STAT3 Antibody (CL0490) - Azide and BSA Free

Images

 
Orthogonal Strategies: Analysis in human prostate and pancreas tissues using NBP3-43940 antibody. Corresponding STAT3 RNA-seq data are presented for the same tissues.
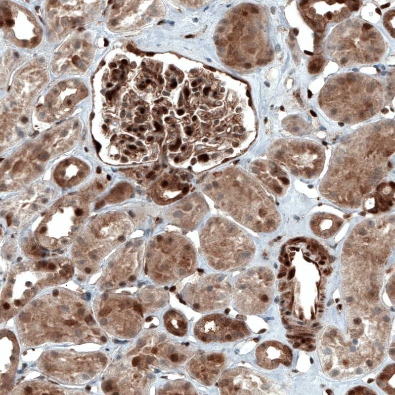
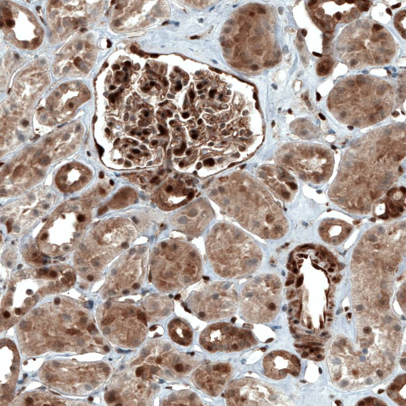
Staining of human kidney shows moderate to strong nuclear and cytoplasmic positivity in cells in glomeruli and tubuli.
Staining of human prostate shows moderate to strong nuclear and cytoplasmic positivity in glandular cells.
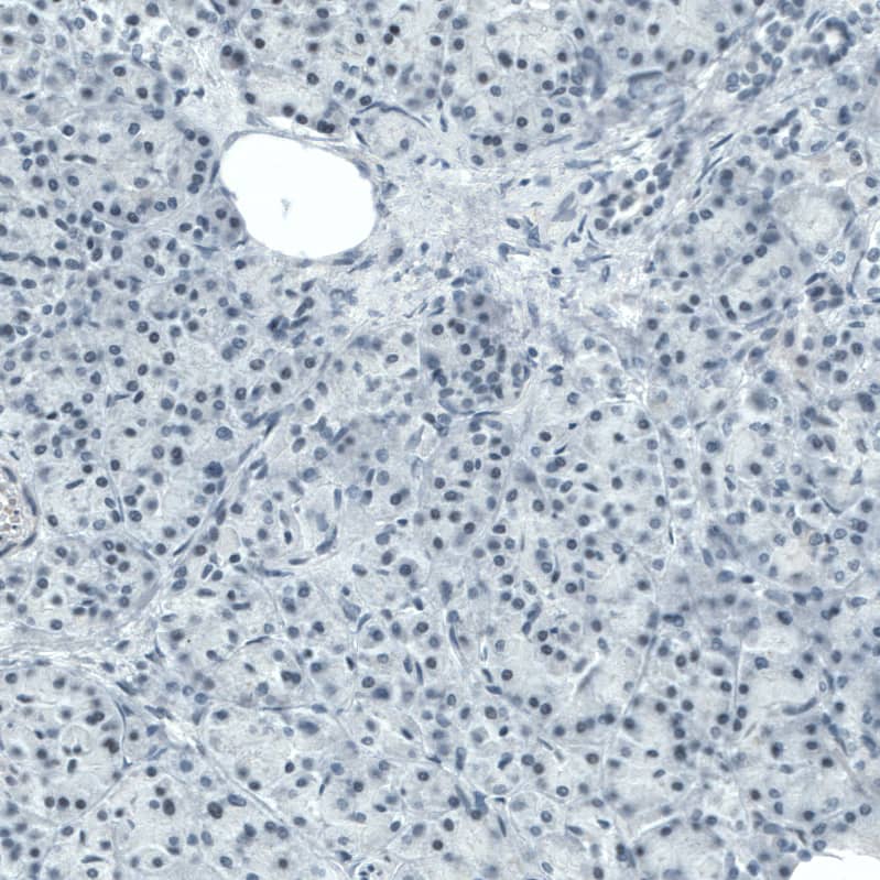
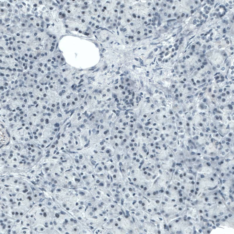
Staining of human pancreas shows no positivity in exocrine glandular cells as expected.
Staining of human stomach cancer shows moderate to strong nuclear and cytoplasmic positivity in a subset of tumor cells.
Genetic Strategies: Analysis in RT-4 cells transfected with control siRNA, target specific siRNA probe #1, using Anti-STAT3 antibody. Remaining relative intensity is presented. Loading control: Anti-GAPDH.

