WT1 Antibody (WT1/3477R) - Azide and BSA Free

Images

 
Immunohistochemistry-Paraffin: WT1 Antibody (WT1/3477R) - Azide and BSA Free [NBP3-08966] - FFPE human kidney. PBS instead of primary antibody. Secondary antibody only negative control. Hematoxylin counterstain.
Immunohistochemistry-Paraffin: WT1 Antibody (WT1/3477R) - Azide and BSA Free [NBP3-08966] - FFPE human kidney sections. Wilm's Tumor 1 labeled using WT1 (WT1/3477R) (1?g/ml). HIER: Tris/EDTA (pH9.0). HRP-Polymer. ...read more
Immunohistochemistry-Paraffin: WT1 Antibody (WT1/3477R) - Azide and BSA Free [NBP3-08966] - FFPE human kidney. Secondary antibody only negative control. Hematoxylin counterstain.
Western blot analysis of K562 cell lysate using WT1 antibody (WT1/3477R).
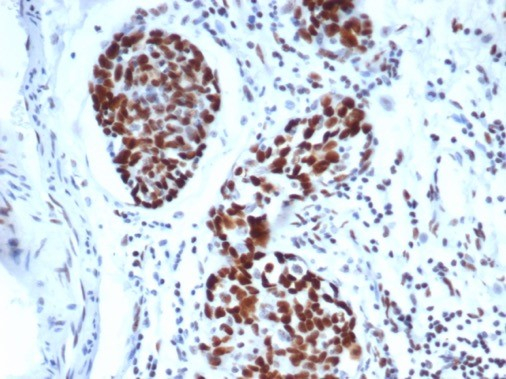
IHC analysis of formalin-fixed, paraffin-embedded human ovarian carcinoma. Strong nuclear staining using WT1 antibody (WT1/3477R) at 2ug/ml in PBS for 30min RT. HIER: Tris/EDTA, pH9.0, 45min. Secondary: HRP-polymer, ...read more

Product Details

Summary
Reactivity HuSpecies Glossary
Applications IHC
Clone
WT1/3477R
Clonality
Monoclonal
Host
Rabbit
Conjugate
Unconjugated
Format
Azide and BSA Free
Concentration
1 mg/ml

Order Details

WT1 Antibody (WT1/3477R) - Azide and BSA Free Summary

Description
1.0 mg/ml of antibody purified by Protein A/G. Prepared in 10mM PBS WITHOUT BSA & azide. Also available at 200 ug/ml WITH BSA & azide (NBP3-07221).

Antibody with azide - store at 2 to 8C. Antibody without azide - store at -20 to -80 C.
Additional Information
Recombinant Monoclonal Antibody
Immunogen
Recombinant fragment (around aa1-100) of human WT1 protein (exact sequence is proprietary) (Uniprot: P19544 )
Localization
Nucleus and cytoplasm. Shuttles between nucleus and cytoplasm.
Marker
Wilm's Tumor & Mesothelial Marker
Isotype
IgG
Clonality
Monoclonal
Host
Rabbit
Gene
WT1
Purity
Protein A or G purified
Innovator's Reward
Test in a species/application not listed above to receive a full credit towards a future purchase.

Applications/Dilutions

Dilutions
  • Immunohistochemistry-Paraffin 1-2 ug/ml
Application Notes
Immunohistochemistry Formalin-fixed: 1-2ug/ml for 30 minutes at RT. Staining of formalin-fixed tissues requires heating tissue sections in 10mM Tris with 1mM EDTA, pH 9.0, for 45 min at 95C followed by cooling at RT for 20 minutes. Optimal dilution for a specific application should be determined.
Theoretical MW
49 kDa.
Disclaimer note: The observed molecular weight of the protein may vary from the listed predicted molecular weight due to post translational modifications, post translation cleavages, relative charges, and other experimental factors.

Packaging, Storage & Formulations

Storage
Store at -20 to -80C. Avoid freeze-thaw cycles.
Buffer
10 mM PBS
Preservative
No Preservative
Concentration
1 mg/ml
Purity
Protein A or G purified

Alternate Names for WT1 Antibody (WT1/3477R) - Azide and BSA Free

  • AWT1
  • GUD
  • NPHS4GUD
  • WAGR
  • Wilms tumor 1
  • Wilms tumor protein
  • WIT-2
  • WT1
  • WT33

Background

Wilms' tumor protein (WT1) is a transcription factor which regulates the expression of numerous target genes, including EPO. This protein plays an essential role in the normal development of the urogenital system, including cellular development and cell survival, and it has both tumor suppressor and oncogenic roles in tumor formation.

