PBR Antibody (CL13358) - Azide and BSA Free

Images

 
Staining of A-431 cells using the Anti-PBR monoclonal antibody) .
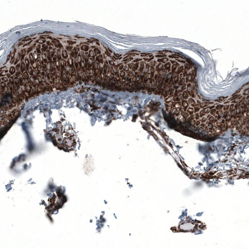
Orthogonal Strategies: Analysis in human skin and liver tissues using NBP3-44381 antibody. Corresponding PBR RNA-seq data are presented for the same tissues.
Staining of human cerebral cortex shows moderate granular cytoplasmic positivity in astrocytes.
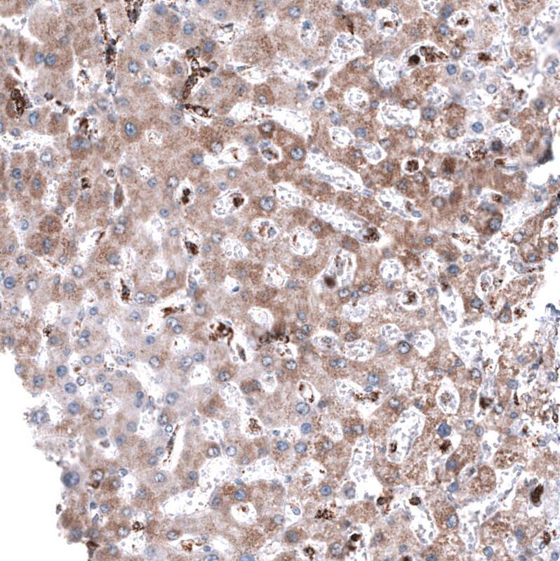
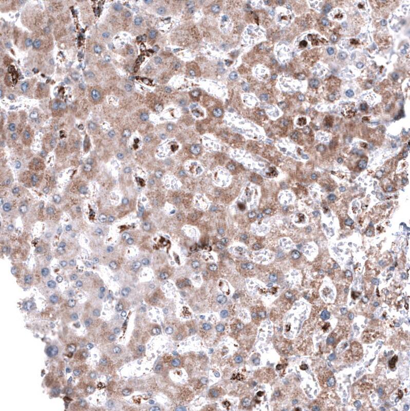
Staining of human liver shows weak cytoplasmic positivity in hepatocytes.
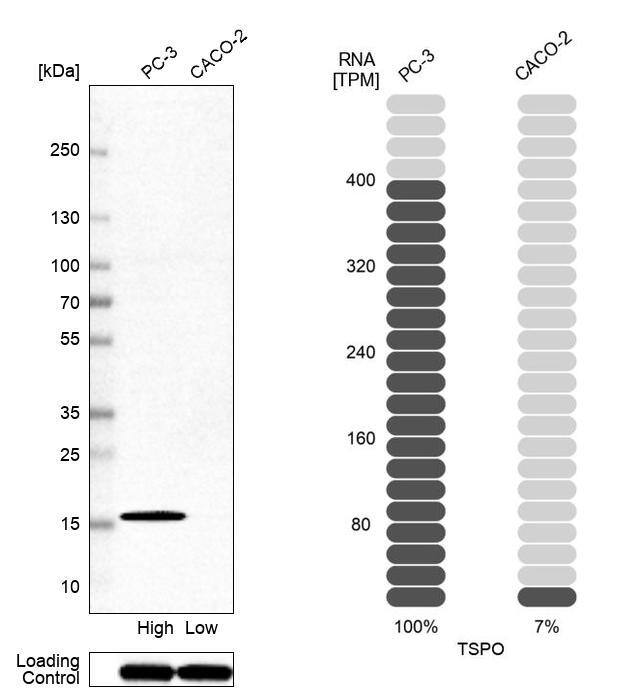
Orthogonal Strategies: Analysis in human cell line PC-3 and human cell line CACO-2.
Staining of human tonsil shows strong granular positivity in lymphoid cells.
Staining of human skin shows strong granular cytoplasmic positivity in squamous epithelial cells.

Product Details

Summary
Reactivity HuSpecies Glossary
Applications WB, ICC/IF, IHC
Clone
CL13358
Clonality
Monoclonal
Host
Mouse
Conjugate
Unconjugated
Format
Azide and BSA Free
Concentration
LYOPH
Validated by:
       

Orthogonal Strategies

 

Order Details

PBR Antibody (CL13358) - Azide and BSA Free Summary

Description
Novus Biologicals Mouse PBR Antibody (CL13358) - Azide and BSA Free (NBP3-18567) is a monoclonal antibody validated for use in IHC, WB and ICC/IF. All Novus Biologicals antibodies are covered by our 100% guarantee.
Immunogen
This antibody was generated using a synthetic peptide of P30536, with the exact immunogen sequence remaining proprietary.
Isotype
IgG2b
Clonality
Monoclonal
Host
Mouse
Gene
TSPO
Purity
Protein A purified
Innovator's Reward
Test in a species/application not listed above to receive a full credit towards a future purchase.

Applications/Dilutions

Dilutions
  • Immunocytochemistry/ Immunofluorescence 2-10 ug/ml
  • Immunohistochemistry-Paraffin 1:2500 - 1:5000
  • Western Blot 1 ug/ml
Application Notes
For use with IHC-Paraffin, HIER pH 6 retrieval is recommended. For use with Immunocytochemistry/ Immunofluorescence/IF, PFA/Triton X-100 is recommended for fixation/permeabilization.

