Perilipin-2/ADFP Antibody (2C5A3) - Azide and BSA Free

Images

 
Western Blot: Perilipin-2/ADFP Antibody (2C5A3) - Azide and BSA Free [NBP2-80907] - Analysis of ADFP in human ADFP recombinant protein. (Expected MW is 42.6 kDa) Image from the standard format of this antibody.
Immunocytochemistry/ Immunofluorescence: Perilipin-2/ADFP Antibody (2C5A3) - Azide and BSA Free [NBP2-80907] - HepG2 cells were fixed for 10 minutes using 10% formalin and then permeabilized for 5 minutes using 1X TBS + ...read more
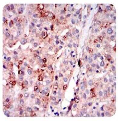
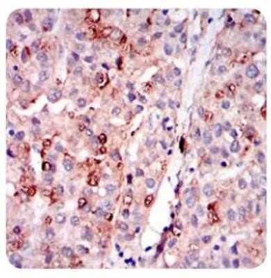
Immunohistochemistry: Perilipin-2/ADFP Antibody (2C5A3) - Azide and BSA Free [NBP2-80907] - Analysis of ADFP in paraffin-embedded human esophageal cancer tissues with DAB staining. Image from the standard format of this ...read more
Western Blot: Perilipin-2/ADFP Antibody (2C5A3) - Azide and BSA Free [NBP2-80907] - Analysis of ADFP in (1) HEK293 and (2) PLIN2 hIgGFc transfected HEK293 cell lysate. Image from the standard format of this antibody.
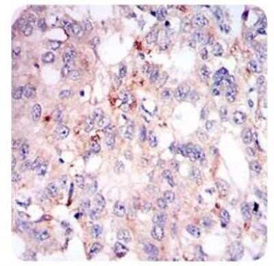
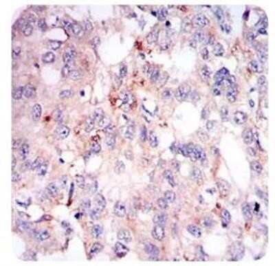
Immunohistochemistry-Paraffin: Perilipin-2/ADFP Antibody (2C5A3) - Azide and BSA Free [NBP2-80907] - Analysis of ADFP in paraffin-embedded human liver cancer tissues with DAB staining. Image from the standard format of ...read more

Product Details

Summary
Reactivity HuSpecies Glossary
Applications WB, ELISA, ICC/IF, IHC
Clone
2C5A3
Clonality
Monoclonal
Host
Mouse
Conjugate
Unconjugated
Format
Azide and BSA Free
Concentration
1 mg/ml

Perilipin-2/ADFP Antibody (2C5A3) - Azide and BSA Free Summary

Immunogen
Partial recombinant human ADFP (between residues 200-437) expressed in E. coli [UniProt Q99541]
Isotype
IgG1
Clonality
Monoclonal
Host
Mouse
Gene
PLIN2
Purity
Ammonium sulfate precipitation
Innovator's Reward
Test in a species/application not listed above to receive a full credit towards a future purchase.

Applications/Dilutions

Dilutions
  • ELISA 1:10000
  • Immunocytochemistry/ Immunofluorescence 1:10 - 1:100
  • Immunohistochemistry 1:200 - 1:1000
  • Immunohistochemistry-Paraffin 1:200 - 1:1000
  • Western Blot 1:500 - 1:2000

Packaging, Storage & Formulations

Storage
Store at 4C short term. Aliquot and store at -20C long term. Avoid freeze-thaw cycles.
Buffer
PBS
Preservative
No Preservative
Concentration
1 mg/ml
Purity
Ammonium sulfate precipitation

Alternate Names for Perilipin-2/ADFP Antibody (2C5A3) - Azide and BSA Free

  • ADFP
  • Adipophilin
  • Adipose differentiation-related proteinadipophilin
  • ADRP
  • MGC10598
  • perilipin 2
  • Perilipin2
  • Perilipin-2
  • PLIN2

Background

Perilipin-2/Plin-2, also known as adipose differentiation-related protein (ADFP), ADRP, and adipophilin, is a member of the perilipin family of lipid droplet (LD) proteins that functions in lipid accumulation, lipid storage, and LD formation (1,2). Perilipin-2 is ubiquitously expressed and is the major LD protein of the liver (1-3). Human perilipin-2 is 437 amino acids (aa) in length with a theoretical molecular weight of 48 kDa (1,4). Human and mouse perilipin-2 share 81.8% sequence identity. One defining structural feature of perilipin-2 and other LD-related proteins is formation of amphipathic alpha helices (1,3,5). The perilipin-2 protein contains a PAT (perilipin A, ADRP, TIP47) domain, a 11-mer repeat motif, and a 4-helix bundle (1,5). The PAT domain has a role in triglyceride (TG) stabilization, the 11-mer repeat motif functions in cytoplasmic LD binding, and the 4-helix bundle facilitates membrane binding (5). Unlike LDs coated with other perilipin family members (e.g., perilipin-1 and perilipin-5), LDs coated with perilipin-2 are more permissive to lipolysis and protective of lipids and TGs (1-3). Studies have revealed that perilipin-2 knockout (KO) in mice is associated with resistance to fatty liver disease and diet-induced obesity (1). On the other hand, overexpression of perilipin-2 causes increased lipid and TG accumulation, which is a feature of many metabolic, cardiovascular, and age-related diseases (2). Additional research has found higher levels of perilipin-2 is associated with certain cancers such as colorectal cancer and renal carcinomas, and it may be a useful biomarker for detection (2). Though more research is needed, it is possible that inhibition or blocking of perilipin-2 may be a key strategy to combatting several pathologies (2).

