HMG-CoA Reductase/HMGCR Antibody (CL0260) - Azide and BSA Free

Images

 
Orthogonal Strategies: Analysis in human liver and skeletal muscle tissues using NBP3-43933 antibody. Corresponding HMG-CoA Reductase/HMGCR RNA-seq data are presented for the same tissues.
Staining of human breast cancer shows moderate to strong cytoplasmic positivity in tumor cells.
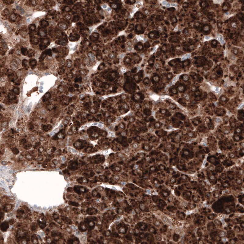
Staining of human liver cancer shows strong cytoplasmic positivity in tumor cells.
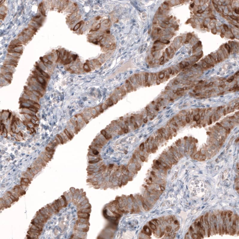
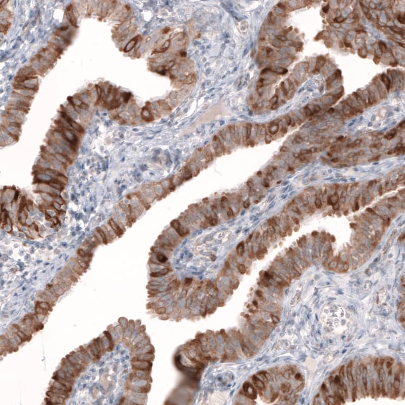
Staining of human fallopian tube shows moderate to strong cytoplasmic positivity in glandular cells.
Staining of human liver shows moderate cytoplasmic positivity in hepatocytes.
Staining of human skeletal muscle shows no positivity in myocytes as expected.
Genetic Strategies: Analysis in MCF-7 cells transfected with control siRNA, target specific siRNA probe #1 and #2, using Anti-HMG-CoA Reductase/HMGCR antibody. Remaining relative intensity is presented. Loading ...read more

Product Details

Summary
Reactivity HuSpecies Glossary
Applications WB, IHC
Clone
CL0260
Clonality
Monoclonal
Host
Mouse
Conjugate
Unconjugated
Format
Azide and BSA Free
Concentration
LYOPH

Order Details

HMG-CoA Reductase/HMGCR Antibody (CL0260) - Azide and BSA Free Summary

Description
Novus Biologicals Mouse HMG-CoA Reductase/HMGCR Antibody (CL0260) - Azide and BSA Free (NBP2-61617) is a monoclonal antibody validated for use in IHC and WB. All Novus Biologicals antibodies are covered by our 100% guarantee.
Immunogen
This antibody was generated using a recombinant protein sequence of P04035, with the exact immunogen sequence remaining proprietary.
Isotype
IgG1
Clonality
Monoclonal
Host
Mouse
Gene
HMGCR
Purity
Protein A purified
Innovator's Reward
Test in a species/application not listed above to receive a full credit towards a future purchase.

Applications/Dilutions

Dilutions
  • Immunohistochemistry-Paraffin 1:20 - 1:50
  • Western Blot 1 ug/ml
Application Notes
IHC-Paraffin HIER pH6 retrieval is recommended.

Packaging, Storage & Formulations

Storage
Store at 4C short term. Aliquot and store at -20C long term. Avoid freeze-thaw cycles.
Buffer
Lyophilized from a 0.2 um filtered solution in PBS with Trehalose
Preservative
No Preservative
Concentration
LYOPH
Purity
Protein A purified
Reconstitution Instructions
Centrifuge the vial of lyophilized antibody at 12,000 x g for 20 seconds. Reconstitute by adding sterile, distilled water to achieve a final antibody concentration of 1mg/ml.

Alternate Names for HMG-CoA Reductase/HMGCR Antibody (CL0260) - Azide and BSA Free

  • 3-hydroxy-3-methylglutaryl CoA reductase (NADPH)
  • 3-hydroxy-3-methylglutaryl-CoA reductase
  • 3-hydroxy-3-methylglutaryl-Coenzyme A reductase
  • EC 1.1.1
  • EC 1.1.1.34
  • HMG-CoA Reductase
  • HMGCR
  • Hydroxymethylglutaryl-CoA Reductase
  • LDLCQ3

Background

HMG-CoA reductase is the rate-limiting enzyme for cholesterol synthesis and is regulated via a negative feedback mechanism mediated by sterols and non-sterol metabolites derived from mevalonate, the product of the reaction catalyzed by reductase. Normally in mammalian cells this enzyme is suppressed by cholesterol derived from the internalization and degradation of low density lipoprotein (LDL) via the LDL receptor. Competitive inhibitors of the reductase induce the expression of LDL receptors in the liver, which in turn increases the catabolism of plasma LDL and lowers the plasma concentration of cholesterol, an important determinant of atherosclerosis. Alternatively spliced transcript variants encoding different isoforms have been found for this gene. [provided by RefSeq]

Limitations

This product is for research use only and is not approved for use in humans or in clinical diagnosis. Primary Antibodies are guaranteed for 1 year from date of receipt.

