SOX4 Antibody (CL5665) - Azide and BSA Free

Images

 
Staining of human endometrium shows moderate to strong nuclear positivity in stromal cells.
Staining of human glioma shows moderate to strong nuclear positivity in tumor cells.
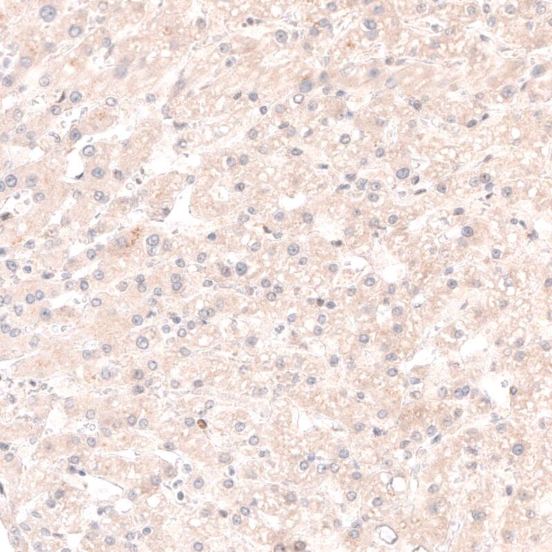
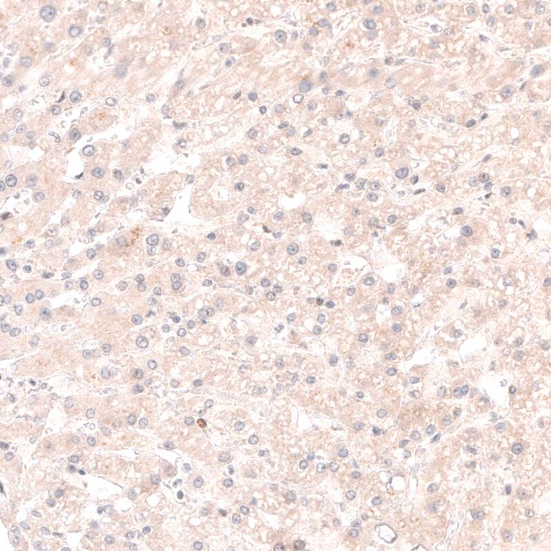
Staining of human liver shows no nuclear positivity in hepatocytes as expected.
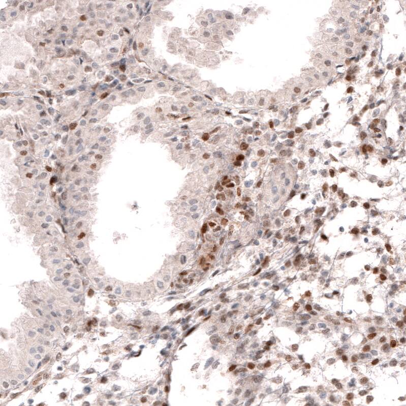
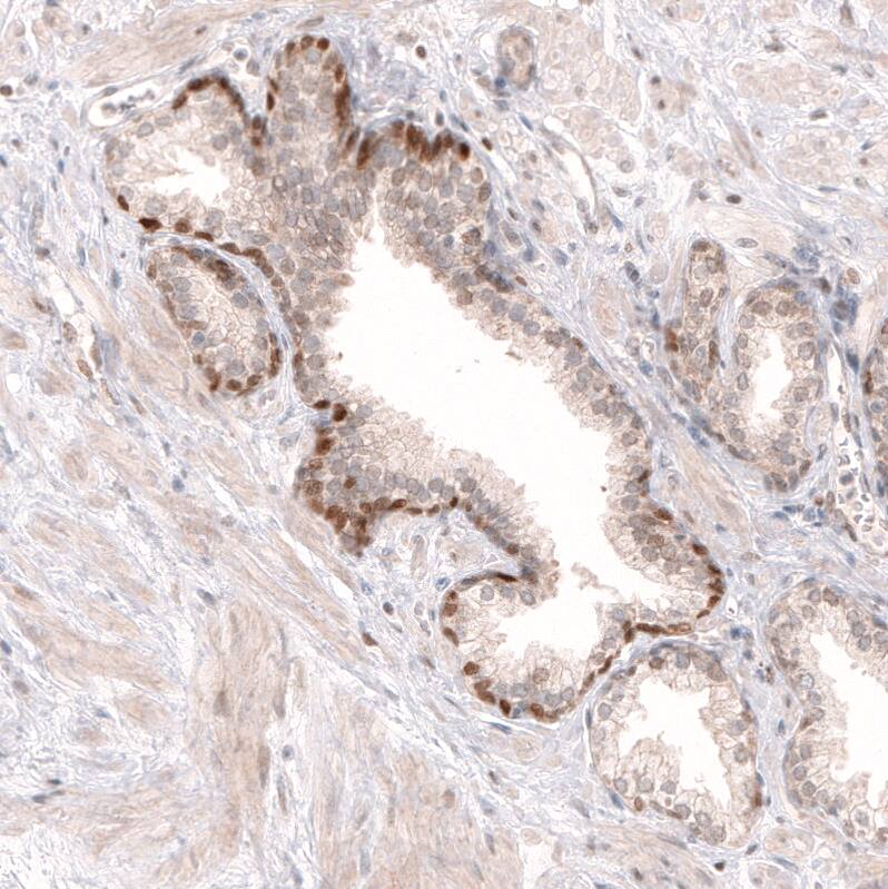
Staining of human prostate shows moderate to strong nuclear positivity in a subset of glandular cells.
Staining of rat brain shows strong nuclear positivity in a subset of neuronal cells in dentate gyrus.
Staining of SH-SY5Y cells using the Anti-SOX4 monoclonal antibody) .
Staining of mouse forebrain shows strong positivity in cells in rostral migratory stream.
Staining of mouse dentate gyrus shows strong nuclear positivity in a subset of neuronal cells.

