CTLA-4 Antibody (rCTLA4/7219) - Azide and BSA Free

Images

 
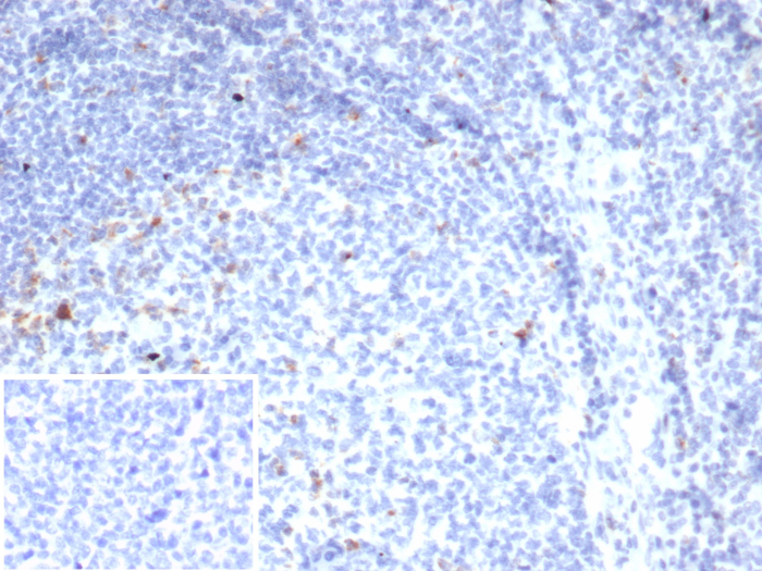
Formalin-fixed, paraffin-embedded human tonsil stained with CTLA-4 antibody (rCTLA4/7219). Inset: PBS instead of primary antibody; secondary only negative control.
Immunohistochemistry-Paraffin: Mouse CTLA-4 mAb (rCTLA4/7219) - Azide and BSA Free [NBP3-20809] - CTLA-4 was stained in human FFPE tonsil tissue. HIER antigen retrieval at pH 9 for 20min. Concentration used: 1:50. AF647 ...read more

Product Details

Summary
Reactivity HuSpecies Glossary
Applications IHC
Clone
rCTLA4/7219
Clonality
Monoclonal
Host
Mouse
Conjugate
Unconjugated
Format
Azide and BSA Free
Concentration
1 mg/ml

Order Details

CTLA-4 Antibody (rCTLA4/7219) - Azide and BSA Free Summary

Description
Positive Controls: Jurkat or Raji cells. Lymph node or tonsil.

Antibody with azide - store at 2 to 8C. Antibody without azide - store at -20 to -80C. Non-hazardous. No MSDS required.
Additional Information
Recombinant Monoclonal Antibody
Immunogen
Recombinant fragment of human CTLA-4 (exact sequence is proprietary)
Localization
Cell surface. Secreted.
Isotype
IgG1 Kappa
Clonality
Monoclonal
Host
Mouse
Gene
CTLA4
Purity
Protein A or G purified
Innovator's Reward
Test in a species/application not listed above to receive a full credit towards a future purchase.

Applications/Dilutions

Dilutions
  • Immunohistochemistry-Paraffin 1-2 ug/ml
Application Notes
Immunohistochemistry (Formalin-fixed): 1-2ug/ml for 30 minutes. at RT. Staining of formalin-fixed tissues requires heating tissue sections in 10mM Tris with 1mM EDTA, pH 9.0, for 45 min at 95C followed by cooling at RT for 20 minutes.

Optimal dilution for a specific application should be determined.

Packaging, Storage & Formulations

Storage
Store at -20 to -70C. Avoid freeze-thaw cycles.
Buffer
10mM PBS
Preservative
No Preservative
Concentration
1 mg/ml
Purity
Protein A or G purified

Alternate Names for CTLA-4 Antibody (rCTLA4/7219) - Azide and BSA Free

  • CD
  • CD152 antigen
  • CD152
  • CD152IDDM12
  • CD28
  • celiac disease 3
  • CELIAC3
  • CTLA4
  • CTLA-4
  • cytotoxic T-lymphocyte antigen 4
  • cytotoxic T-lymphocyte protein 4
  • Cytotoxic T-lymphocyte-associated antigen 4
  • cytotoxic T-lymphocyte-associated protein 4
  • cytotoxic T-lymphocyte-associated serine esterase-4
  • GRD4
  • GSE
  • ICOS
  • ligand and transmembrane spliced cytotoxic T lymphocyte associated antigen 4

