Sort By:
page of 1

PABPC4 Antibodies

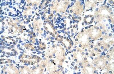
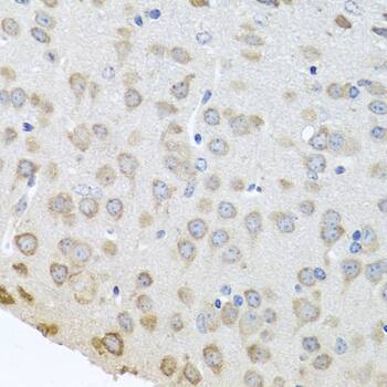
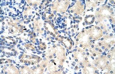
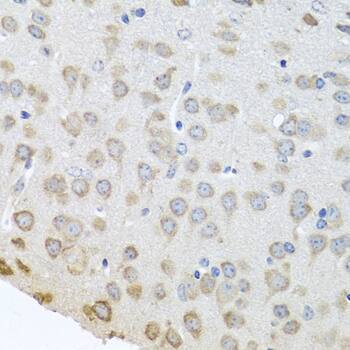
We offer PABPC4 Antibodies for use in common research applications: ELISA, Immunocytochemistry/Immunofluorescence, Immunohistochemistry, Immunohistochemistry-Paraffin, Immunoprecipitation, Western Blot. Each PABPC4 Antibody is fully covered by our Guarantee+, to give you complete peace of mind and the support when you need it. Our PABPC4 Antibodies can be used in a variety of model species: Human, Mouse. Use the list below to choose the PABPC4 Antibody which is most appropriate for your research; you can click on each one to view full technical details, images, references, reviews and related products. Choose from our PABPC4 polyclonal antibodies.
Alternate Names for PABPC4 Antibodies
anti-PABPC4 antibody, anti-APP-1PABP-4 antibody, anti-APP1FLJ43938 antibody, anti-Inducible poly(A)-binding protein antibody, anti-IPABP antibody, anti-iPABPpoly(A)-binding protein, cytoplasmic 4 (inducible form) antibody, anti-PABP4Activated-platelet protein 1 antibody, anti-poly(A) binding protein, cytoplasmic 4 (inducible form) antibody, anti-Poly(A)-binding protein 4 antibody, anti-polyadenylate-binding protein 4 antibody
7 Results for "pabpc4" in Primary Antibodies
Hu, Mu
Species Glossary
Reactivity: Hu, Mu
WB, IHC, IP, IHC-Fr (-), Single-Cell Western
Applications: WB, IHC, IP, IHC-Fr (-), Single-Cell Western
Rabbit Polyclonal
Host: Rabbit Polyclonal
Unconjugated  
         
Validated by:          
compare
(select up to 3 products from this page to compare)
Hu, Mu
Species Glossary
Reactivity: Hu, Mu
WB, IHC, IP
Applications: WB, IHC, IP
Rabbit Polyclonal
Host: Rabbit Polyclonal
Unconjugated  
         
Validated by:          
compare
(select up to 3 products from this page to compare)
0.1 ml
Hu, Mu, Rt
Species Glossary
Reactivity: Hu, Mu, Rt
WB, ICC/IF, IHC
Applications: WB, ICC/IF, IHC
Rabbit Polyclonal
Host: Rabbit Polyclonal
Sample Size Available
Sizes: Sample Size Available
Unconjugated  
         
Validated by:          
Available Formulations
Formulation Catalog # Availability Price  
compare
(select up to 3 products from this page to compare)
100 ul
Hu, Mu, Rt
Species Glossary
Reactivity: Hu, Mu, Rt
WB, ELISA, ICC/IF, IHC
Applications: WB, ELISA, ICC/IF, IHC
Rabbit Polyclonal
Host: Rabbit Polyclonal
Unconjugated  
Available Formulations
Formulation Catalog # Availability Price  
compare
(select up to 3 products from this page to compare)
0.1 ml
Hu, Mu, Ze, Rt, Bv, Xp, Ze
Species Glossary
Reactivity: Hu, Mu, Ze, Rt, Bv, Xp, Ze
WB, IHC
Applications: WB, IHC
Rabbit Polyclonal
Host: Rabbit Polyclonal
Unconjugated  
compare
(select up to 3 products from this page to compare)
100 ul
Hu, Mu, Rt
Species Glossary
Reactivity: Hu, Mu, Rt
WB, ICC/IF
Applications: WB, ICC/IF
Rabbit Polyclonal
Host: Rabbit Polyclonal
Unconjugated  
         
Validated by:          
compare
(select up to 3 products from this page to compare)
100ul
Hu
Species Glossary
Reactivity: Hu
WB, IHC
Applications: WB, IHC
Rabbit Polyclonal
Host: Rabbit Polyclonal
Unconjugated  
compare
(select up to 3 products from this page to compare)
page of 1