Product Details

Summary
Reactivity Hu, Mu, RtSpecies Glossary
Applications ICC/IF, IHC
Clone
CL5665
Clonality
Monoclonal
Host
Mouse
Conjugate
Unconjugated
Format
Azide and BSA Free
Concentration
LYOPH

Order Details

SOX4 Antibody (CL5665) - Azide and BSA Free Summary

Description
Novus Biologicals Mouse SOX4 Antibody (CL5665) - Azide and BSA Free (NBP2-61421) is a monoclonal antibody validated for use in IHC and ICC/IF. All Novus Biologicals antibodies are covered by our 100% guarantee.
Immunogen
This antibody was generated using a synthetic peptide of Q06945, with the exact immunogen sequence remaining proprietary.
Isotype
IgG1
Clonality
Monoclonal
Host
Mouse
Gene
SOX4
Purity
Protein A purified
Innovator's Reward
Test in a species/application not listed above to receive a full credit towards a future purchase.

Applications/Dilutions

Dilutions
  • Immunocytochemistry/ Immunofluorescence 2-10 ug/ml
  • Immunohistochemistry-Paraffin 1:1000 - 1:2500
Application Notes
For IHC-Paraffin, HIER pH 6 retrieval is recommended. Immunocytochemistry/ Immunofluorescence/IF, Fixation Permeabilization: PFA/Triton X-100

Packaging, Storage & Formulations

Storage
Store at 4C short term. Aliquot and store at -20C long term. Avoid freeze-thaw cycles.
Buffer
Lyophilized from a 0.2 um filtered solution in PBS with Trehalose
Preservative
No Preservative
Concentration
LYOPH
Purity
Protein A purified
Reconstitution Instructions
Centrifuge the vial of lyophilized antibody at 12,000 x g for 20 seconds. Reconstitute by adding sterile, distilled water to achieve a final antibody concentration of 1mg/ml.

Alternate Names for SOX4 Antibody (CL5665) - Azide and BSA Free

  • ecotropic viral integration site 16
  • EVI16
  • SRY (sex determining region Y)-box 4
  • SRY-related HMG-box gene 4
  • transcription factor SOX-4

Background

SOX4 encodes a member of the SOX (SRY-related HMG-box) family of transcription factors involved in the regulation of embryonic development and in the determination of the cell fate. The encoded protein may act as a transcriptional regulator after forming a protein complex with other proteins, such as syndecan binding protein (syntenin). The protein may function in the apoptosis pathway leading to cell death as well as to tumorigenesis and may mediate downstream effects of parathyroid hormone (PTH) and PTH-related protein (PTHrP) in bone development. The solution structure has been resolved for the HMG-box of a similar mouse protein.

