ESRP2 Antibody - BSA Free

Images

 
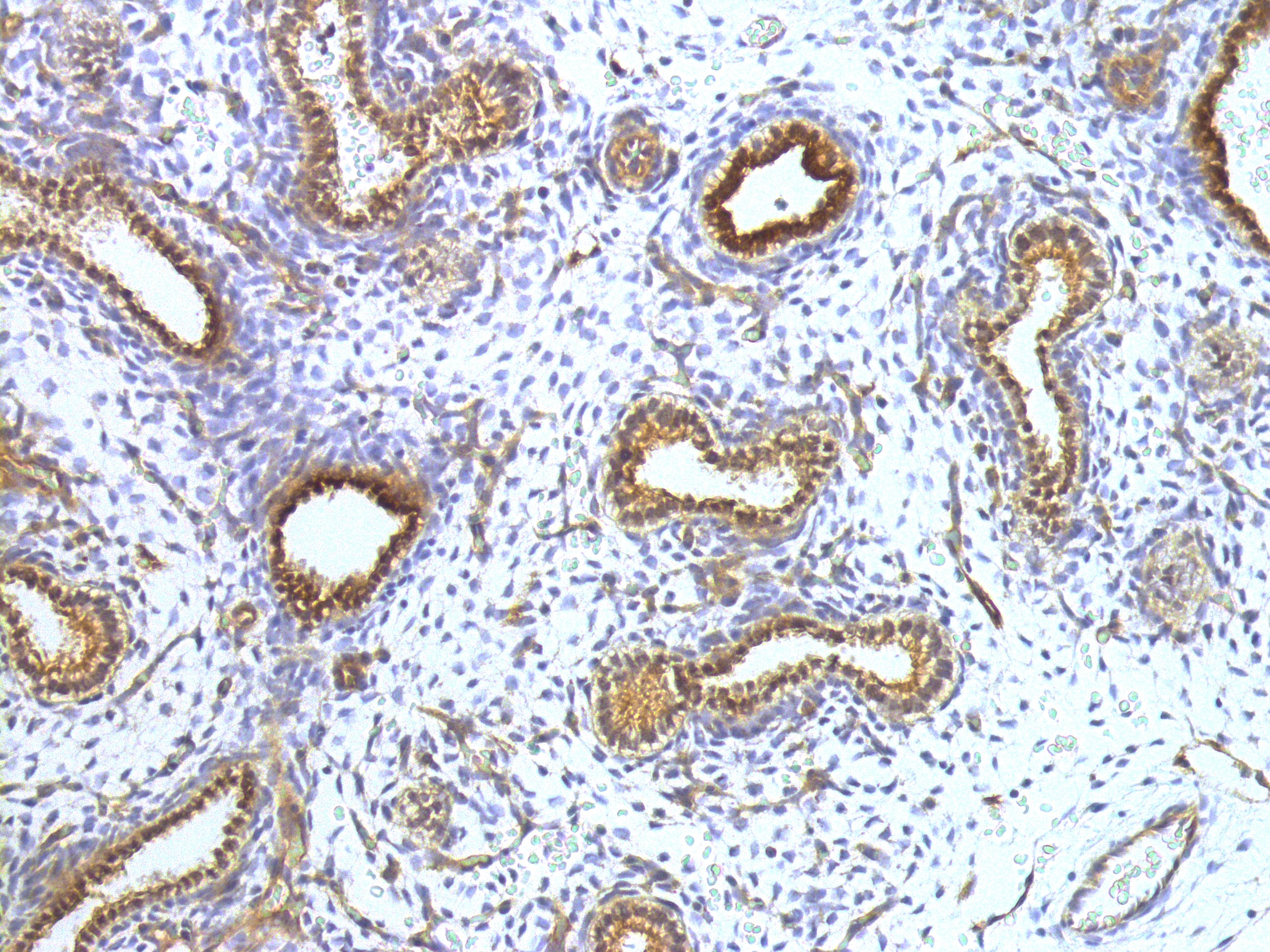
Immunohistochemistry-Paraffin: ESRP2 Antibody [NBP2-13972] - Formalin fixed, paraffin embedded fetal lung tissue section. The section was pre-treated by heat mediated antigen retrieval with sodium citrate buffer (pH6) ...read more
Immunohistochemistry-Paraffin: ESRP2 Antibody [NBP2-13972] - Staining of human stomach, upper shows moderate granular cytoplasmic positivity in glandular cells.

