GFAP Antibody (rGFAP/9150) - Azide and BSA Free

Images

 
Immunohistochemistry-Paraffin: GFAP Antibody (rGFAP/9150) - Azide and BSA Free [NBP3-24050] - Formalin-fixed, paraffin-embedded human brain stained with GFAP Antibody (rGFAP/9150). Inset: PBS instead of primary ...read more
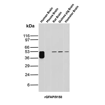
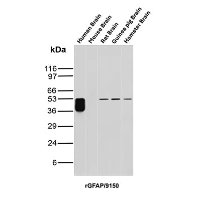
Western Blot Analysis of Human Brain, Mouse Brain, Rat Brain, Guinea Pig Brain and Hamster Brain tissue lysates using GFAP Antibody (rGFAP/9150) - Azide and BSA Free.

Product Details

Summary
Reactivity HuSpecies Glossary
Applications IHC
Clone
rGFAP/9150
Clonality
Monoclonal
Host
Mouse
Conjugate
Unconjugated
Format
Azide and BSA Free
Concentration
1 mg/ml

Order Details

GFAP Antibody (rGFAP/9150) - Azide and BSA Free Summary

Description
Antibody without azide - store at -20 to -80C.
Additional Information
Recombinant Monoclonal Antibody
Immunogen
Recombinant fragment (around aa100-300) of human GFAP protein (exact sequence is proprietary)
Localization
Cytoplasm
Marker
Astrocyte & Neural Stem Cell Marker
Specificity
This monoclonal antibody recognizes a protein of ~50kDa which is identified as Glial Fibrillary Acidic Protein (GFAP). It shows no cross-reaction with other intermediate filament proteins.
Isotype
IgG2b Kappa
Clonality
Monoclonal
Host
Mouse
Gene
GFAP
Purity
Protein A or G purified
Innovator's Reward
Test in a species/application not listed above to receive a full credit towards a future purchase.

Applications/Dilutions

Dilutions
  • Immunohistochemistry-Paraffin 0.25-2ug/ml
Application Notes
Immunohistochemistry-Paraffin: 0.25-2ug/ml for 30 minutes at RT. Staining of formalin-fixed tissues requires heating tissue sections in 10mM Tris with 1mM EDTA, pH 9.0, for 45 min at 95C followed by cooling at RT for 20 minutes. Optimal dilution for a specific application should be determined.

Packaging, Storage & Formulations

Storage
Store at -20 to -80C. Avoid freeze-thaw cycles.
Buffer
10mM PBS
Preservative
No Preservative
Concentration
1 mg/ml
Purity
Protein A or G purified

Alternate Names for GFAP Antibody (rGFAP/9150) - Azide and BSA Free

  • ALXDRD
  • FLJ45472
  • GFAP astrocytes
  • GFAP
  • glial fibrillary acidic protein

Background

Glial fibrillary acidic protein (GFAP) is a class III intermediate filament protein that is largely expressed in astrocytes in addition to non-myelinating Schwann cells and glial cells (1,2). Other members of the type III intermediate filament family include desmin, peripherin, and vimentin (2-4). GFAP was first identified in the brains of multiple sclerosis patients (2). Human GFAP protein is 432 amino acids in length with a theoretical molecular weight of ~50 kDa (1,3). GFAP has at least 10 known isoforms, with the most prevalent and common in the brain being GFAP-alpha which is made of a head domain, a rod domain with four coils (1A, 1B, 2A, 2B) joined by linker regions, and a tail domain (1). GFAP is a marker of mature astrocytes, but is also expressed throughout development in both fetal and adult neural stem cells (2). While the exact function of GFAP is still elusive, it has been shown to play a role in cellular processes such as migration, mitosis, structural integrity, and signaling (2).

An increase in GFAP levels is often associated with neuroinflammation which results in the activation and proliferation of astroglia cell population (1,2). GFAP expression is also observed in brains of patients with neurodegenerative diseases including Alzheimer's and Parkinson's, epilepsy disorders, and brain injuries (1-4). Lesion sites associated with neurodegeneration can exhibit an array of gliosis characteristics from glial scarring with reduced astrocyte proliferation to activated, GFAP-positive astrocytes surrounding amyloid plaques (2). Furthermore, the GFAP gene is a target of single nucleotide polymorphisms in the coding region, considered a gain-of-function mutation, characterized by astrocytic inclusions, termed Rosenthal fibers, resulting in Alexander Disease (1-4). GFAP is also a center of many post-translational modifications, such as phosphorylation, which can alter various aspects of filament assembly (1,4).

