Pax2 Antibody (CL9469) - Azide and BSA Free

Images

 
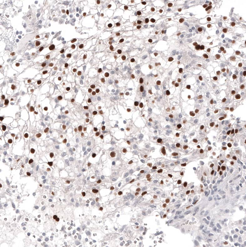
Staining of EFO-21 cells using the Anti-Pax2 monoclonal antibody) .
Orthogonal Strategies: Analysis in human kidney and prostate tissues using NBP3-44202 antibody. Corresponding Pax2 RNA-seq data are presented for the same tissues.
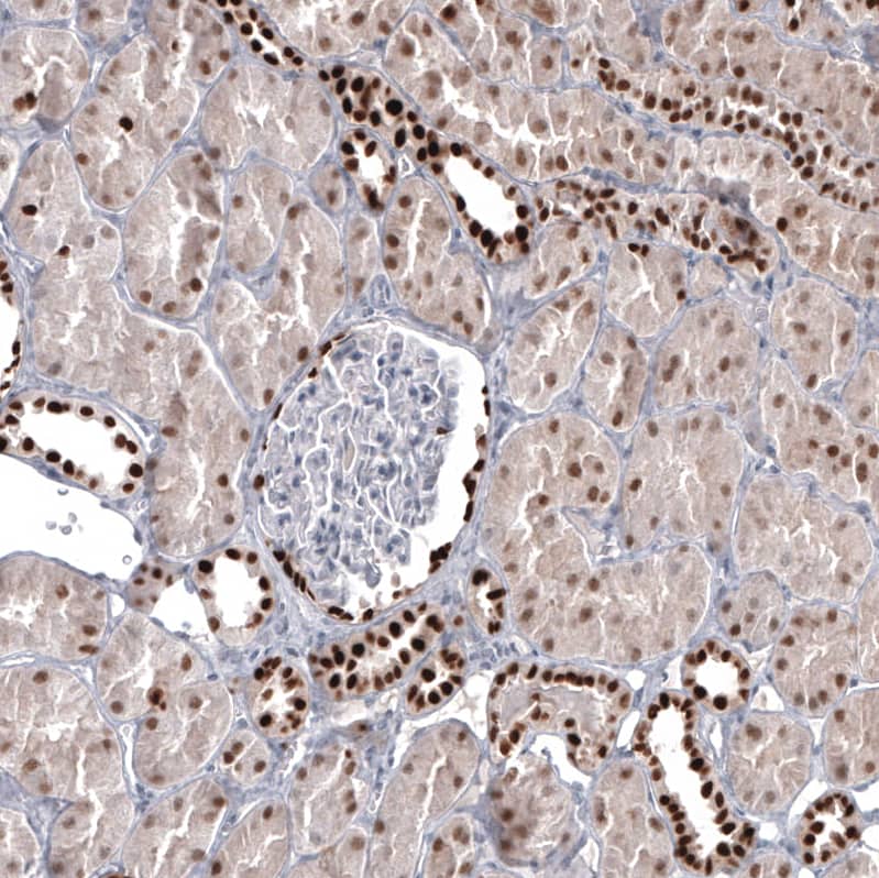
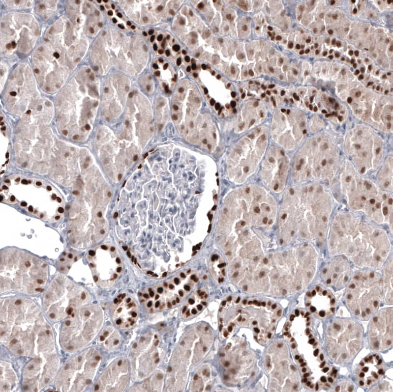
Staining of human kidney shows strong nuclear positivity in cells in distal tubules.
