CD117/c-kit Antibody (CL1667) - Azide and BSA Free

Images

 
Lane 1: Marker [kDa]Lane 2: Human cell line RT-4
Staining of human cerebellum shows moderate positivity in the molecular layer.
Staining of human colon shows strong immunoreactivity in some lymphoid cells.
Staining of human pancreas shows absence of immunoreactivity (negative control).
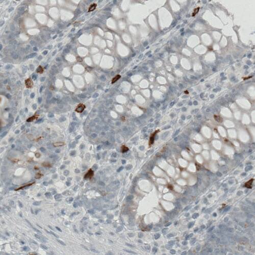
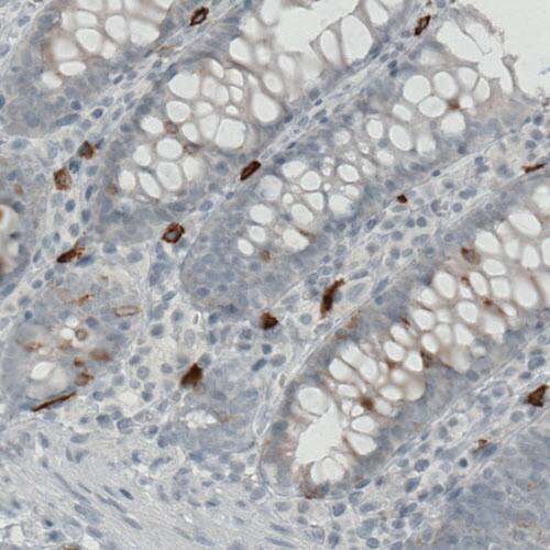
Staining of human small intestine shows strong immunoreactivity in a subset of lymphoid cells.
Staining of human tonsil shows strong positivity in a subset of lymphoid cells.

Product Details

Summary
Reactivity HuSpecies Glossary
Applications WB, IHC
Clone
CL1667
Clonality
Monoclonal
Host
Mouse
Conjugate
Unconjugated
Format
Azide and BSA Free
Concentration
LYOPH

Order Details

CD117/c-kit Antibody (CL1667) - Azide and BSA Free Summary

Description
Novus Biologicals Mouse CD117/c-kit Antibody (CL1667) - Azide and BSA Free (NBP2-34487) is a monoclonal antibody validated for use in IHC and WB. All Novus Biologicals antibodies are covered by our 100% guarantee.
Immunogen
This antibody was generated using a recombinant protein sequence of P10721, with the exact immunogen sequence remaining proprietary.
Isotype
IgG2a
Clonality
Monoclonal
Host
Mouse
Gene
KIT
Purity
Protein A purified
Innovator's Reward
Test in a species/application not listed above to receive a full credit towards a future purchase.

Applications/Dilutions

Dilutions
  • Immunohistochemistry-Paraffin 1:200 - 1:500
  • Western Blot 1 ug/ml
Application Notes
For IHC-Paraffin, HIER pH 6 retrieval is recommended.

Packaging, Storage & Formulations

Storage
Store at 4C short term. Aliquot and store at -20C long term. Avoid freeze-thaw cycles.
Buffer
Lyophilized from a 0.2 um filtered solution in PBS with Trehalose
Preservative
No Preservative
Concentration
LYOPH
Purity
Protein A purified
Reconstitution Instructions
Centrifuge the vial of lyophilized antibody at 12,000 x g for 20 seconds. Reconstitute by adding sterile, distilled water to achieve a final antibody concentration of 1mg/ml.

Alternate Names for CD117/c-kit Antibody (CL1667) - Azide and BSA Free

  • CD117 antigen
  • CD117
  • ckit
  • c-kit
  • EC 2.7.10
  • EC 2.7.10.1
  • KIT
  • PBT
  • piebald trait
  • Proto-oncogene c-Kit
  • proto-oncogene tyrosine-protein kinase Kit
  • SCF R
  • SCFR
  • SCFRmast/stem cell growth factor receptor
  • soluble KIT variant 1
  • Tyrosine-protein kinase Kit
  • v-kit Hardy-Zuckerman 4 feline sarcoma viral oncogene homolog
  • v-kit Hardy-Zuckerman 4 feline sarcoma viral oncogene-like protein

Background

CD117 is a 145 kD immunoglobulin superfamily member, also known as c-Kit and stem cell factor receptor (SCFR). It is a transmembrane tyrosine-kinase receptor that binds the c-Kit ligand (also known as steel factor, stem cell factor, and mast cell growth factor). CD117 is expressed on hematopoietic stem cells (including multipotent hematopoietic stem cells, progenitors committed to myeloid and/or erythroid lineages, and T and B cell precursors), mast cells, and acute myeloid leukemia (AML) cells. CD117 interaction with it's ligand is critical for the development of hematopoietic stem cells. The 2B8 antibody does not block c-Kit activity.

