PGLYRP2/PGRP-L Antibody - BSA Free

Images

 
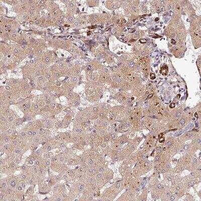
Immunohistochemistry: PGLYRP2/PGRP-L Antibody [NBP2-31930] - Staining of human liver shows distinct cytoplasmic positivity in hepatocytes.
Immunohistochemistry: PGLYRP2/PGRP-L Antibody [NBP2-31930] - Staining of human liver shows distinct cytoplasmic positivity in hepatocytes.

Product Details

Summary
Reactivity HuSpecies Glossary
Applications IHC
Clonality
Polyclonal
Host
Rabbit
Conjugate
Unconjugated
Format
BSA Free

Order Details

View Available Formulations
Catalog# & Formulation Size Price

PGLYRP2/PGRP-L Antibody - BSA Free Summary

Description
Novus Biologicals Rabbit PGLYRP2/PGRP-L Antibody - BSA Free (NBP2-31930) is a polyclonal antibody validated for use in IHC. All Novus Biologicals antibodies are covered by our 100% guarantee.
Immunogen
This antibody was developed against a recombinant protein corresponding to amino acids: VWGTLVLLQRLEPVHLQLQCMSQEQLAQVAANATKEFTEAFLGCPAIHPRCRWGAAPYRGRPKLLQLPLGFLYVHHTYVP
Isotype
IgG
Clonality
Polyclonal
Host
Rabbit
Gene
PGLYRP2
Purity
Immunogen affinity purified
Innovator's Reward
Test in a species/application not listed above to receive a full credit towards a future purchase.

Applications/Dilutions

Dilutions
  • Immunohistochemistry 1:20 - 1:50
  • Immunohistochemistry-Paraffin 1:20 - 1:50
Application Notes
For IHC-Paraffin, HIER pH 6 retrieval is recommended.
Control Peptide
PGLYRP2/PGRP-L Protein (NBP2-31930PEP)

Reactivity Notes

Immunogen displays the following percentage of sequence identity for non-tested species: Mouse (85%), Rat (81%)

Packaging, Storage & Formulations

Storage
Store at 4C short term. Aliquot and store at -20C long term. Avoid freeze-thaw cycles.
Buffer
PBS (pH 7.2) and 40% Glycerol
Preservative
0.02% Sodium Azide
Purity
Immunogen affinity purified

Alternate Names for PGLYRP2/PGRP-L Antibody - BSA Free

  • EC 3.5.1.28
  • peptidoglycan recognition protein 2tagl-beta
  • peptidoglycan recognition protein L
  • PGLYRP2
  • PGLYRPL
  • PGLYRPLHMFT0141
  • PGRP2
  • PGRPL
  • PGRP-L
  • PGRP-LN-acetylmuramoyl-L-alanine amidase
  • PGRPLPeptidoglycan recognition protein long
  • TAGL
  • tagL-alpha
  • TAGL-like

Background

Peptidoglycan recognition proteins, such as PGRPL, are part of the innate immune system and recognize peptidoglycan, aubiquitous component of bacterial cell walls.(supplied by OMIM)

Limitations

This product is for research use only and is not approved for use in humans or in clinical diagnosis. Primary Antibodies are guaranteed for 1 year from date of receipt.

Customers Who Viewed This Item Also Viewed...

