SLC16A4 Antibody - BSA Free

Images

 
Immunocytochemistry/ Immunofluorescence: SLC16A4 Antibody [NBP2-13315] - Staining of human cell line BJ shows localization to microtubules. Antibody staining is shown in green.
Immunohistochemistry: SLC16A4 Antibody [NBP2-13315] - Staining of human kidney shows strong cytoplasmic and membranous positivity in cells in tubules.
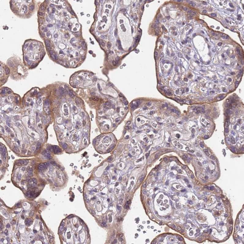
Immunohistochemistry-Paraffin: SLC16A4 Antibody [NBP2-13315] - Staining of human placenta shows moderate membranous positivity in trohphoblastic cells.
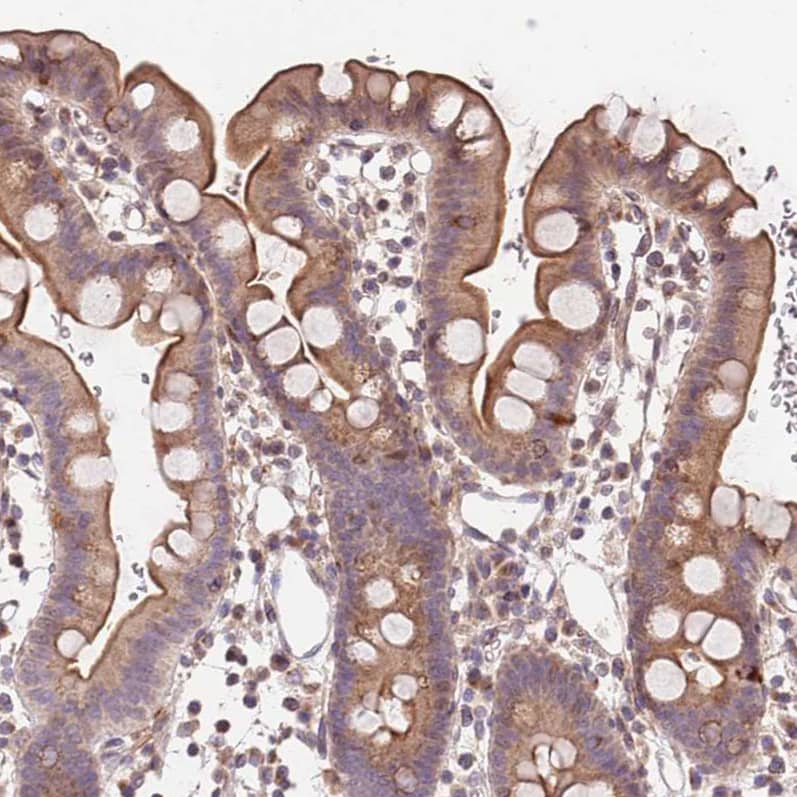
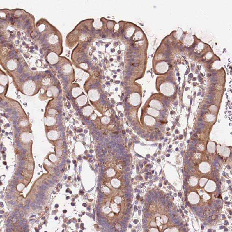
Immunohistochemistry-Paraffin: SLC16A4 Antibody [NBP2-13315] - Staining of human small intestine shows moderate membranous and cytoplasmic positivity in glandular cells.
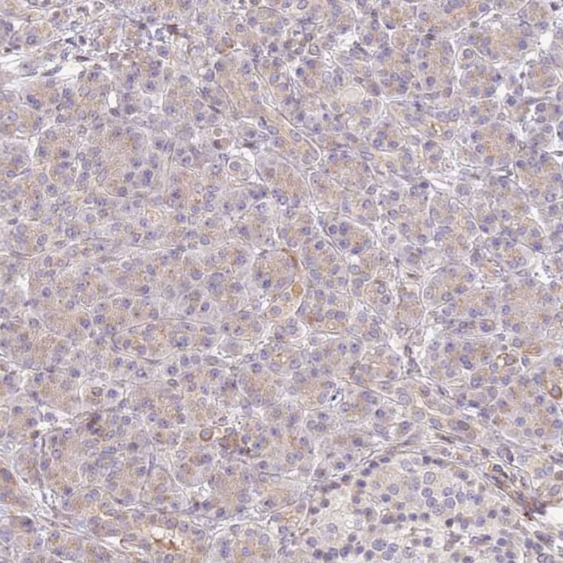
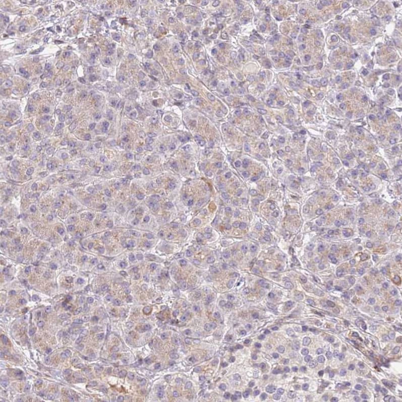
Immunohistochemistry-Paraffin: SLC16A4 Antibody [NBP2-13315] - Staining of human pancreas shows only very weak cytoplasmic positivity exocrine glandular cells.
Staining of human pancreas shows only very weak cytoplasmic positivity in exocrine glandular cells.
Staining of human placenta shows moderate membranous positivity in trophoblastic cells.
Staining of human small intestine shows moderate membranous and cytoplasmic positivity in glandular cells.

