Tyrosine Hydroxylase Antibody (CL3049) - Azide and BSA Free

Images

 
Staining of human caudate nucleus shows moderate to strong positivity in monoaminergic neural fibers.
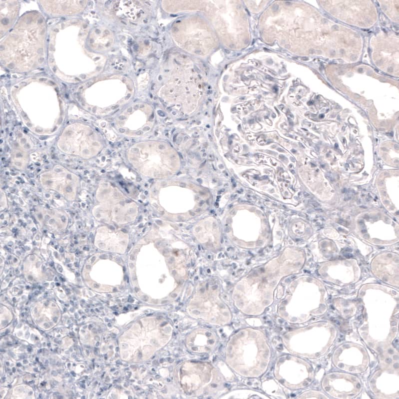
Staining of human kidney shows no positivity in cells in tubules as expected.
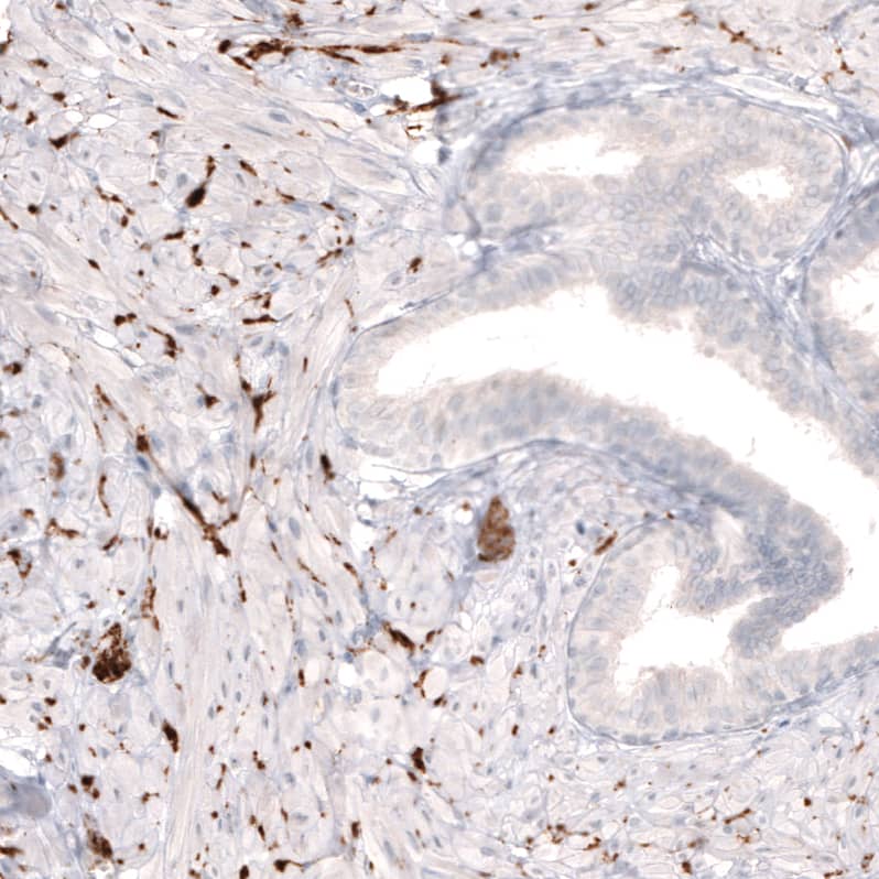
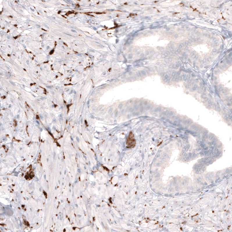
Staining of human prostate shows strong positivity in sympathetic peripheral nerves.
Staining of rat locus coeruleus shows strong positivity in noradrenergic neurons.
Staining of rat locus coeruleus shows strong cytoplasmic immunoreactivity in monoaminergic neurons.
Staining of mouse brain shows strong positivity in neurons in the hypothalamus.

