ROS Antibody - BSA Free

Images

 
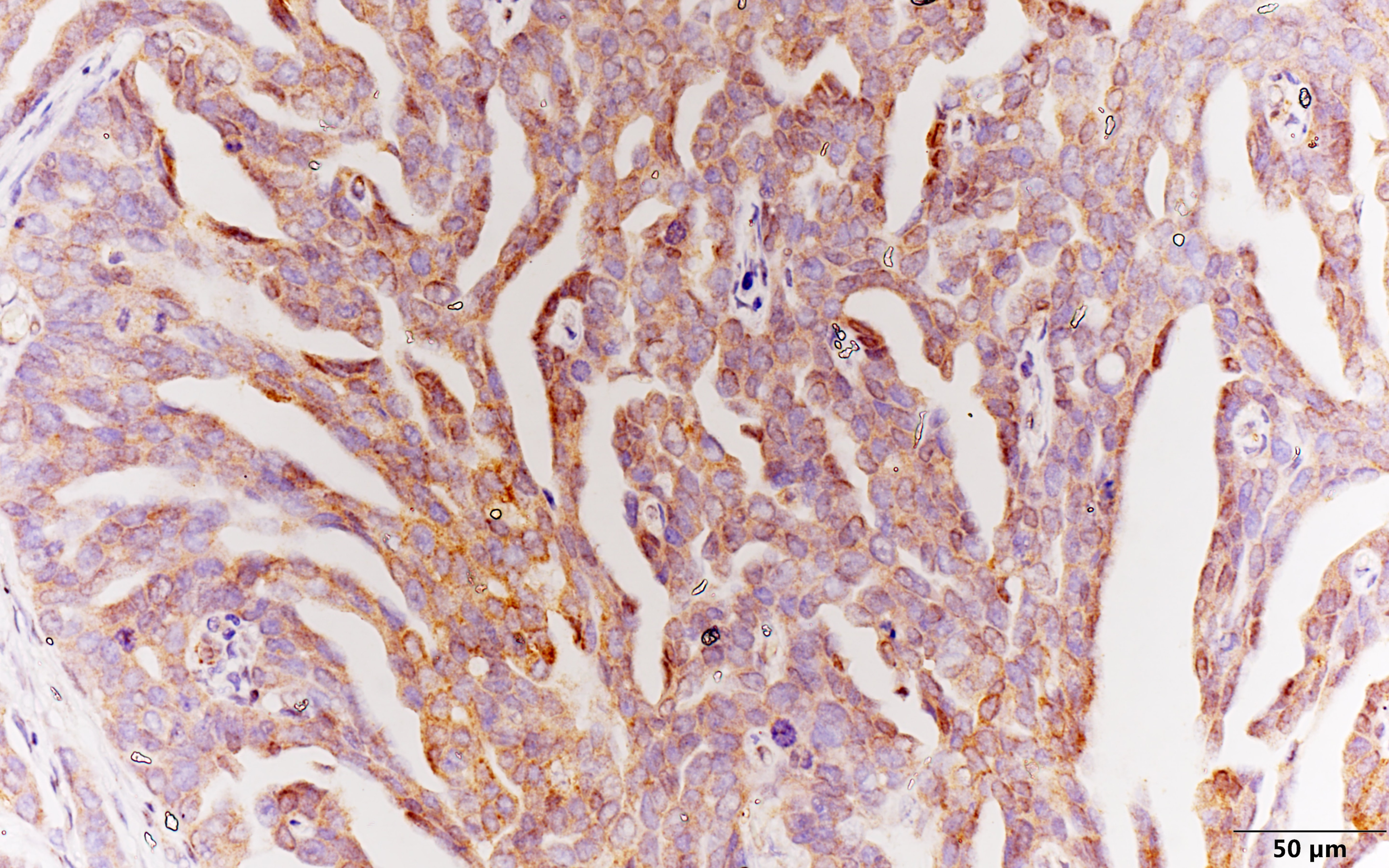
Immunohistochemistry-Paraffin: ROS Antibody [NBP2-13245] - Staining ROS1 in human ovarian cancer tissue.Image submitted by a verified customer review.
Immunohistochemistry-Paraffin: ROS Antibody [NBP2-13245] Staining of human kidney shows moderate membranous positivity in cells in glomeruli.