Product Details

Summary
Reactivity HuSpecies Glossary
Applications ICC/IF, IHC
Clonality
Polyclonal
Host
Rabbit
Conjugate
Unconjugated
Format
BSA Free

Order Details

View Available Formulations
Catalog# & Formulation Size Price

SLC16A4 Antibody - BSA Free Summary

Description
Novus Biologicals Rabbit SLC16A4 Antibody - BSA Free (NBP2-13315) is a polyclonal antibody validated for use in IHC and ICC/IF. Anti-SLC16A4 Antibody: Cited in 1 publication. All Novus Biologicals antibodies are covered by our 100% guarantee.
Immunogen
This antibody was developed against a recombinant protein corresponding to the amino acids: LRPIHIKSENNSGIKDKGSSLSAHGPEAHATETHCHETEESTIKDSTTQKAGLPSK
Isotype
IgG
Clonality
Polyclonal
Host
Rabbit
Gene
SLC16A4
Purity
Affinity purified
Innovator's Reward
Test in a species/application not listed above to receive a full credit towards a future purchase.

Applications/Dilutions

Dilutions
  • Immunocytochemistry/ Immunofluorescence 0.25-2 ug/ml
  • Immunohistochemistry 1:200 - 1:500
  • Immunohistochemistry-Paraffin 1:200-1:500
Application Notes
For IHC-Paraffin, HIER pH 6 retrieval is recommended. ICC/IF Fixation Permeabilization: Use PFA/Triton X-100.
Control Peptide
SLC16A4 Protein (NBP2-13315PEP)
Publications
Read Publication using
NBP2-13315 in the following applications:

Packaging, Storage & Formulations

Storage
Store at 4C short term. Aliquot and store at -20C long term. Avoid freeze-thaw cycles.
Buffer
PBS (pH 7.2) and 40% Glycerol
Preservative
0.02% Sodium Azide
Purity
Affinity purified

Alternate Names for SLC16A4 Antibody - BSA Free

  • MCT 5
  • MCT 6
  • MCT5
  • MCT6
  • Monocarboxylate transporter 5
  • Monocarboxylic acid transporter 5
  • Monocarboxylic acid transporter 6
  • MOT5
  • SLC16A4
  • SLC16A5
  • solute carrier family 16 (monocarboxylic acid transporters) member 5
  • Solute carrier family 16 member 5

Background

Proton-linked monocarboxylate transporter. Catalyzes the rapid transport across the plasma membrane of many monocarboxylates such as lactate, pyruvate, branched-chain oxo acids derived from leucine, valine and isoleucine, and the ketone bodies acetoacetate, beta-hydroxybutyrate and acetate.

Limitations

This product is for research use only and is not approved for use in humans or in clinical diagnosis. Primary Antibodies are guaranteed for 1 year from date of receipt.

Customers Who Viewed This Item Also Viewed...

