Isocitrate Dehydrogenase 1/IDH1 Antibody (IDH1/6806R) - Azide and BSA Free

Images

 
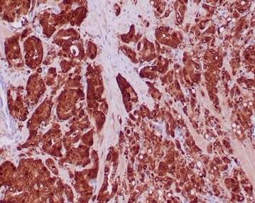
FFPE prostate carcinoma with IDH1-R132H mutation stained with Isocitrate Dehydrogenase 1/IDH1 antibody (IDH1/6806R).
FFPE human glioblastoma with IDH1-R132H mutation stained with Isocitrate Dehydrogenase 1/IDH1 antibody (IDH1/6806R). HIER: Tris/EDTA, pH9.0, 45min. Secondary: HRP-polymer, 30min. DAB, 5min.

Product Details

Summary
Reactivity HuSpecies Glossary
Applications IHC
Clone
IDH1/6806R
Clonality
Monoclonal
Host
Rabbit
Conjugate
Unconjugated
Format
Azide and BSA Free
Concentration
1 mg/ml

Order Details

Isocitrate Dehydrogenase 1/IDH1 Antibody (IDH1/6806R) - Azide and BSA Free Summary

Description
1.0 mg/ml of antibody purified from Bioreactor Concentrate by Protein A/G. Prepared in 1mM PBS WITHOUT BSA & azide. Also available at 200 ug/ml WITH BSA & azide (NBP3-13943).

Antibody without azide - store at -20 to -80C. Antibody with azide - store at 2 to 8C. Non-hazardous.

Theoretical molecular weight: 45-47kDa
Additional Information
Recombinant Monoclonal Antibody
Immunogen
Recombinant fragment of human Isocitrate Dehydrogenase 1/IDH1 protein (around aa 281-414) (exact sequence is proprietary) (Uniprot: O75874 )
Localization
Cytoplasm, Nucleus
Specificity
IDH1 R132H antibody binds to IDH1-mutated protein, but does not bind the wild-type IDH1 protein. IDH1 R132H point mutations are frequently seen in World Health Organization grade II and III gliomas and are believed to constitute an early step in tumorigenesis. IDH1 R132H can be used as a diagnostic marker to help differentiate infiltrating gliomas from gliosis, and as a prognostic marker for gliomas and secondary glioblastoma multiforme. IDH1 R132H antibody shows strong cytoplasmic staining and weaker nuclear staining in tumor cells with the R132H-mutated peptide. Diffuse staining of the fibrillary tumor matrix is also seen.
Isotype
IgG Kappa
Clonality
Monoclonal
Host
Rabbit
Gene
IDH1
Purity
Protein A or G purified
Innovator's Reward
Test in a species/application not listed above to receive a full credit towards a future purchase.

Applications/Dilutions

Dilutions
  • Immunohistochemistry-Paraffin 1-2 ug/ml
Application Notes
Immunohistochemistry (Formalin-fixed): 1-2ug/ml for 30 minutes at RT. Staining of formalin-fixed tissues requires heating tissue sections in 10mM Tris with 1mM EDTA, pH 9.0, for 45 min at 95C followed by cooling at RT for 20 minutes

Packaging, Storage & Formulations

Storage
Store at -20 to -80C. Avoid freeze-thaw cycles.
Buffer
1mM PBS
Preservative
No Preservative
Concentration
1 mg/ml
Purity
Protein A or G purified

Alternate Names for Isocitrate Dehydrogenase 1/IDH1 Antibody (IDH1/6806R) - Azide and BSA Free

  • Cytosolic NADP-isocitrate dehydrogenase
  • EC 1.1.1.42
  • IDCD
  • IDH
  • IDH1
  • IDP
  • IDPC
  • isocitrate dehydrogenase [NADP] cytoplasmic
  • isocitrate dehydrogenase 1 (NADP+), soluble
  • Isocitrate Dehydrogenase 1
  • NADP(+)-specific ICDH
  • NADP-dependent isocitrate dehydrogenase, cytosolic
  • NADP-dependent isocitrate dehydrogenase, peroxisomal
  • Oxalosuccinate decarboxylase
  • PICD

Background

Isocitrate dehydrogenases catalyze the oxidative decarboxylation of isocitrate to 2-oxoglutarate. These enzymes belong to two distinct subclasses, one of which utilizes NAD(+) as the electron acceptor and the other NADP(+). Five isocitrate dehydrogenases have been reported: three NAD(+)-dependent isocitrate dehydrogenases, which localize to the mitochondrial matrix, and two NADP(+)-dependent isocitrate dehydrogenases, one of which is mitochondrial and the other predominantly cytosolic. Each NADP(+)-dependent isozyme is a homodimer. The protein encoded by this gene is the NADP(+)-dependent isocitrate dehydrogenase found in the cytoplasm and peroxisomes. It contains the PTS-1 peroxisomal targeting signal sequence. The presence of this enzyme in peroxisomes suggests roles in the regeneration of NADPH for intraperoxisomal reductions, such as the conversion of 2, 4-dienoyl-CoAs to 3-enoyl-CoAs, as well as in peroxisomal reactions that consume 2-oxoglutarate, namely the alpha-hydroxylation of phytanic acid. The cytoplasmic enzyme serves a significant role in cytoplasmic NADPH production. [provided by RefSeq]

Limitations

This product is for research use only and is not approved for use in humans or in clinical diagnosis. Primary Antibodies are guaranteed for 1 year from date of receipt.

