TRIM26 Antibody

Images

 
Analysis in control (vector only transfected HEK293T lysate) and AFP over-expression lysate (Co-expressed with a C-terminal myc-DDK tag (~3.1 kDa) in mammalian HEK293T cells).
Analysis in Hep-G2 cells transfected with control siRNA, target specific siRNA probe #1 and #2, using Anti-AFP antibody. Remaining relative intensity is presented. Loading control: Anti-GAPDH.
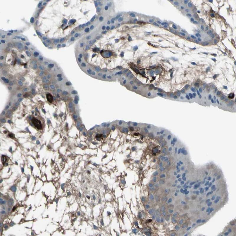
Staining of human placenta shows extra cellular positivity.

Product Details

Summary
Reactivity HuSpecies Glossary
Applications WB, IHC, Mycoplasma
Clonality
Polyclonal
Host
Rabbit
Conjugate
Unconjugated

Order Details

TRIM26 Antibody Summary

Immunogen
This antibody was developed against Recombinant Protein corresponding to amino acids: FAQFVQEATYKEVSKMVKDALTAIEKPTGDEQSSGCLENQLPAFLEELCHEKEILEKYGHSDCCSQSEEGRHNCFLAHKKPTPASIPLFQVPEPVTSCEAYEEDRETFMNKFIYEIARRHPFLYAPTILLWAAR
Isotype
IgG
Clonality
Polyclonal
Host
Rabbit
Gene
TRIM26
Purity
Affinity purified
Innovator's Reward
Test in a species/application not listed above to receive a full credit towards a future purchase.

Applications/Dilutions

Dilutions
  • Immunohistochemistry 1:200 - 1:500
  • Immunohistochemistry-Paraffin 1:200 - 1:500
  • Knockdown Validated
  • Western Blot 0.04-0.4 ug/ml
Application Notes
For IHC-Paraffin, HIER pH 6 retrieval is recommended.
Publications
Read Publications using
NBP1-83910 in the following applications:

Reactivity Notes

Mouse reactivity reported in scientific literature (PMID: 25390333).

Packaging, Storage & Formulations

Storage
Store at 4C short term. Aliquot and store at -20C long term. Avoid freeze-thaw cycles.
Buffer
PBS (pH 7.2) and 40% Glycerol
Preservative
0.02% Sodium Azide
Purity
Affinity purified

Alternate Names for TRIM26 Antibody

  • Acid finger protein
  • AFP
  • RNF95RING finger protein 95
  • tripartite motif containing 26
  • tripartite motif-containing protein 26
  • widely expressed acid zinc finger protein
  • Zinc finger protein 173
  • ZNF173tripartite motif-containing 26

Background

TRIM26 is encoded by this gene is a member of the tripartite motif (TRIM) family. The TRIM motif includes three zinc-binding domains, a RING, a B-box type 1 and a B-box type 2, and a coiled-coil region. The protein localizes to cytoplasmic bodies. Although the function of the protein is unknown, the RING domain suggests that the protein may have DNA-binding activity. The gene localizes to the major histocompatibility complex (MHC) class I region on chromosome 6. [provided by RefSeq]

Limitations

This product is for research use only and is not approved for use in humans or in clinical diagnosis. Primary Antibodies are guaranteed for 1 year from date of receipt.

Customers Who Viewed This Item Also Viewed...

MAB1455
Species: Hu
Applications: CyTOF-ready, Dual ISH-IHC, ICC, IHC, ICFlow, Simple Western, WB
NBP2-34594
Species: Hu, Pm
Applications: CyTOF-ready, Flow, ICC/IF, IHC,  IHC-P
AF4478
Species: Hu
Applications: IHC, WB
NBP3-41306
Species: Hu, Mu, Rt
Applications: WB
NBP2-13980
Species: Hu
Applications: ICC/IF, IHC,  IHC-P, WB
NBP1-58268
Species: Hu, Mu
Applications: IHC,  IHC-P, WB
MAB4169
Species: Hu
Applications: IHC, WB
H00093659-P01
Species: Hu
Applications: ELISA, AP, PA, WB
NB100-687
Species: Hu, Mu, Rt
Applications: Flow, ICC/IF, IHC,  IHC-P, Simple Western, WB
DKK300
Species: Hu
Applications: ELISA
294-HG
Species: Hu
Applications: BA
M6000B
Species: Mu
Applications: ELISA
NB100-1519
Species: Hu, Mu, Rt
Applications: Flow, ICC/IF, IHC-FrFl, PEP-ELISA, WB
5609-MU
Species: Hu
Applications: Bind
930-ADB
Species: Hu
Applications: EnzAct
MAB1268
Species: Hu
Applications: ICC, IHC, IP, Simple Western, WB
2914-HT
Species: Hu
Applications: BA
NB200-103
Species: Hu, Mu, Rt, Xp(-), Ye
Applications: CyTOF-ready, ELISA, Flow-IC, Flow, ICC/IF, IHC, IHC-Fr,  IHC-P, IP, WB

Publications for TRIM26 Antibody (NBP1-83910)(2)

We have publications tested in 2 confirmed species: Human, Mouse.

We have publications tested in 2 applications: ICC/IF, IF/IHC.


Filter By Application
ICC/IF
(1)
IF/IHC
(1)
All Applications
Filter By Species
Human
(1)
Mouse
(1)
All Species

Reviews for TRIM26 Antibody (NBP1-83910) (0)

There are no reviews for TRIM26 Antibody (NBP1-83910). By submitting a review you will receive an Amazon e-Gift Card or Novus Product Discount.
  • Review with no image -- $10/€7/£6/$10 CAD/¥70 Yuan/¥1110 Yen
  • Review with an image -- $25/€18/£15/$25 CAD/¥150 Yuan/¥2500 Yen

Product General Protocols

Find general support by application which include: protocols, troubleshooting, illustrated assays, videos and webinars.

Video Protocols

WB Video Protocol

FAQs for TRIM26 Antibody (NBP1-83910) (0)

There are no specific FAQs related to this product. Read our general customer & technical service FAQs.

Secondary Antibodies

 

Isotype Controls

Additional TRIM26 Products

Research Areas for TRIM26 Antibody (NBP1-83910)

Find related products by research area.

Blogs on TRIM26

There are no specific blogs for TRIM26, but you can read our latest blog posts.

Customers Who Bought This Also Bought

Contact Information

Product PDFs

Calculators

Concentration Calculator

The concentration calculator allows you to quickly calculate the volume, mass or concentration of your vial. Simply enter your mass, volume, or concentration values for your reagent and the calculator will determine the rest.

=
÷

Review this Product

Be the first to review our TRIM26 Antibody and receive a gift card or discount.

Bioinformatics

Gene Symbol TRIM26