Product Details

Summary
Reactivity HuSpecies Glossary
Applications WB, IHC
Clone
CL0490
Clonality
Monoclonal
Host
Mouse
Conjugate
Unconjugated
Format
Azide and BSA Free
Concentration
LYOPH

Order Details

STAT3 Antibody (CL0490) - Azide and BSA Free Summary

Description
Novus Biologicals Mouse STAT3 Antibody (CL0490) - Azide and BSA Free (NBP2-52935) is a monoclonal antibody validated for use in IHC and WB. All Novus Biologicals antibodies are covered by our 100% guarantee.
Immunogen
This antibody was generated using a recombinant protein sequence of P40763, with the exact immunogen sequence remaining proprietary.
Isotype
IgG1
Clonality
Monoclonal
Host
Mouse
Gene
STAT3
Purity
Protein A purified
Innovator's Reward
Test in a species/application not listed above to receive a full credit towards a future purchase.

Applications/Dilutions

Dilutions
  • Immunohistochemistry-Paraffin 1:50 - 1:200
  • Western Blot 1 ug/ml
Application Notes
For IHC-Paraffin, HIER pH 6 retrieval is recommended.

Packaging, Storage & Formulations

Storage
Store at 4C short term. Aliquot and store at -20C long term. Avoid freeze-thaw cycles.
Buffer
Lyophilized from a 0.2 um filtered solution in PBS with Trehalose
Preservative
No Preservative
Concentration
LYOPH
Purity
Protein A purified
Reconstitution Instructions
Centrifuge the vial of lyophilized antibody at 12,000 x g for 20 seconds. Reconstitute by adding sterile, distilled water to achieve a final antibody concentration of 1mg/ml.

Alternate Names for STAT3 Antibody (CL0490) - Azide and BSA Free

  • Acute-phase response factor
  • APRFMGC16063
  • DNA-binding protein APRF
  • FLJ20882
  • HIES
  • signal transducer and activator of transcription 3 (acute-phase responsefactor)
  • signal transducer and activator of transcription 3
  • STAT3

Background

Stat3 is a member of a group of proteins (Signal Transduction and Activators of Transcription) that act as both signal transducers for cytokines and growth factors, as well as transcription factors (1,2). Stats are activated by tyrosine phosphorylation in response to different ligands, after which they translocate to the cell nucleus (1). Stat3 is constitutively activated in a number of human tumors (3). Stat3 is activated by phosphorylation on tyrosine 705 which induces dimerization, nuclear translocation, and DNA binding While, Stat3-activated transcription seems to be regulated by serine phosphorylation at serine 727 (4)

Limitations

This product is for research use only and is not approved for use in humans or in clinical diagnosis. Primary Antibodies are guaranteed for 1 year from date of receipt.

Customers Who Viewed This Item Also Viewed...

M6000B
Species: Mu
Applications: ELISA
AF2894
Species: Hu, Mu
Applications: CyTOF-ready, ICFlow, Simple Western, WB
NBP2-59451
Species: Hu
Applications: ELISA, Flow, ICC/IF, MiAr, Simple Western, WB
NB400-141
Species: Ha, Hu, Mu
Applications: ICC/IF, IP, WB
AF1230
Species: Hu, Mu, Rt
Applications: IHC, KO, WB
NBP2-22203
Species: Hu, Pm, Mu, Rt
Applications: ELISA, Flow, ICC/IF, IHC,  IHC-P, WB
AF2168
Species: Hu, Mu
Applications: ChIP, Simple Western, WB
AF1584
Species: Hu, Mu
Applications: CyTOF-ready, ICC, IP, ICFlow, KO, Simple Western, WB
DY417
Species: Mu
Applications: ELISA
AF887
Species: Hu, Mu, Rt
Applications: CyTOF-ready, IHC, ICFlow, Simple Western, WB
AF231
Species: Hu
Applications: CyTOF-ready, Dual ISH-IHC, ELISA(Cap), ELISA(Det), ELISA(Sta), Flow, ICC, IHC, IP, Simple Western, WB
7734-LF
Species: Hu
Applications: BA
DGP00
Species: Hu
Applications: ELISA
DVE00
Species: Hu
Applications: ELISA
MAB4260
Species: Hu, Mu, Rt
Applications: Simple Western, WB
MAB5696
Species: Hu, Mu
Applications: WB
AF467
Species: Hu, Mu
Applications: CyTOF-ready, Flow, ICC, IHC, Simple Western, WB
DLP00
Species: Hu
Applications: ELISA
NB100-56104
Species: Ca, Hu, Mu, Rt
Applications: IHC, IHC-Fr,  IHC-P, IP, WB

Publications for STAT3 Antibody (NBP3-43940) (0)

There are no publications for STAT3 Antibody (NBP3-43940).
By submitting your publication information earn gift cards and discounts for future purchases.