NBP1-59656
Species: Hu, Mu
Applications: ICC/IF, IHC,  IHC-P, KD, Simple Western, WB
NBP2-03626
Species: Hu, Mu, Rt
Applications: IHC,  IHC-P, WB
MAB4099
Species: Hu
Applications: ELISA, IP, WB
NBP1-83936
Species: Hu
Applications: IHC,  IHC-P, WB
AF3998
Species: Hu
Applications: WB
AF972
Species: Hu
Applications: ELISA, IHC, KO, Simple Western, WB
NBP1-87846
Species: Hu
Applications: IHC,  IHC-P, WB
NBP1-81251
Species: Hu, Mu
Applications: ICC/IF, IHC, IHC-Fr,  IHC-P, Simple Western, WB
NB110-39113
Species: Hu, Mu, Rb, Rt
Applications: ChIP, ChIP, Flow-IC, Flow, ICC/IF, IHC, IHC-Fr,  IHC-P, In vitro, Simple Western, WB
NBP1-59885
Species: Hu, Mu
Applications: IHC,  IHC-P, WB
NBP2-57308
Species: Hu, Mu
Applications: ICC/IF, IHC,  IHC-P
NBP2-43648
Species: Hu, Mu, Rt, Ze
Applications: ICC/IF, IHC,  IHC-P, WB
NB100-105
Species: Bv, Ca, Fe, Ma, Hu, Pm, Mu, Po, Pm, Rb, Rt, Sh, Xp
Applications: ChIP, ChIP, ELISA, Flow, GS, IA, IB, ICC/IF, IHC-FrFl, IHC, IHC-Fr,  IHC-P, IP, In vitro, KD, KO, LA, PLA, Simple Western, TCS, WB
NBP1-49533
Species: Hu, Mu, Pl, Rt
Applications: Flow-IC, Flow, ICC/IF, IHC,  IHC-P, KD, WB
NBP1-76847
Species: Hu, Mu, Rt
Applications: ELISA, ICC/IF, IHC,  IHC-P, WB
NBP2-31578
Species: Hu
Applications: IHC,  IHC-P
NB100-524
Species: Hu, Mu
Applications: Flow-IC, Flow, ICC/IF, IHC, IHC-Fr,  IHC-P, IP, WB
NBP2-79843
Species: Hu
Applications: CyTOF-ready, ELISA, Flow, ICC/IF, IHC,  IHC-P, PA, WB
7268-CT
Species: Hu
Applications: BA
NB100-417
Species: Hu, Mu, Pl, Rt
Applications: ChIP, Dual ISH-IHC, ELISA, Flow, GS, IB, ICC/IF, IHC, IHC-Fr,  IHC-P, IP, MiAr, PLA, Simple Western, WB

Publications for SLC16A4 Antibody (NBP2-13315)(1)

We have publications tested in 1 confirmed species: Human.

We have publications tested in 1 application: IF/IHC.


Filter By Application
IF/IHC
(1)
All Applications
Filter By Species
Human
(1)
All Species

Reviews for SLC16A4 Antibody (NBP2-13315) (0)

There are no reviews for SLC16A4 Antibody (NBP2-13315). By submitting a review you will receive an Amazon e-Gift Card or Novus Product Discount.
  • Review with no image -- $10/€7/£6/$10 CAD/¥70 Yuan/¥1110 Yen
  • Review with an image -- $25/€18/£15/$25 CAD/¥150 Yuan/¥2500 Yen

Product General Protocols

Find general support by application which include: protocols, troubleshooting, illustrated assays, videos and webinars.

Video Protocols

ICC/IF Video Protocol

FAQs for SLC16A4 Antibody (NBP2-13315) (0)

There are no specific FAQs related to this product. Read our general customer & technical service FAQs.

Customers Who Bought This Also Bought

Contact Information

Product PDFs

Calculators

Concentration Calculator

The concentration calculator allows you to quickly calculate the volume, mass or concentration of your vial. Simply enter your mass, volume, or concentration values for your reagent and the calculator will determine the rest.

=
÷

Review this Product

Be the first to review our SLC16A4 Antibody - BSA Free and receive a gift card or discount.

Bioinformatics

Gene Symbol SLC16A4