Product Details

Summary
Reactivity Hu, MuSpecies Glossary
Applications IHC
Clonality
Polyclonal
Host
Rabbit
Conjugate
Unconjugated
Format
BSA Free

Order Details

View Available Formulations
Catalog# & Formulation Size Price

ROS Antibody - BSA Free Summary

Description
Novus Biologicals Rabbit ROS Antibody - BSA Free (NBP2-13245) is a polyclonal antibody validated for use in IHC. All Novus Biologicals antibodies are covered by our 100% guarantee.
Immunogen
This antibody was developed against a recombinant protein corresponding to the amino acids: WKYNEFYHVKTSCSQGPAYVCNITNLQPYTSYNVRVVVVYKTGENSTSLPESFKTKAGVPNKPGIPKLLEGSKNSIQWEKAEDNGC
Predicted Species
Mouse (90%). Backed by our 100% Guarantee.
Isotype
IgG
Clonality
Polyclonal
Host
Rabbit
Gene
ROS1
Purity
Affinity purified
Innovator's Reward
Test in a species/application not listed above to receive a full credit towards a future purchase.

Applications/Dilutions

Dilutions
  • Immunohistochemistry 1:200 - 1:500
  • Immunohistochemistry-Paraffin 1:200 - 1:500
Application Notes
For IHC-Paraffin, HIER pH 6 retrieval is recommended. ROS antibody validated for IHC-P from a verified customer review.
Control Peptide
ROS Protein (NBP2-13245PEP)
Reviewed Applications
Read 1 Review rated 4
using
NBP2-13245 in the following applications:

Reactivity Notes

Immunogen displays the following percentage of sequence identity for non-tested species: Rat (87%)

Packaging, Storage & Formulations

Storage
Store at 4C short term. Aliquot and store at -20C long term. Avoid freeze-thaw cycles.
Buffer
PBS (pH 7.2) and 40% Glycerol
Preservative
0.02% Sodium Azide
Purity
Affinity purified

Alternate Names for ROS Antibody - BSA Free

  • proto-oncogene tyrosine-protein kinase ROS
  • c-ros oncogene 1 , receptor tyrosine kinase
  • c-Ros-1
  • MCF3
  • ROS
  • ROS1

Background

This proto-oncogene, highly-expressed in a variety of tumor cell lines, belongs to the sevenless subfamily of tyrosine kinase insulin receptor genes. The protein encoded by this gene is a type I integral membrane protein with tyrosine kinase activity. The protein may function as a growth or differentiation factor receptor. (provided by RefSeq)

Limitations

This product is for research use only and is not approved for use in humans or in clinical diagnosis. Primary Antibodies are guaranteed for 1 year from date of receipt.

Customers Who Viewed This Item Also Viewed...

AF3398
Species: Hu, Mu, Rt
Applications: ICC, KO, Simple Western, WB
NBP2-24915
Species: Bv, Hu, Mu, Rt
Applications: IHC,  IHC-P, WB
AF1230
Species: Hu, Mu, Rt
Applications: IHC, KO, WB
MAB7665
Species: Hu
Applications: IHC, WB
NB100-56503
Species: Dr, Hu, Mu, Rb, Rt
Applications: Flow-CS, Flow-IC, Flow, IB, ICC/IF, IHC,  IHC-P, Simple Western, WB
NBP2-25160
Species: Bv, Ca, Eq, Hu, Mu, Po, Rt
Applications: ICC/IF, IHC, WB
NB300-605
Species: Hu, Mu, Po, Rt
Applications: Flow, IB, ICC/IF, IHC, IHC-Fr,  IHC-P, In vitro, WB
NB100-56098
Species: Ca, Hu, Mu, Rt
Applications: IHC,  IHC-P, IP, WB
AF887
Species: Hu, Mu, Rt
Applications: CyTOF-ready, IHC, ICFlow, Simple Western, WB
AF820
Species: Hu, Mu
Applications: ICC, IHC, KO, Simple Western, WB
MAB17761
Species: Hu, Mu, Rt
Applications: ICC, WB
NBP1-54899
Species: Hu, Rt
Applications: ICC/IF, IHC, IHC-Fr, WB
MAB1419
Species: Hu, Rt
Applications: CyTOF-ready, ICC, IHC, ICFlow
NB200-103
Species: Hu, Mu, Rt, Xp(-), Ye
Applications: CyTOF-ready, ELISA, Flow-IC, Flow, ICC/IF, IHC, IHC-Fr,  IHC-P, IP, WB
NB100-56583
Species: Hu, Rb, Rt
Applications: Flow, IHC,  IHC-P, KO, Simple Western, WB
M6000B
Species: Mu
Applications: ELISA