Customers Who Viewed This Item Also Viewed...

AF2255
Species: Mu
Applications: Block, CyTOF-ready, Flow, IHC, WB
MAB9120
Species: Hu
Applications: ICC
NBP1-89284
Species: Hu, Po
Applications: ICC/IF, IHC,  IHC-P, KD, WB
MAB1417
Species: Bv, Hu, Mu
Applications: ICC, IHC
NBP1-85691
Species: Hu
Applications: IHC,  IHC-P, Simple Western, WB
NB400-141
Species: Ha, Hu, Mu
Applications: ICC/IF, IP, WB
NBP1-54446
Species: Ch, Hu
Applications: ELISA, GS, ICC/IF, IP, WB
NBP2-37502
Species: Hu
Applications: CyTOF-ready, ELISA, Flow, ICC/IF, IHC,  IHC-P, WB
NBP2-16463
Species: Hu, Mu, Rt
Applications: ICC/IF, IHC,  IHC-P, Simple Western, WB
NB600-582
Species: Ca, Ch, SyHa, Ha, Hu, Pm, Mu, Rt
Applications: IHC-Fr, KO, Simple Western, WB
NB300-500
Species: Am, Bv, Ca, Dr, Hu, Mu, Po, Rt, Sh
Applications: IHC, IHC-Fr,  IHC-P, WB
NBP2-25160
Species: Bv, Ca, Eq, Hu, Mu, Po, Rt
Applications: ICC/IF, IHC, WB
NBP1-58359
Species: Hu
Applications: IHC,  IHC-P, WB
NBP1-81838
Species: Hu, Mu
Applications: IHC,  IHC-P, WB
NB400-114
Species: Ch, Fe, Ha, Hu, Mu, Pl, Po, Pm, Rt
Applications: ICC/IF, IHC,  IHC-P, IP, KD, WB
NBP2-34294
Species: Hu, Mu, Rt
Applications: Flow, IHC,  IHC-P
NBP2-01170
Species: Hu, Pm, Mu, Pm, Rt
Applications: ICC/IF, IHC,  IHC-P, WB
AF1513
Species: Mu
Applications: CyTOF-ready, Flow, IHC, IP, Simple Western, WB
NBP3-43933
Species: Hu
Applications: WB, IHC

Publications for HMG-CoA Reductase/HMGCR Antibody (NBP3-43933) (0)

There are no publications for HMG-CoA Reductase/HMGCR Antibody (NBP3-43933).
By submitting your publication information earn gift cards and discounts for future purchases.

Reviews for HMG-CoA Reductase/HMGCR Antibody (NBP3-43933) (0)

There are no reviews for HMG-CoA Reductase/HMGCR Antibody (NBP3-43933). By submitting a review you will receive an Amazon e-Gift Card or Novus Product Discount.
  • Review with no image -- $10/€7/£6/$10 CAD/¥70 Yuan/¥1110 Yen
  • Review with an image -- $25/€18/£15/$25 CAD/¥150 Yuan/¥2500 Yen

Product General Protocols

Find general support by application which include: protocols, troubleshooting, illustrated assays, videos and webinars.

Video Protocols

WB Video Protocol

FAQs for HMG-CoA Reductase/HMGCR Antibody (NBP3-43933) (0)

There are no specific FAQs related to this product. Read our general customer & technical service FAQs.

Secondary Antibodies

 

Isotype Controls

Additional HMG-CoA Reductase/HMGCR Products

Research Areas for HMG-CoA Reductase/HMGCR Antibody (NBP3-43933)

Find related products by research area.

Blogs on HMG-CoA Reductase/HMGCR

There are no specific blogs for HMG-CoA Reductase/HMGCR, but you can read our latest blog posts.

Customers Who Bought This Also Bought

Contact Information

Product PDFs

Calculators

Concentration Calculator

The concentration calculator allows you to quickly calculate the volume, mass or concentration of your vial. Simply enter your mass, volume, or concentration values for your reagent and the calculator will determine the rest.

=
÷

Review this Product

Be the first to review our HMG-CoA Reductase/HMGCR Antibody (CL0260) - Azide and BSA Free and receive a gift card or discount.

Bioinformatics

Gene Symbol HMGCR