References

1. Yang, Z., & Wang, K. K. (2015). Glial fibrillary acidic protein: from intermediate filament assembly and gliosis to neurobiomarker. Trends in Neurosciences. https://doi.org/10.1016/j.tins.2015.04.003

2. Hol, E. M., & Capetanaki, Y. (2017). Type III Intermediate Filaments Desmin, Glial Fibrillary Acidic Protein (GFAP), Vimentin, and Peripherin. Cold Spring Harbor Perspectives in Biology. https://doi.org/10.1101/cshperspect.a021642

3. Potokar, M., Morita, M., Wiche, G., & Jorgacevski, J. (2020). The Diversity of Intermediate Filaments in Astrocytes. Cells. https://doi.org/10.3390/cells9071604

4. Viedma-Poyatos, a., Pajares, M. A., & Perez-Sala, D. (2020). Type III intermediate filaments as targets and effectors of electrophiles and oxidants. Redox Biology. https://doi.org/10.1016/j.redox.2020.101582

Limitations

This product is for research use only and is not approved for use in humans or in clinical diagnosis. Primary Antibodies are guaranteed for 1 year from date of receipt.

Customers Who Viewed This Item Also Viewed...

NB300-223
Species: Bv, Ca, Ch, Eq, Hu, Mu, Po, Rt
Applications: ICC/IF, IHC, IHC-Fr,  IHC-P, WB
NB110-58870
Species: Hu, Mu, Rt
Applications: ICC/IF, IHC, KD, Simple Western, WB
NB110-41404
Species: Bv, Hu, Mu, Rt
Applications: ICC/IF, IHC, WB
MAB1259
Species: Hu
Applications: CyTOF-reported, ICC, ICFlow
NB600-717
Species: Bv
Applications: ELISA, ICC/IF, IHC, IHC-Fr,  IHC-P, RIA, RI, WB
AF3844
Species: Hu, Mu
Applications: IHC
NBP1-87102
Species: Hu, Mu, Rt
Applications: ICC/IF, IHC,  IHC-P, WB
NB300-653
Species: Ch, Fe, Hu, Pm, Mu, Rt
Applications: ELISA, ICC/IF, IHC, IHC-Fr,  IHC-P, IP, WB
NB300-213
Species: Fe, Hu, Mu, Rt
Applications: ICC/IF, IHC, IHC-Fr,  IHC-P, KD, WB
233-FB
Species: Hu
Applications: BA
NB300-109
Species: Ch, Dr, Hu, I, Ma, Mu, Rt
Applications: Dual ISH-IHC, ICC/IF, IHC-FrFl, IHC-WhMt, IHC, IHC-Fr,  IHC-P, KO, Simple Western, WB
H00002023-M01
Species: Fe, Hu
Applications: ELISA, Flow, Func, ICC/IF, IHC,  IHC-P, IP, WB
M6000B
Species: Mu
Applications: ELISA
DBD00
Species: Hu
Applications: ELISA
NBP1-87103
Species: Hu, Mu
Applications: IHC,  IHC-P, WB
NBP1-88191
Species: Hu, Mu
Applications: IHC,  IHC-P, WB
AF2307
Species: Hu
Applications: ELISA(Cap), ELISA(Det), ELISA(Sta), WB

Publications for GFAP Antibody (NBP3-24050) (0)

There are no publications for GFAP Antibody (NBP3-24050).
By submitting your publication information earn gift cards and discounts for future purchases.

Reviews for GFAP Antibody (NBP3-24050) (0)

There are no reviews for GFAP Antibody (NBP3-24050). By submitting a review you will receive an Amazon e-Gift Card or Novus Product Discount.
  • Review with no image -- $10/€7/£6/$10 CAD/¥70 Yuan/¥1110 Yen
  • Review with an image -- $25/€18/£15/$25 CAD/¥150 Yuan/¥2500 Yen

Product General Protocols

Find general support by application which include: protocols, troubleshooting, illustrated assays, videos and webinars.

