Semaphorin 6A Antibody

Images

 
Western Blot: Semaphorin 6A Antibody [NBP1-31551] - Sample(30 ug whole cell lysate) A:A431 B:Hep G2 7.5% SDS PAGE, antibody diluted at 1:1000.
Immunocytochemistry/ Immunofluorescence: Semaphorin 6A Antibody [NBP1-31551] - [N2C1], Internal detects SEMA6A protein at cytoplasm by immunofluorescent analysis. Sample: A431 cells were fixed in 4% paraformaldehyde at ...read more
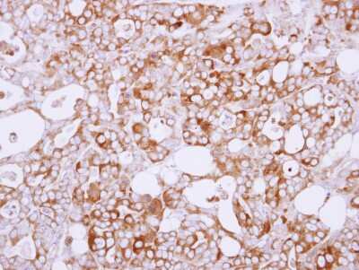
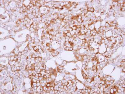
Immunohistochemistry-Paraffin: Semaphorin 6A Antibody [NBP1-31551] - Paraffin-embedded NCI-N87 xenograft, using antibody at 1:100 dilution.
Western Blot: Semaphorin 6A Antibody [NBP1-31551] - Sample (50 ug of whole cell lysate) A: Mouse brain 7. 5% SDS PAGE; antibody diluted at 1:1000.
Simple Western: Semaphorin 6A Antibody [NBP1-31551] - Simple Western lane view shows a specific band for Semaphorin 6A in 0.5 mg/ml of A431 lysate. This experiment was performed under reducing conditions using the ...read more

Product Details

Summary
Product Discontinued
View other related Semaphorin 6A Primary Antibodies

Order Details


    • Catalog Number
      NBP1-31551
    • Availability
      Product Discontinued

    Can't find what you are looking for? Use our Antibody Concierge Service & we will help you locate your antibody!

    Or feel free to contact us for alternative products.

Semaphorin 6A Antibody Summary

Immunogen
Recombinant protein encompassing a sequence within the center region of human SEMA6A. The exact sequence is proprietary.
Localization
Membrane, Single-pass type I membrane protein
Predicted Species
Bovine (94%). Backed by our 100% Guarantee.
Isotype
IgG
Clonality
Polyclonal
Host
Rabbit
Gene
SEMA6A
Purity
Immunogen affinity purified
Innovator's Reward
Test in a species/application not listed above to receive a full credit towards a future purchase.

Applications/Dilutions

Dilutions
  • Immunocytochemistry/ Immunofluorescence 1:100-1:1000
  • Immunohistochemistry 1:100-1:1000
  • Immunohistochemistry-Paraffin 1:100-1:1000
  • Simple Western 10 - 15 uL
  • Western Blot 1:500-1:3000
Application Notes
In Simple Western only 10 - 15 uL of the recommended dilution is used per data point. Separated by Size-Wes, Sally Sue/Peggy Sue.
Theoretical MW
114 kDa.
Disclaimer note: The observed molecular weight of the protein may vary from the listed predicted molecular weight due to post translational modifications, post translation cleavages, relative charges, and other experimental factors.
Control
Raji Whole Cell Lysate
Mouse Brain Whole Tissue Lysate (Adult Whole Normal)
HepG2 Whole Cell Lysate

Packaging, Storage & Formulations

Storage
Aliquot and store at -20C or -80C. Avoid freeze-thaw cycles.
Buffer
0.1M Tris (pH 7), 0.1M Glycine, 10% Glycerol
Preservative
0.01% Thimerosal
Purity
Immunogen affinity purified

Alternate Names for Semaphorin 6A Antibody

  • KIAA1368HT018
  • sema domain, transmembrane domain (TM), and cytoplasmic domain, (semaphorin) 6A
  • Sema VIA
  • SEMA
  • Sema6A
  • SEMA6A1
  • SEMA6A-1
  • Semaphorin 6A
  • semaphorin 6A-1
  • Semaphorin VIA
  • semaphorin-6A
  • semaphorin-6A-1
  • SEMAQ
  • VIA

Background

Can act as repulsive axon guidance cues. May play a role in channeling sympathetic axons into the sympathetic chains and controlling the temporal sequence of sympathetic target innervation.