Packaging, Storage & Formulations

Storage
Store at 4C short term. Aliquot and store at -20C long term. Avoid freeze-thaw cycles.
Buffer
Lyophilized from a 0.2 um filtered solution in PBS with Trehalose
Preservative
No Preservative
Concentration
LYOPH
Purity
Protein A purified
Reconstitution Instructions
Centrifuge the vial of lyophilized antibody at 12,000 x g for 20 seconds. Reconstitute by adding sterile, distilled water to achieve a final antibody concentration of 1mg/ml.

Alternate Names for PBR Antibody (CL13358) - Azide and BSA Free

  • benzodiazepine peripheral binding site
  • BZRPDBI
  • IBP
  • MBRPBS
  • mDRC
  • Mitochondrial benzodiazepine receptor
  • PBR
  • PBRBPBS
  • PBRS
  • peripheral benzodiazepine receptor
  • Peripheral-type benzodiazepine receptor
  • pk18
  • PKBSbenzodiazapine receptor (peripheral)
  • PTBR
  • translocator protein (18kDa)
  • translocator protein
  • TSPO

Background

Present mainly in the mitochondrial compartment of peripheral tissues, the protein encoded by this gene interacts with some benzodiazepines and has different affinities than its endogenous counterpart. The protein is a key factor in the flow of cholesterol into mitochondria to permit the initiation of steroid hormone synthesis. Alternate transcriptional splice variants, encoding different isoforms, have been characterized.

Limitations

This product is for research use only and is not approved for use in humans or in clinical diagnosis. Primary Antibodies are guaranteed for 1 year from date of receipt.

Customers Who Viewed This Item Also Viewed...

NBP1-62583
Species: Hu
Applications: WB
H00051776-M03
Species: Hu, Mu, Rt
Applications: ELISA, ICC/IF, IHC,  IHC-P, WB
MAB1455
Species: Hu
Applications: CyTOF-ready, Dual ISH-IHC, ICC, IHC, ICFlow, Simple Western, WB
DVE00
Species: Hu
Applications: ELISA
M6000B
Species: Mu
Applications: ELISA
DY417
Species: Mu
Applications: ELISA
NB100-56098
Species: Ca, Hu, Mu, Rt
Applications: IHC,  IHC-P, IP, WB
6507-IL/CF
Species: Hu
Applications: BA
485-MI
Species: Mu
Applications: BA
NB600-101
Species: Bv, Ha, Hu, Mu, Pm, Rt
Applications: B/N, DB, EM, Flow, ICC/IF, IHC,  IHC-P, IP, KD, PA, Simple Western, WB
202-IL
Species: Hu
Applications: BA
NBP1-33485
Species: Hu, Mu
Applications: ICC/IF, IHC,  IHC-P, WB
NBP1-19371
Species: Ca, Hu, Mu, Po, Rb, Rt
Applications: Dual ISH-IHC, Flow, ICC/IF, IHC, IHC-Fr,  IHC-P, Simple Western, WB
NB600-922
Species: Ch, Mu
Applications: ELISA, IHC, Single-Cell Western, WB
233-FB
Species: Hu
Applications: BA
NB100-124
Species: Bv, Ma, Hu, Mu, Pm, Rt, Sh
Applications: ChIP, CHIP-SEQ, GS, IB, ICC/IF, IHC,  IHC-P, IP, WB
MAB1417
Species: Bv, Hu, Mu
Applications: ICC, IHC
NB100-128
Species: Hu, Mu, Rt
Applications: ChIP, GS, ICC/IF, IHC,  IHC-P, WB
NB100-1533
Species: Hu, Mu, Po, Rt, Sh
Applications: Flow, ICC/IF, IHC,  IHC-P, PEP-ELISA, WB

Publications for PBR Antibody (NBP3-44381) (0)

There are no publications for PBR Antibody (NBP3-44381).
By submitting your publication information earn gift cards and discounts for future purchases.

Reviews for PBR Antibody (NBP3-44381) (0)

There are no reviews for PBR Antibody (NBP3-44381). By submitting a review you will receive an Amazon e-Gift Card or Novus Product Discount.
  • Review with no image -- $10/€7/£6/$10 CAD/¥70 Yuan/¥1110 Yen
  • Review with an image -- $25/€18/£15/$25 CAD/¥150 Yuan/¥2500 Yen

Product General Protocols

Find general support by application which include: protocols, troubleshooting, illustrated assays, videos and webinars.

Video Protocols

WB Video Protocol
ICC/IF Video Protocol

FAQs for PBR Antibody (NBP3-44381) (0)

There are no specific FAQs related to this product. Read our general customer & technical service FAQs.

Secondary Antibodies

 

Isotype Controls

Additional PBR Products

Research Areas for PBR Antibody (NBP3-44381)

Find related products by research area.

Blogs on PBR

There are no specific blogs for PBR, but you can read our latest blog posts.

Customers Who Bought This Also Bought

Contact Information

Product PDFs

Calculators

Concentration Calculator

The concentration calculator allows you to quickly calculate the volume, mass or concentration of your vial. Simply enter your mass, volume, or concentration values for your reagent and the calculator will determine the rest.

=
÷

Review this Product

Be the first to review our PBR Antibody (CL13358) - Azide and BSA Free and receive a gift card or discount.

Bioinformatics

Gene Symbol TSPO