MCAM/CD146 Antibody (CL12855) - Azide and BSA Free

Images

 
Orthogonal Strategies: Analysis in human placenta and liver tissues using NBP3-44171 antibody. Corresponding MCAM/CD146 RNA-seq data are presented for the same tissues.
Staining of human duodenum shows strong cytoplasmic positivity in smooth muscle cells.
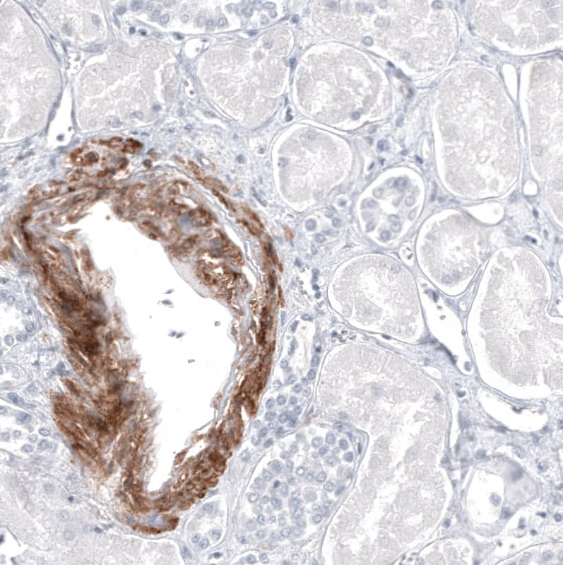
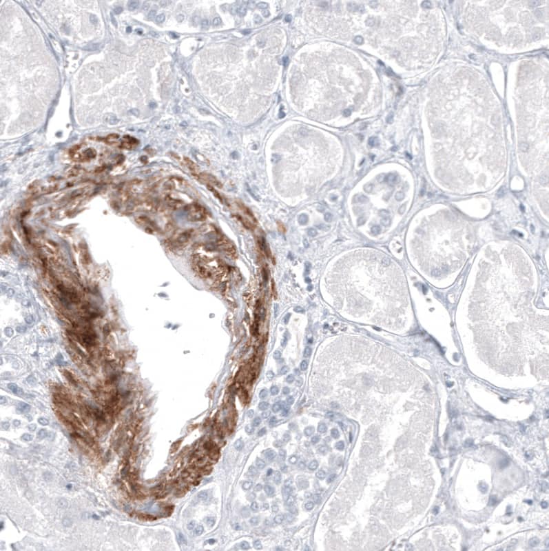
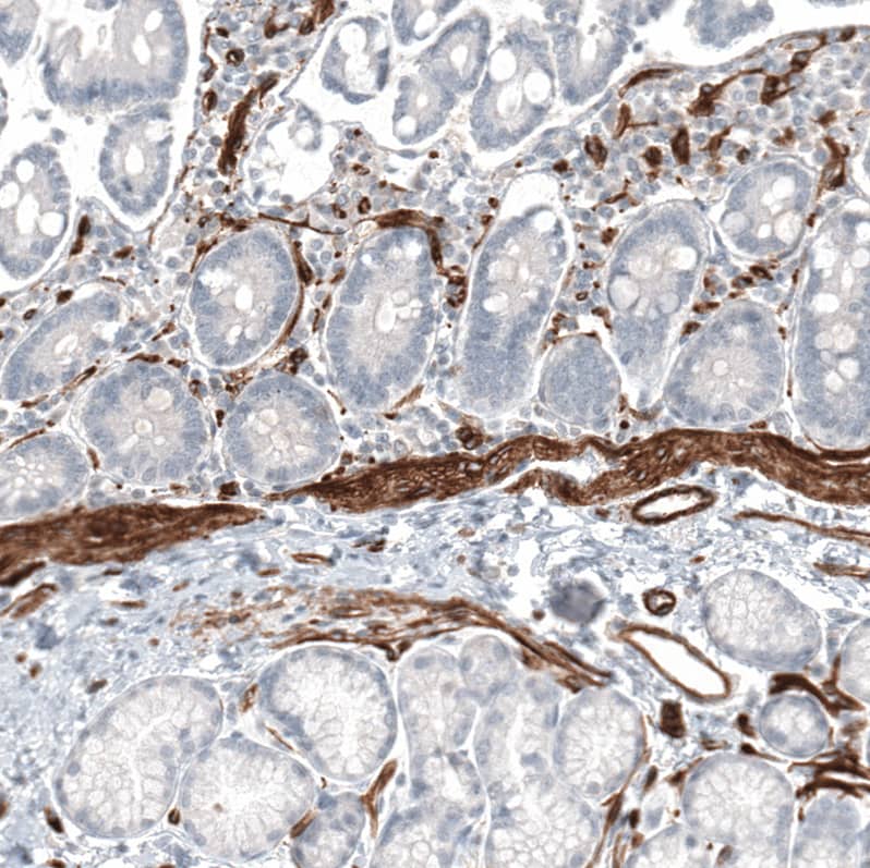
Staining of human kidney shows moderate positivity in blood vessels.
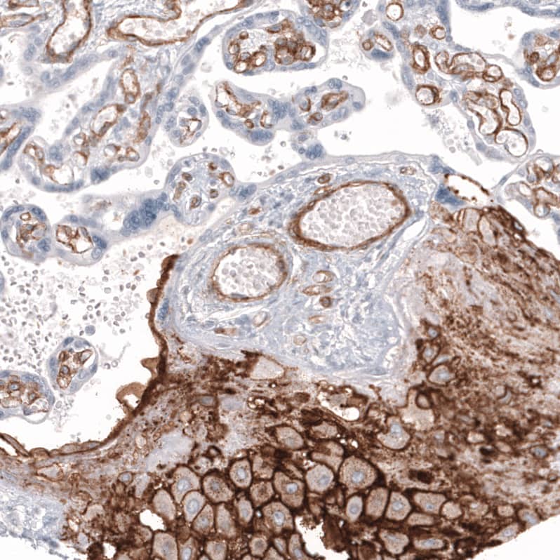
