PABPC4 Antibody

Images

 
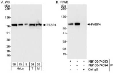
Independent Antibodies: Western Blot: PABPC4 Antibody [NB100-74593] - Detection of PABP4 on HeLa whole cell lysate (5, 15, and 50 ug for WB; 1 mg for IP, 20% of IP loaded), 293T (T; 50 ug) and mouse NIH3T3 (M; 50 ...read more
Immunohistochemistry-Paraffin: PABPC4 Antibody [NB100-74593] - Section of human prostate carcinoma (left) and colon carcinoma (right). Affinity purified rabbit anti- PABP4 used at 1:200 (1 ug/mL). Detection by DAB.

Product Details

Summary
Reactivity Hu, MuSpecies Glossary
Applications WB, IHC, IP, IHC-Fr (-), Single-Cell Western
Clonality
Polyclonal
Host
Rabbit
Conjugate
Unconjugated
Concentration
0.2 mg/ml

Order Details

PABPC4 Antibody Summary

Description
Novus Biologicals Rabbit PABPC4 Antibody (NB100-74593) is a polyclonal antibody validated for use in IHC, WB and IP. Anti-PABPC4 Antibody: Cited in 4 publications. All Novus Biologicals antibodies are covered by our 100% guarantee.
Immunogen
The immunogen recognized by this antibody maps to a region between residue 525 and 575 of human Poly(A)-binding protein 4 using the numbering given in entry NP_003810.1 (GeneID 8761).
Localization
Cytoplasmic
Isotype
IgG
Clonality
Polyclonal
Host
Rabbit
Gene
PABPC4
Purity
Immunogen affinity purified
Innovator's Reward
Test in a species/application not listed above to receive a full credit towards a future purchase.

Applications/Dilutions

Dilutions
  • Immunohistochemistry 1:100 - 1:500
  • Immunohistochemistry-Paraffin 1:250
  • Immunoprecipitation 2-5 ug/mL Lysate
  • Single Cell Western 10 ug/mL
  • Western Blot 1:2000 - 1:10000
Application Notes
Epitope retrieval with citrate buffer pH6.0 is recommended for FFPE tissue sections. Use in Single Cell Western reported in scientific literature (PMID: 31601799).
Publications
Read Publications using
NB100-74593 in the following applications:

Packaging, Storage & Formulations

Storage
Store at 4C. Do not freeze.
Buffer
TBS, 0.1% BSA
Preservative
0.09% Sodium Azide
Concentration
0.2 mg/ml
Purity
Immunogen affinity purified

Alternate Names for PABPC4 Antibody

  • APP1FLJ43938
  • APP-1PABP-4
  • Inducible poly(A)-binding protein
  • IPABP
  • iPABPpoly(A)-binding protein, cytoplasmic 4 (inducible form)
  • PABP4Activated-platelet protein 1
  • poly(A) binding protein, cytoplasmic 4 (inducible form)
  • Poly(A)-binding protein 4
  • polyadenylate-binding protein 4

Background

Poly(A)-binding proteins (PABPs) bind to the poly(A) tail present at the 3-prime ends of most eukaryotic mRNAs. PABPC4 or IPABP (inducible PABP) was isolated as an activation-induced T-cell mRNA encoding a protein. Activation of T cells increased PABPC4 mRNA levels in T cells approximately 5-fold. PABPC4 contains 4 RNA-binding domains and proline-rich C terminus. PABPC4 is localized primarily to the cytoplasm. It is suggested that PABPC4 might be necessary for regulation of stability of labile mRNA species in activated T cells. PABPC4 was also identified as an antigen, APP1 (activated-platelet protein-1), expressed on thrombin-activated rabbit platelets. PABPC4 may also be involved in the regulation of protein translation in platelets and megakaryocytes or may participate in the binding or stabilization of polyadenylates in platelet dense granules.

Limitations

This product is for research use only and is not approved for use in humans or in clinical diagnosis. Primary Antibodies are guaranteed for 1 year from date of receipt.

Customers Who Viewed This Item Also Viewed...

NB120-6125
Species: Bv, Ca, Dr(-), Hu, Mu(-), Pm, Xp
Applications: CyTOF-ready, ELISA, Flow, ICC/IF, IP, MiAr, WB
202-IL
Species: Hu
Applications: BA
AF5228
Species: Hu
Applications: WB
M6000B
Species: Mu
Applications: ELISA
NBP2-13075
Species: Ba, Hu, Pm, Mu, Rt
Applications: DB, ELISA, IB, ICC/IF, IHC-FrFl, IHC, IHC-Fr,  IHC-P, IP, WB
251-KG
Species: Hu
Applications: BA
NBP2-15061
Species: Hu
Applications: ICC/IF, IHC,  IHC-P, IP, WB
NBP1-86535
Species: Hu
Applications: IHC,  IHC-P
212-GD
Species: Hu
Applications: Bind, BA
NB100-81798
Species: Hu, Mu, Rt
Applications: ICC/IF, IHC,  IHC-P, WB
NBP2-02105
Species: Hu, Mu, Rt
Applications: Flow, ICC/IF, IHC,  IHC-P, WB
QET00B
Species: Hu
Applications: ELISA
NBP2-14871
Species: Mu, Rt
Applications: ICC/IF, WB
NB120-2860
Species: Ba, Bv, Ch, Hu, Mu, Rt
Applications: ELISA, Flow, ICC/IF, IHC,  IHC-P, WB
NBP2-15669
Species: Mu, Rt, Ze
Applications: IHC-WhMt, IHC, WB
DY1707
Species: Hu
Applications: ELISA
NBP1-18910
Species: Hu, Mu, Rt
Applications: ICC/IF, IHC, IHC-Fr,  IHC-P, IP, Simple Western, WB
NBP2-47405
Species: Hu
Applications: IHC,  IHC-P
AF1042
Species: Mu
Applications: Dual ISH-IHC, IHC, WB

Publications for PABPC4 Antibody (NB100-74593)(4)

Reviews for PABPC4 Antibody (NB100-74593) (0)

There are no reviews for PABPC4 Antibody (NB100-74593). By submitting a review you will receive an Amazon e-Gift Card or Novus Product Discount.
  • Review with no image -- $10/€7/£6/$10 CAD/¥70 Yuan/¥1110 Yen
  • Review with an image -- $25/€18/£15/$25 CAD/¥150 Yuan/¥2500 Yen

Product General Protocols

Find general support by application which include: protocols, troubleshooting, illustrated assays, videos and webinars.

Video Protocols

WB Video Protocol

FAQs for PABPC4 Antibody (NB100-74593) (0)

There are no specific FAQs related to this product. Read our general customer & technical service FAQs.

Customers Who Bought This Also Bought

Contact Information

Product PDFs

Calculators

Concentration Calculator

The concentration calculator allows you to quickly calculate the volume, mass or concentration of your vial. Simply enter your mass, volume, or concentration values for your reagent and the calculator will determine the rest.

=
÷

Review this Product

Be the first to review our PABPC4 Antibody and receive a gift card or discount.

Bioinformatics

Gene Symbol PABPC4
Entrez
Uniprot