HO-1/HMOX1/HSP32 Antibody (CL11661) - Azide and BSA Free

Images

 
Orthogonal Strategies: Analysis in human spleen and skeletal muscle tissues using NBP3-44138 antibody. Corresponding HO-1/HMOX1/HSP32 RNA-seq data are presented for the same tissues.
Staining of human fallopian tube shows no positivity in glandular cells as expected.
Staining of human skeletal muscle shows no positivity in myocytes as expected.
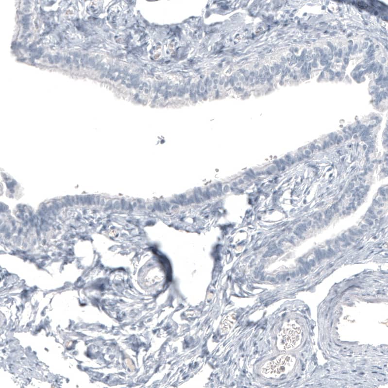
Staining of human prostate shows no positivity in glandular cells as expected.
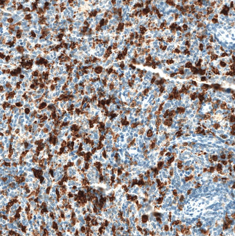
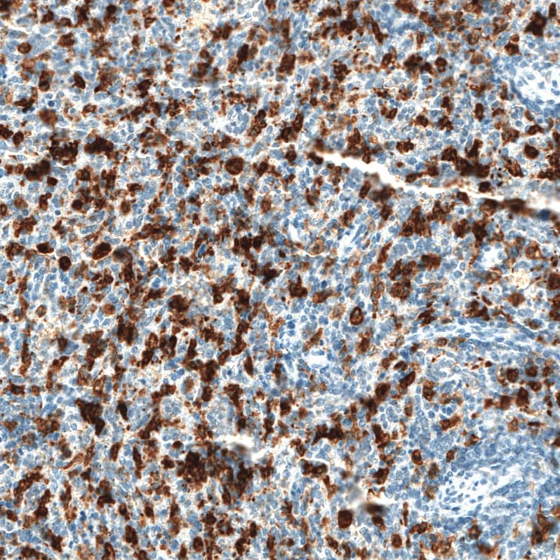
Staining of human spleen shows strong granular cytoplasmic positivity in cells in red pulp.

Product Details

Summary
Reactivity HuSpecies Glossary
Applications IHC
Clone
CL11661
Clonality
Monoclonal
Host
Mouse
Conjugate
Unconjugated
Format
Azide and BSA Free
Concentration
LYOPH
Validated by:
       

Orthogonal Strategies

 

Order Details

HO-1/HMOX1/HSP32 Antibody (CL11661) - Azide and BSA Free Summary

Description
Novus Biologicals Mouse HO-1/HMOX1/HSP32 Antibody (CL11661) - Azide and BSA Free (NBP3-21199) is a monoclonal antibody validated for use in IHC. All Novus Biologicals antibodies are covered by our 100% guarantee.
Immunogen
This antibody was generated using a recombinant protein sequence of P09601, with the exact immunogen sequence remaining proprietary.
Isotype
IgG1
Clonality
Monoclonal
Host
Mouse
Gene
HMOX1
Purity
Protein A purified
Innovator's Reward
Test in a species/application not listed above to receive a full credit towards a future purchase.

Applications/Dilutions

Dilutions
  • Immunohistochemistry-Paraffin 1:500-1:1000
Application Notes
For IHC-Paraffin, HIER pH 6 retrieval is recommended.

Packaging, Storage & Formulations

Storage
Store at 4C short term. Aliquot and store at -20C long term. Avoid freeze-thaw cycles.
Buffer
Lyophilized from a 0.2 um filtered solution in PBS with Trehalose
Preservative
No Preservative
Concentration
LYOPH
Purity
Protein A purified
Reconstitution Instructions
Centrifuge the vial of lyophilized antibody at 12,000 x g for 20 seconds. Reconstitute by adding sterile, distilled water to achieve a final antibody concentration of 1mg/ml.