Staining of human placenta shows strong membranous positivity in decidual cells, as well as positivity in endothelial cells.
Staining of human ovarian cancer (high grade serous carcinoma) shows moderate to strong membranous positivity in tumor cells.
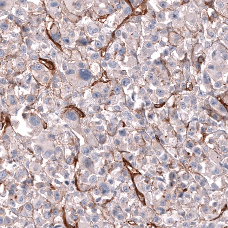
Staining of human malignant melanoma shows moderate membranous positivity in tumor cells.
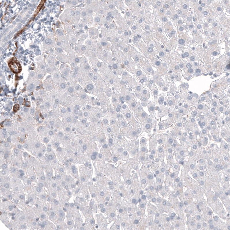
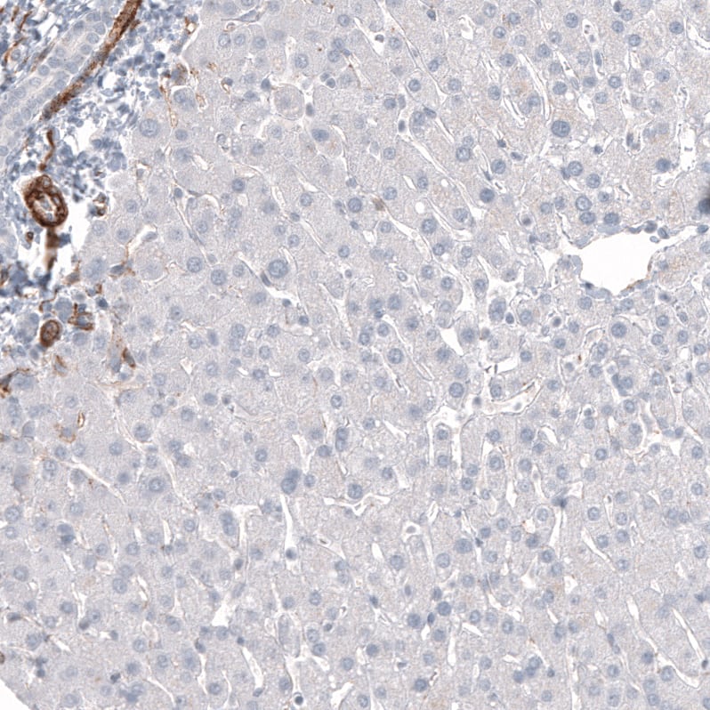
Staining of human liver shows no positivity in hepatocytes as expected.