Background

Cytotoxic T-Lymphocyte Antigen 4 (CTLA-4), also known as CD152, is a cell surface glycoprotein belonging to the immunoglobulin family with a role in regulation of T cell activation (1). Human CTLA-4 is a 223 amino acid (aa) protein with a theoretical molecular weight of 24.6 kDa containing a leader peptide, a IgV-like domain, a transmembrane domain, and a cytoplasmic tail (1,2). CTLA-4 is both structurally and functionally related with another member of the immunoglobulin-related receptor family, CD28 (1-3). CTLA-4 and CD28 receptors are both expressed by CD4+ and CD8+ T cells and share two common ligands, CD80 (B7.1) and CD86 (B7.2), expressed on the surface of antigen presenting cells (APCs) (2,3). While CD28 is present on the plasma membrane of T cells, CTLA-4 is predominantly expressed intracellularly on vesicles in FoxP3+ regulatory T (Treg) cells and activated T cells due to endocytosis (3). While they share ligands, the two receptors have opposing functions in T cell activation; CD28 is involved in activation of T cells, while CTLA-4 functions as a negative regulator of T cell response (2,3). One of the primary functions of CTLA-4 is preventing autoimmunity (1-4).

Similar to programmed cell death protein 1 (PD-1), CTLA-4 is an inhibitory immune checkpoint protein (3,5). Checkpoint blockade immunotherapy using drugs or antibodies to target CTLA-4 is one of the main approaches for cancer treatment (5). A number of drugs targeting CTLA-4, or a combination of CTLA-4/PD-1, have been approved for treatment of various cancers like melanoma, renal cell carcinoma, and colorectal cancer (5). While blocking CTLA-4 in the tumor microenvironment is a promising cancer therapeutic, the absence of CTLA-4 under normal conditions can have deleterious effects. Studies have found that patients with CTLA-4 deficiency or mutations have clinical features associated with autoimmunity and immune dysregulation (4). Treatment options for CTLA-4 deficiency includes immunoglobulin-replacement therapy, corticosteroids, CTLA-4-immunoglobulin (Ig) fusion protein, and, in life-threatening cases, hematopoietic stem cell transplantation (4,6). Additionally, engaging CD80/CD86 with CTLA-4-Ig is a common immunosuppressive treatment for rheumatoid arthritis and kidney transplant recipients (6).

References

1. Romo-Tena, J., Gomez-Martin, D., & Alcocer-Varela, J. (2013). CTLA-4 and autoimmunity: new insights into the dual regulator of tolerance. Autoimmunity reviews, 12(12), 1171-1176. https://doi.org/10.1016/j.autrev.2013.07.002

2. Hosseini, A., Gharibi, T., Marofi, F., Babaloo, Z., & Baradaran, B. (2020). CTLA-4: From mechanism to autoimmune therapy. International immunopharmacology, 80, 106221. https://doi.org/10.1016/j.intimp.2020.106221

3. Rowshanravan, B., Halliday, N., & Sansom, D. M. (2018). CTLA-4: a moving target in immunotherapy. Blood, 131(1), 58-67. https://doi.org/10.1182/blood-2017-06-741033

4. Verma, N., Burns, S. O., Walker, L., & Sansom, D. M. (2017). Immune deficiency and autoimmunity in patients with CTLA-4 (CD152) mutations. Clinical and experimental immunology, 190(1), 1-7. https://doi.org/10.1111/cei.12997

5. Rotte A. (2019). Combination of CTLA-4 and PD-1 blockers for treatment of cancer. Journal of experimental & clinical cancer research : CR, 38(1), 255. https://doi.org/10.1186/s13046-019-1259-z

6. Bluestone, J. A., St Clair, E. W., & Turka, L. A. (2006). CTLA4Ig: bridging the basic immunology with clinical application. Immunity, 24(3), 233-238. https://doi.org/10.1016/j.immuni.2006.03.001

Limitations

This product is for research use only and is not approved for use in humans or in clinical diagnosis. Primary Antibodies are guaranteed for 1 year from date of receipt.

Customers Who Viewed This Item Also Viewed...