NBP2-61118
Species: Hu, Mu
Applications: Flow, ICC/IF, IHC,  IHC-P, Simple Western, WB
NB100-56719
Species: Hu, Mu
Applications: Flow-CS, Flow-IC, Flow, ICC/IF, IHC, IHC-Fr,  IHC-P, WB
NBP2-24509
Species: Bv, Ca, Hu, Mu, Ma-Op, Pm, Rt
Applications: IHC,  IHC-P, WB
NBP2-47549
Species: Hu
Applications: ICC/IF, IHC,  IHC-P, KD, WB
NBP1-81838
Species: Hu, Mu
Applications: IHC,  IHC-P, WB
NB100-524
Species: Hu, Mu
Applications: Flow-IC, Flow, ICC/IF, IHC, IHC-Fr,  IHC-P, IP, WB
H00010963-M01
Species: Hu, Mu
Applications: ELISA, ICC/IF, IHC,  IHC-P, IP, S-ELISA, WB
H00008878-M01
Species: Bv, Ha, Hu, Mu, Rb, Rt
Applications: ELISA, ICC/IF, IHC, IHC-Fr,  IHC-P, IP, WB
NB100-56566
Species: Bv, Hu, Ma, Mu, Po, Rt
Applications: B/N, ChIP, CyTOF-ready, DB, Dual ISH-IHC, ELISA(Cap), ELISA, Flow-CS, Flow-IC, Flow, ICC/IF, IHC, IHC-Fr,  IHC-P, In vitro, KD, KO, PAGE, Simple Western, WB
DRT100
Species: Hu
Applications: ELISA
NBP1-80905
Species: Hu
Applications: ICC/IF, IHC,  IHC-P
NBP2-32500
Species: Hu
Applications: ICC/IF, IHC,  IHC-P, WB
NB100-2559
Species: Hu
Applications: IHC,  IHC-P, PEP-ELISA, WB
NBP2-45731
Species: Ca, Hu, Pm
Applications: IHC,  IHC-P, WB
NB100-56722
Species: Ca, Hu, Mu, Rb, Rt
Applications: B/N, DB, ELISA, Flow-CS, Flow, Func, ICC/IF, IP, In vitro, WB
NB100-56729
Species: Hu
Applications: Flow-CS, Flow-IC, Flow, ICC/IF, WB
NBP2-38877
Species: Hu
Applications: ICC/IF, IHC,  IHC-P
NBP2-31930
Species: Hu
Applications: IHC

Publications for PGLYRP2/PGRP-L Antibody (NBP2-31930) (0)

There are no publications for PGLYRP2/PGRP-L Antibody (NBP2-31930).
By submitting your publication information earn gift cards and discounts for future purchases.

Reviews for PGLYRP2/PGRP-L Antibody (NBP2-31930) (0)

There are no reviews for PGLYRP2/PGRP-L Antibody (NBP2-31930). By submitting a review you will receive an Amazon e-Gift Card or Novus Product Discount.
  • Review with no image -- $10/€7/£6/$10 CAD/¥70 Yuan/¥1110 Yen
  • Review with an image -- $25/€18/£15/$25 CAD/¥150 Yuan/¥2500 Yen

Product General Protocols

Find general support by application which include: protocols, troubleshooting, illustrated assays, videos and webinars.

FAQs for PGLYRP2/PGRP-L Antibody (NBP2-31930). (Showing 1 - 1 of 1 FAQ).

  1. What is the isotype for this antibody?
    • NBP2-31930 is a rabbit polyclonal of the isotype IgG.

Secondary Antibodies

 

Isotype Controls

Additional PGLYRP2/PGRP-L Products

Research Areas for PGLYRP2/PGRP-L Antibody (NBP2-31930)

Find related products by research area.

Blogs on PGLYRP2/PGRP-L

There are no specific blogs for PGLYRP2/PGRP-L, but you can read our latest blog posts.

Customers Who Bought This Also Bought

Contact Information

Product PDFs

Calculators

Concentration Calculator

The concentration calculator allows you to quickly calculate the volume, mass or concentration of your vial. Simply enter your mass, volume, or concentration values for your reagent and the calculator will determine the rest.

=
÷

Review this Product

Be the first to review our PGLYRP2/PGRP-L Antibody - BSA Free and receive a gift card or discount.

Bioinformatics

Gene Symbol PGLYRP2
Uniprot