Product Details

Summary
Reactivity HuSpecies Glossary
Applications IHC
Clone
CL12855
Clonality
Monoclonal
Host
Mouse
Conjugate
Unconjugated
Format
Azide and BSA Free
Concentration
LYOPH
Validated by:
       

Orthogonal Strategies

 

Order Details

MCAM/CD146 Antibody (CL12855) - Azide and BSA Free Summary

Description
Novus Biologicals Mouse MCAM/CD146 Antibody (CL12855) - Azide and BSA Free (NBP3-18546) is a monoclonal antibody validated for use in IHC. All Novus Biologicals antibodies are covered by our 100% guarantee.
Immunogen
This antibody was generated using a recombinant protein sequence of P43121, with the exact immunogen sequence remaining proprietary.
Isotype
IgG1
Clonality
Monoclonal
Host
Mouse
Gene
MCAM
Purity
Protein A purified
Innovator's Reward
Test in a species/application not listed above to receive a full credit towards a future purchase.

Applications/Dilutions

Dilutions
  • Immunohistochemistry-Paraffin 1:1000 - 1:2500
Application Notes
For use with IHC-Paraffin, HIER pH 6 retrieval is recommended.

Packaging, Storage & Formulations

Storage
Store at 4C short term. Aliquot and store at -20C long term. Avoid freeze-thaw cycles.
Buffer
Lyophilized from a 0.2 um filtered solution in PBS with Trehalose
Preservative
No Preservative
Concentration
LYOPH
Purity
Protein A purified
Reconstitution Instructions
Centrifuge the vial of lyophilized antibody at 12,000 x g for 20 seconds. Reconstitute by adding sterile, distilled water to achieve a final antibody concentration of 1mg/ml.

Alternate Names for MCAM/CD146 Antibody (CL12855) - Azide and BSA Free

  • CD146 antigen
  • CD146
  • cell surface glycoprotein MUC18
  • Cell surface glycoprotein P1H12
  • L-Gicerin
  • MCAM
  • melanoma adhesion molecule
  • melanoma cell adhesion moleculeS-endo 1 endothelial-associated antigen
  • Melanoma-associated antigen A32
  • Melanoma-associated antigen MUC18
  • MUC18
  • MUC18Gicerin

Background

CD146 belongs to the immunoglobulin supergene family with five immunoglobulin like domains (V-V-C2-C2-C2), a transmembrane region and a 63 residue cytoplasmic tail. The protein is a membrane glycoprotein that functions as a Ca2+ independent cell adhesion molecule involved in heterophilic cell to cell interactions. CD146 has a molecular size of 130 kDa in its reduced form (118 kDa unreduced), and N linked glycosylation accounts for fifty percent of the apparent molecular weight. In some cells the molecule carries a sulfate 3 glucuronyl moiety. Expression of the molecule was shown in a relatively limited spectrum of normal human tissues (endothelium, smooth muscle, and subpopulations of activated T cells) and malignant neoplasm (melanoma and breast carcinoma). The lineage specific expression pattern of CD146 can be useful in the differential diagnosis of certain lesions including melanomas and various types of gestational trophoblastic lesions. CD146 expression can promote tumor progression in human melanoma, through enhanced interaction between melanoma cells and endothelial cells. However, in breast carcinoma, CD146 may act as a tumor suppressor. Over expression of CD146 in breast carcinoma cells results in a more cohesive cell growth and in the formation of smaller tumors in nude mice. During implantation and placentation, CD146 is expressed by the intermediate trophoblast in the placental site and binds to its putative receptor in uterine smooth muscle cells thus limiting trophoblastic invasion in the myometrium. Monoclonal antibody specific for CD146 is an important tool for the identification and isolation of cells expressing CD146.

