Angiopoietin-2 Antibody

Images

 
Western Blot: Angiopoietin-2 Antibody [NBP2-15386] - Mouse tissue extract (50 ug) was separated by 10% SDS-PAGE, and the membrane was blotted with Angiopoietin 2 antibody diluted at 1:1000. The HRP-conjugated ...read more
Immunocytochemistry/ Immunofluorescence: Angiopoietin 2 Antibody [NBP2-15386] - Analysis of methanol-fixed A549, using antibody at 1:500 dilution.
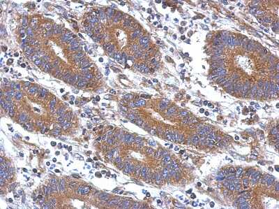
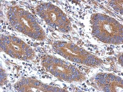
Immunohistochemistry-Paraffin: Angiopoietin 2 Antibody [NBP2-15386] - Paraffin-embedded Colon ca, using antibody at 1:500 dilution.
Western Blot: Angiopoietin-2 Antibody [NBP2-15386] - Whole cell extract (30 ug) was separated by 10% SDS-PAGE, and the membrane was blotted with Angiopoietin 2 antibody diluted at 1:1000. The HRP-conjugated anti-rabbit ...read more
Western Blot: Angiopoietin-2 Antibody [NBP2-15386] - Whole cell extract (30 ug) was separated by 7.5% SDS-PAGE, and the membrane was blotted with Angiopoietin 2 antibody diluted at 1:3000. The HRP-conjugated anti-rabbit ...read more

Product Details

Summary
Product Discontinued
View other related Angiopoietin-2 Primary Antibodies

Order Details


    • Catalog Number
      NBP2-15386
    • Availability
      Product Discontinued

    Can't find what you are looking for? Use our Antibody Concierge Service & we will help you locate your antibody!

    Or feel free to contact us for alternative products.

Angiopoietin-2 Antibody Summary

Immunogen
Recombinant protein encompassing a sequence within the center region of human Angiopoietin 2. The exact sequence is proprietary.
Localization
Secreted
Predicted Species
Porcine (92%), Canine (90%). Backed by our 100% Guarantee.
Isotype
IgG
Clonality
Polyclonal
Host
Rabbit
Gene
ANGPT2
Purity
Immunogen affinity purified
Innovator's Reward
Test in a species/application not listed above to receive a full credit towards a future purchase.

Applications/Dilutions

Dilutions
  • Immunocytochemistry/ Immunofluorescence 1:100-1:1000
  • Immunohistochemistry 1:100-1:1000
  • Immunohistochemistry-Paraffin 1:100-1:1000
  • Western Blot 1:500-1:3000
Theoretical MW
57 kDa.
Disclaimer note: The observed molecular weight of the protein may vary from the listed predicted molecular weight due to post translational modifications, post translation cleavages, relative charges, and other experimental factors.

Reactivity Notes

Rat (85%), Bovine (89%).

Packaging, Storage & Formulations

Storage
Aliquot and store at -20C or -80C. Avoid freeze-thaw cycles.
Buffer
PBS (pH 7), 20% Glycerol
Preservative
0.025% Proclin 300
Purity
Immunogen affinity purified

Alternate Names for Angiopoietin-2 Antibody

  • AGPT2
  • ANG2
  • ANG-2
  • angiopoietin 2
  • Angiopoietin-2
  • angiopoietin-2a
  • angiopoietin-2B
  • angiopoitin 2
  • ANGPT2
  • Tie2-ligand

Background

The protein encoded by this gene is an antagonist of angiopoietin 1 (ANGPT1) and endothelial TEK tyrosine kinase (TIE-2, TEK). The encoded protein disrupts the vascular remodeling ability of ANGPT1 and may induce endothelial cell apoptosis. Three transcript variants encoding three different isoforms have been found for this gene. [provided by RefSeq]

Limitations

This product is for research use only and is not approved for use in humans or in clinical diagnosis. Primary Antibodies are guaranteed for 1 year from date of receipt.

Customers Who Viewed This Item Also Viewed...

923-AN
Species: Hu
Applications: BA
DVE00
Species: Hu
Applications: ELISA
AF313
Species: Hu
Applications: Block, IHC, Simple Western, WB
DAN00
Species: Hu
Applications: ELISA
AF321
Species: Hu
Applications: Block, CyTOF-ready, Flow, IHC, WB
233-FB
Species: Hu
Applications: BA
M6000B
Species: Mu
Applications: ELISA
AF644
Species: Mu
Applications: CyTOF-ready, Dual ISH-IHC, Flow, IHC, Neut, WB
AF619
Species: Hu
Applications: CyTOF-ready, Flow, IHC, WB
DPG00
Species: Hu
Applications: ELISA
DVEC00
Species: Hu
Applications: ELISA
AF964
Species: Hu
Applications: Block, IHC, WB
294-HG
Species: Hu
Applications: BA
NB100-105
Species: Bv, Ca, Fe, Ma, Hu, Pm, Mu, Po, Pm, Rb, Rt, Sh, Xp
Applications: ChIP, ChIP, ELISA, Flow, GS, IA, IB, ICC/IF, IHC-FrFl, IHC, IHC-Fr,  IHC-P, IP, In vitro, KD, KO, LA, PLA, Simple Western, TCS, WB
AF887
Species: Hu, Mu, Rt
Applications: CyTOF-ready, IHC, ICFlow, Simple Western, WB
AF3628
Species: Hu, Mu, Rt
Applications: CyTOF-ready, Flow, ICC, IHC, Simple Western, WB
NBP2-15386
Species: Hu, Mu, Po, Ca
Applications: WB, ICC/IF, IHC

Publications for Angiopoietin-2 Antibody (NBP2-15386) (0)

There are no publications for Angiopoietin-2 Antibody (NBP2-15386).
By submitting your publication information earn gift cards and discounts for future purchases.

Reviews for Angiopoietin-2 Antibody (NBP2-15386) (0)

There are no reviews for Angiopoietin-2 Antibody (NBP2-15386). By submitting a review you will receive an Amazon e-Gift Card or Novus Product Discount.
  • Review with no image -- $10/€7/£6/$10 CAD/¥70 Yuan/¥1110 Yen
  • Review with an image -- $25/€18/£15/$25 CAD/¥150 Yuan/¥2500 Yen

Product General Protocols

Find general support by application which include: protocols, troubleshooting, illustrated assays, videos and webinars.

Video Protocols

WB Video Protocol
ICC/IF Video Protocol

FAQs for Angiopoietin-2 Antibody (NBP2-15386) (0)

There are no specific FAQs related to this product. Read our general customer & technical service FAQs.

Contact Information

Product PDFs

Calculators

Concentration Calculator

The concentration calculator allows you to quickly calculate the volume, mass or concentration of your vial. Simply enter your mass, volume, or concentration values for your reagent and the calculator will determine the rest.

=
÷

Review this Product

Be the first to review our Angiopoietin-2 Antibody and receive a gift card or discount.

Bioinformatics

Gene Symbol ANGPT2
Uniprot