Reviews for STAT3 Antibody (NBP3-43940) (0)

There are no reviews for STAT3 Antibody (NBP3-43940). By submitting a review you will receive an Amazon e-Gift Card or Novus Product Discount.
  • Review with no image -- $10/€7/£6/$10 CAD/¥70 Yuan/¥1110 Yen
  • Review with an image -- $25/€18/£15/$25 CAD/¥150 Yuan/¥2500 Yen

Product General Protocols

Find general support by application which include: protocols, troubleshooting, illustrated assays, videos and webinars.

Video Protocols

WB Video Protocol

FAQs for STAT3 Antibody (NBP3-43940) (0)

There are no specific FAQs related to this product. Read our general customer & technical service FAQs.

Secondary Antibodies

 

Isotype Controls

Additional STAT3 Products

Research Areas for STAT3 Antibody (NBP3-43940)

Find related products by research area.

Blogs on STAT3.

Signal Transducer and Activator of Transcription STAT6: More than a Player in Allergic Inflammation
By Jamshed Arslan, Pharm. D., PhD. What is STAT6?The cellular pathway comprising tyrosine kinase Janus Kinase (JAK) and the transcription factor STAT connect extracellular signals from various cytokines, hormones an...  Read full blog post.

Using a STAT3 antibody in chromatin immunoprecipitation (ChIP)
Signal transducer and activator of transcription 3 (STAT3) is an important oncogenic transcriptional factor that mediates tumor induced immune suppression.  Specifically, STAT3 transmits signals from cytokines and growth factor receptors in the pla...  Read full blog post.

KLF4 as a transcription factor in stem cell differentiation
Kru¨ppel-like factors (KLFs) are evolutionarily conserved zinc finger transcription factors that play a role in cell differentiation, proliferation, and pluripotency. KLF4 has specifically been tied to many diverse cellular processes, including sel...  Read full blog post.

HLA G - mediating immune tolerance during pregnancy
Human leukocyte antigen G (HLA G) is a major histocompatibility complex (MHC) class I molecule that is primarily expressed in the placenta and is essential for the immune tolerance of the fetus during pregnancy. Unlike many HLA genes, HLA G has re...  Read full blog post.

HIF-1 beta - activating gene transcription in response to hypoxia
Hypoxia-inducible factor 1 (HIF-1) is a heterodimeric transcription factor consisting of alpha and beta subunits. The levels of functional HIF-1 in the cell depends on the level of oxygen allowing cells to respond to hypoxic conditions. HIF-1a is a...  Read full blog post.

TLR4 - A Guardian of Innate Immunity
Toll-like receptor 4 (TLR4) belongs to the family of Toll-like receptors (TLR), and plays a main role in pathogen recognition and innate immunity system activation. The TLR family members are highly conserved proteins that all contain a high degree of...  Read full blog post.

Thymoquinone: A Natural Product with Diverse Therapeutic Potential
Thymoquinone (2-isopropyl-5-methyl-1,4-benzoquinone, or TQ) is derived from the seeds of the black cumin plant Nigella sativa. It has been reported to have a number of beneficial properties including anti-oxidative, anti-inflammatory and anti-tumorige...  Read full blog post.

Survivin Acetylation: Affecting Apoptosis and Cancer
Survivin (BRIC5) is an inhibitor of apoptosis that also promotes cellular adaptation under stressful conditions and helps to regulate cell division. Recently, an antibody study by Dr. H Wang et al. at Brown University [PMID: 20826784] found that Survi...  Read full blog post.

Customers Who Bought This Also Bought

Contact Information

Product PDFs

Calculators

Concentration Calculator

The concentration calculator allows you to quickly calculate the volume, mass or concentration of your vial. Simply enter your mass, volume, or concentration values for your reagent and the calculator will determine the rest.

=
÷

Review this Product

Be the first to review our STAT3 Antibody (CL0490) - Azide and BSA Free and receive a gift card or discount.

Bioinformatics

Gene Symbol STAT3