Staining of human endometrium shows strong nuclear positivity in glandular cells.
Staining of human prostate shows no positivity in glandular cells as expected.
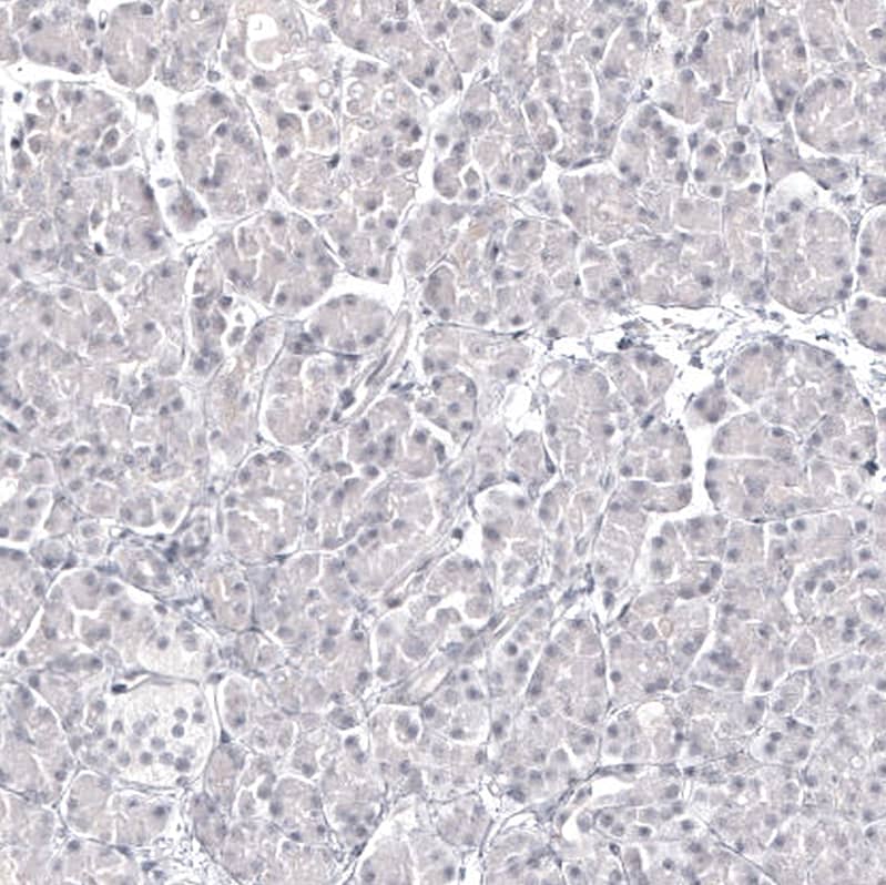
Staining of human pancreas shows no positivity in exocrine glandular cells as expected.
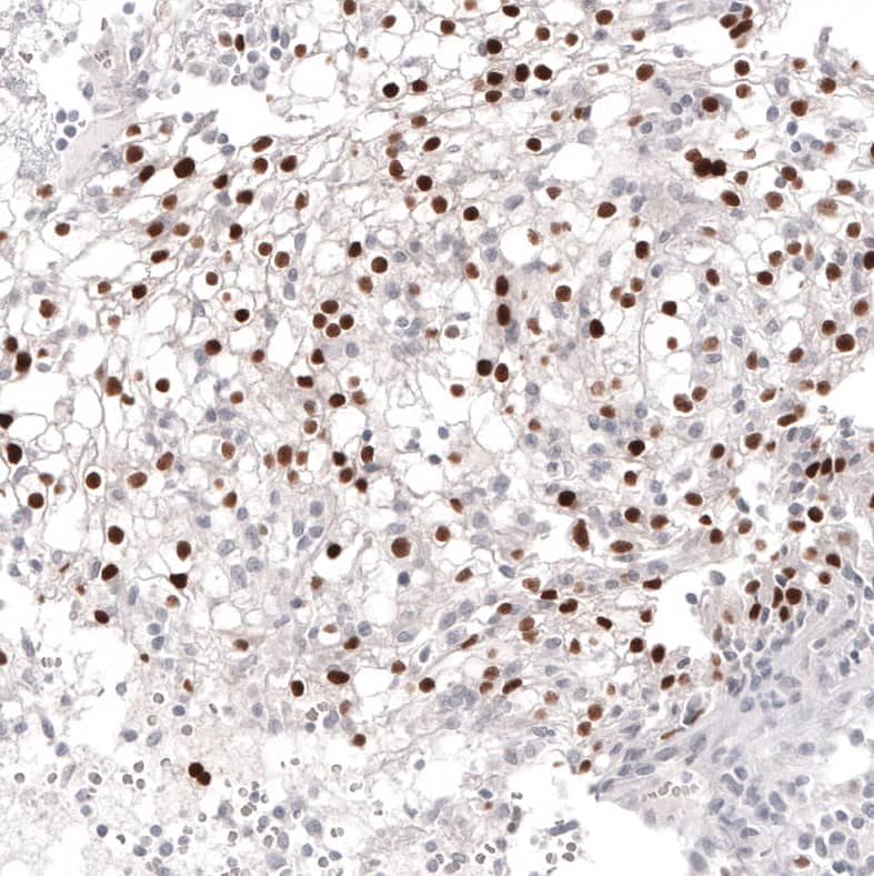
Staining of human renal cancer shows moderate nuclear positivity in tumor cells.
Analysis in human cell line EFO-21.

