ACE-2 Antibody (CL4035) - Azide and BSA Free

Images

 
Orthogonal Strategies: Analysis in human duodenum and tonsil tissues using NBP3-44115 antibody. Corresponding ACE-2 RNA-seq data are presented for the same tissues.
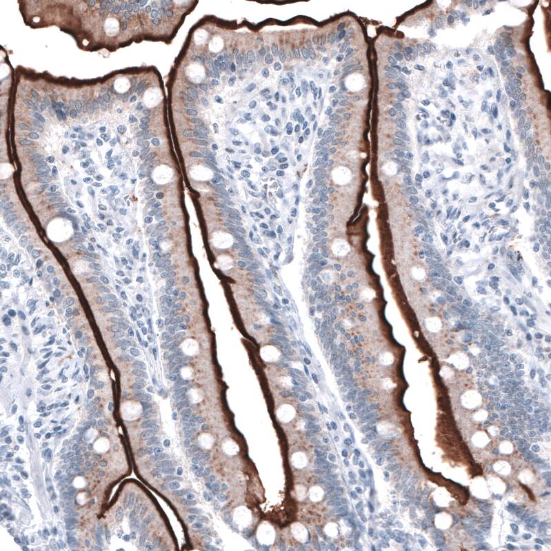
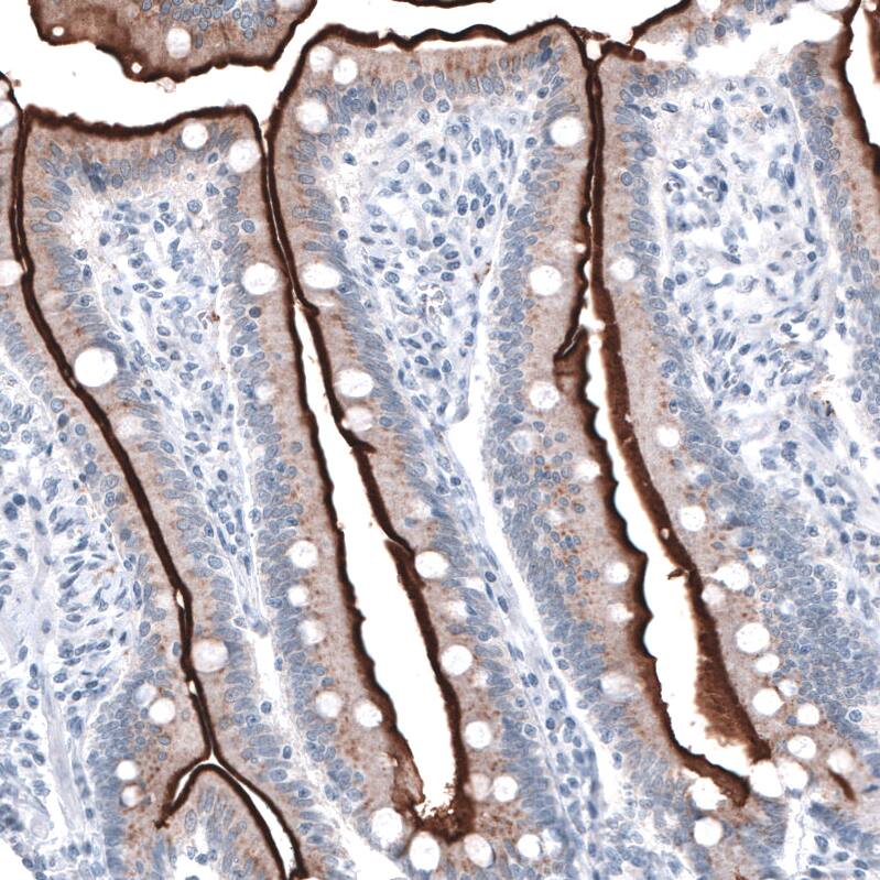
Staining of human duodenum shows strong positivity in apical membrane of glandular cells.
Staining of human heart muscle shows moderate membranous positivity in cardiomyocytes.
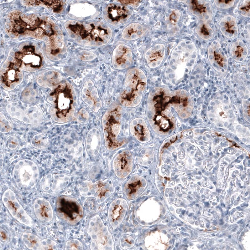
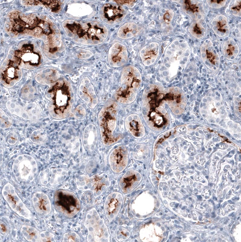
Staining of human kidney shows strong positivity in apical membrane in cells in proximal tubules.
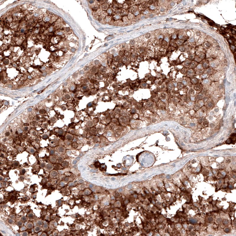
Staining of human testis shows strong membranous positivity in cells in seminiferous ducts.
Staining of human tonsil shows no positivity in non-germinal center cells as expected.
Analysis in human kidney tissue.