Publications for ROS Antibody (NBP2-13245) (0)

There are no publications for ROS Antibody (NBP2-13245).
By submitting your publication information earn gift cards and discounts for future purchases.

Review for ROS Antibody (NBP2-13245) (1) 41

Average Rating: 4
(Based on 1 review)
We have 1 review tested in 1 species: Human.

Reviews using NBP2-13245:
Filter by Applications
 IHC-P
(1)
All Applications
Filter by Species
Human
(1)
All Species
Images Ratings Applications Species Date Details
Immunohistochemistry-Paraffin ROS NBP2-13245
Enlarge
4
reviewed by:
Haopei Zhang
 IHC-P Human 12/17/2018
View

Summary

ApplicationImmunohistochemistry-Paraffin
Sample TestedOvarian cancer tissue sample
SpeciesHuman
LotA114524

Comments

CommentsPerform HIER for 20mins
Incubation at 4 ℃ overnight

Product General Protocols

Find general support by application which include: protocols, troubleshooting, illustrated assays, videos and webinars.

FAQs for ROS Antibody (NBP2-13245) (0)

There are no specific FAQs related to this product. Read our general customer & technical service FAQs.

Secondary Antibodies

 

Isotype Controls

Additional ROS Products

Array NBP2-13245

Research Areas for ROS Antibody (NBP2-13245)

Find related products by research area.

Blogs on ROS.

Tired T cells: Hypoxia Drives T cell Exhaustion in the Tumor Microenvironment
By Hunter MartinezThe paradigm shifting view of the immune system being leveraged to target cancer has led to numerous therapeutic breakthroughs. One major cell group responsible for this revelation is a T cell. ...  Read full blog post.

Methamphetamine with HIV induces mitochondrial dysfunction and neuronal injury through oxidative stress
By Jamshed Arslan, Pharm. D., PhD. December 1 is the World AIDS Day. Despite the combination antiretroviral therapy, 10-25% of Human Immunodeficiency Virus (HIV)-positive individuals report neurocognitive impairm...  Read full blog post.

NOX2 oxidase is a potential target for broad-spectrum antiviral therapies
By Beth Melson, MSViral infection induces the production of reactive oxygen species (ROS) by inflammatory cells, the majority of which is produced by the NOX2 oxidase. While NOX2 oxidase contributes to the clearan...  Read full blog post.

Crosstalk Between Oxidative Stress and Autophagy
By Christina Towers, PhD. Role of Reactive Species in Cellular FunctionOxidative stress is a byproduct of an imbalance between oxidants and antioxidants present in the cell, resulting in dysfunctional redox si...  Read full blog post.

One MAP to Navigate the Oxidative Stress, Tumorigenesis and Apoptosis Pathways?
Reactive oxygen species, ROS, are beneficially involved in many signaling pathways that control development and maintain cellular homeostasis. In physiological conditions, a tightly regulated redox balance protects cells from injurious ROS activity, a...  Read full blog post.

Customers Who Bought This Also Bought

Contact Information

Product PDFs

Calculators

Concentration Calculator

The concentration calculator allows you to quickly calculate the volume, mass or concentration of your vial. Simply enter your mass, volume, or concentration values for your reagent and the calculator will determine the rest.

=
÷

Recent Reviews

4
5
0
4
1
3
0
2
0
1
0

Haopei Zhang
12/17/2018
Application:  IHC-P
Species: Human

Bioinformatics

Gene Symbol ROS1