Elastin Antibody - BSA Free

Images

 
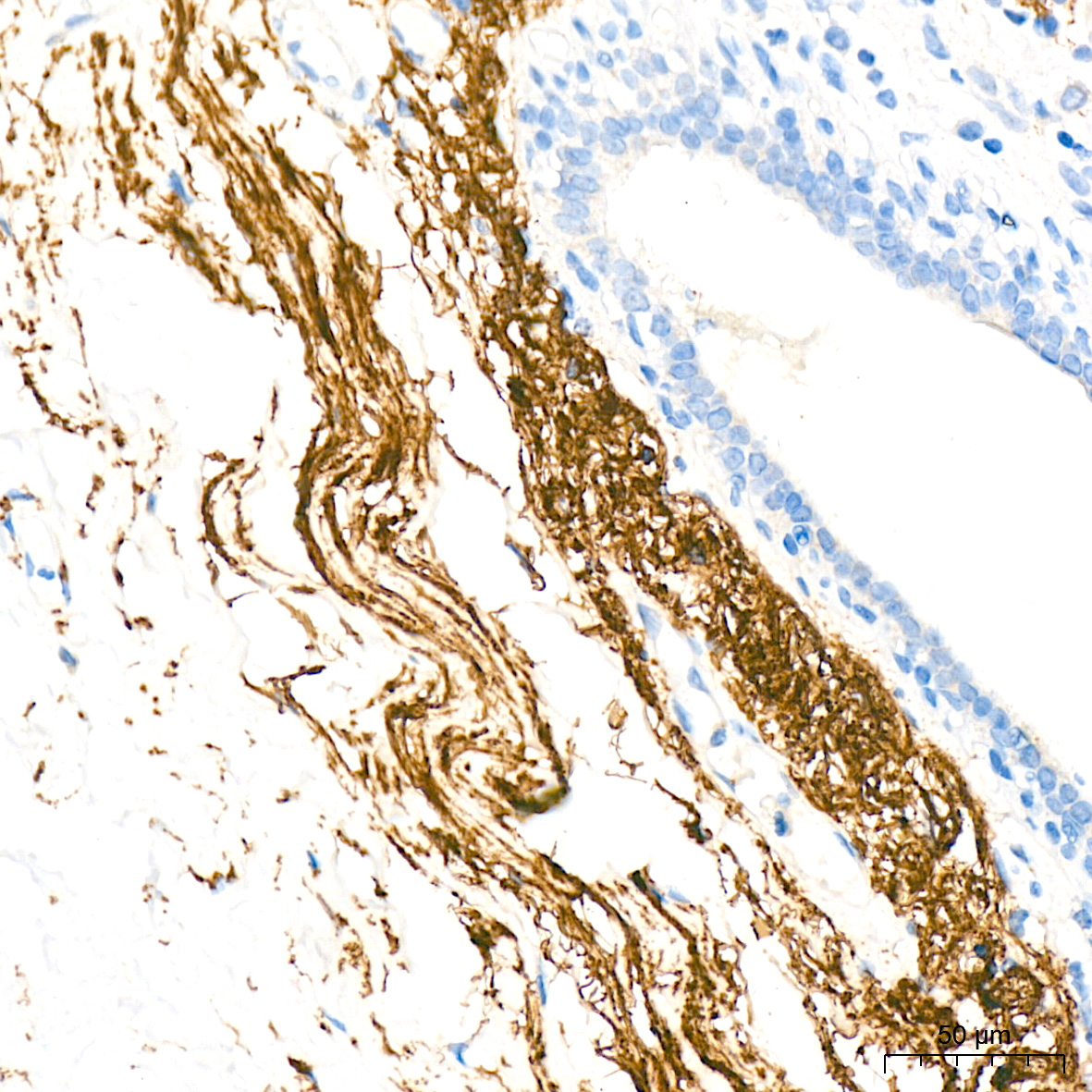
Immunohistochemistry: Elastin Antibody [NBP3-38010] - Immunohistochemistry analysis of paraffin-embedded Human esophagus tissue using Elastin Rabbit pAb at a dilution of 1:2000 (40x lens). High pressure antigen ...read more
Western Blot: Elastin Antibody [NBP3-38010] - Western blot analysis of various lysates using Elastin Rabbit pAb at 1:1000 dilution.Secondary antibody: HRP-conjugated Goat anti-Rabbit IgG (H+L) at 1:10000 ...read more
Immunohistochemistry: Elastin Antibody [NBP3-38010] - Immunohistochemistry analysis of Elastin in paraffin-embedded Human breast tissue using Elastin Rabbit pAb at a dilution of 1:2000 (40x lens). High pressure antigen ...read more
Immunohistochemistry: Elastin Antibody [NBP3-38010] - Immunohistochemistry analysis of Elastin in paraffin-embedded Human esophagus tissue using Elastin Rabbit pAb at a dilution of 1:2000 (40x lens). High pressure ...read more

Product Details

Summary
Reactivity Hu, Mu, RtSpecies Glossary
Applications WB, ELISA, ICC/IF, IHC
Clonality
Polyclonal
Host
Rabbit
Conjugate
Unconjugated
Format
BSA Free

Order Details

View Available Formulations
Catalog# & Formulation Size Price

Elastin Antibody - BSA Free Summary

Description
Novus Biologicals Rabbit Elastin Antibody - BSA Free (NBP3-38010) is a polyclonal antibody validated for use in IHC, WB, ELISA and ICC/IF. All Novus Biologicals antibodies are covered by our 100% guarantee.
Immunogen
Recombinant fusion protein containing a sequence corresponding to amino acids 27-200 of human Elastin (NP_001265868.1).