Alternate Names for HO-1/HMOX1/HSP32 Antibody (CL11661) - Azide and BSA Free

  • bK286B10
  • EC 1.14.99.3
  • heat shock protein, 32-kD
  • heme oxygenase (decycling) 1
  • HMOX1
  • HO
  • HO1
  • HO-1
  • HO-1heme oxygenase 1
  • HSP32

Background

Stressed mammalian cells up-regulate heme oxygenase 1 (HO-1), which catabolizes heme to biliverdin, carbon monoxide, and free iron. Results provide genetic evidence that up-regulation of HO-1 serves as an adaptive mechanism to protect cells from oxidative damage during stress (1). When cells are injured they release their contents, resulting in a local accumulation of free heme proteins and heme. HO-1 plays a crucial role in the inflammatory process during wound healing (2). TNFalpha accelerates inflammatory responses by down-regulating HO-1 expression in human monocytes. TNF antagonists may block this TNF-dependent suppression of HO-1 expression, resulting in an amelioration of inflammation (3).

Limitations

This product is for research use only and is not approved for use in humans or in clinical diagnosis. Primary Antibodies are guaranteed for 1 year from date of receipt.

Customers Who Viewed This Item Also Viewed...

NBP1-32822
Species: Al, Av, Hu, Mu, Pl, Rt, Ze
Applications: ChIP, Flow, ICC/IF, IHC,  IHC-P, IP, KD, Simple Western, WB
NB300-605
Species: Hu, Mu, Po, Rt
Applications: Flow, IB, ICC/IF, IHC, IHC-Fr,  IHC-P, In vitro, WB
NBP2-01407
Species: Hu, Mu, Rt
Applications: Flow, IHC,  IHC-P, WB
NBP1-32105
Species: Hu, Mu, Rt
Applications: ICC/IF, IHC,  IHC-P, IP, KD, WB
NBP2-47415
Species: Hu
Applications: ICC/IF, IHC,  IHC-P, WB
M6000B
Species: Mu
Applications: ELISA
AF1230
Species: Hu, Mu, Rt
Applications: IHC, KO, WB
NBP2-67471
Species: Hu, Mu, Rt
Applications: ICC/IF, IHC,  IHC-P, WB
AF3398
Species: Hu, Mu, Rt
Applications: ICC, KO, Simple Western, WB
DY417
Species: Mu
Applications: ELISA
DVE00
Species: Hu
Applications: ELISA
NB100-689
Species: Hu, Rt
Applications: IHC, IHC-Fr,  IHC-P, Simple Western, WB
NB100-858
Species: Gp, Hu, Mu, Rt
Applications: Flow, ICC/IF, IHC-WhMt, IHC, IHC-Fr,  IHC-P, PEP-ELISA, WB
NBP1-76917
Species: Hu, Mu, Rt
Applications: ELISA, ICC/IF, IHC,  IHC-P, WB
NB300-500
Species: Am, Bv, Ca, Dr, Hu, Mu, Po, Rt, Sh
Applications: IHC, IHC-Fr,  IHC-P, WB
NB100-56583
Species: Hu, Rb, Rt
Applications: Flow, IHC,  IHC-P, KO, Simple Western, WB
AF887
Species: Hu, Mu, Rt
Applications: CyTOF-ready, IHC, ICFlow, Simple Western, WB
NBP3-44138
Species: Hu
Applications: IHC

Publications for HO-1/HMOX1/HSP32 Antibody (NBP3-44138) (0)

There are no publications for HO-1/HMOX1/HSP32 Antibody (NBP3-44138).
By submitting your publication information earn gift cards and discounts for future purchases.

Reviews for HO-1/HMOX1/HSP32 Antibody (NBP3-44138) (0)

There are no reviews for HO-1/HMOX1/HSP32 Antibody (NBP3-44138). By submitting a review you will receive an Amazon e-Gift Card or Novus Product Discount.
  • Review with no image -- $10/€7/£6/$10 CAD/¥70 Yuan/¥1110 Yen
  • Review with an image -- $25/€18/£15/$25 CAD/¥150 Yuan/¥2500 Yen

Product General Protocols

Find general support by application which include: protocols, troubleshooting, illustrated assays, videos and webinars.

FAQs for HO-1/HMOX1/HSP32 Antibody (NBP3-44138) (0)

There are no specific FAQs related to this product. Read our general customer & technical service FAQs.

Customers Who Bought This Also Bought

Contact Information

Product PDFs

Calculators

Concentration Calculator

The concentration calculator allows you to quickly calculate the volume, mass or concentration of your vial. Simply enter your mass, volume, or concentration values for your reagent and the calculator will determine the rest.

=
÷

Review this Product

Be the first to review our HO-1/HMOX1/HSP32 Antibody (CL11661) - Azide and BSA Free and receive a gift card or discount.

Bioinformatics

Gene Symbol HMOX1