Product Details

Summary
Reactivity Hu, Mu, RtSpecies Glossary
Applications IHC
Clone
CL3049
Clonality
Monoclonal
Host
Mouse
Conjugate
Unconjugated
Format
Azide and BSA Free
Concentration
LYOPH

Order Details

Tyrosine Hydroxylase Antibody (CL3049) - Azide and BSA Free Summary

Description
Novus Biologicals Mouse Tyrosine Hydroxylase Antibody (CL3049) - Azide and BSA Free (NBP2-46647) is a monoclonal antibody validated for use in IHC. All Novus Biologicals antibodies are covered by our 100% guarantee.
Immunogen
This antibody was generated using a recombinant protein sequence of P07101, with the exact immunogen sequence remaining proprietary.
Isotype
IgG1
Clonality
Monoclonal
Host
Mouse
Gene
TH
Purity
Protein A purified
Innovator's Reward
Test in a species/application not listed above to receive a full credit towards a future purchase.

Applications/Dilutions

Dilutions
  • Immunohistochemistry-Paraffin 1:500 - 1:1000
Application Notes
For IHC-Paraffin, HIER pH 6 retrieval is recommended.

Packaging, Storage & Formulations

Storage
Store at 4C short term. Aliquot and store at -20C long term. Avoid freeze-thaw cycles.
Buffer
Lyophilized from a 0.2 um filtered solution in PBS with Trehalose
Preservative
No Preservative
Concentration
LYOPH
Purity
Protein A purified
Reconstitution Instructions
Centrifuge the vial of lyophilized antibody at 12,000 x g for 20 seconds. Reconstitute by adding sterile, distilled water to achieve a final antibody concentration of 1mg/ml.

Alternate Names for Tyrosine Hydroxylase Antibody (CL3049) - Azide and BSA Free

  • DYT14
  • DYT5b
  • EC 1.14.16
  • EC 1.14.16.2
  • TH
  • TYH dystonia 14
  • TYH
  • Tyrosine 3-hydroxylase
  • tyrosine 3-monooxygenase
  • Tyrosine Hydroxylase

Background

The tetrameric enzyme tyrosine hydroxylase (TH), also designated as tyrosine 3-monooxygenase (TY3H), is the rate-limiting enzyme for catecholamine biosynthesis and has a theoretical molecular weight of 60 kDa. Encoded by the TH gene, TH catalyzes the conversion of the amino acid L-tyrosine to L-3,4- dihydroxyphenylalanine (L-dopa) in the central nervous system and adrenal medulla. The precursor of catecholamines, L-dopa, is converted to dopamine for use in the biosynthesis of neurotransmitters norepinephrine (noradrenaline) and epinephrine (adrenaline) (1) . Dysfunction in the TH gene, and thus the enzymatic activity by TH, dysregulates catecholamine synthesis.

Two transcription factor binding sites in the proximal region of the TH gene, the TPA-responsive element (TRE) and the c-AMP responsive element (CRE), have been implicated in the complex regulation of the TH gene. Dysregulation of breakdown for the amino acid, tyrosine, by TH is a result of a genetic disorder that results in Tyrosinemia (high levels of tyrosine in the blood, tissue and organs).

Tyrosine hydroxylase deficiency is a disorder that primarily affects movement, where individuals display symptoms that include lack of coordination when walking, postural tremors and unusual body positioning. TH deficient dopamine-responsive dystonia (DRD), also known as Segawa syndrome, is a rare genetic disorder that is associated with low levels of TH and is diagnosed during childhood with characteristic symptoms including increased muscle tone (dystonia) and signs of Parkinsonism like bradykinesia, tremors, rigidity and postural instability (2). Correspondingly, TH is also linked to Parkinson's disease in older adults, where low dopamine levels are a consistent neurochemical abnormality. Functional polymorphisms of the TH gene may be involved in the pathogenesis of neuropsychiatric diseases such as schizophrenia and other affective disorders where dopamine is often dysregulated (3).