Product Details

Summary
Reactivity Hu, Mu, RtSpecies Glossary
Applications WB, ICC/IF, IHC
Clone
CL9469
Clonality
Monoclonal
Host
Mouse
Conjugate
Unconjugated
Format
Azide and BSA Free
Concentration
LYOPH
Validated by:
       

Orthogonal Strategies

 

Order Details

Pax2 Antibody (CL9469) - Azide and BSA Free Summary

Description
Novus Biologicals Mouse Pax2 Antibody (CL9469) - Azide and BSA Free (NBP2-88934) is a monoclonal antibody validated for use in IHC, WB and ICC/IF. All Novus Biologicals antibodies are covered by our 100% guarantee.
Immunogen
This antibody was generated using a synthetic peptide of Q02962, with the exact immunogen sequence remaining proprietary.
Predicted Species
Mouse (100%), Rat (100%). Backed by our 100% Guarantee.
Isotype
IgG1
Clonality
Monoclonal
Host
Mouse
Gene
PAX2
Purity
Protein A purified
Innovator's Reward
Test in a species/application not listed above to receive a full credit towards a future purchase.

Applications/Dilutions

Dilutions
  • Immunocytochemistry/ Immunofluorescence 2-10 ug/ml
  • Immunohistochemistry-Paraffin 1:200 - 1:500
  • Western Blot 1 ug/ml
Application Notes
For ICC/IF, PFA/Triton X-100 is recommended for fixation/permeabilization. For IHC-Paraffin, HIER pH 6 retrieval is recommended.

Packaging, Storage & Formulations

Storage
Store at 4C short term. Aliquot and store at -20C long term. Avoid freeze-thaw cycles.
Buffer
Lyophilized from a 0.2 um filtered solution in PBS with Trehalose
Preservative
No Preservative
Concentration
LYOPH
Purity
Protein A purified
Reconstitution Instructions
Centrifuge the vial of lyophilized antibody at 12,000 x g for 20 seconds. Reconstitute by adding sterile, distilled water to achieve a final antibody concentration of 1mg/ml.

Alternate Names for Pax2 Antibody (CL9469) - Azide and BSA Free

  • paired box 2
  • paired box gene 2
  • paired box homeotic gene 2
  • paired box protein Pax-2
  • Pax2

Background

PAX2 encodes paired box gene 2, one of many human homologues of the Drosophila melanogaster gene prd. The central feature of this transcription factor gene family is the conserved DNA-binding paired box domain. PAX2 is believed to be a target of transcriptional supression by the tumor supressor gene WT1. Mutations within PAX2 have been shown to result in optic nerve colobomas and renal hypoplasia. Alternative splicing of this gene results in multiple transcript variants.