Sequence:
GGVPGAIPGGVPGGVFYPGAGLGALGGGALGPGGKPLKPVPGGLAGAGLGAGLGAFPAVTFPGALVPGGVADAAAAYKAAKAGAGLGGVPGVGGLGVSAGAVVPQPGAGVKPGKVPGVGLPGVYPGGVLPGARFPGVGVLPGVPTGAGVKPKAPGVGGAFAGIPGVGPFGGPQP
Isotype
IgG
Clonality
Polyclonal
Host
Rabbit
Gene
ELN
Purity
Affinity purified
Innovator's Reward
Test in a species/application not listed above to receive a full credit towards a future purchase.

Applications/Dilutions

Dilutions
  • ELISA Recommended starting concentration is 1 μg/mL
  • Immunocytochemistry/ Immunofluorescence 1:50 - 1:200
  • Immunohistochemistry 1:1000 - 1:5000
  • Immunohistochemistry-Paraffin 1:1000 - 1:5000
  • Western Blot 1:500 - 1:1000
Theoretical MW
68 kDa.
Disclaimer note: The observed molecular weight of the protein may vary from the listed predicted molecular weight due to post translational modifications, post translation cleavages, relative charges, and other experimental factors.

Packaging, Storage & Formulations

Storage
Store at -20C. Avoid freeze-thaw cycles.
Buffer
PBS (pH 7.3), 50% glycerol
Preservative
0.09% Sodium Azide
Purity
Affinity purified

Alternate Names for Elastin Antibody - BSA Free

  • elastin
  • FLJ38671
  • FLJ43523
  • SVAS
  • tropoelastin
  • WBS
  • WS

Background

Elastin is an important polymeric protein of connective tissue that imparts elasticity to vertebrate elastic tissues.

Limitations

This product is for research use only and is not approved for use in humans or in clinical diagnosis. Primary Antibodies are guaranteed for 1 year from date of receipt.

Customers Who Viewed This Item Also Viewed...

NB100-2527
Species: Hu, Mu, Po, Rt
Applications: ICC/IF, IHC,  IHC-P, KD, Simple Western, WB
DY4517-05
Species: Mu
Applications: ELISA
NBP1-91258
Species: Bv, Ca, Eq, Fe, Hu, Mu, Po, Rt
Applications: ICC/IF, IHC, IHC-Fr,  IHC-P, Simple Western, WB
NBP2-34294
Species: Hu, Mu, Rt
Applications: Flow, IHC,  IHC-P
MMP200
Species: Ca, Hu, Mu, Po, Rt
Applications: ELISA
DMP900
Species: Hu
Applications: ELISA
NBP1-84722
Species: Hu
Applications: ICC/IF, IHC,  IHC-P
NBP2-67344
Species: Hu, Mu, Rt
Applications: Flow, ICC/IF, IHC,  IHC-P, IP, WB
DTM100
Species: Hu
Applications: ELISA
NBP2-88921
Species: Hu
Applications: ICC/IF, IHC,  IHC-P, WB
H00004016-D01P
Species: Hu, Mu
Applications: ICC/IF, IHC, Simple Western, WB
NBP1-30027
Species: Hu, Mu, Rt
Applications: ICC/IF, IHC,  IHC-P, WB
NBP2-13075
Species: Ba, Hu, Pm, Mu, Rt
Applications: DB, ELISA, IB, ICC/IF, IHC-FrFl, IHC, IHC-Fr,  IHC-P, IP, WB
NBP2-33498
Species: Hu
Applications: ICC/IF, IHC,  IHC-P
H00008086-M02
Species: Hu, Mu, Rt
Applications: ELISA, IHC,  IHC-P, WB
NBP2-45731
Species: Ca, Hu, Pm
Applications: IHC,  IHC-P, WB

Publications for Elastin Antibody (NBP3-38010) (0)

There are no publications for Elastin Antibody (NBP3-38010).
By submitting your publication information earn gift cards and discounts for future purchases.

Reviews for Elastin Antibody (NBP3-38010) (0)

There are no reviews for Elastin Antibody (NBP3-38010). By submitting a review you will receive an Amazon e-Gift Card or Novus Product Discount.
  • Review with no image -- $10/€7/£6/$10 CAD/¥70 Yuan/¥1110 Yen
  • Review with an image -- $25/€18/£15/$25 CAD/¥150 Yuan/¥2500 Yen

Product General Protocols

Find general support by application which include: protocols, troubleshooting, illustrated assays, videos and webinars.

Video Protocols

WB Video Protocol
ICC/IF Video Protocol

FAQs for Elastin Antibody (NBP3-38010) (0)

There are no specific FAQs related to this product. Read our general customer & technical service FAQs.

Secondary Antibodies

 

Isotype Controls

Additional Elastin Products

Research Areas for Elastin Antibody (NBP3-38010)

Find related products by research area.

Blogs on Elastin

There are no specific blogs for Elastin, but you can read our latest blog posts.

Customers Who Bought This Also Bought

Contact Information

Product PDFs

Calculators

Concentration Calculator

The concentration calculator allows you to quickly calculate the volume, mass or concentration of your vial. Simply enter your mass, volume, or concentration values for your reagent and the calculator will determine the rest.

=
÷

Review this Product

Be the first to review our Elastin Antibody - BSA Free and receive a gift card or discount.

Bioinformatics

Gene Symbol ELN