TRPM4 Antibody (CL11214) - Azide and BSA Free

Images

 
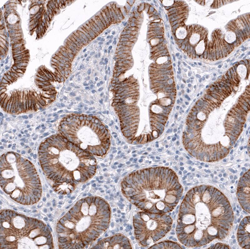
Orthogonal Strategies: Analysis in human duodenum and pancreas tissues using NBP3-43938 antibody. Corresponding TRPM4 RNA-seq data are presented for the same tissues.
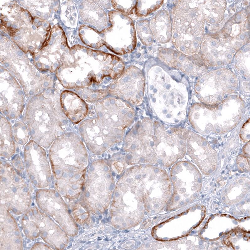
Staining of human kidney shows moderate to strong membranous positivity in cells in tubules.
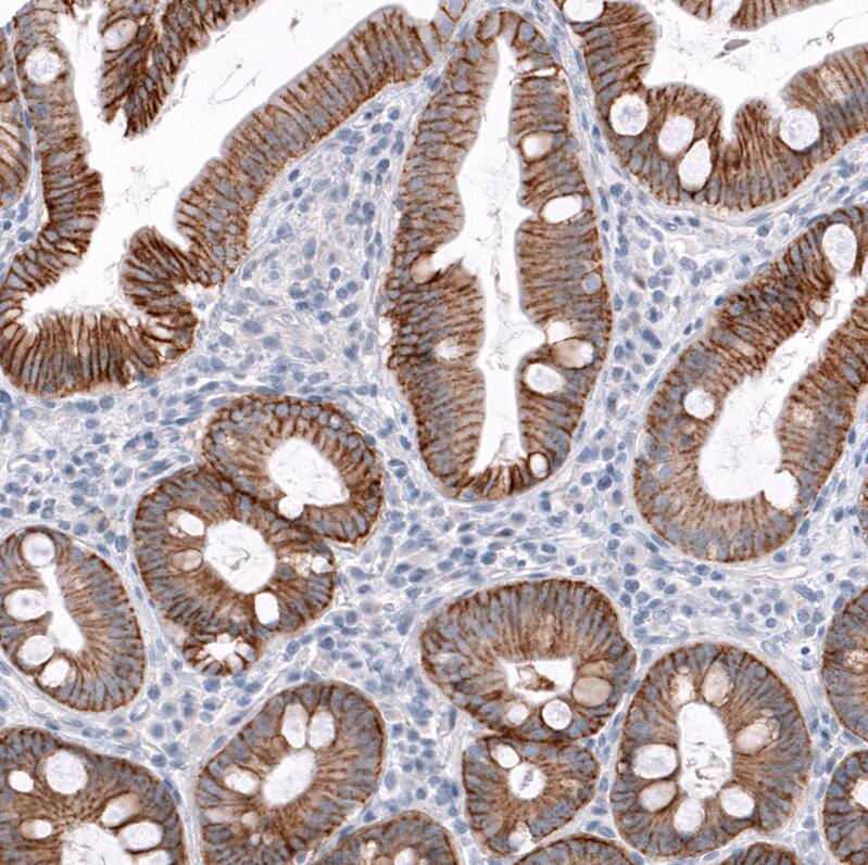
Staining of human duodenum shows strong membranous positivity in glandular cells.
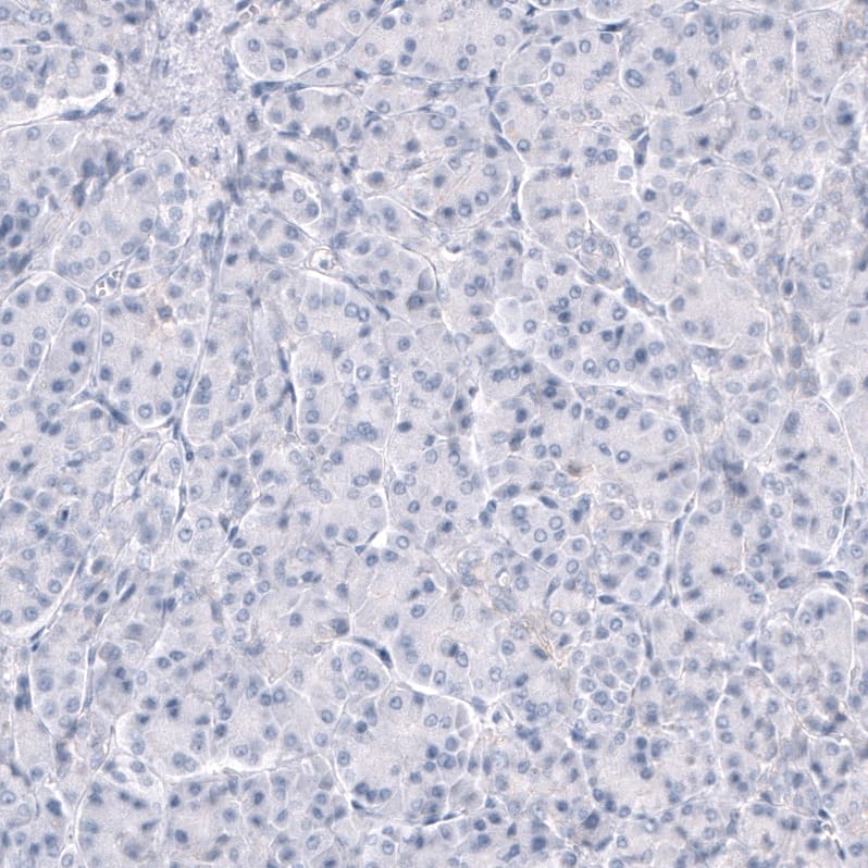
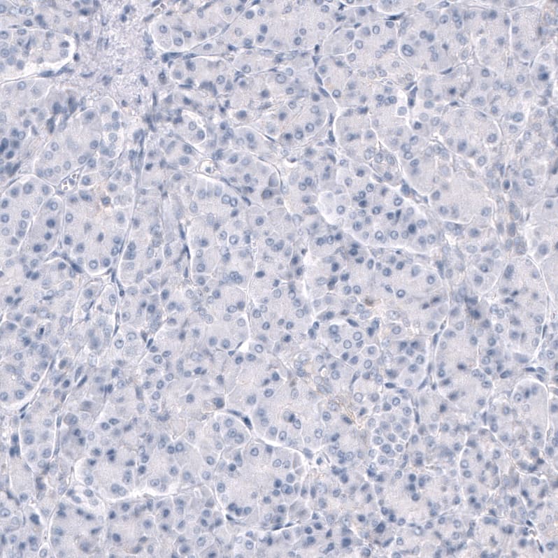
Staining of human pancreas shows no positivity in exocrine glandular cells as expected.
Staining of human prostate shows moderate membranous positivity in glandular cells.
Analysis in human cell line RT-4.
Staining of MCF7 cells using the Anti-TRPM4 monoclonal antibody) .