Product Details

Summary
Reactivity Hu, ZeSpecies Glossary
Applications WB, IHC, IP
Clonality
Polyclonal
Host
Rabbit
Conjugate
Unconjugated
Format
BSA Free

Order Details

View Available Formulations
Catalog# & Formulation Size Price

ESRP2 Antibody - BSA Free Summary

Description
Novus Biologicals Rabbit ESRP2 Antibody - BSA Free (NBP2-13972) is a polyclonal antibody validated for use in IHC, WB and IP. Anti-ESRP2 Antibody: Cited in 4 publications. All Novus Biologicals antibodies are covered by our 100% guarantee.
Immunogen
This antibody was developed against a recombinant protein corresponding to the amino acids: EFHMQHPSTCPARDLTVATMAQGLGLETDATEDDFGVWEVKTMVAVILHLLKEPSSQLFSKPEVIKQKYETGPCSKADVVDSETVV
Isotype
IgG
Clonality
Polyclonal
Host
Rabbit
Gene
ESRP2
Purity
Affinity purified
Innovator's Reward
Test in a species/application not listed above to receive a full credit towards a future purchase.

Applications/Dilutions

Dilutions
  • Immunohistochemistry 1:200 - 1:500
  • Immunohistochemistry-Paraffin 1:200 - 1:500
  • Immunoprecipitation
  • Western Blot 0.04-0.4 ug/ml
Application Notes
For IHC-Paraffin, HIER pH 6 retrieval is recommended. IP, WB reported in scientific literature (PMID: 29180615). ESRP2 antibody validated for IHC-P from a verified customer review.
Control Peptide
ESRP2 Protein (NBP2-13972PEP)
Reviewed Applications
Read 1 Review rated 4
using
NBP2-13972 in the following applications:

Publications
Read Publications using
NBP2-13972 in the following applications:

  • 1 publication
  • IP
    1 publication
  • WB
    3 publications

Reactivity Notes

Immunogen displays the following percentage of sequence identity for non-tested species: Mouse (88%), Rat (87%). Human reactivity reported in scientific literature (PMID: 26522722). Zebrafish reactivity reported in scientific literature (PMID: 29180615).

Packaging, Storage & Formulations

Storage
Store at 4C short term. Aliquot and store at -20C long term. Avoid freeze-thaw cycles.
Buffer
PBS (pH 7.2) and 40% Glycerol
Preservative
0.02% Sodium Azide
Purity
Affinity purified

Alternate Names for ESRP2 Antibody - BSA Free

  • epithelial splicing regulatory protein 2
  • FLJ21918
  • FLJ22248
  • RBM35BRNA-binding protein 35B
  • RNA binding motif protein 35A
  • RNA binding motif protein 35B
  • RNA-binding motif protein 35B

Background

ESPR2 is an epithelial cell-type-specific splicing regulator (Warzecha et al., 2009 (PubMed 19285943)).(supplied byOMIM)

Limitations

This product is for research use only and is not approved for use in humans or in clinical diagnosis. Primary Antibodies are guaranteed for 1 year from date of receipt.

Customers Who Viewed This Item Also Viewed...

