Ornithine Decarboxylase Antibody (ODC1/486) - Azide and BSA Free

Images

 
Western Blot: Ornithine Decarboxylase Antibody (ODC1/486) - Azide and BSA Free [NBP2-47836] - Western Blot Analysis of PC3 cell lysate usingOrnithine Decarboxylase antibody (ODC1/486).
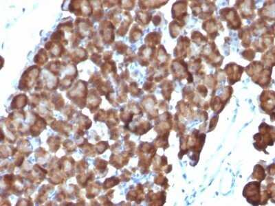
Immunohistochemistry-Paraffin: Ornithine Decarboxylase Antibody (ODC1/486) - Azide and BSA Free [NBP2-47836] - Formalin-fixed, paraffin-embedded Mouse Pancreas stained with Ornithine Decarboxylase Antibody (ODC1/486).
Immunohistochemistry-Paraffin: Ornithine Decarboxylase Antibody (ODC1/486) - Azide and BSA Free [NBP2-47836] - Human Pancreas stained with ODC1 Monoclonal Antibody (ODC1/486)
Immunohistochemistry-Paraffin: Ornithine Decarboxylase Antibody (ODC1/486) - Azide and BSA Free [NBP2-47836] - Formalin-fixed, paraffin-embedded Mouse Small Intestine stained with Ornithine Decarboxylase Antibody ...read more
Immunohistochemistry-Paraffin: Ornithine Decarboxylase Antibody (ODC1/486) - Azide and BSA Free [NBP2-47836] - Rat Pancreas stained with ODC1 Monoclonal Antibody (ODC1/486)

Product Details

Summary
Reactivity Hu, Mu, RtSpecies Glossary
Applications WB, Flow, ICC/IF, IHC, CyTOF-ready, ICC/IF
Clone
ODC1/486
Clonality
Monoclonal
Host
Mouse
Conjugate
Unconjugated
Format
Azide and BSA Free
Concentration
1.0 mg/ml

Order Details

Ornithine Decarboxylase Antibody (ODC1/486) - Azide and BSA Free Summary

Description
1.0 mg/ml of antibody purified from Bioreactor Concentrate by Protein A/G. Prepared in 10mM PBS WITHOUT BSA & azide. Also available at 200 ug/ml WITH BSA & azide (NBP2-44734).

Antibody with azide - store at 2 to 8C. Antibody without azide - store at -20 to -80C.
Immunogen
Recombinant human Ornithine Decarboxylase protein (Uniprot: P11926)
Localization
Cytoplasmic
Isotype
IgG2a Kappa
Clonality
Monoclonal
Host
Mouse
Gene
ODC1
Purity
Protein A or G purified
Innovator's Reward
Test in a species/application not listed above to receive a full credit towards a future purchase.

Applications/Dilutions

Dilutions
  • CyTOF-ready
  • Flow Cytometry 0.5 - 1 ug/million cells in 0.1 ml
  • Immunocytochemistry/ Immunofluorescence 1-2 ug/ml
  • Immunofluorescence 0.5 - 1.0 ug/ml
  • Immunohistochemistry
  • Immunohistochemistry-Paraffin 0.25 - 0.5 ug/ml
  • Western Blot 0.5 - 1.0 ug/ml
Application Notes
Immunohistochemistry (Formalin-fixed): 0.25-0.5ug/ml for 30 minutes at RT. Staining of formalin-fixed tissues requires heating tissue sections in 10mM Tris with 1mM EDTA, pH 9.0, for 45 min at 95C followed by cooling at RT for 20 minutes.
Optimal dilution for a specific application should be determined.
Theoretical MW
53 kDa.
Disclaimer note: The observed molecular weight of the protein may vary from the listed predicted molecular weight due to post translational modifications, post translation cleavages, relative charges, and other experimental factors.

Packaging, Storage & Formulations

Storage
Store at -20 to -80C. Avoid freeze-thaw cycles.
Buffer
10 mM PBS
Preservative
No Preservative
Concentration
1.0 mg/ml
Purity
Protein A or G purified

Alternate Names for Ornithine Decarboxylase Antibody (ODC1/486) - Azide and BSA Free

  • ODC
  • ODC1
  • ODCEC 4.1.1.17
  • ornithine decarboxylase 1
  • ornithine decarboxylase

Background

Ornithine Decarboxylase encodes the rate-limiting enzyme of the polyamine biosynthesis pathway which catalyzes ornithine to putrescine. The activity level for the enzyme varies in response to growth-promoting stimuli and exhibits a high turnover rate in comparison to other mammalian proteins. Originally localized to both chromosomes 2 and 7, the gene encoding this enzyme has been determined to be located on 2p25, with a pseudogene located on 7q31-qter.

