SALL4 Antibody (CL12180) - Azide and BSA Free

Images

 
Orthogonal Strategies: Analysis in human testis and endometrium tissues using NBP3-44347 antibody. Corresponding SALL4 RNA-seq data are presented for the same tissues.
Staining of human cerebellum shows no positivity in Purkinje cells as expected.
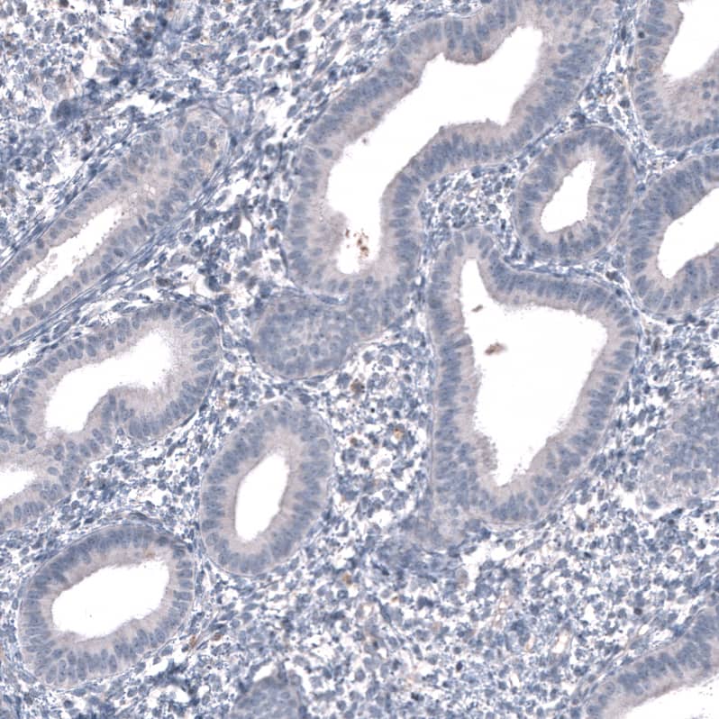
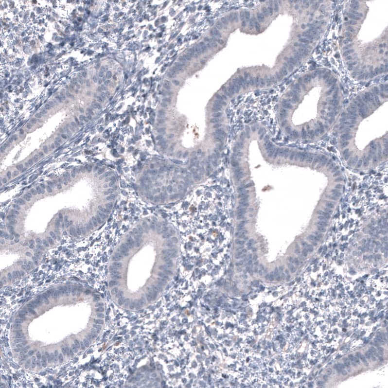
Staining of human endometrium shows no positivity in glandular cells as expected.
Staining of human ovary shows strong nuclear positivity in oocyte.
Staining of mouse embryo E11 shows moderate to strong nuclear positivity in cells in developing hindbrain.
Staining of NTERA-2 cells using the Anti-SALL4 monoclonal antibody) .
Staining of human testis cancer (embryonal carcinoma) shows strong nuclear positivity in tumor cells.
Analysis in human cell line NTERA-2.
Staining of mouse embryo E11 shows strong nuclear positivity in cells in developing testis.
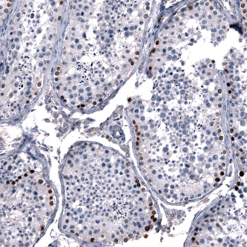
Staining of human testis shows strong nuclear positivity in a subset of cells in seminiferous ducts.

Product Details

Summary
Reactivity Hu, MuSpecies Glossary
Applications WB, ICC/IF, IHC
Clone
CL12180
Clonality
Monoclonal
Host
Mouse
Conjugate
Unconjugated
Format
Azide and BSA Free
Concentration
LYOPH
Validated by:
       

Orthogonal Strategies

 

Order Details

SALL4 Antibody (CL12180) - Azide and BSA Free Summary

Description
Novus Biologicals Mouse SALL4 Antibody (CL12180) - Azide and BSA Free (NBP3-21208) is a monoclonal antibody validated for use in IHC, WB and ICC/IF. All Novus Biologicals antibodies are covered by our 100% guarantee.
Immunogen
This antibody was generated using a synthetic peptide of Q9UJQ4, with the exact immunogen sequence remaining proprietary.
Isotype
IgG1
Clonality
Monoclonal
Host
Mouse
Gene
SALL4
Purity
Protein A purified
Innovator's Reward
Test in a species/application not listed above to receive a full credit towards a future purchase.

Applications/Dilutions

Dilutions
  • Immunocytochemistry/ Immunofluorescence 2-10 ug/ml
  • Immunohistochemistry-Paraffin 1:2500 - 1:5000
  • Western Blot 1 ug/ml
Application Notes
Immunocytochemistry/ Immunofluorescence/IF Fixation Permeabilization: Use PFA/Triton X-100. For IHC-Paraffin, HIER pH 6 retrieval is recommended.