References

1. Hamanaka, Y., & Mizunami, M. (2019). Tyrosine hydroxylase-immunoreactive neurons in the mushroom body of the field cricket, Gryllus bimaculatus. Cell Tissue Res, 376(1), 97-111. doi:10.1007/s00441-018-2969-9

2. Li, L., & Zhou, F. M. (2013). Parallel dopamine D1 receptor activity dependence of l-Dopa-induced normal movement and dyskinesia in mice. Neuroscience, 236, 66-76. doi:10.1016/j.neuroscience.2012.12.065

3. Borkar, C. D., Bharne, A. P., Nagalakshmi, B., Sakharkar, A. J., Subhedar, N. K., & Kokare, D. M. (2018). Cocaine- and Amphetamine-Regulated Transcript Peptide (CART) Alleviates MK-801-Induced Schizophrenic Dementia-Like Symptoms. Neuroscience, 375, 94-107. doi:10.1016/j.neuroscience.2018.01.056

Limitations

This product is for research use only and is not approved for use in humans or in clinical diagnosis. Primary Antibodies are guaranteed for 1 year from date of receipt.

Customers Who Viewed This Item Also Viewed...

NBP1-31386
Species: Hu, Mu, Rt
Applications: IHC,  IHC-P, WB
NBP1-46535
Species: Hu, Mu, Rb, Rt, Xp
Applications: ICC/IF, IHC-FrFl, IHC, IHC-Fr,  IHC-P, WB
NBP2-00688
Species: Ca, Hu, Pm, Mu, Rt
Applications: ICC/IF, IHC,  IHC-P, WB
NBP1-30052
Species: Ch, Gp, Hu, Mu, Pm, Rt
Applications: ICC/IF, IHC-FrFl, IHC-WhMt, IHC, IHC-Fr,  IHC-P, WB
NBP2-46349
Species: Hu
Applications: IHC,  IHC-P, WB
MAB4375
Species: Hu, Mu, Rt
Applications: IHC
212-GD
Species: Hu
Applications: Bind, BA
NBP2-50037
Species: Hu, Mu, Rt
Applications: ICC/IF, IHC, KO, WB
NBP2-27202
Species: Ca, Ch, ChHa, Fe, Hu, Mu, Ma-Op, Po, Pm, Rt
Applications: ICC/IF, Simple Western, WB
NBP2-62693
Species: Hu
Applications: IHC,  IHC-P
NB600-534
Species: Hu, Mu, Po, V-Vi
Applications: ELISA, Flow, ICC/IF, IHC, IHC-Fr,  IHC-P, In vitro, In vivo, RIA, WB
DBD00
Species: Hu
Applications: ELISA
NBP2-22164
Species: Hu(-), Mu, Rt
Applications: ELISA, ICC/IF, IHC,  IHC-P, IP, WB
NB300-141
Species: Bv, Ch, Eq, Gp, Hu, Mu, Po, Rb, Rt
Applications: ICC/IF, IHC, IHC-Fr,  IHC-P, Simple Western, WB
NB100-1533
Species: Hu, Mu, Po, Rt, Sh
Applications: Flow, ICC/IF, IHC,  IHC-P, PEP-ELISA, WB
AF1445
Species: Mu, Rt
Applications: ELISA(Cap), ELISA(Det), ELISA(Sta), IHC, Neut, Simple Western, WB
NB110-41404
Species: Bv, Hu, Mu, Rt
Applications: ICC/IF, IHC, WB
NB100-1519
Species: Hu, Mu, Rt
Applications: Flow, ICC/IF, IHC-FrFl, PEP-ELISA, WB

Publications for Tyrosine Hydroxylase Antibody (NBP3-44498) (0)

There are no publications for Tyrosine Hydroxylase Antibody (NBP3-44498).
By submitting your publication information earn gift cards and discounts for future purchases.