Defects in the WT1 protein can lead to Wilms tumor, Frasier syndrome, Denys-Drash syndrome, nephrotic syndrome type 4, and Meacham syndrome.

Limitations

This product is for research use only and is not approved for use in humans or in clinical diagnosis. Primary Antibodies are guaranteed for 1 year from date of receipt.

Customers Who Viewed This Item Also Viewed...

NBP2-88921
Species: Hu
Applications: ICC/IF, IHC,  IHC-P, WB
NB200-103
Species: Hu, Mu, Rt, Xp(-), Ye
Applications: CyTOF-ready, ELISA, Flow-IC, Flow, ICC/IF, IHC, IHC-Fr,  IHC-P, IP, WB
AF2818
Species: Hu
Applications: ICC, WB
NB200-182
Species: Hu, Mu
Applications: IHC,  IHC-P, IP, Simple Western, WB
AF3364
Species: Hu
Applications: ICC, IHC, WB
MAB812
Species: Hu
Applications: CyTOF-ready, Flow
292-G2
Species: Hu
Applications: BA
AF3159
Species: Mu
Applications: IHC
PP-H7431-00
Species: Hu
Applications: WB
NBP3-41295
Species: Hu
Applications: IHC,  IHC-P, WB
AF3075
Species: Hu
Applications: ICC, Simple Western, WB
NB110-61646
Species: Hu, Mu
Applications: ICC/IF, IHC,  IHC-P, IP, WB
NBP2-75624
Species: Hu, Mu, Rt
Applications: Flow, ICC/IF, IHC,  IHC-P, mIF, WB
NB300-223
Species: Bv, Ca, Ch, Eq, Hu, Mu, Po, Rt
Applications: ICC/IF, IHC, IHC-Fr,  IHC-P, WB
AF3844
Species: Hu, Mu
Applications: IHC
AF4117
Species: Rt
Applications: IHC, WB
NBP2-45545
Species: Hu, Mu, Rt
Applications: IHC,  IHC-P, WB
AF8150
Species: Hu
Applications: ICC, ICFlow, Simple Western, WB
AF5414
Species: Hu
Applications: Simple Western, WB
NBP3-08966
Species: Hu
Applications: IHC

Publications for WT1 Antibody (NBP3-08966) (0)

There are no publications for WT1 Antibody (NBP3-08966).
By submitting your publication information earn gift cards and discounts for future purchases.

Reviews for WT1 Antibody (NBP3-08966) (0)

There are no reviews for WT1 Antibody (NBP3-08966). By submitting a review you will receive an Amazon e-Gift Card or Novus Product Discount.
  • Review with no image -- $10/€7/£6/$10 CAD/¥70 Yuan/¥1110 Yen
  • Review with an image -- $25/€18/£15/$25 CAD/¥150 Yuan/¥2500 Yen

Product General Protocols

Find general support by application which include: protocols, troubleshooting, illustrated assays, videos and webinars.

FAQs for WT1 Antibody (NBP3-08966) (0)

There are no specific FAQs related to this product. Read our general customer & technical service FAQs.

Secondary Antibodies

 

Isotype Controls

Additional WT1 Products

Research Areas for WT1 Antibody (NBP3-08966)

Find related products by research area.

Blogs on WT1.

Routine WT1 Antibody Screen Uncovers an Exciting New Cancer-Cleaning Enzyme
Enzyme antibodies are widely used in both apoptosis and cancer studies, as disruption of the proteins regulating apoptosis is known to lead to formation of tumor cells in certain cancers. We at Novus Biologicals are continually growing our enzyme anti...  Read full blog post.

Customers Who Bought This Also Bought

Contact Information

Product PDFs

Calculators

Concentration Calculator

The concentration calculator allows you to quickly calculate the volume, mass or concentration of your vial. Simply enter your mass, volume, or concentration values for your reagent and the calculator will determine the rest.

=
÷

Review this Product

Be the first to review our WT1 Antibody (WT1/3477R) - Azide and BSA Free and receive a gift card or discount.

Bioinformatics

Gene Symbol WT1