Product Details

Summary
Reactivity HuSpecies Glossary
Applications WB, ICC/IF, IHC
Clone
CL11214
Clonality
Monoclonal
Host
Mouse
Conjugate
Unconjugated
Format
Azide and BSA Free
Concentration
LYOPH
Validated by:
       

Orthogonal Strategies

 

Order Details

TRPM4 Antibody (CL11214) - Azide and BSA Free Summary

Description
Novus Biologicals Mouse TRPM4 Antibody (CL11214) - Azide and BSA Free (NBP3-07990) is a monoclonal antibody validated for use in IHC, WB and ICC/IF. All Novus Biologicals antibodies are covered by our 100% guarantee.
Immunogen
This antibody was generated using a recombinant protein sequence of Q8TD43, with the exact immunogen sequence remaining proprietary.
Isotype
IgG1
Clonality
Monoclonal
Host
Mouse
Gene
TRPM4
Purity
Protein A purified
Innovator's Reward
Test in a species/application not listed above to receive a full credit towards a future purchase.

Applications/Dilutions

Dilutions
  • Immunocytochemistry/ Immunofluorescence 2-10 ug/ml
  • Immunohistochemistry-Paraffin 1:50 - 1:200
  • Western Blot 1 ug/ml
Application Notes
Immunocytochemistry/ Immunofluorescence/IF, PFA/Triton X-100 is recommended for fixation/permeabilization. For IHC-Paraffin, HIER pH 6 retrieval is recommended.

Packaging, Storage & Formulations

Storage
Store at 4C short term. Aliquot and store at -20C long term. Avoid freeze-thaw cycles.
Buffer
Lyophilized from a 0.2 um filtered solution in PBS with Trehalose
Preservative
No Preservative
Concentration
LYOPH
Purity
Protein A purified
Reconstitution Instructions
Centrifuge the vial of lyophilized antibody at 12,000 x g for 20 seconds. Reconstitute by adding sterile, distilled water to achieve a final antibody concentration of 1mg/ml.

Alternate Names for TRPM4 Antibody (CL11214) - Azide and BSA Free

  • Calcium-activated non-selective cation channel 1
  • FLJ20041
  • hTRPM4
  • Long transient receptor potential channel 4
  • LTrpC4
  • LTrpC-4
  • Melastatin-4
  • PFHB1B
  • transient receptor potential cation channel subfamily M member 4
  • transient receptor potential cation channel, subfamily M, member 4
  • TRPM4
  • TRPM4B