Limitations

This product is for research use only and is not approved for use in humans or in clinical diagnosis. Primary Antibodies are guaranteed for 1 year from date of receipt.

Customers Who Viewed This Item Also Viewed...

423-F8
Species: Hu, Mu
Applications: BA
NB110-60011
Species: Hu
Applications: ICC/IF, IHC, IHC-Fr,  IHC-P, IP, Simple Western, WB
NBP1-32440
Species: Ca, Hu, Mu, Rt
Applications: ChIP, ICC/IF, IHC,  IHC-P, IP, Simple Western, Single-Cell Western, WB
AF8150
Species: Hu
Applications: ICC, ICFlow, Simple Western, WB
212-GD
Species: Hu
Applications: Bind, BA
314-BP
Species: Hu
Applications: BA, BA
MAB3487
Species: Hu, Mu
Applications: Flow, ICC, IHC, mIF, Simple Western, WB
NBP1-51575
Species: Hu, Mu
Applications: ELISA, Flow, ICC/IF, IHC,  IHC-P, WB
NB300-223
Species: Bv, Ca, Ch, Eq, Hu, Mu, Po, Rt
Applications: ICC/IF, IHC, IHC-Fr,  IHC-P, WB
NBP2-01926
Species: Hu, Mu, Rt
Applications: Flow, ICC/IF, IHC,  IHC-P, WB
AF1979
Species: Hu
Applications: ICC, IHC, Simple Western, WB
AF482
Species: Mu
Applications: IHC, WB
AF748
Species: Hu, Mu
Applications: CyTOF-ready, Dual ISH-IHC, Flow, ICC, IHC, Simple Western, WB
H00002019-M04
Species: Hu, Mu
Applications: ELISA, IHC,  IHC-P, IP, WB
AF475
Species: Mu
Applications: IHC, WB
NBP2-87382
Species: Hu
Applications: IHC,  IHC-P, WB
NBP3-44202
Species: Hu, Mu, Rt
Applications: WB, ICC/IF, IHC

Publications for Pax2 Antibody (NBP3-44202) (0)

There are no publications for Pax2 Antibody (NBP3-44202).
By submitting your publication information earn gift cards and discounts for future purchases.

Reviews for Pax2 Antibody (NBP3-44202) (0)

There are no reviews for Pax2 Antibody (NBP3-44202). By submitting a review you will receive an Amazon e-Gift Card or Novus Product Discount.
  • Review with no image -- $10/€7/£6/$10 CAD/¥70 Yuan/¥1110 Yen
  • Review with an image -- $25/€18/£15/$25 CAD/¥150 Yuan/¥2500 Yen

Product General Protocols

Find general support by application which include: protocols, troubleshooting, illustrated assays, videos and webinars.

Video Protocols

WB Video Protocol
ICC/IF Video Protocol

FAQs for Pax2 Antibody (NBP3-44202) (0)

There are no specific FAQs related to this product. Read our general customer & technical service FAQs.

Secondary Antibodies

 

Isotype Controls

Additional Pax2 Products

Research Areas for Pax2 Antibody (NBP3-44202)

Find related products by research area.

Blogs on Pax2

There are no specific blogs for Pax2, but you can read our latest blog posts.

Customers Who Bought This Also Bought

Contact Information

Product PDFs

Calculators

Concentration Calculator

The concentration calculator allows you to quickly calculate the volume, mass or concentration of your vial. Simply enter your mass, volume, or concentration values for your reagent and the calculator will determine the rest.

=
÷

Review this Product

Be the first to review our Pax2 Antibody (CL9469) - Azide and BSA Free and receive a gift card or discount.

Bioinformatics

Gene Symbol PAX2