Limitations

This product is for research use only and is not approved for use in humans or in clinical diagnosis. Primary Antibodies are guaranteed for 1 year from date of receipt.

Customers Who Viewed This Item Also Viewed...

255-SC
Species: Hu
Applications: BA
AF4117
Species: Rt
Applications: IHC, WB
AF1062
Species: Mu
Applications: Flow, IHC, Neut, WB
M6000B
Species: Mu
Applications: ELISA
AF231
Species: Hu
Applications: CyTOF-ready, Dual ISH-IHC, ELISA(Cap), ELISA(Det), ELISA(Sta), Flow, ICC, IHC, IP, Simple Western, WB
MAB812
Species: Hu
Applications: CyTOF-ready, Flow
7268-CT
Species: Hu
Applications: BA
NBP2-79843
Species: Hu
Applications: CyTOF-ready, ELISA, Flow, ICC/IF, IHC,  IHC-P, PA, WB
DVE00
Species: Hu
Applications: ELISA
AF3844
Species: Hu, Mu
Applications: IHC
NB100-524
Species: Hu, Mu
Applications: Flow-IC, Flow, ICC/IF, IHC, IHC-Fr,  IHC-P, IP, WB
203-IL
Species: Hu
Applications: BA
NB300-223
Species: Bv, Ca, Ch, Eq, Hu, Mu, Po, Rt
Applications: ICC/IF, IHC, IHC-Fr,  IHC-P, WB
1129-ER
Species: Hu
Applications: BA
AF114
Species: Mu
Applications: CyTOF-ready, Flow, ICC, IHC, WB
NB200-103
Species: Hu, Mu, Rt, Xp(-), Ye
Applications: CyTOF-ready, ELISA, Flow-IC, Flow, ICC/IF, IHC, IHC-Fr,  IHC-P, IP, WB
AF1042
Species: Mu
Applications: Dual ISH-IHC, IHC, WB
NBP3-44073
Species: Hu
Applications: WB, IHC

Publications for CD117/c-kit Antibody (NBP3-44073) (0)

There are no publications for CD117/c-kit Antibody (NBP3-44073).
By submitting your publication information earn gift cards and discounts for future purchases.

Reviews for CD117/c-kit Antibody (NBP3-44073) (0)

There are no reviews for CD117/c-kit Antibody (NBP3-44073). By submitting a review you will receive an Amazon e-Gift Card or Novus Product Discount.
  • Review with no image -- $10/€7/£6/$10 CAD/¥70 Yuan/¥1110 Yen
  • Review with an image -- $25/€18/£15/$25 CAD/¥150 Yuan/¥2500 Yen

Product General Protocols

Find general support by application which include: protocols, troubleshooting, illustrated assays, videos and webinars.

Video Protocols

WB Video Protocol

FAQs for CD117/c-kit Antibody (NBP3-44073) (0)

There are no specific FAQs related to this product. Read our general customer & technical service FAQs.

Secondary Antibodies

 

Isotype Controls

Additional CD117/c-kit Products

Research Areas for CD117/c-kit Antibody (NBP3-44073)

Find related products by research area.

Blogs on CD117/c-kit.

Do you see what I see? I c-Kit
The c-Kit (CD117) proto-oncogene is a 145 kD receptor tyrosine kinase family closely related to platelet-derived growth factor receptor (PDGFR). It is a transmembrane receptor and the cellular homolog of the HZ4-feline sarcoma virus transforming gene ...  Read full blog post.

Customers Who Bought This Also Bought

Contact Information

Product PDFs

Calculators

Concentration Calculator

The concentration calculator allows you to quickly calculate the volume, mass or concentration of your vial. Simply enter your mass, volume, or concentration values for your reagent and the calculator will determine the rest.

=
÷

Review this Product

Be the first to review our CD117/c-kit Antibody (CL1667) - Azide and BSA Free and receive a gift card or discount.

Bioinformatics

Gene Symbol KIT