MAB140
Species: Hu
Applications: CyTOF-ready, Dual ISH-IHC, ELISA(Cap), ELISA(Det), ELISA(Sta), Flow, IHC, Neut
202-IL
Species: Hu
Applications: BA
NBP2-25208
Species: Hu, Mu, Rt
Applications: Flow, ICC/IF, IHC, IHC-Fr,  IHC-P, KO, Simple Western, WB
AF1106
Species: Hu
Applications: IP, WB
H00003347-M01
Species: Hu
Applications: ELISA, ICC/IF, S-ELISA, WB
NBP1-19371
Species: Ca, Hu, Mu, Po, Rb, Rt
Applications: Dual ISH-IHC, Flow, ICC/IF, IHC, IHC-Fr,  IHC-P, Simple Western, WB
MAB342
Species: Hu
Applications: AgAct, ICC, WB
NB600-1441
Species: Ca, Hu, Mu, Po
Applications: Flow, ICC/IF, IHC, IHC-Fr,  IHC-P, KD
AF4117
Species: Rt
Applications: IHC, WB
NBP1-49045
Species: Mu, Rt
Applications: Cell Depl, CyTOF-ready, Flow, ICC/IF, IHC, IHC-Fr,  IHC-P, IP, InhibTFunc
M6000B
Species: Mu
Applications: ELISA
6507-IL/CF
Species: Hu
Applications: BA
AF2009
Species: Hu
Applications: ICC, IHC
DY417
Species: Mu
Applications: ELISA
AF114
Species: Mu
Applications: CyTOF-ready, Flow, ICC, IHC, WB
NBP2-67605
Species: Hu, Pm, Mu
Applications: ICC/IF, IHC,  IHC-P, IP, ISH, WB
485-MI
Species: Mu
Applications: BA
DR2A00
Species: Hu
Applications: ELISA
AF1730
Species: Hu
Applications: AdBlk, CyTOF-ready, Flow, ICC

Publications for CTLA-4 Antibody (NBP3-20809) (0)

There are no publications for CTLA-4 Antibody (NBP3-20809).
By submitting your publication information earn gift cards and discounts for future purchases.

Reviews for CTLA-4 Antibody (NBP3-20809) (0)

There are no reviews for CTLA-4 Antibody (NBP3-20809). By submitting a review you will receive an Amazon e-Gift Card or Novus Product Discount.
  • Review with no image -- $10/€7/£6/$10 CAD/¥70 Yuan/¥1110 Yen
  • Review with an image -- $25/€18/£15/$25 CAD/¥150 Yuan/¥2500 Yen

Product General Protocols

Find general support by application which include: protocols, troubleshooting, illustrated assays, videos and webinars.

FAQs for CTLA-4 Antibody (NBP3-20809) (0)

There are no specific FAQs related to this product. Read our general customer & technical service FAQs.

Secondary Antibodies

 

Isotype Controls

Additional CTLA-4 Products

Research Areas for CTLA-4 Antibody (NBP3-20809)

Find related products by research area.

Blogs on CTLA-4.

Unlocking the Potential of Biosimilars in Immuno-Oncology
By Jennifer Jones, M.S.Biosimilar Antibodies: Imitation Meets InnovationIn the ever-evolving medical landscape, a new class of pharmaceuticals is emerging as a game-changer, poised to transform the way we approach...  Read full blog post.

Thomson Reuters Predicts 2016 Nobel Prize Winners
Here at Bio-Techne we always look forward to the annual announcements of winners of the highly coveted Nobel Prize – the greatest award in science. How can you go about predicting which scientists might be in line for a life-changing phone-call fro...  Read full blog post.

CD86 - I work in tandem with CD80
CD86 belongs to the immunoglobulin superfamily of proteins that drive innate and adaptive immune responses. It is an 80kD co-stimulatory molecule for the priming and activation of naive and memory T-cells, respectively. CD86 is expressed on activated ...  Read full blog post.

Customers Who Bought This Also Bought

Contact Information

Product PDFs

Calculators

Concentration Calculator

The concentration calculator allows you to quickly calculate the volume, mass or concentration of your vial. Simply enter your mass, volume, or concentration values for your reagent and the calculator will determine the rest.

=
÷

Review this Product

Be the first to review our CTLA-4 Antibody (rCTLA4/7219) - Azide and BSA Free and receive a gift card or discount.

Bioinformatics

Gene Symbol CTLA4