Product Details

Summary
Reactivity HuSpecies Glossary
Applications WB, IHC
Clone
CL4035
Clonality
Monoclonal
Host
Mouse
Conjugate
Unconjugated
Format
Azide and BSA Free
Concentration
LYOPH
Validated by:
       

Orthogonal Strategies

 

Order Details

ACE-2 Antibody (CL4035) - Azide and BSA Free Summary

Description
Novus Biologicals Mouse ACE-2 Antibody (CL4035) - Azide and BSA Free (NBP2-59037) is a monoclonal antibody validated for use in IHC and WB. All Novus Biologicals antibodies are covered by our 100% guarantee.
Immunogen
This antibody was generated using a recombinant protein sequence of Q9BYF1, with the exact immunogen sequence remaining proprietary.
Isotype
IgG1
Clonality
Monoclonal
Host
Mouse
Gene
ACE2
Purity
Protein A purified
Innovator's Reward
Test in a species/application not listed above to receive a full credit towards a future purchase.

Applications/Dilutions

Dilutions
  • Immunohistochemistry-Paraffin 1:20000 - 1:50000
  • Western Blot 1 ug/ml
Application Notes
For IHC-Paraffin, HIER pH 6 retrieval is recommended.

Packaging, Storage & Formulations

Storage
Store at 4C short term. Aliquot and store at -20C long term. Avoid freeze-thaw cycles.
Buffer
Lyophilized from a 0.2 um filtered solution in PBS with Trehalose
Preservative
No Preservative
Concentration
LYOPH
Purity
Protein A purified
Reconstitution Instructions
Centrifuge the vial of lyophilized antibody at 12,000 x g for 20 seconds. Reconstitute by adding sterile, distilled water to achieve a final antibody concentration of 1mg/ml.

Alternate Names for ACE-2 Antibody (CL4035) - Azide and BSA Free

  • ACE2
  • ACE-2
  • ACEH
  • ACEHangiotensin I converting enzyme 2
  • ACE-related carboxypeptidase
  • angiotensin I converting enzyme (peptidyl-dipeptidase A) 2
  • angiotensin-converting enzyme 2
  • Angiotensin-converting enzyme homolog
  • DKFZp434A014
  • EC 3.4.17
  • EC 3.4.17.23
  • Metalloprotease MPROT15

Background

Angiotensin I Converting Enzyme 2 (ACE2), also known as ACEH (ACE homologue), is an integral membrane protein and a zinc metalloprotease of the ACE family (theoretical molecular weight 92 kDa). The predicted mouse ACE2 protein sequence consists of 798 amino acids, including an N-terminal signal peptide, a single catalytic domain, a C-terminal membrane anchor, and a short cytoplasmic tail. Mouse ACE2 is 40% homologous in amino acid identity to the N- and C-terminal domains of mouse somatic ACE. Enzymatically, ACE2 converts the inactive vasoconstrictor angiotensin I (AngI) to Ang1-9 and the active form AngII to Ang1-7, unlike ACE, which converts Ang I to Ang II.

Genetic data from Drosophila, mice and rats show that the ACE2 protein is an essential regulator of heart function in vivo. ACE2 mRNA is found at high levels in testis, kidney and heart with moderate levels in colon, small intestine, and ovary. The ACE2 protein contributes to organ function through the renin-angiotensin system, playing a central role in vascular, renal, and myocardial physiology.

Virology research has demonstrated that the severe acute respiratory syndrome coronavirus (SARS-CoV) spike protein binds to its functional receptor, ACE2 (1). Vimentin is a type III intermediate filament protein expressed in mesenchymal cells that helps comprise the cytoskeleton in all animal cells. Studies have demonstrated that vimentin allows cell binding that allows the uptake of SARS-CoV spike protein into a host (2). This direct interaction of SARS-CoV with vimentin has been identified as an entry mechanism for the virus into a host, mediated by the SARS-CoV receptor ACE2 (1,2). It has been shown that ACE2 is the SARS-CoV-2 receptor required for cell entry and plays a physiological role in the replication of SARS-CoV in an infected host (1). Studies using human ACE2 antibody demonstrated a blockade of SARS-CoV-2 and ACE2 interaction, indicating an important physiological component of viral transmission and potential anti-viral therapeutic strategies (3).

References

1. Li, W., Moore, M. J., Vasilieva, N., Sui, J., Wong, S. K., Berne, M. A., . . . Farzan, M. (2003). Angiotensin-converting enzyme 2 is a functional receptor for the SARS coronavirus. Nature, 426(6965), 450-454. doi:10.1038/nature02145

2. Yu YT, Chien SC, Chen IY, Lai CT, Tsay YG, Chang SC, Chang MF. (2016) Surface vimentin is critical for the cell entry of SARS-CoV. J Biomed Sci. doi: 10.1186/s12929-016-0234-7

3. Hoffmann, M., Kleine-Weber, H., Schroeder, S., Kruger, N., Herrler, T., Erichsen, S., . . . Pohlmann, S. (2020). SARS-CoV-2 Cell Entry Depends on ACE2 and TMPRSS2 and Is Blocked by a Clinically Proven Protease Inhibitor. Cell. doi:10.1016/j.cell.2020.02.052

Limitations

This product is for research use only and is not approved for use in humans or in clinical diagnosis. Primary Antibodies are guaranteed for 1 year from date of receipt.