Limitations

This product is for research use only and is not approved for use in humans or in clinical diagnosis. Primary Antibodies are guaranteed for 1 year from date of receipt.

Customers Who Viewed This Item Also Viewed...

NB600-302
Species: Bv, Dr, Hu, Mu
Applications: ChIP, ELISA, Flow-IC, Flow, IB, ICC/IF, IHC, IHC-Fr,  IHC-P, IP, PLA, S-ELISA, Simple Western, WB
236-EG
Species: Hu
Applications: BA
NBP1-87094
Species: Hu
Applications: ICC/IF, IHC,  IHC-P
NBP2-15447
Species: Hu
Applications: WB
NBP2-50037
Species: Hu, Mu, Rt
Applications: ICC/IF, IHC, KO, WB
MAB1417
Species: Bv, Hu, Mu
Applications: ICC, IHC
NBP2-67471
Species: Hu, Mu, Rt
Applications: ICC/IF, IHC,  IHC-P, WB
AF3398
Species: Hu, Mu, Rt
Applications: ICC, KO, Simple Western, WB
AF1445
Species: Mu, Rt
Applications: ELISA(Cap), ELISA(Det), ELISA(Sta), IHC, Neut, Simple Western, WB
NB110-41622
Species: Bv, Ch, Gt, Hu, Mu, Po, Rt, Xp
Applications: IHC,  IHC-P, WB
NBP1-81838
Species: Hu, Mu
Applications: IHC,  IHC-P, WB
NBP1-80726
Species: Hu
Applications: ICC/IF, IHC,  IHC-P, WB
NB300-605
Species: Hu, Mu, Po, Rt
Applications: Flow, IB, ICC/IF, IHC, IHC-Fr,  IHC-P, In vitro, WB
NBP1-89522
Species: Hu, Mu, Rt
Applications: ICC/IF, IHC,  IHC-P, WB
202-IL
Species: Hu
Applications: BA
H00005555-P01
Species: Hu
Applications: ELISA, AP, PA, PAGE, WB
NBP2-47836
Species: Hu, Mu, Rt
Applications: WB, Flow, ICC/IF, IHC, CyTOF-ready, ICC/IF

Publications for Ornithine Decarboxylase Antibody (NBP2-47836) (0)

There are no publications for Ornithine Decarboxylase Antibody (NBP2-47836).
By submitting your publication information earn gift cards and discounts for future purchases.

Reviews for Ornithine Decarboxylase Antibody (NBP2-47836) (0)

There are no reviews for Ornithine Decarboxylase Antibody (NBP2-47836). By submitting a review you will receive an Amazon e-Gift Card or Novus Product Discount.
  • Review with no image -- $10/€7/£6/$10 CAD/¥70 Yuan/¥1110 Yen
  • Review with an image -- $25/€18/£15/$25 CAD/¥150 Yuan/¥2500 Yen

Product General Protocols

Find general support by application which include: protocols, troubleshooting, illustrated assays, videos and webinars.

Video Protocols

WB Video Protocol
ICC/IF Video Protocol

FAQs for Ornithine Decarboxylase Antibody (NBP2-47836) (0)

There are no specific FAQs related to this product. Read our general customer & technical service FAQs.

Secondary Antibodies

 

Isotype Controls

Additional Ornithine Decarboxylase Products

Research Areas for Ornithine Decarboxylase Antibody (NBP2-47836)

Find related products by research area.

Blogs on Ornithine Decarboxylase

There are no specific blogs for Ornithine Decarboxylase, but you can read our latest blog posts.

Customers Who Bought This Also Bought

Contact Information

Product PDFs

Calculators

Concentration Calculator

The concentration calculator allows you to quickly calculate the volume, mass or concentration of your vial. Simply enter your mass, volume, or concentration values for your reagent and the calculator will determine the rest.

=
÷

Review this Product

Be the first to review our Ornithine Decarboxylase Antibody (ODC1/486) - Azide and BSA Free and receive a gift card or discount.

Bioinformatics

Gene Symbol ODC1