Background

FUNCTION: Calcium-activated non selective (CAN) cation channel that mediates membrane depolarization. While it is activated by increase in intracellular Ca(2+), it is impermeable to it. Mediates transport of monovalent cations (Na(+) > K(+) > Cs(+) > Li(+)), leading to depolarize the membrane. It thereby plays a central role in cadiomyocytes, neurons from entorhinal cortex, dorsal root and vomeronasal neurons, endocrine pancreas cells, kidney epithelial cells, cochlea hair cells etc. Participates in T-cell activation by modulating Ca(2+) oscillations after T lymphocyte activation, which is required for NFAT-dependent IL2 production. Involved in myogenic constriction of cerebral arteries. Controls insulin secretion in pancreatic beta-cells. May also be involved in pacemaking or could cause irregular electrical activity under conditions of Ca(2+) overload.; ENZYME REGULATION: Gating is voltage-dependent and repressed by decavanadate. Calmodulin-binding confers the Ca(2+) sensitivity. ATP is able to restore Ca(2+) sensitivity after desensitization. Phosphatidylinositol 4,5-biphosphate (PIP2)-binding strongly enhances activity, by increasing the channel's Ca(2+) sensitivity and shifting its voltage dependence of activation towards negative potentials. Activity is also enhanced by 3,5-bis(trifluoromethyl)pyrazole derivative (BTP2). SUBUNIT: Homomultimer. SUBCELLULAR LOCATION: Cell membrane; Multi-pass membrane protein. TISSUE SPECIFICITY: Widely expressed with a high expression in intestine and prostate. In brain, it is both expressed in whole cerebral arteries and isolated vascular smooth muscle cells.

Limitations

This product is for research use only and is not approved for use in humans or in clinical diagnosis. Primary Antibodies are guaranteed for 1 year from date of receipt.

Customers Who Viewed This Item Also Viewed...

NBP2-49671
Species: Hu
Applications: ICC/IF, IHC,  IHC-P
NBP1-88370
Species: Hu, Mu
Applications: ICC/IF, IHC,  IHC-P, WB
NBP2-88493
Species: Hu
Applications: IHC,  IHC-P, WB
NBP2-12906
Species: Hu, Mu, Rt
Applications: ICC/IF, IHC,  IHC-P, MiAr, WB
NB100-98844
Species: Hu, Mu, Rt
Applications: ICC/IF, IHC, WB
NB110-81601
Species: Mu, Rt
Applications: ICC/IF, IHC, IHC-Fr,  IHC-P, WB
NBP1-77260
Species: Hu, Mu, Rt
Applications: ELISA, ICC/IF, IHC,  IHC-P, WB
NBP1-77262
Species: Hu, Mu
Applications: ELISA, ICC/IF, IHC,  IHC-P, WB
NBP1-97311
Species: Hu, Mu, Rt
Applications: ICC/IF, IHC,  IHC-P, KD, WB
NB110-74960
Species: Hu, Pm, Mu, Rt
Applications: ICC/IF, IHC,  IHC-P, WB
NBP1-97417
Species: Hu, In, Mu, Pm, Rt
Applications: ICC/IF, IF, IHC (-), WB
AF2747
Species: Mu
Applications: ELISA(Cap), ELISA(Det), ELISA(Sta), IHC, IP, WB
NBP1-32096
Species: Hu, Mu
Applications: ICC/IF, IHC,  IHC-P, WB
NBP2-58415
Species: Hu
Applications: IHC,  IHC-P
NB100-98864
Species: Hu, Mu, Rt
Applications: IHC,  IHC-P, WB
MAB1417
Species: Bv, Hu, Mu
Applications: ICC, IHC
NB110-40763
Species: Gp, Hu, Mu, Rt, Ze
Applications: ELISA, Flow-IC, Flow, ICC/IF, IHC, IHC-Fr,  IHC-P, WB
NBP1-20989
Species: Hu, Rt
Applications: IHC,  IHC-P, PEP-ELISA, WB

Publications for TRPM4 Antibody (NBP3-43938) (0)

There are no publications for TRPM4 Antibody (NBP3-43938).
By submitting your publication information earn gift cards and discounts for future purchases.

Reviews for TRPM4 Antibody (NBP3-43938) (0)

There are no reviews for TRPM4 Antibody (NBP3-43938). By submitting a review you will receive an Amazon e-Gift Card or Novus Product Discount.
  • Review with no image -- $10/€7/£6/$10 CAD/¥70 Yuan/¥1110 Yen
  • Review with an image -- $25/€18/£15/$25 CAD/¥150 Yuan/¥2500 Yen

Product General Protocols

Find general support by application which include: protocols, troubleshooting, illustrated assays, videos and webinars.

Video Protocols

WB Video Protocol
ICC/IF Video Protocol

FAQs for TRPM4 Antibody (NBP3-43938) (0)

There are no specific FAQs related to this product. Read our general customer & technical service FAQs.

Secondary Antibodies

 

Isotype Controls

Additional TRPM4 Products

Research Areas for TRPM4 Antibody (NBP3-43938)

Find related products by research area.

Blogs on TRPM4.

Winter is coming, and TRPM8 welcomes the cold!
TRPM8, or transient receptor potential melastatin 8, is a nonselective cation channel that is activated by cold environments and menthol-like cooling compounds.  While TRPM8 is best known for its location in peripheral nerve endings, it has functio...  Read full blog post.

Customers Who Bought This Also Bought

Contact Information

Product PDFs

Calculators

Concentration Calculator

The concentration calculator allows you to quickly calculate the volume, mass or concentration of your vial. Simply enter your mass, volume, or concentration values for your reagent and the calculator will determine the rest.

=
÷

Review this Product

Be the first to review our TRPM4 Antibody (CL11214) - Azide and BSA Free and receive a gift card or discount.

Bioinformatics

Gene Symbol TRPM4