Customers Who Viewed This Item Also Viewed...

NBP2-22166
Species: Hu, Mu, Rt
Applications: ICC/IF, IHC,  IHC-P, WB
NB200-103
Species: Hu, Mu, Rt, Xp(-), Ye
Applications: CyTOF-ready, ELISA, Flow-IC, Flow, ICC/IF, IHC, IHC-Fr,  IHC-P, IP, WB
NB100-168
Species: Hu, Mu(-)
Applications: CyTOF-ready, Flow-IC, Flow, ICC/IF, IHC,  IHC-P, Simple Western, WB
AF231
Species: Hu
Applications: CyTOF-ready, Dual ISH-IHC, ELISA(Cap), ELISA(Det), ELISA(Sta), Flow, ICC, IHC, IP, Simple Western, WB
NB110-61646
Species: Hu, Mu
Applications: ICC/IF, IHC,  IHC-P, IP, WB
MAB812
Species: Hu
Applications: CyTOF-ready, Flow
NBP2-59451
Species: Hu
Applications: ELISA, Flow, ICC/IF, MiAr, Simple Western, WB
NBP2-32104
Species: Hu, Rt
Applications: IHC,  IHC-P, IP, WB
NBP2-02541
Species: Hu, Pm, Mu, Pm, Rt
Applications: ICC/IF, IHC,  IHC-P, WB
H00171023-M05
Species: Hu
Applications: ELISA, IP, WB
NBP1-32259
Species: Hu, Mu, Rt
Applications: ICC/IF, IHC,  IHC-P, KO, WB
NBP1-32398
Species: Hu, Mu, Rt
Applications: ICC/IF, IHC,  IHC-P, IP, KD, WB
NBP1-89559
Species: Hu
Applications: IHC,  IHC-P, WB
NBP3-05078
Species: Hu, Mu, Rt
Applications: ICC/IF, IHC,  IHC-P, WB
NBP1-87069
Species: Hu, Mu, Rt
Applications: ICC/IF, IHC,  IHC-P, KD, Simple Western, WB
NB120-13888
Species: Hu, Mu, Rt
Applications: ChIP, ChIP, CyTOF-ready, Flow, ICC/IF, IHC-WhMt, IHC, IHC-Fr,  IHC-P, KD, KO, WB
NBP1-26612
Species: Hu
Applications: IP (-), WB
NBP2-45978
Species: Hu
Applications: Flow, IHC,  IHC-P, WB
AF7094
Species: Hu
Applications: IHC
NBP3-14080
Species: Hu
Applications: IHC

Publications for Isocitrate Dehydrogenase 1/IDH1 Antibody (NBP3-14080) (0)

There are no publications for Isocitrate Dehydrogenase 1/IDH1 Antibody (NBP3-14080).
By submitting your publication information earn gift cards and discounts for future purchases.

Reviews for Isocitrate Dehydrogenase 1/IDH1 Antibody (NBP3-14080) (0)

There are no reviews for Isocitrate Dehydrogenase 1/IDH1 Antibody (NBP3-14080). By submitting a review you will receive an Amazon e-Gift Card or Novus Product Discount.
  • Review with no image -- $10/€7/£6/$10 CAD/¥70 Yuan/¥1110 Yen
  • Review with an image -- $25/€18/£15/$25 CAD/¥150 Yuan/¥2500 Yen

Product General Protocols

Find general support by application which include: protocols, troubleshooting, illustrated assays, videos and webinars.

FAQs for Isocitrate Dehydrogenase 1/IDH1 Antibody (NBP3-14080) (0)

There are no specific FAQs related to this product. Read our general customer & technical service FAQs.

Secondary Antibodies

 

Isotype Controls

Additional Isocitrate Dehydrogenase 1/IDH1 Products

Research Areas for Isocitrate Dehydrogenase 1/IDH1 Antibody (NBP3-14080)

Find related products by research area.

Blogs on Isocitrate Dehydrogenase 1/IDH1

There are no specific blogs for Isocitrate Dehydrogenase 1/IDH1, but you can read our latest blog posts.

Customers Who Bought This Also Bought

Contact Information

Product PDFs

Calculators

Concentration Calculator

The concentration calculator allows you to quickly calculate the volume, mass or concentration of your vial. Simply enter your mass, volume, or concentration values for your reagent and the calculator will determine the rest.

=
÷

Review this Product

Be the first to review our Isocitrate Dehydrogenase 1/IDH1 Antibody (IDH1/6806R) - Azide and BSA Free and receive a gift card or discount.

Bioinformatics

Gene Symbol IDH1