NBP1-82202
Species: Hu
Applications: IHC,  IHC-P, WB
NB100-807
Species: Hu
Applications: ICC/IF, PEP-ELISA, WB
NBP1-83976
Species: Hu
Applications: ICC/IF, IHC,  IHC-P
H00002263-M01
Species: Bv, Hu
Applications: ELISA, ICC/IF, IHC,  IHC-P, S-ELISA, WB
NBP1-88790
Species: Hu, Mu, Rt
Applications: ICC/IF, IHC,  IHC-P, WB
NB100-79848
Species: Hu
Applications: IHC,  IHC-P, IP, WB
NBP2-45646
Species: Ca, Hu, Mu, Rt
Applications: IHC,  IHC-P, WB
NBP2-47291
Species: Hu
Applications: ICC/IF, IHC,  IHC-P, KD, WB
NBP1-05987
Species: Hu, Mu, Rt
Applications: ChIP, GS, ICC/IF, IHC,  IHC-P, IP, KD, MiAr, Simple Western, Single-Cell Western, WB
NBP1-87914
Species: Hu, Mu, Rt
Applications: ICC/IF, IHC,  IHC-P, WB
NB100-385
Species: Hu, Mu
Applications: ICC/IF, IHC,  IHC-P, IP, Simple Western, WB
NBP2-36776
Species: Hu
Applications: ICC/IF, IHC,  IHC-P, KD, WB
NBP2-38806
Species: Hu
Applications: ICC/IF, IHC,  IHC-P, WB
NBP1-82991
Species: Hu, Mu
Applications: ChIP-EXO-SEQ, Flow, ICC/IF, IHC,  IHC-P, KD, WB
NBP2-45831
Species: Hu, Mu, Rt
Applications: IHC,  IHC-P, WB
BBA10
Species: Hu
Applications: CyTOF-ready, Flow, IHC, IP, KO, Simple Western, WB
NBP2-45646
Species: Ca, Hu, Mu, Rt
Applications: IHC,  IHC-P, WB
NBP2-62651
Species: Hu
Applications: IHC,  IHC-P, WB
NBP2-37364
Species: Hu, Mu
Applications: CyTOF-ready, ELISA, Flow-IC, Flow, ICC/IF, IHC,  IHC-P, KD, WB
NBP1-56852
Species: Hu
Applications: IHC,  IHC-P, WB

Publications for ESRP2 Antibody (NBP2-13972)(4)

Review for ESRP2 Antibody (NBP2-13972) (1) 41

Average Rating: 4
(Based on 1 review)
We have 1 review tested in 1 species: Human.

Reviews using NBP2-13972:
Filter by Applications
 IHC-P
(1)
All Applications
Filter by Species
Human
(1)
All Species
Images Ratings Applications Species Date Details
Immunohistochemistry-Paraffin ESRP2 NBP2-13972
Enlarge
4
reviewed by:
Mei Deng
 IHC-P Human 02/24/2017
View

Summary

ApplicationImmunohistochemistry-Paraffin
Sample TestedEmbryonic lung
SpeciesHuman
Lotn/a

Comments

Commentsgood immunoperoxidase staining of IHC-P on human and mouse tissue with this antibody at a dilution 1:500. The section was pre-treated by heat mediated antigen retrieval with sodium citrate buffer (pH6).

Product General Protocols

Find general support by application which include: protocols, troubleshooting, illustrated assays, videos and webinars.

Video Protocols

WB Video Protocol

FAQs for ESRP2 Antibody (NBP2-13972) (0)

There are no specific FAQs related to this product. Read our general customer & technical service FAQs.

Customers Who Bought This Also Bought

Contact Information

Product PDFs

Calculators

Concentration Calculator

The concentration calculator allows you to quickly calculate the volume, mass or concentration of your vial. Simply enter your mass, volume, or concentration values for your reagent and the calculator will determine the rest.

=
÷

Recent Reviews

4
5
0
4
1
3
0
2
0
1
0

Mei Deng
02/24/2017
Application:  IHC-P
Species: Human

Bioinformatics

Gene Symbol ESRP2