
  • ESETEC 2.1.1.43
  • H3-K9-HMTase 4
  • Histone H3-K9 methyltransferase 4
  • histone-lysine N-methyltransferase SETDB1
  • histone-lysine N-methyltransferase, H3lysine-9 specific 4
  • KG1T
  • KIAA0067H3-K9-HMTase4
  • KMT1EERG-associated protein with a SET domain, ESET
  • Lysine N-methyltransferase 1E
  • SET domain bifurcated 1
  • SET domain, bifurcated 1

Background

This gene encodes a histone methyltransferase. The encoded enzyme catalyzes the reaction of S-adenosyl-L-methionine and histone L-lysine to produce S-adenosyl-L-homocysteine and histone N(6)-methyl-L-lysine. The encoded protein likely functions in transcriptional repression. Alternatively spliced transcript variants have been described.

Limitations

This product is for research use only and is not approved for use in humans or in clinical diagnosis. Primary Antibodies are guaranteed for 1 year from date of receipt.

Customers Who Viewed This Item Also Viewed...

NB500-171
Species: Hu, I, Mu, Rt, Xp, Ye
Applications: ChIP, IB, ICC/IF, IHC,  IHC-P, Single-Cell Western, WB
NB100-2350
Species: Hu, Mu, Rt
Applications: ChIP, ICC/IF, IHC,  IHC-P, IP, WB
PP-A8620A-00
Species: Hu, Mu
Applications: DirELISA, IHC, IP, WB
NBP2-52420
Species: Hu, Mu
Applications: CyTOF-ready, ELISA, ICC/IF, IHC,  IHC-P, WB
DY8198-05
Species: Hu
Applications: ELISA
NBP1-21367
Species: Hu, Mu
Applications: ICC/IF, IHC,  IHC-P, IP, WB
NBP2-01245
Species: Hu, Mu
Applications: Flow, ICC/IF, IHC,  IHC-P, WB
NBP2-22106
Species: Hu, Mu, Rt
Applications: IHC,  IHC-P, IP, WB
NB100-56326
Species: Hu, Mu
Applications: ICC/IF, IHC,  IHC-P, WB
NBP1-84610
Species: Hu
Applications: ICC/IF, IHC,  IHC-P, KD
NB100-56519
Species: Bv, Hu, Mu, Po, Rt, Sh
Applications: ChIP, CyTOF-ready, Flow-IC, Flow, ICC/IF, IHC-FrFl, IHC, IHC-Fr,  IHC-P, IP, KD, Simple Western, WB
NBP1-32264
Species: Hu, Mu
Applications: ICC/IF, IHC,  IHC-P, WB
NBP2-67375
Species: Hu, Mu, Rt
Applications: ChIP, ICC/IF, IHC,  IHC-P, WB
PP-B0422-00
Species: Hu, Mu
Applications: DirELISA, IHC, IP, WB
AF1759
Species: Hu, Mu
Applications: ChIP, ICC, IP, Simple Western, WB
NB100-381
Species: Hu
Applications: ChIP, IP, WB
NB100-2136
Species: Hu, Mu
Applications: IHC,  IHC-P, IP, WB (-)
NB120-13888
Species: Hu, Mu, Rt
Applications: ChIP, ChIP, CyTOF-ready, Flow, ICC/IF, IHC-WhMt, IHC, IHC-Fr,  IHC-P, KD, KO, WB
⚠ WARNING: This product can expose you to chemicals including mercury, which is known to the State of California to cause reproductive toxicity with developmental effects.  For more information go to www.P65Warnings.ca.gov.

Publications for SETDB1 Antibody (NBP2-20322)(2)

We have publications tested in 1 confirmed species: Human.

We have publications tested in 9 applications: Chemotaxis, ICC/IF, IP, Immunocytochemistry/ Immunofluorescence, Immunoprecipitation, PLA, Proximity Ligation Assay, WB, Western Blot.


Filter By Application
Chemotaxis
(2)
ICC/IF
(1)
IP
(1)
Immunocytochemistry/ Immunofluorescence
(1)
Immunoprecipitation
(1)
PLA
(1)
Proximity Ligation Assay
(1)
WB
(1)
Western Blot
(1)
All Applications
Filter By Species
Human
(2)
All Species

Reviews for SETDB1 Antibody (NBP2-20322) (4) 3.84

Average Rating: 3.8
(Based on 4 reviews)
We have 4 reviews tested in 1 species: Human.

Reviews using NBP2-20322:
Filter by Applications
WB
(2)
ICC
(1)
IP
(1)
All Applications
Filter by Species
Human
(4)
All Species
Images Ratings Applications Species Date Details
Western Blot SETDB1 NBP2-20322
Enlarge
4
reviewed by:
Verified Customer
WB Human 06/18/2018
View

Summary

ApplicationWestern Blot
Sample Tested293T
SpeciesHuman
Lot40471
Immunocytochemistry SETDB1 NBP2-20322
Enlarge
3
reviewed by:
Verified Customer
ICC Human 07/12/2017
View

Summary

ApplicationImmunocytochemistry
Sample TestedHuman Dermal Microvascular Endothelial Cells - Paraformaldehyde Fixed
SpeciesHuman
Lot40471
  4
reviewed by:
Verified Customer
IP Human 04/20/2017
View

Summary

ApplicationImmunoprecipitation
Sample TestedHuman Dermal Microvascular Endothelial whole cell lysate
SpeciesHuman
Lot40471
Western Blot SETDB1 NBP2-20322
Enlarge
4
reviewed by:
Verified Customer
WB Human 04/19/2017
View

Summary

ApplicationWestern Blot
Sample TestedHuman Dermal Microvascular Endothelial whole cell lysate
SpeciesHuman
Lot40471

Product General Protocols

Find general support by application which include: protocols, troubleshooting, illustrated assays, videos and webinars.

Video Protocols

WB Video Protocol
ICC/IF Video Protocol

FAQs for SETDB1 Antibody (NBP2-20322) (0)

There are no specific FAQs related to this product. Read our general customer & technical service FAQs.

Secondary Antibodies

 

Isotype Controls

Additional SETDB1 Products

Research Areas for SETDB1 Antibody (NBP2-20322)

Find related products by research area.

Blogs on SETDB1

There are no specific blogs for SETDB1, but you can read our latest blog posts.

Customers Who Bought This Also Bought

Contact Information

Product PDFs

Calculators

Concentration Calculator

The concentration calculator allows you to quickly calculate the volume, mass or concentration of your vial. Simply enter your mass, volume, or concentration values for your reagent and the calculator will determine the rest.

=
÷

Recent Reviews

3.8
5
0
4
3
3
1
2
0
1
0

Verified Customer
06/18/2018
Application: WB
Species: Human

Verified Customer
07/12/2017
Application: ICC
Species: Human

 
Verified Customer
04/20/2017
Application: IP
Species: Human

Bioinformatics

Gene Symbol SETDB1
Uniprot