Limitations

This product is for research use only and is not approved for use in humans or in clinical diagnosis. Primary Antibodies are guaranteed for 1 year from date of receipt.

Customers Who Viewed This Item Also Viewed...

1250-S3
Species: Hu
Applications: BA, BA
AF566
Species: Mu, Rt
Applications: Block, CyTOF-ready, Flow, IHC, WB
AF567
Species: Mu, Rt
Applications: Block, IHC, Simple Western, WB
DVE00
Species: Hu
Applications: ELISA
NBP1-85128
Species: Hu, Mu
Applications: IHC,  IHC-P
AF5486
Species: Hu, Mu, Rt
Applications: CyTOF-ready, Flow, ICC, Simple Western, WB
3237-S3
Species: Mu
Applications: BA
AF2094
Species: Hu, Mu
Applications: IHC, WB
294-HG
Species: Hu
Applications: BA
233-FB
Species: Hu
Applications: BA
NBP2-67327
Species: Hu, Mu, Rt
Applications: Flow, ICC/IF, IHC,  IHC-P, IP, WB
AF7109
Species: Mu
Applications: IHC, WB
NB100-524
Species: Hu, Mu
Applications: Flow-IC, Flow, ICC/IF, IHC, IHC-Fr,  IHC-P, IP, WB
NBP2-79843
Species: Hu
Applications: CyTOF-ready, ELISA, Flow, ICC/IF, IHC,  IHC-P, PA, WB
7268-CT
Species: Hu
Applications: BA
AF4309
Species: Hu, Mu
Applications: ICC, IHC, WB
NBP1-82527
Species: Hu, Mu
Applications: IHC,  IHC-P
MAB1728
Species: Hu, Mu
Applications: ICC, IHC, WB
NBP2-00555
Species: Hu, Mu, Rt
Applications: Flow, ICC/IF, IHC,  IHC-P, WB
NBP1-87914
Species: Hu, Mu, Rt
Applications: ICC/IF, IHC,  IHC-P, WB
⚠ WARNING: This product can expose you to chemicals including mercury, which is known to the State of California to cause reproductive toxicity with developmental effects.  For more information go to www.P65Warnings.ca.gov.

Publications for Semaphorin 6A Antibody (NBP1-31551) (0)

There are no publications for Semaphorin 6A Antibody (NBP1-31551).
By submitting your publication information earn gift cards and discounts for future purchases.

Reviews for Semaphorin 6A Antibody (NBP1-31551) (0)

There are no reviews for Semaphorin 6A Antibody (NBP1-31551). By submitting a review you will receive an Amazon e-Gift Card or Novus Product Discount.
  • Review with no image -- $10/€7/£6/$10 CAD/¥70 Yuan/¥1110 Yen
  • Review with an image -- $25/€18/£15/$25 CAD/¥150 Yuan/¥2500 Yen

Product General Protocols

Find general support by application which include: protocols, troubleshooting, illustrated assays, videos and webinars.

Video Protocols

WB Video Protocol
ICC/IF Video Protocol

FAQs for Semaphorin 6A Antibody (NBP1-31551) (0)

There are no specific FAQs related to this product. Read our general customer & technical service FAQs.

Control Lysate(s)

Secondary Antibodies

 

Isotype Controls

Additional Semaphorin 6A Products

Research Areas for Semaphorin 6A Antibody (NBP1-31551)

Find related products by research area.

Blogs on Semaphorin 6A

There are no specific blogs for Semaphorin 6A, but you can read our latest blog posts.

Contact Information

Product PDFs

Calculators

Concentration Calculator

The concentration calculator allows you to quickly calculate the volume, mass or concentration of your vial. Simply enter your mass, volume, or concentration values for your reagent and the calculator will determine the rest.

=
÷

Review this Product

Be the first to review our Semaphorin 6A Antibody and receive a gift card or discount.

Bioinformatics

Gene Symbol SEMA6A
Entrez
Uniprot