Limitations

This product is for research use only and is not approved for use in humans or in clinical diagnosis. Primary Antibodies are guaranteed for 1 year from date of receipt.

Customers Who Viewed This Item Also Viewed...

7268-CT
Species: Hu
Applications: BA
NB100-524
Species: Hu, Mu
Applications: Flow-IC, Flow, ICC/IF, IHC, IHC-Fr,  IHC-P, IP, WB
NBP2-79843
Species: Hu
Applications: CyTOF-ready, ELISA, Flow, ICC/IF, IHC,  IHC-P, PA, WB
AF3628
Species: Hu, Mu, Rt
Applications: CyTOF-ready, Flow, ICC, IHC, Simple Western, WB
NB110-41083
Species: Hu
Applications: ELISA, WB
AF4117
Species: Rt
Applications: IHC, WB
AF1320
Species: Mu
Applications: CyTOF-ready, Flow, ICC, IHC, Simple Western, WB
AF114
Species: Mu
Applications: CyTOF-ready, Flow, ICC, IHC, WB
DVE00
Species: Hu
Applications: ELISA
AF2067
Species: Ca, Hu, Po
Applications: CyTOF-ready, Flow, ICC, IHC, WB
BBA10
Species: Hu
Applications: CyTOF-ready, Flow, IHC, IP, KO, Simple Western, WB
AF1356
Species: Hu, Mu
Applications: CyTOF-ready, Dual ISH-IHC, Flow, IHC, Simple Western, WB
NB600-586
Species: Ca, Fe, Hu, Mu
Applications: Dual ISH-IHC, ICC/IF, IHC, IHC-Fr,  IHC-P
AF796
Species: Mu
Applications: AdBlk, IHC, WB
H00009242-M01
Species: Hu
Applications: ELISA, WB
NBP2-48480
Species: Hu
Applications: Flow-CS, Flow, IHC, IHC-Fr,  IHC-P
AF1002
Species: Mu
Applications: Dual ISH-IHC, IHC, Simple Western, WB
MAB17781
Species: Hu
Applications: Block, CyTOF-ready, Flow, ICC, IP, KO
NB120-16518
Species: Hu, Mu, Po, Rt
Applications: ChIP, ELISA, Flow, ICC/IF, IHC, IHC-Fr,  IHC-P, WB
AF5790
Species: Hu
Applications: WB

Publications for MCAM/CD146 Antibody (NBP3-44171) (0)

There are no publications for MCAM/CD146 Antibody (NBP3-44171).
By submitting your publication information earn gift cards and discounts for future purchases.

Reviews for MCAM/CD146 Antibody (NBP3-44171) (0)

There are no reviews for MCAM/CD146 Antibody (NBP3-44171). By submitting a review you will receive an Amazon e-Gift Card or Novus Product Discount.
  • Review with no image -- $10/€7/£6/$10 CAD/¥70 Yuan/¥1110 Yen
  • Review with an image -- $25/€18/£15/$25 CAD/¥150 Yuan/¥2500 Yen

Product General Protocols

Find general support by application which include: protocols, troubleshooting, illustrated assays, videos and webinars.

FAQs for MCAM/CD146 Antibody (NBP3-44171) (0)

There are no specific FAQs related to this product. Read our general customer & technical service FAQs.

Customers Who Bought This Also Bought

Contact Information

Product PDFs

Calculators

Concentration Calculator

The concentration calculator allows you to quickly calculate the volume, mass or concentration of your vial. Simply enter your mass, volume, or concentration values for your reagent and the calculator will determine the rest.

=
÷

Review this Product

Be the first to review our MCAM/CD146 Antibody (CL12855) - Azide and BSA Free and receive a gift card or discount.

Bioinformatics

Gene Symbol MCAM