Reviews for Tyrosine Hydroxylase Antibody (NBP3-44498) (0)

There are no reviews for Tyrosine Hydroxylase Antibody (NBP3-44498). By submitting a review you will receive an Amazon e-Gift Card or Novus Product Discount.
  • Review with no image -- $10/€7/£6/$10 CAD/¥70 Yuan/¥1110 Yen
  • Review with an image -- $25/€18/£15/$25 CAD/¥150 Yuan/¥2500 Yen

Product General Protocols

Find general support by application which include: protocols, troubleshooting, illustrated assays, videos and webinars.

FAQs for Tyrosine Hydroxylase Antibody (NBP3-44498) (0)

There are no specific FAQs related to this product. Read our general customer & technical service FAQs.

Secondary Antibodies

 

Isotype Controls

Additional Tyrosine Hydroxylase Products

Research Areas for Tyrosine Hydroxylase Antibody (NBP3-44498)

Find related products by research area.

Blogs on Tyrosine Hydroxylase.

Successful Transplantation of Friedreich Ataxia Induced Pluripotent Stem Cell (iPSC)-Derived Sensory Neurons in Dorsal Root Ganglia of Adult Rodents
Jamshed Arslan, Pharm D, PhD The dorsal root ganglia (DRG) are a collection of cell bodies of sensory nerves carrying sensory information – including nociception, mechanoreception and proprioception – from periphera...  Read full blog post.

The identification of dopaminergic neurons using Tyrosine Hydroxylase in Parkinson's research and LRRK2
Tyrosine hydroxylase (TH) is a crucial enzyme involved in the biosynthesis of dopamine, norepinephrine and epinephrine in the brain.  Specifically, TH catalyzes the conversion of l-tyrosine to l-dihydroxyphenylalanine (l-dopa).  The importance of t...  Read full blog post.

Tyrosine hydroxylase - a marker for dopaminergic neurons in the central nervous system
Tyrosine hydroxylase is a member of the aromatic amino acid hydroxylase (AAAH) family.  It is expressed throughout the central nervous system (CNS) and catalyzes the conversion of tyrosine to L-3,4-dihydroxyphenylalanine (L-DOPA), which can be, thr...  Read full blog post.

Tyrosine Hydroxylase - rate-limiting enzyme in catecholamine synthesis
Catecholamines are tyrosine-derived hormones that are produced in the adrenal gland. They include epinephrine, norepinephrine, and dopamine and are used as neurotransmitters by the central and peripheral nervous system. The rate limiting enzyme in ...  Read full blog post.

A Big Guy for the Catecholamine Synthesis - Tyrosine hydroxylase (TH)
In the synthesis pathway for the catecholamines - dopamine, epinephrine, and norepinephrine, tyrosine hydroxylase is the rate-limiting enzyme. Through alternative mRNA splicing, a wide molecular diversity of TH isoforms are generated that are tissue-s...  Read full blog post.

Tyrosine Hydroxylase Deficiencies and Neurodegeneration
Tyrosine hydroxylase is the rate-limiting enzyme in the synthesis pathway of the catecholamines dopamine, epinephrine, and norepinephrine. Alternative mRNA splicing generates a wide molecular diversity of TH isoforms that are tissue specific and produ...  Read full blog post.

Tyrosine Hydroxylase Deficiency and Brain Disorders
 Tyrosine hydroxylase catalyzes the rate-limiting step in the biosynthesis of the catecholamines dopamine, norepinephrine, and epinephrine. A hallmark of Parkinson's disease is the loss of dopaminergic neurons in the substantia nigra. Mutations in cas...  Read full blog post.

Customers Who Bought This Also Bought

Contact Information

Product PDFs

Calculators

Concentration Calculator

The concentration calculator allows you to quickly calculate the volume, mass or concentration of your vial. Simply enter your mass, volume, or concentration values for your reagent and the calculator will determine the rest.

=
÷

Review this Product

Be the first to review our Tyrosine Hydroxylase Antibody (CL3049) - Azide and BSA Free and receive a gift card or discount.

Bioinformatics

Gene Symbol TH