Customers Who Viewed This Item Also Viewed...

NBP1-30027
Species: Hu, Mu, Rt
Applications: ICC/IF, IHC,  IHC-P, WB
AF1513
Species: Mu
Applications: CyTOF-ready, Flow, IHC, IP, Simple Western, WB
DAN00
Species: Hu
Applications: ELISA
NBP1-78444
Species: Hu, Mu, Pm, Rb, Rt
Applications: ICC/IF, IHC,  IHC-P, Simple Western, WB
AF4090
Species: Hu
Applications: IHC, IP, Neut, WB
NBP1-77078
Species: Hu, Mu, Rb, Rt
Applications: ELISA, ICC/IF, IHC,  IHC-P, WB
AF1126
Species: Mu
Applications: ELISA(Cap), ELISA(Det), ELISA(Sta), IHC, IP, WB
H00009197-M07
Species: Ha, Hu, Mu, Rt
Applications: ELISA, ICC/IF, KD, WB
NB100-309
Species: Hu, Pm, Mu, Rt
Applications: ChIP, ELISA, Flow, ICC/IF, IHC,  IHC-P, IP, KD, PAGE, Single-Cell Western, WB
NBP2-22203
Species: Hu, Pm, Mu, Rt
Applications: ELISA, Flow, ICC/IF, IHC,  IHC-P, WB
AF1230
Species: Hu, Mu, Rt
Applications: IHC, KO, WB
DCP00
Species: Hu
Applications: ELISA
AF4965
Species: Mu
Applications: IHC, Simple Western, WB
NB100-1519
Species: Hu, Mu, Rt
Applications: Flow, ICC/IF, IHC-FrFl, PEP-ELISA, WB
M6000B
Species: Mu
Applications: ELISA

Publications for ACE-2 Antibody (NBP3-44115) (0)

There are no publications for ACE-2 Antibody (NBP3-44115).
By submitting your publication information earn gift cards and discounts for future purchases.

Reviews for ACE-2 Antibody (NBP3-44115) (0)

There are no reviews for ACE-2 Antibody (NBP3-44115). By submitting a review you will receive an Amazon e-Gift Card or Novus Product Discount.
  • Review with no image -- $10/€7/£6/$10 CAD/¥70 Yuan/¥1110 Yen
  • Review with an image -- $25/€18/£15/$25 CAD/¥150 Yuan/¥2500 Yen

Product General Protocols

Find general support by application which include: protocols, troubleshooting, illustrated assays, videos and webinars.

Video Protocols

WB Video Protocol

FAQs for ACE-2 Antibody (NBP3-44115) (0)

There are no specific FAQs related to this product. Read our general customer & technical service FAQs.

Secondary Antibodies

 

Isotype Controls

Additional ACE-2 Products

Research Areas for ACE-2 Antibody (NBP3-44115)

Find related products by research area.

Blogs on ACE-2.

COVID-19 and metabolic dysregulation: SARS-CoV-2 injures human exocrine and endocrine pancreas
Jamshed Arslan, Pharm D, PhD Humans rely on the pancreas for digesting food and generating energy from it. SARS-CoV-2-mediated damage to the exocrine pancreas is evident from the pancreatitis, pancreatic enlargeme...  Read full blog post.

COVID-19 and the Cardiovascular System: Observed complications and potential mechanisms
By Victoria OsinskiThe outbreak of COVID-19 resulting from the transmission of the novel severe acute respiratory syndrome coronavirus-2 (SARS-CoV-2) has resulted in many cases of illness typically manifesting in mi...  Read full blog post.


  Read full blog post.


  Read full blog post.

Tiny Antibodies (VHHs) from Llama Neutralize Respiratory Coronaviruses
By Jamshed Arslan, Pharm. D., PhD. VHH Single Domain Antibodies vs Conventional AntibodiesThe immune system protects living organisms against harmful substances. B cells ward off infections by producing antibodies t...  Read full blog post.

Blocking SARS-CoV-2 Cell Entry: A potential Strategy Against COVID-19 Pandemic
By Jamshed Arslan, Pharm. D., PhD. Coronaviruses are a family of enveloped RNA viruses. Some family members circulate in human populations, but others like severe acute respiratory syndrome coronavirus (SARS-CoV) ar...  Read full blog post.

Customers Who Bought This Also Bought

Contact Information

Product PDFs

Calculators

Concentration Calculator

The concentration calculator allows you to quickly calculate the volume, mass or concentration of your vial. Simply enter your mass, volume, or concentration values for your reagent and the calculator will determine the rest.

=
÷

Review this Product

Be the first to review our ACE-2 Antibody (CL4035) - Azide and BSA Free and receive a gift card or discount.

Bioinformatics

Gene Symbol ACE2