FAQs for GFAP Antibody (NBP3-24050) (0)

There are no specific FAQs related to this product. Read our general customer & technical service FAQs.

Secondary Antibodies

 

Isotype Controls

Additional GFAP Products

Research Areas for GFAP Antibody (NBP3-24050)

Find related products by research area.

Blogs on GFAP. Showing 1-10 of 14 blog posts - Show all blog posts.

Successful Transplantation of Friedreich Ataxia Induced Pluripotent Stem Cell (iPSC)-Derived Sensory Neurons in Dorsal Root Ganglia of Adult Rodents
Jamshed Arslan, Pharm D, PhD The dorsal root ganglia (DRG) are a collection of cell bodies of sensory nerves carrying sensory information – including nociception, mechanoreception and proprioception – from periphera...  Read full blog post.

Astrocytes: Diversity in type and function
By Michalina Hanzel, PhDAstrocytes are a type of macroglia found in the central nervous system that regulate a vast array of essential brain functions, ranging from synaptogenesis, ion homeostasis and maintenance of t...  Read full blog post.

Role of GFAP in astrocytes: Lessons from induced pluripotent stem cells in Alexander disease patients
By Michalina Hanzel, PhDAlexander disease is a progressive and fatal neurological disease with phenotypes ranging from myelination abnormalities, gait ataxia and megalencephaly to predisposition to seizures. It is an ...  Read full blog post.

Deriving neural precursor cells from human induced pluripotent stem cells
By Jennifer Sokolowski, MD, PhD.Human induced pluripotent stem cells (iPSCs) can be used to create models of human organ systems and are useful for a) ascertaining the mechanisms underlying pathological conditions...  Read full blog post.

Identifying tumoral and stromal transcriptomes that underlie tumor plasticity and stromal neuroinflammatory response in brain metastasis
By Jamshed Arslan, Pharm. D., PhD. Cancers in the brain often come from tumors elsewhere in the body. Several adaptive mechanisms influence brain metastasis, such as blood brain barrier leakage that can be induced by ...  Read full blog post.

Beta Tubulin III and neurogenesis
Beta tubulin III, also known as Tuj-1, is a class III member of the beta tubulin protein family. Beta tubulins are one of two structural components that form our microtubule network. While general tubulins play a role in a wide range of cellular pr...  Read full blog post.

The identification of dopaminergic neurons using Tyrosine Hydroxylase in Parkinson's research and LRRK2
Tyrosine hydroxylase (TH) is a crucial enzyme involved in the biosynthesis of dopamine, norepinephrine and epinephrine in the brain.  Specifically, TH catalyzes the conversion of l-tyrosine to l-dihydroxyphenylalanine (l-dopa).  The importance of t...  Read full blog post.

Synapsin I: Implicated in synaptic activity across a diverse range of studies
Synapsins are a family of neuronal proteins that are most renowned for their activity in modulating the pre-synaptic terminal.  Synapsin’s behavior is regulated by protein kinases and phosphatases, which alter the way that synapsin’s i...  Read full blog post.

Glial Fibrillary Acidic Protein (GFAP), The Most Popular Astrocyte Marker
GFAP, a class-III intermediate filament, is a 50kDa protein which is found in the mature and developing astrocytes in the CNS, non-myelinating Schwann cells in the PNS, enteric glial cells (enteric nervous system/ENS), ependymal cells, and radial g...  Read full blog post.

Nestin: Investigating the Link Between New Brain Cells and Depression
Clinical depression (also known as major depressive disorder or MDD) affects many people, but the biological processes that cause it (and are influenced by its treatments) are not well understood. Adult neurogenesis is a newly emerging field that coul...  Read full blog post.

Showing 1-10 of 14 blog posts - Show all blog posts.

Customers Who Bought This Also Bought

Contact Information

Product PDFs

Calculators

Concentration Calculator

The concentration calculator allows you to quickly calculate the volume, mass or concentration of your vial. Simply enter your mass, volume, or concentration values for your reagent and the calculator will determine the rest.

=
÷

Review this Product

Be the first to review our GFAP Antibody (rGFAP/9150) - Azide and BSA Free and receive a gift card or discount.

Bioinformatics

Gene Symbol GFAP