References

1. Itabe H, Yamaguchi T, Nimura S, Sasabe N. Perilipins: a diversity of intracellular lipid droplet proteins. Lipids Health Dis. 2017;16(1):83. https://doi.org/10.1186/s12944-017-0473-y

2. Conte M, Franceschi C, Sandri M, Salvioli S. Perilipin 2 and Age-Related Metabolic Diseases: A New Perspective. Trends Endocrinol Metab. 2016;27(12):893-903. https://doi.org/10.1016/j.tem.2016.09.001

3. Sztalryd C, Brasaemle DL. The perilipin family of lipid droplet proteins: Gatekeepers of intracellular lipolysis. Biochim Biophys Acta Mol Cell Biol Lipids. 2017;1862(10 Pt B):1221-1232. https://doi.org/10.1016/j.bbalip.2017.07.009

4. Uniprot (Q99541)

5. Chong BM, Reigan P, Mayle-Combs KD, Orlicky DJ, McManaman JL. Determinants of adipophilin function in milk lipid formation and secretion. Trends Endocrinol Metab. 2011;22(6):211-217. https://10.1016/j.tem.2011.04.003

Limitations

This product is for research use only and is not approved for use in humans or in clinical diagnosis. Primary Antibodies are guaranteed for 1 year from date of receipt.

Customers Who Viewed This Item Also Viewed...

NB110-40764
Species: Hu, Mu, Po, Pm
Applications: ICC/IF, WB
NB110-40760
Species: Fi, Hu, Mu, Po, Rt
Applications: Flow, IMC, ICC/IF, IHC,  IHC-P, WB
NBP2-22106
Species: Hu, Mu, Rt
Applications: IHC,  IHC-P, IP, WB
AF6989
Species: Mu
Applications: IHC
H00342184-M07
Species: Hu
Applications: ELISA, ICC/IF, WB
NB300-537
Species: Bv, Hu, Mu, Rb, Rt
Applications: ChIP, Flow, GS, ICC/IF, IHC,  IHC-P, IP, KD, Simple Western, WB
NB110-60509
Species: Bv, Hu, Mu, Po
Applications: ICC/IF, IHC, IHC-Fr,  IHC-P, Simple Western, WB
AF5365
Species: Hu, Mu, Rt
Applications: IHC, Simple Western, WB
MAB1417
Species: Bv, Hu, Mu
Applications: ICC, IHC
NBP2-25160
Species: Bv, Ca, Eq, Hu, Mu, Po, Rt
Applications: ICC/IF, IHC, WB
NBP2-13776
Species: Hu, Mu, Po
Applications: ICC/IF, IHC, IHC-Fr,  IHC-P, WB
NB110-37253
Species: Hu, Mu, Rt
Applications: WB
NBP2-34294
Species: Hu, Mu, Rt
Applications: Flow, IHC,  IHC-P
NB400-114
Species: Ch, Fe, Ha, Hu, Mu, Pl, Po, Pm, Rt
Applications: ICC/IF, IHC,  IHC-P, IP, KD, WB
M6000B
Species: Mu
Applications: ELISA
NB400-144
Species: Av, Bv, Hu, Mu, Po, Pm, Rb, Rt
Applications: ICC/IF, IHC, IHC-Fr,  IHC-P, WB
NB600-582
Species: Ca, Ch, SyHa, Ha, Hu, Pm, Mu, Rt
Applications: IHC-Fr, KO, Simple Western, WB

Publications for Perilipin-2/ADFP Antibody (NBP2-80907) (0)

There are no publications for Perilipin-2/ADFP Antibody (NBP2-80907).
By submitting your publication information earn gift cards and discounts for future purchases.

Reviews for Perilipin-2/ADFP Antibody (NBP2-80907) (0)

There are no reviews for Perilipin-2/ADFP Antibody (NBP2-80907). By submitting a review you will receive an Amazon e-Gift Card or Novus Product Discount.
  • Review with no image -- $10/€7/£6/$10 CAD/¥70 Yuan/¥1110 Yen
  • Review with an image -- $25/€18/£15/$25 CAD/¥150 Yuan/¥2500 Yen

Product General Protocols

Find general support by application which include: protocols, troubleshooting, illustrated assays, videos and webinars.

Video Protocols

WB Video Protocol
ICC/IF Video Protocol

FAQs for Perilipin-2/ADFP Antibody (NBP2-80907) (0)

There are no specific FAQs related to this product. Read our general customer & technical service FAQs.

Secondary Antibodies

 

Isotype Controls

Additional Perilipin-2/ADFP Products

Research Areas for Perilipin-2/ADFP Antibody (NBP2-80907)

Find related products by research area.

Blogs on Perilipin-2/ADFP.

The affects of Perilipin 2 on diet and metabolism
Perilipin 2 belongs to the Perilipin family, which consists of proteins that coat intracellular lipid storage droplets. Perilipin 2 in particular is involved in lipid globule surface membrane composition, and has also been implicated in the develo...  Read full blog post.

Customers Who Bought This Also Bought

Contact Information

Product PDFs

Calculators

Concentration Calculator

The concentration calculator allows you to quickly calculate the volume, mass or concentration of your vial. Simply enter your mass, volume, or concentration values for your reagent and the calculator will determine the rest.

=
÷

Review this Product

Be the first to review our Perilipin-2/ADFP Antibody (2C5A3) - Azide and BSA Free and receive a gift card or discount.

Bioinformatics

Gene Symbol PLIN2