Limitations

This product is for research use only and is not approved for use in humans or in clinical diagnosis. Primary Antibodies are guaranteed for 1 year from date of receipt.

Customers Who Viewed This Item Also Viewed...

NBP2-31371
Species: Hu
Applications: ICC/IF, IHC,  IHC-P, WB
NBP3-41295
Species: Hu
Applications: IHC,  IHC-P, WB
AF2018
Species: Hu, Mu, Rt
Applications: ChIP, ICC, IHC, Simple Western, WB
AF3075
Species: Hu
Applications: ICC, Simple Western, WB
AF4070
Species: Hu
Applications: ICC, WB
AF5286
Species: Hu
Applications: WB
H00006666-Q01
Species: Hu
Applications: ELISA, AP, PA, PAGE, WB
NBP2-32840
Species: Hu, Pm, Mu, Rt
Applications: Flow, ICC/IF, IHC,  IHC-P, WB
AF1924
Species: Hu
Applications: ChIP, ICC, Simple Western, WB
NBP1-86960
Species: Hu
Applications: ChIP-EXO-SEQ, ICC/IF, IHC,  IHC-P, WB
NB200-103
Species: Hu, Mu, Rt, Xp(-), Ye
Applications: CyTOF-ready, ELISA, Flow-IC, Flow, ICC/IF, IHC, IHC-Fr,  IHC-P, IP, WB
BBA10
Species: Hu
Applications: CyTOF-ready, Flow, IHC, IP, KO, Simple Western, WB
NBP2-29463
Species: Pm, Hu, Pm, Mu
Applications: Flow, ICC/IF, IHC,  IHC-P, WB
NB110-68136
Species: Fe, Hu, Mu, Rt
Applications: CyTOF-ready, ELISA, Flow-IC, Flow, ICC/IF, IHC, IHC-Fr,  IHC-P, WB
NBP1-80306
Species: Av, Hu
Applications: ICC/IF, IHC,  IHC-P, KD, WB
H00006934-M06
Species: Hu, Mu
Applications: ELISA, ICC/IF, IHC,  IHC-P, WB
MAB8224
Species: Mu
Applications: CyTOF-ready, ICFlow, WB
NBP3-44188
Species: Hu, Mu, Rt
Applications: ICC/IF, IHC

Publications for SOX4 Antibody (NBP3-44188) (0)

There are no publications for SOX4 Antibody (NBP3-44188).
By submitting your publication information earn gift cards and discounts for future purchases.

Reviews for SOX4 Antibody (NBP3-44188) (0)

There are no reviews for SOX4 Antibody (NBP3-44188). By submitting a review you will receive an Amazon e-Gift Card or Novus Product Discount.
  • Review with no image -- $10/€7/£6/$10 CAD/¥70 Yuan/¥1110 Yen
  • Review with an image -- $25/€18/£15/$25 CAD/¥150 Yuan/¥2500 Yen

Product General Protocols

Find general support by application which include: protocols, troubleshooting, illustrated assays, videos and webinars.

Video Protocols

ICC/IF Video Protocol

FAQs for SOX4 Antibody (NBP3-44188) (0)

There are no specific FAQs related to this product. Read our general customer & technical service FAQs.

Secondary Antibodies

 

Isotype Controls

Additional SOX4 Products

Research Areas for SOX4 Antibody (NBP3-44188)

Find related products by research area.

Blogs on SOX4.

Bad news for stomach cancer: BAMBI protein inhibits gastric carcinoma via TGF-beta/epithelial-mesenchymal transition signaling
By Jamshed Arslan Pharm.D. Gastric carcinoma is the second leading cause of cancer-related deaths worldwide. One of the key features of gastric carcinoma is acidosis, which promotes growth and metastasis of gastric ...  Read full blog post.

Customers Who Bought This Also Bought

Contact Information

Product PDFs

Calculators

Concentration Calculator

The concentration calculator allows you to quickly calculate the volume, mass or concentration of your vial. Simply enter your mass, volume, or concentration values for your reagent and the calculator will determine the rest.

=
÷

Review this Product

Be the first to review our SOX4 Antibody (CL5665) - Azide and BSA Free and receive a gift card or discount.

Bioinformatics

Gene Symbol SOX4