Packaging, Storage & Formulations

Storage
Store at 4C short term. Aliquot and store at -20C long term. Avoid freeze-thaw cycles.
Buffer
Lyophilized from a 0.2 um filtered solution in PBS with Trehalose
Preservative
No Preservative
Concentration
LYOPH
Purity
Protein A purified
Reconstitution Instructions
Centrifuge the vial of lyophilized antibody at 12,000 x g for 20 seconds. Reconstitute by adding sterile, distilled water to achieve a final antibody concentration of 1mg/ml.

Alternate Names for SALL4 Antibody (CL12180) - Azide and BSA Free

  • dJ1112F19.1
  • DRRS
  • HSAL4
  • MGC133050
  • SALL4
  • sal-like 4 (Drosophila)
  • sal-like protein 4
  • Zinc finger protein 797
  • Zinc finger protein SALL4
  • ZNF797
  • ZNF797sal (Drosophila)-like 4

Background

Sall4 is encoded by this gene may be a zinc finger transcription factor. Defects in this gene are a cause of Duane-radial ray syndrome (DRRS).

Limitations

This product is for research use only and is not approved for use in humans or in clinical diagnosis. Primary Antibodies are guaranteed for 1 year from date of receipt.

Customers Who Viewed This Item Also Viewed...

AF1759
Species: Hu, Mu
Applications: ChIP, ICC, IP, Simple Western, WB
H00388112-B01P
Species: Hu
Applications: WB
AF1997
Species: Hu
Applications: ChIP, ICC, IHC, Simple Western, WB
AF2018
Species: Hu, Mu, Rt
Applications: ChIP, ICC, IHC, Simple Western, WB
NBP2-13275
Species: Hu
Applications: ChIP-EXO-SEQ, ICC/IF, IHC,  IHC-P
AF2119
Species: Hu
Applications: CyTOF-ready, ELISA, Flow, ICC, IHC, WB
NBP1-83237
Species: Hu, Mu
Applications: ICC/IF, IHC,  IHC-P, WB
AF3158
Species: Mu
Applications: ChIP, ICC, IHC, WB
MAB1368
Species: Hu, Mu
Applications: CyTOF-ready, ICC, ICFlow, KO, Simple Western, WB
AF3757
Species: Hu
Applications: ICC, Simple Western, WB
NB600-302
Species: Bv, Dr, Hu, Mu
Applications: ChIP, ELISA, Flow-IC, Flow, IB, ICC/IF, IHC, IHC-Fr,  IHC-P, IP, PLA, S-ELISA, Simple Western, WB
NBP1-83910
Species: Hu
Applications: IHC,  IHC-P, KD, WB
NBP2-24583
Species: Bv, Eq, Hu, Mu, Ma-Op, Pm, Rt
Applications: IHC,  IHC-P, WB
AF1356
Species: Hu, Mu
Applications: CyTOF-ready, Dual ISH-IHC, Flow, IHC, Simple Western, WB
NBP1-90095
Species: Hu
Applications: IHC,  IHC-P
NBP1-86958
Species: Hu
Applications: IHC,  IHC-P, WB
NBP3-44347
Species: Hu, Mu
Applications: WB, ICC/IF, IHC

Publications for SALL4 Antibody (NBP3-44347) (0)

There are no publications for SALL4 Antibody (NBP3-44347).
By submitting your publication information earn gift cards and discounts for future purchases.

Reviews for SALL4 Antibody (NBP3-44347) (0)

There are no reviews for SALL4 Antibody (NBP3-44347). By submitting a review you will receive an Amazon e-Gift Card or Novus Product Discount.
  • Review with no image -- $10/€7/£6/$10 CAD/¥70 Yuan/¥1110 Yen
  • Review with an image -- $25/€18/£15/$25 CAD/¥150 Yuan/¥2500 Yen

Product General Protocols

Find general support by application which include: protocols, troubleshooting, illustrated assays, videos and webinars.

Video Protocols

WB Video Protocol
ICC/IF Video Protocol

FAQs for SALL4 Antibody (NBP3-44347) (0)

There are no specific FAQs related to this product. Read our general customer & technical service FAQs.

Customers Who Bought This Also Bought

Contact Information

Product PDFs

Calculators

Concentration Calculator

The concentration calculator allows you to quickly calculate the volume, mass or concentration of your vial. Simply enter your mass, volume, or concentration values for your reagent and the calculator will determine the rest.

=
÷

Review this Product

Be the first to review our SALL4 Antibody (CL12180) - Azide and BSA Free and receive a gift card or discount.

Bioinformatics

Gene Symbol SALL4